JavaScript is disabled in your browser. Please enable JavaScript to view this website.
AB212672

Anti-Nucleolin antibody [364-5] - BSA and Azide free

Be the first to review this product! Submit a review

|

(2 Publications)

Mouse Monoclonal Nucleolin antibody. Carrier free. Suitable for IHC-P and reacts with Human samples. Cited in 2 publications. Immunogen corresponding to Cell preparation containing NCL protein.

View Alternative Names

Nucleolin, Protein C23, NCL

1 Images
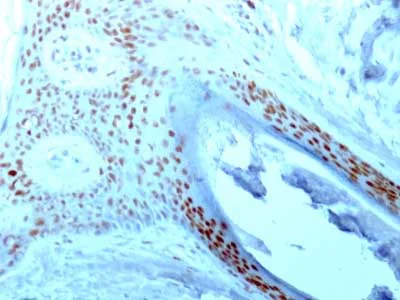
Immunohistochemistry (Formalin/PFA-fixed paraffin-embedded sections) - Anti-Nucleolin antibody [364-5] - BSA and Azide free (AB212672)
  • IHC-P

Supplier Data

Immunohistochemistry (Formalin/PFA-fixed paraffin-embedded sections) - Anti-Nucleolin antibody [364-5] - BSA and Azide free (AB212672)

Immunohistochemical analysis of formalin-fixed, paraffin-embedded human skin tissue labeling Nucleolin with ab212672 at 0.5 μg/ml.

Key facts

Host species

Mouse

Clonality

Monoclonal

Clone number

364-5

Isotype

IgG1

Light chain type

kappa

Carrier free

Yes

Reacts with

Human

Applications

IHC-P

applications

Immunogen

Cell preparation containing NCL protein. The exact immunogen used to generate this antibody is proprietary information.

P19338

Reactivity data

{ "title": "Reactivity Data", "filters": { "stats": ["", "Species", "Dilution Info", "Notes"], "tabs": { "all-applications": {"fullname" : "All Applications", "shortname": "All Applications"}, "IHCP" : {"fullname" : "Immunohistochemistry (Formalin/PFA-fixed paraffin-embedded sections)", "shortname":"IHC-P"} }, "product-promise": { "all": "all", "testedAndGuaranteed": "tested", "guaranteed": "expected", "predicted": "predicted", "notRecommended": "not-recommended" } }, "values": { "Human": { "IHCP-species-checked": "testedAndGuaranteed", "IHCP-species-dilution-info": "0.25-0.5 µg/mL", "IHCP-species-notes": "<p>(Primary incubation for 30 minutes at RT).</p> Perform heat-mediated antigen retrieval with citrate buffer pH 6 before commencing with IHC staining protocol." }, "Mouse": { "IHCP-species-checked": "notRecommended", "IHCP-species-dilution-info": "0.25-0.5 µg/mL", "IHCP-species-notes": "<p>(Primary incubation for 30 minutes at RT).</p> Perform heat-mediated antigen retrieval with citrate buffer pH 6 before commencing with IHC staining protocol." }, "Rat": { "IHCP-species-checked": "notRecommended", "IHCP-species-dilution-info": "0.25-0.5 µg/mL", "IHCP-species-notes": "<p>(Primary incubation for 30 minutes at RT).</p> Perform heat-mediated antigen retrieval with citrate buffer pH 6 before commencing with IHC staining protocol." }, "Cow": { "IHCP-species-checked": "notRecommended", "IHCP-species-dilution-info": "0.25-0.5 µg/µL", "IHCP-species-notes": "<p>(Primary incubation for 30 minutes at RT).</p> Perform heat-mediated antigen retrieval with citrate buffer pH 6 before commencing with IHC staining protocol." } } }

Properties and storage information

Form
Liquid
Purification technique
Affinity purification Protein G
Purification notes
ab212672 was purified from Bioreactor Concentrate by Protein A/G.
Storage buffer
pH: 7.2 - 7.4 Constituents: PBS
Shipped at conditions
Blue Ice
Appropriate short-term storage duration
1-2 weeks
Appropriate short-term storage conditions
+4°C
Appropriate long-term storage conditions
-20°C
Aliquoting information
Upon delivery aliquot
Storage information
Avoid freeze / thaw cycle

Supplementary information

This supplementary information is collated from multiple sources and compiled automatically.

Nucleolin also known as C23 is a multifunctional protein mainly found in the nucleolus with a molecular weight of approximately 100 kDa. It plays a mechanical role in ribosomal RNA (rRNA) synthesis and ribosome biogenesis. Nucleolin is widely expressed in proliferating cells including HeLa culture and shows higher expression in cancer cells compared to normal cells. The nucleolin protein is involved in various nucleolar processes like the modulation of chromatin structure and nucleocytoplasmic transport.
Biological function summary

The nucleolin molecular weight protein contributes to regulating cellular processes such as chromatin remodeling rRNA transcription and mRNA stability. Nucleolin often forms complexes with various other proteins and nucleic acids enhancing its functionality within the cell nucleus. Its participation in processes like DNA replication and cell proliferation shows the central role nucleolin plays at the cellular level. It influences cellular responses by binding directly to specific RNA or DNA sequences.

Pathways

The nucleolin protein engages in major cellular pathways such as the RNA processing and p53 signaling pathways. Through the RNA processing pathway it interacts with proteins like fibrillarin to assist in rRNA maturation. Moreover within the p53 signaling pathway nucleolin regulates the activity of the tumor suppressor protein p53 impacting cell cycle progression and apoptosis. These interactions highlight nucleolin's role in maintaining cellular homeostasis and response to stress.

The nucleolin protein often shows altered expression in cancers and cardiovascular diseases. In cancer nucleolin's high expression levels correlate with tumor progression and metastasis making it a potential target for cancer therapies. In cardiovascular diseases nucleolin interacts with proteins like VEGF to influence angiogenesis which affects disease progression. Understanding nucleolin's involvement in these diseases provides insight into potential therapeutic targets and interventions.

Product protocols

For this product, it's our understanding that no specific protocols are required. You can visit:

Target data

Nucleolin is the major nucleolar protein of growing eukaryotic cells. It is found associated with intranucleolar chromatin and pre-ribosomal particles. It induces chromatin decondensation by binding to histone H1. It is thought to play a role in pre-rRNA transcription and ribosome assembly. May play a role in the process of transcriptional elongation. Binds RNA oligonucleotides with 5'-UUAGGG-3' repeats more tightly than the telomeric single-stranded DNA 5'-TTAGGG-3' repeats.
See full target information NCL

Publications (2)

Recent publications for all applications. Explore the full list and refine your search

Biomedicines 11: PubMed37760875

2023

Creation of an iPSC-Based Skeletal Muscle Model of McArdle Disease Harbouring the Mutation c.2392T>C (p.Trp798Arg) in the Gene.

Applications

Unspecified application

Species

Unspecified reactive species

Victoria Cerrada,Inés García-Consuegra,Joaquín Arenas,M Esther Gallardo

Molecular cell 72:99-111.e5 PubMed30220559

2018

Box C/D snoRNP Autoregulation by a cis-Acting snoRNA in the NOP56 Pre-mRNA.

Applications

Unspecified application

Species

Unspecified reactive species

Søren Lykke-Andersen,Britt Kidmose Ardal,Anne Kruse Hollensen,Christian Kroun Damgaard,Torben Heick Jensen
View all publications

Product promise

We are committed to supporting your work with high-quality reagents, and we're here for you every step of the way. In the unlikely event that one of our products does not perform as expected, you're protected by our Product Promise.
For full details, please see our Terms & Conditions

Please note: All products are 'FOR RESEARCH USE ONLY. NOT FOR USE IN DIAGNOSTIC OR THERAPEUTIC PROCEDURES'.

For licensing inquiries, please contact partnerships@abcam.com