JavaScript is disabled in your browser. Please enable JavaScript to view this website.
AB233474

Anti-Nucleolin (phospho T84) antibody [EPR8080] - BSA and Azide free

Be the first to review this product! Submit a review

|

(1 Publication)

Rabbit Recombinant Monoclonal Nucleolin phospho T84 antibody. Carrier free. Suitable for IHC-P, WB and reacts with Human samples. Cited in 1 publication.

View Alternative Names

Nucleolin, Protein C23, NCL

3 Images
Immunohistochemistry (Formalin/PFA-fixed paraffin-embedded sections) - Anti-Nucleolin (phospho T84) antibody [EPR8080] - BSA and Azide free (AB233474)
  • IHC-P

Lab

Immunohistochemistry (Formalin/PFA-fixed paraffin-embedded sections) - Anti-Nucleolin (phospho T84) antibody [EPR8080] - BSA and Azide free (AB233474)

This data was developed using ab155977, the same antibody clone in a different buffer formulation.

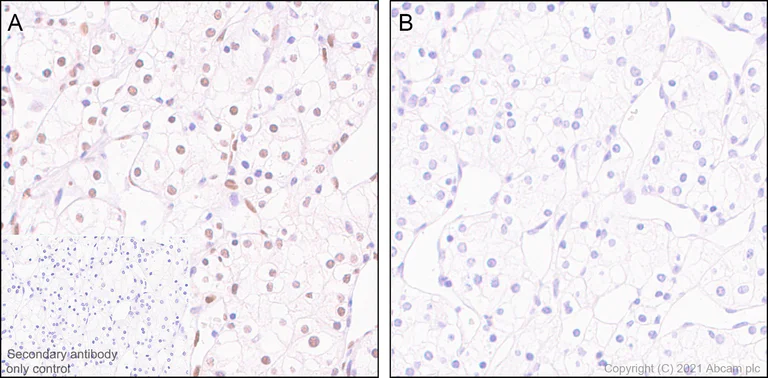
Immunohistochemistry (Formalin/PFA-fixed paraffin-embedded sections) analysis of human tonsil tissue sections labeling Nucleolin with purified ab155977 at 1/10000 dilution (0.18 μg/mL). Heat mediated antigen retrieval was performed using Heat mediated antigen retrieval using Bond™ Epitope Retrieval Solution 2 (pH 9.0) for 20 minutes. Tissue was counterstained with Hematoxylin. Rabbit specific IHC polymer detection kit HRP/DAB (ab209101) (ready to use) secondary antibody was used.

Nuclear staining on human tonsil without alkaline phosphatase treatment (image A). No signal was detected when tissues were treated with alkaline phosphatase (image B).

The section was incubated with ab155977 for 30 mins at room temperature.

The immunostaining was performed on a Leica Biosystems BOND® RX instrument

Immunohistochemistry (Formalin/PFA-fixed paraffin-embedded sections) - Anti-Nucleolin (phospho T84) antibody [EPR8080] - BSA and Azide free (AB233474)
  • IHC-P

Lab

Immunohistochemistry (Formalin/PFA-fixed paraffin-embedded sections) - Anti-Nucleolin (phospho T84) antibody [EPR8080] - BSA and Azide free (AB233474)

This data was developed using ab155977, the same antibody clone in a different buffer formulation.

Immunohistochemistry (Formalin/PFA-fixed paraffin-embedded sections) analysis of human kidney carcioma tissue sections labeling Nucleolin with purified ab155977 at 1/10000 dilution (0.18 μg/mL). Heat mediated antigen retrieval was performed using Heat mediated antigen retrieval using Bond™ Epitope Retrieval Solution 2 (pH 9.0) for 20 minutes. Tissue was counterstained with Hematoxylin. Rabbit specific IHC polymer detection kit HRP/DAB (ab209101) (ready to use) secondary antibody was used.

Nuclear staining on human kidney carcinoma without alkaline phosphatase treatment (image A). No signal was detected when tissues were treated with alkaline phosphatase (image B).

The section was incubated with ab155977 for 30 mins at room temperature.

The immunostaining was performed on a Leica Biosystems BOND® RX instrument

Western blot - Anti-Nucleolin (phospho T84) antibody [EPR8080] - BSA and Azide free (AB233474)
  • WB

Unknown

Western blot - Anti-Nucleolin (phospho T84) antibody [EPR8080] - BSA and Azide free (AB233474)

All lanes:

Western blot - Anti-Nucleolin (phospho T84) antibody [EPR8080] (<a href='/en-us/products/primary-antibodies/nucleolin-phospho-t84-antibody-epr8080-ab155977'>ab155977</a>) at 1/5000 dilution

Lane 1:

Untreated K-562 (Human chronic myelogenous leukemia lymphoblast) whole cell lysate at 15 µg

Lane 2:

K-562 (Human chronic myelogenous leukemia lymphoblast) treated with 100nM Calyculin A for 30 minutes whole cell lysate at 15 µg

Lane 3:

K-562 (Human chronic myelogenous leukemia lymphoblast) treated with 100nM Calyculin A for 30 minutes, then the membrane treated with Lambda Phosphatase for 1 hour at 15 µg

Secondary

All lanes:

Western blot - Goat Anti-Rabbit IgG H&L (HRP) (<a href='/en-us/products/secondary-antibodies/goat-rabbit-igg-h-l-hrp-ab97051'>ab97051</a>) at 1/20000 dilution

Predicted band size: 76 kDa

false

  • Unconjugated

    Anti-Nucleolin (phospho T84) antibody [EPR8080]

  • 565 Alexa Fluor® 555

    Alexa Fluor® 555 Anti-Nucleolin (phospho T84) antibody [EPR8080]

  • 665 Alexa Fluor® 647

    Alexa Fluor® 647 Anti-Nucleolin (phospho T84) antibody [EPR8080]

  • 617 Alexa Fluor® 594

    Alexa Fluor® 594 Anti-Nucleolin (phospho T84) antibody [EPR8080]

  • 519 Alexa Fluor® 488

    Alexa Fluor® 488 Anti-Nucleolin (phospho T84) antibody [EPR8080]

  • 578 PE

    PE Anti-Nucleolin (phospho T84) antibody [EPR8080]

  • 660 APC

    APC Anti-Nucleolin (phospho T84) antibody [EPR8080]

  • 775 Alexa Fluor® 750

    Alexa Fluor® 750 Anti-Nucleolin (phospho T84) antibody [EPR8080]

Key facts

Host species

Rabbit

Clonality

Monoclonal

Clone number

EPR8080

Isotype

IgG

Carrier free

Yes

Reacts with

Human

Applications

IHC-P, WB

applications

Immunogen

The exact immunogen used to generate this antibody is proprietary information.

Reactivity data

{ "title": "Reactivity Data", "filters": { "stats": ["", "Species", "Dilution Info", "Notes"], "tabs": { "all-applications": {"fullname" : "All Applications", "shortname": "All Applications"}, "IHCP" : {"fullname" : "Immunohistochemistry (Formalin/PFA-fixed paraffin-embedded sections)", "shortname":"IHC-P"}, "WB" : {"fullname" : "Western blot", "shortname":"WB"} }, "product-promise": { "all": "all", "testedAndGuaranteed": "tested", "guaranteed": "expected", "predicted": "predicted", "notRecommended": "not-recommended" } }, "values": { "Human": { "IHCP-species-checked": "testedAndGuaranteed", "IHCP-species-dilution-info": "", "IHCP-species-notes": "<p></p>", "WB-species-checked": "testedAndGuaranteed", "WB-species-dilution-info": "", "WB-species-notes": "<p></p>" } } }

Product details

ab233474 is the carrier-free version of ab155977.

Species reactivity
Mouse, Rat: We have preliminary internal testing data to indicate this antibody may not react with these species.
Please contact us for more information.

Patented technology
Our RabMAb® technology is a patented hybridoma-based technology for making rabbit monoclonal antibodies. For details on our patents, please refer to RabMAb® patents.

What are the advantages of a recombinant monoclonal antibody?
This product is a recombinant monoclonal antibody, which offers several advantages including:

  • - High batch-to-batch consistency and reproducibility
  • - Improved sensitivity and specificity
  • - Long-term security of supply
  • - Animal-free batch production

For more information, read more on recombinant antibodies.

Conjugation ready
Our carrier-free antibodies are typically supplied in a PBS-only formulation, purified and free of BSA, sodium azide and glycerol. This conjugation-ready format is designed for use with fluorochromes, metal isotopes, oligonucleotides, and enzymes, which makes them ideal for antibody labelling, functional and cell-based assays, flow-based assays (e.g. mass cytometry) and Multiplex Imaging applications.

Use our conjugation kits for antibody conjugates that are ready-to-use in as little as 20 minutes with 1 minute hands-on-time and 100% antibody recovery: available for fluorescent dyes, HRP, biotin and gold.

Compatibility
This product is compatible with the Maxpar® Antibody Labeling Kit from Fluidigm, without the need for antibody preparation. Maxpar® is a trademark of Fluidigm Canada Inc.

Properties and storage information

Form
Liquid
Purification technique
Affinity purification Protein A
Storage buffer
pH: 7.2 - 7.4 Constituents: PBS
Shipped at conditions
Blue Ice
Appropriate short-term storage conditions
+4°C
Appropriate long-term storage conditions
+4°C
Storage information
Do Not Freeze

Supplementary information

This supplementary information is collated from multiple sources and compiled automatically.

Nucleolin also known as C23 is a multifunctional protein mainly found in the nucleolus with a molecular weight of approximately 100 kDa. It plays a mechanical role in ribosomal RNA (rRNA) synthesis and ribosome biogenesis. Nucleolin is widely expressed in proliferating cells including HeLa culture and shows higher expression in cancer cells compared to normal cells. The nucleolin protein is involved in various nucleolar processes like the modulation of chromatin structure and nucleocytoplasmic transport.
Biological function summary

The nucleolin molecular weight protein contributes to regulating cellular processes such as chromatin remodeling rRNA transcription and mRNA stability. Nucleolin often forms complexes with various other proteins and nucleic acids enhancing its functionality within the cell nucleus. Its participation in processes like DNA replication and cell proliferation shows the central role nucleolin plays at the cellular level. It influences cellular responses by binding directly to specific RNA or DNA sequences.

Pathways

The nucleolin protein engages in major cellular pathways such as the RNA processing and p53 signaling pathways. Through the RNA processing pathway it interacts with proteins like fibrillarin to assist in rRNA maturation. Moreover within the p53 signaling pathway nucleolin regulates the activity of the tumor suppressor protein p53 impacting cell cycle progression and apoptosis. These interactions highlight nucleolin's role in maintaining cellular homeostasis and response to stress.

The nucleolin protein often shows altered expression in cancers and cardiovascular diseases. In cancer nucleolin's high expression levels correlate with tumor progression and metastasis making it a potential target for cancer therapies. In cardiovascular diseases nucleolin interacts with proteins like VEGF to influence angiogenesis which affects disease progression. Understanding nucleolin's involvement in these diseases provides insight into potential therapeutic targets and interventions.

Product protocols

For this product, it's our understanding that no specific protocols are required. You can visit:

Target data

Nucleolin is the major nucleolar protein of growing eukaryotic cells. It is found associated with intranucleolar chromatin and pre-ribosomal particles. It induces chromatin decondensation by binding to histone H1. It is thought to play a role in pre-rRNA transcription and ribosome assembly. May play a role in the process of transcriptional elongation. Binds RNA oligonucleotides with 5'-UUAGGG-3' repeats more tightly than the telomeric single-stranded DNA 5'-TTAGGG-3' repeats.
See full target information NCL phospho T84

Publications (1)

Recent publications for all applications. Explore the full list and refine your search

iScience 26:106093 PubMed36843845

2023

Prenatal low-dose methylmercury exposure causes premature neuronal differentiation and autism-like behaviors in a rodent model.

Applications

Unspecified application

Species

Unspecified reactive species

Allison Loan,Joseph Wai-Hin Leung,David P Cook,Chelsea Ko,Barbara C Vanderhyden,Jing Wang,Hing Man Chan
View all publications

Product promise

We are committed to supporting your work with high-quality reagents, and we're here for you every step of the way. In the unlikely event that one of our products does not perform as expected, you're protected by our Product Promise.
For full details, please see our Terms & Conditions

Please note: All products are 'FOR RESEARCH USE ONLY. NOT FOR USE IN DIAGNOSTIC OR THERAPEUTIC PROCEDURES'.

For licensing inquiries, please contact partnerships@abcam.com