JavaScript is disabled in your browser. Please enable JavaScript to view this website.
AB52644

Anti-Nucleophosmin antibody [EP1848Y]

0

(1 Review)

|

(16 Publications)

Rabbit Recombinant Monoclonal Nucleophosmin antibody. Suitable for IHC-P, WB, ICC/IF, Flow Cyt (Intra) and reacts with Human, Mouse, Rat samples. Cited in 16 publications.

View Alternative Names

NPM, NPM1, Nucleophosmin, Nucleolar phosphoprotein B23, Nucleolar protein NO38, Numatrin

5 Images
Immunocytochemistry/ Immunofluorescence - Anti-Nucleophosmin antibody [EP1848Y] (AB52644)
  • ICC/IF

Unknown

Immunocytochemistry/ Immunofluorescence - Anti-Nucleophosmin antibody [EP1848Y] (AB52644)

Immunocytochemistry/ Immunofluorescence analysis of HeLa (human cervix adenocarcinoma epithelial cell) cells labeling Nucleophosmin with purified ab52644 at 1/100 dilution (5 © : g/ml). Cells were fixed in 4% paraformaldehyde and permeabilized with 0.1% Triton X-100. Cells were counterstained with ab195889 Anti-alpha Tubulin antibody [DM1A] - Microtubule Marker (Alexa Fluor� 594) 1/200 (2.5 © : g/ml). Goat anti rabbit IgG (Alexa Fluor� 488, ab150077) was used as the secondary antibody at 1/1000 dilution (2 © : g/ml) dilution. DAPI was used as nuclear counterstain. PBS instead of the primary antibody was used as the secondary antibody only control.

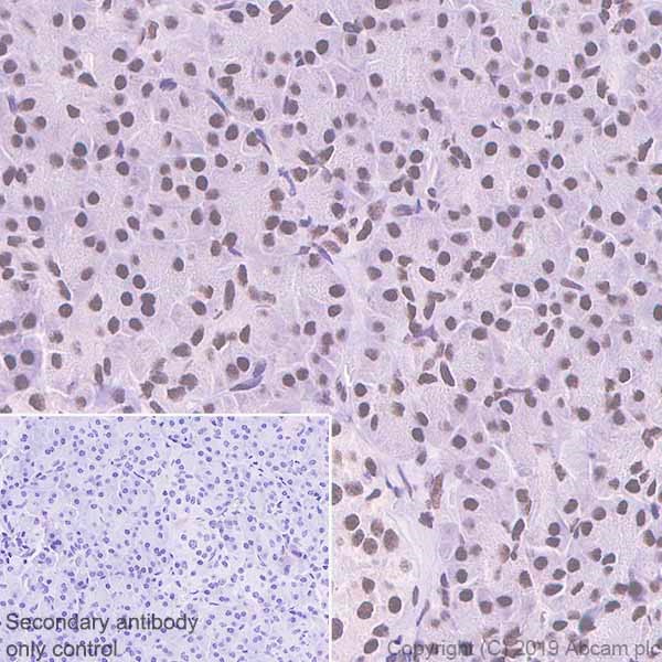
Immunohistochemistry (Formalin/PFA-fixed paraffin-embedded sections) - Anti-Nucleophosmin antibody [EP1848Y] (AB52644)
  • IHC-P

Unknown

Immunohistochemistry (Formalin/PFA-fixed paraffin-embedded sections) - Anti-Nucleophosmin antibody [EP1848Y] (AB52644)

Immunohistochemistry (Formalin/PFA-fixed paraffin-embedded sections) analysis of human cervical carcinoma tissue sections labeling Nucleophosmin with purified ab52644 at 1/300 dilution (1.14 μg/mL). Heat mediated antigen retrieval was performed using Bond™ Epitope Retrieval Solution 2 (pH 9.0). Rabbit specific IHC polymer detection kit HRP/DAB (ab209101) was used as the secondary antibody. Negative control : PBS instead of the primary antibody. Hematoxylin was used as a counterstain.
The immunostaining was performed on a Leica Biosystems BOND® RX instrument.

Flow Cytometry (Intracellular) - Anti-Nucleophosmin antibody [EP1848Y] (AB52644)
  • Flow Cyt (Intra)

Unknown

Flow Cytometry (Intracellular) - Anti-Nucleophosmin antibody [EP1848Y] (AB52644)

Intracellular Flow Cytometry analysis of HeLa (Human cervix adenocarcinoma epithelial cell) cells, labeling Nucleophosmin with Purified ab52644 at 1/40 dilution (10μg/mL) (Red). Cells were fixed with 4% Paraformaldehyde and permeabilised with 90% Methanol. A Goat anti rabbit IgG (Alexa Fluorr® 488, ab150077) secondary antibody was used at 1/2000. Isotype control - Rabbit monoclonal IgG (Black). Unlabeled control - Cell without incubation with primary antibody and secondary antibody (Blue).

Western blot - Anti-Nucleophosmin antibody [EP1848Y] (AB52644)
  • WB

Lab

Western blot - Anti-Nucleophosmin antibody [EP1848Y] (AB52644)

All lanes:

Western blot - Anti-Nucleophosmin antibody [EP1848Y] (ab52644) at 1/500000 dilution

Lane 1:

HeLa (Human cervix adenocarcinoma epithelial cell) whole cell lysate at 20 µg

Lane 2:

MEF (Mouse embryonic fibroblast) whole cell lysate at 20 µg

Lane 3:

3T3-L1 (Mouse embryonic fibroblast) whole cell lysate at 20 µg

Lane 4:

PC-12 (Rat adrenal gland pheochromocytoma) whole cell lysate at 20 µg

Secondary

All lanes:

Western blot - Goat Anti-Rabbit IgG H&L (HRP) (<a href='/en-us/products/secondary-antibodies/goat-rabbit-igg-h-l-hrp-ab97051'>ab97051</a>) at 1/20000 dilution

Predicted band size: 32 kDa

Observed band size: 37 kDa

false

Western blot - Anti-Nucleophosmin antibody [EP1848Y] (AB52644)
  • WB

Unknown

Western blot - Anti-Nucleophosmin antibody [EP1848Y] (AB52644)

The band at 250kDa might be an oligomer and the band at 33kDa might be an isoform of NPM.

Blocking/Diluting buffer : 5% NFDM/TBST

All lanes:

Western blot - Anti-Nucleophosmin antibody [EP1848Y] (ab52644) at 1/2000 dilution

All lanes:

HeLa (Human cervix adenocarcinoma epithelial cell) whole cell lysate at 15 µg

Secondary

All lanes:

Western blot - Goat Anti-Rabbit IgG H&L (HRP) (<a href='/en-us/products/secondary-antibodies/goat-rabbit-igg-h-l-hrp-ab97051'>ab97051</a>) at 1/20000 dilution

Predicted band size: 32 kDa

Observed band size: 250 kDa,27 kDa,33 kDa

false

  • 578 PE

    PE Anti-Nucleophosmin antibody [EP1848Y]

  • 660 APC

    APC Anti-Nucleophosmin antibody [EP1848Y]

  • HRP

    HRP Anti-Nucleophosmin antibody [EP1848Y]

  • 519 Alexa Fluor® 488

    Alexa Fluor® 488 Anti-Nucleophosmin antibody [EP1848Y]

  • 665 Alexa Fluor® 647

    Alexa Fluor® 647 Anti-Nucleophosmin antibody [EP1848Y]

  • 565 Alexa Fluor® 555

    Alexa Fluor® 555 Anti-Nucleophosmin antibody [EP1848Y]

  • Carrier free

    Anti-Nucleophosmin antibody [EP1848Y] - BSA and Azide free

  • 617 Alexa Fluor® 594

    Alexa Fluor® 594 Anti-Nucleophosmin antibody [EP1848Y]

  • 603 Alexa Fluor® 568

    Alexa Fluor® 568 Anti-Nucleophosmin antibody [EP1848Y]

  • 775 Alexa Fluor® 750

    Alexa Fluor® 750 Anti-Nucleophosmin antibody [EP1848Y]

Key facts

Host species

Rabbit

Clonality

Monoclonal

Clone number

EP1848Y

Isotype

IgG

Carrier free

No

Reacts with

Mouse, Rat, Human

Applications

WB, ICC/IF, Flow Cyt (Intra), IHC-P

applications

Immunogen

The exact immunogen used to generate this antibody is proprietary information.

Specificity

The mouse and rat recommendation is based on the Western Blot results. We do not guarantee Immunohistochemistry for mouse and rat.

Reactivity data

{ "title": "Reactivity Data", "filters": { "stats": ["", "Species", "Dilution Info", "Notes"], "tabs": { "all-applications": {"fullname" : "All Applications", "shortname": "All Applications"}, "IHCP" : {"fullname" : "Immunohistochemistry (Formalin/PFA-fixed paraffin-embedded sections)", "shortname":"IHC-P"}, "IP" : {"fullname" : "Immunoprecipitation", "shortname":"IP"}, "WB" : {"fullname" : "Western blot", "shortname":"WB"}, "ICCIF" : {"fullname" : "Immunocytochemistry/ Immunofluorescence", "shortname":"ICC/IF"}, "FlowCytIntra" : {"fullname" : "Flow Cytometry (Intracellular)", "shortname":"Flow Cyt (Intra)"} }, "product-promise": { "all": "all", "testedAndGuaranteed": "tested", "guaranteed": "expected", "predicted": "predicted", "notRecommended": "not-recommended" } }, "values": { "Human": { "IHCP-species-checked": "testedAndGuaranteed", "IHCP-species-dilution-info": "1/300", "IHCP-species-notes": "<p><strong>For unpurified use at 1/100- 1/250.</strong></p> Perform heat-mediated antigen retrieval before commencing with IHC staining protocol.", "IP-species-checked": "notRecommended", "IP-species-dilution-info": "", "IP-species-notes": "<p></p>", "WB-species-checked": "testedAndGuaranteed", "WB-species-dilution-info": "1/1000 - 1/500000", "WB-species-notes": "<p></p>", "ICCIF-species-checked": "testedAndGuaranteed", "ICCIF-species-dilution-info": "1/100", "ICCIF-species-notes": "<p></p>", "FlowCytIntra-species-checked": "testedAndGuaranteed", "FlowCytIntra-species-dilution-info": "1/40", "FlowCytIntra-species-notes": "<p><a href='/en-us/products/primary-antibodies/rabbit-igg-monoclonal-epr25a-isotype-control-ab172730'>ab172730</a> - Rabbit monoclonal IgG, is suitable for use as an isotype control with this antibody.</p>" }, "Mouse": { "IHCP-species-checked": "guaranteed", "IHCP-species-dilution-info": "", "IHCP-species-notes": "", "IP-species-checked": "notRecommended", "IP-species-dilution-info": "", "IP-species-notes": "", "WB-species-checked": "testedAndGuaranteed", "WB-species-dilution-info": "1/1000 - 1/500000", "WB-species-notes": "<p></p>", "ICCIF-species-checked": "guaranteed", "ICCIF-species-dilution-info": "", "ICCIF-species-notes": "", "FlowCytIntra-species-checked": "guaranteed", "FlowCytIntra-species-dilution-info": "", "FlowCytIntra-species-notes": "" }, "Rat": { "IHCP-species-checked": "guaranteed", "IHCP-species-dilution-info": "", "IHCP-species-notes": "", "IP-species-checked": "notRecommended", "IP-species-dilution-info": "", "IP-species-notes": "", "WB-species-checked": "testedAndGuaranteed", "WB-species-dilution-info": "1/1000 - 1/500000", "WB-species-notes": "<p></p>", "ICCIF-species-checked": "guaranteed", "ICCIF-species-dilution-info": "", "ICCIF-species-notes": "", "FlowCytIntra-species-checked": "guaranteed", "FlowCytIntra-species-dilution-info": "", "FlowCytIntra-species-notes": "" } } }

Product details

Species reactivity
Mouse, Rat: We have preliminary internal testing data to indicate this antibody may not react with these species.
Please contact us for more information.

Patented technology
Our RabMAb® technology is a patented hybridoma-based technology for making rabbit monoclonal antibodies. For details on our patents, please refer to RabMAb® patents.

What are the advantages of a recombinant monoclonal antibody?
This product is a recombinant monoclonal antibody, which offers several advantages including:

  • - High batch-to-batch consistency and reproducibility
  • - Improved sensitivity and specificity
  • - Long-term security of supply
  • - Animal-free batch production

For more information, read more on recombinant antibodies.

Properties and storage information

Form
Liquid
Purification technique
Affinity purification Protein A
Storage buffer
pH: 7.2 - 7.4 Preservative: 0.01% Sodium azide Constituents: 59% PBS, 40% Glycerol (glycerin, glycerine), 0.05% BSA
Shipped at conditions
Blue Ice
Appropriate short-term storage duration
1-2 weeks
Appropriate short-term storage conditions
+4°C
Appropriate long-term storage conditions
-20°C
Aliquoting information
Upon delivery aliquot
Storage information
Avoid freeze / thaw cycle

Supplementary information

This supplementary information is collated from multiple sources and compiled automatically.

Nucleophosmin also known as NPM1 or B23 is a multifunctional nucleolar phosphoprotein with a molecular weight of approximately 37 kDa. It is highly expressed in the nucleolus of many human cells and is involved in various cellular processes. NPM1 aids ribosome biogenesis intracellular transport of ribosomal components and regulation of the centrosome. Its nucleocytoplasmic shuttling ability is due to its N-terminal domain which plays an important role in binding to nucleic acids and other proteins. Apart from these functions NPM1 acts as a histone chaperone and is important for maintaining genomic integrity.
Biological function summary

One of the central roles of NPM1 is its involvement in the regulation of cell growth and proliferation. NPM1 forms a complex with other nucleolar proteins affecting ribosome subunit assembly and transport. This protein also participates in the control of the ARF/p53 pathway by sequestering p53-regulating proteins which are essential for cell cycle control and apoptosis. Its interactions with proteins such as nucleolin and nucleophosmin-like proteins allow NPM1 to perform its functions in organizing the nucleolus and regulating responses to stress signals.

Pathways

The NPM1 protein is integrally involved in key cellular pathways like the regulation of the cell cycle and apoptosis. It directly interacts with pathways such as the ribosome biogenesis pathway and the p53 pathway. NPM1 has connections with proteins like ARF and MDM2 which play roles in retinoblastoma protein (pRb) regulation and in the control of tumor-suppressor activities. These pathways under NPM1’s influence are critical for maintaining cellular homeostasis and ensuring proper cell cycle checkpoints.

NPM1 mutations are commonly observed in acute myeloid leukemia (AML) where they affect the normal function of the protein leading to leukemogenesis. NPM1 is also linked to tumorigenesis through its impact on the p53 tumor suppressor pathway. Specifically alterations in NPM1 can disrupt the balance of other related proteins like ALK and p53 influencing the onset and progression of leukemia. Understanding the roles of NPM1 in these contexts is essential for developing targeted therapies to treat AML and other related disorders effectively.

Product protocols

For this product, it's our understanding that no specific protocols are required. You can visit:

Target data

Involved in diverse cellular processes such as ribosome biogenesis, centrosome duplication, protein chaperoning, histone assembly, cell proliferation, and regulation of tumor suppressors p53/TP53 and ARF. Binds ribosome presumably to drive ribosome nuclear export. Associated with nucleolar ribonucleoprotein structures and bind single-stranded nucleic acids. Acts as a chaperonin for the core histones H3, H2B and H4. Stimulates APEX1 endonuclease activity on apurinic/apyrimidinic (AP) double-stranded DNA but inhibits APEX1 endonuclease activity on AP single-stranded RNA. May exert a control of APEX1 endonuclease activity within nucleoli devoted to repair AP on rDNA and the removal of oxidized rRNA molecules. In concert with BRCA2, regulates centrosome duplication. Regulates centriole duplication : phosphorylation by PLK2 is able to trigger centriole replication. Negatively regulates the activation of EIF2AK2/PKR and suppresses apoptosis through inhibition of EIF2AK2/PKR autophosphorylation. Antagonizes the inhibitory effect of ATF5 on cell proliferation and relieves ATF5-induced G2/M blockade (PubMed : 22528486). In complex with MYC enhances the transcription of MYC target genes (PubMed : 25956029). May act as chaperonin or cotransporter in the nucleolar localization of transcription termination factor TTF1 (By similarity).
See full target information NPM1

Publications (16)

Recent publications for all applications. Explore the full list and refine your search

American journal of translational research 17:5332-5343 PubMed40821094

2025

Endothelial progenitor cell-derived microvesicles therapy relieves myocardial infarction symptoms by altering left ventricular protein expression.

Applications

Unspecified application

Species

Unspecified reactive species

Yanling Song,Shuai Wang,Huade Mai,Minghui Chen,Yunyun Lin,Huajun Wu,Shenhong Gu

Science advances 11:eadv4725 PubMed40408479

2025

negatively regulates self-renewal of intestinal stem cells and gut regeneration via suppression of Notch2 signaling.

Applications

Unspecified application

Species

Unspecified reactive species

Jiahang Zhang,Hui Guo,Yuwei Xu,Zhen Xiong,Ying Du,Pingping Zhu,Zusen Fan

International journal of molecular sciences 24: PubMed36675134

2023

Cytoplasmic Expression of TP53INP2 Modulated by Demethylase FTO and Mutant NPM1 Promotes Autophagy in Leukemia Cells.

Applications

Unspecified application

Species

Unspecified reactive species

Junpeng Huang,Minghui Sun,Yonghong Tao,Jun Ren,Meixi Peng,Yipei Jing,Qiaoling Xiao,Jing Yang,Can Lin,Li Lei,Zailin Yang,Ling Zhang

Frontiers in oncology 12:817584 PubMed35211409

2022

Mutant NPM1-Regulated FTO-Mediated mA Demethylation Promotes Leukemic Cell Survival PDGFRB/ERK Signaling Axis.

Applications

Unspecified application

Species

Unspecified reactive species

Qiaoling Xiao,Li Lei,Jun Ren,Meixi Peng,Yipei Jing,Xueke Jiang,Junpeng Huang,Yonghong Tao,Can Lin,Jing Yang,Minghui Sun,Lisha Tang,Xingyu Wei,Zailin Yang,Ling Zhang

Frontiers in microbiology 12:751382 PubMed34745055

2021

The Nucleolar Localization Signal of Porcine Circovirus Type 4 Capsid Protein Is Essential for Interaction With Serine-48 Residue of Nucleolar Phosphoprotein Nucleophosmin-1.

Applications

Unspecified application

Species

Unspecified reactive species

Jianwei Zhou,Yonghui Qiu,Ning Zhu,Linyi Zhou,Beining Dai,Xufei Feng,Lei Hou,Jue Liu

Cell research 31:664-683 PubMed33432115

2021

Mutual dependency between lncRNA LETN and protein NPM1 in controlling the nucleolar structure and functions sustaining cell proliferation.

Applications

Unspecified application

Species

Unspecified reactive species

Xianteng Wang,Xiaolin Hu,Wanlu Song,Hui Xu,Zhengtao Xiao,Rongyao Huang,Qingran Bai,Fan Zhang,Yongzhen Chen,Yu Liu,Jianhuo Fang,Xin Li,Qin Shen,Haitao Zhao,Xuerui Yang

Veterinary research 52:4 PubMed33413620

2021

The serine-48 residue of nucleolar phosphoprotein nucleophosmin-1 plays critical role in subcellular localization and interaction with porcine circovirus type 3 capsid protein.

Applications

Unspecified application

Species

Unspecified reactive species

Jianwei Zhou,Juan Li,Haimin Li,Ying Zhang,Weiren Dong,Yulan Jin,Yan Yan,Jinyan Gu,Jiyong Zhou

Virulence 11:1379-1393 PubMed33073687

2020

Nucleolar protein NPM1 is essential for circovirus replication by binding to viral capsid.

Applications

Unspecified application

Species

Unspecified reactive species

Jianwei Zhou,Yadong Dai,Cui Lin,Ying Zhang,Zixuan Feng,Weiren Dong,Yulan Jin,Yan Yan,Jiyong Zhou,Jinyan Gu

Cancer management and research 11:143-156 PubMed30613163

2019

Knockdown of nucleophosmin 1 suppresses proliferation of triple-negative breast cancer cells through activating CDH1/Skp2/p27kip1 pathway.

Applications

Unspecified application

Species

Unspecified reactive species

De Zeng,Yingsheng Xiao,Jianling Zhu,Chunyan Peng,Weiquan Liang,Haoyu Lin

Cell death & disease 8:e2771 PubMed28492543

2017

BASP1 interacts with oestrogen receptor α and modifies the tamoxifen response.

Applications

Unspecified application

Species

Human

Lindsey A Marsh,Samantha Carrera,Jayasha Shandilya,Kate J Heesom,Andrew D Davidson,Kathryn F Medler,Stefan Ge Roberts
View all publications

Product promise

We are committed to supporting your work with high-quality reagents, and we're here for you every step of the way. In the unlikely event that one of our products does not perform as expected, you're protected by our Product Promise.
For full details, please see our Terms & Conditions

Please note: All products are 'FOR RESEARCH USE ONLY. NOT FOR USE IN DIAGNOSTIC OR THERAPEUTIC PROCEDURES'.

For licensing inquiries, please contact partnerships@abcam.com