JavaScript is disabled in your browser. Please enable JavaScript to view this website.
AB238029

Anti-Nucleophosmin antibody [NA24] (N-terminal)

Be the first to review this product! Submit a review

|

(1 Publication)

Mouse Recombinant Monoclonal Nucleophosmin antibody. N-terminal. Suitable for IHC-P, WB, ICC/IF, Flow Cyt (Intra) and reacts with Rat, Mouse, Human samples. Cited in 1 publication.

View Alternative Names

NPM, NPM1, Nucleophosmin, Nucleolar phosphoprotein B23, Nucleolar protein NO38, Numatrin

9 Images
Immunohistochemistry (Formalin/PFA-fixed paraffin-embedded sections) - Anti-Nucleophosmin antibody [NA24] (N-terminal) (AB238029)
  • IHC-P

Supplier Data

Immunohistochemistry (Formalin/PFA-fixed paraffin-embedded sections) - Anti-Nucleophosmin antibody [NA24] (N-terminal) (AB238029)

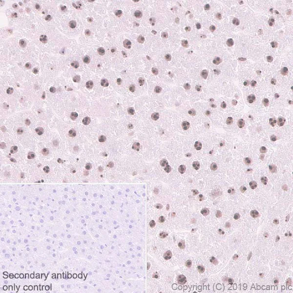
Immunohistochemical analysis of paraffin-embedded Human liver tissue labeling Nucleophosmin with ab238029 at 1/100 dilution (4.76 μg/ml) followed by a ready to use Goat Anti-Mouse IgG H&L (HRP polymer) (ab214879). Nuclear staining on human liver. The section was incubated with ab238029 overnight at 4 ℃. Counterstained with Hematoxylin.

Heat mediated antigen retrieval using ab93684 (Tris/EDTA buffer, pH 9.0).

Secondary antibody only control : Used PBS instead of primary antibody, secondary antibody is a ready to use Goat Anti-Mouse IgG H&L (HRP polymer) (ab214879) .

Immunohistochemistry (Formalin/PFA-fixed paraffin-embedded sections) - Anti-Nucleophosmin antibody [NA24] (N-terminal) (AB238029)
  • IHC-P

Supplier Data

Immunohistochemistry (Formalin/PFA-fixed paraffin-embedded sections) - Anti-Nucleophosmin antibody [NA24] (N-terminal) (AB238029)

Immunohistochemical analysis of paraffin-embedded Human pancreas tissue labeling Nucleophosmin with ab238029 at 1/100 dilution (4.76 μg/ml) followed by a ready to use Goat Anti-Mouse IgG H&L (HRP polymer) (ab214879) . Nuclear staining on human pancreas. The section was incubated with ab238029 overnight at 4 ℃. Counterstained with Hematoxylin.

Heat mediated antigen retrieval using ab93684 (Tris/EDTA buffer, pH 9.0).

Secondary antibody only control : Used PBS instead of primary antibody, secondary antibody is a ready to use Goat Anti-Mouse IgG H&L (HRP polymer) (ab214879) .

Immunocytochemistry/ Immunofluorescence - Anti-Nucleophosmin antibody [NA24] (N-terminal) (AB238029)
  • ICC/IF

Lab

Immunocytochemistry/ Immunofluorescence - Anti-Nucleophosmin antibody [NA24] (N-terminal) (AB238029)

ab238029 staining Nucleophosmin in HeLa cells. The cells were fixed with 100% methanol (5 min), permeabilized with 0.1% PBS-Triton X-100 for 5 minutes and then blocked with 1% BSA/10% normal goat serum/0.3M glycine in 0.1%PBS-Tween for 1h. The cells were then incubated overnight at 4°C with ab238029 at 1μg/ml and ab6046, Rabbit polyclonal to beta Tubulin - Loading Control. Cells were then incubated with ab150117, Goat polyclonal Secondary Antibody to Mouse IgG H&L (Alexa Fluor® 488) preadsorbed at 1/1000 dilution (shown in green) and ab150080, Goat polyclonal Secondary Antibody to Rabbit IgG - H&L (Alexa Fluor® 594) at 1/1000 dilution (shown in pseudocolour red). Nuclear DNA was labelled with DAPI (shown in blue).

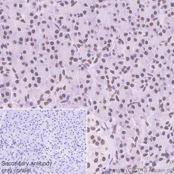
Immunohistochemistry (Formalin/PFA-fixed paraffin-embedded sections) - Anti-Nucleophosmin antibody [NA24] (N-terminal) (AB238029)
  • IHC-P

Supplier Data

Immunohistochemistry (Formalin/PFA-fixed paraffin-embedded sections) - Anti-Nucleophosmin antibody [NA24] (N-terminal) (AB238029)

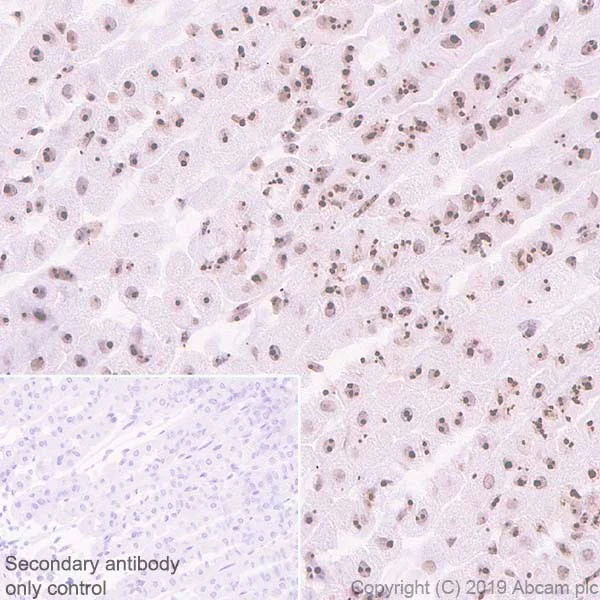
Immunohistochemical analysis of paraffin-embedded mouse liver tissue labeling Nucleophosmin with ab238029 at 1/100 dilution (4.76 μg/ml) followed by a ready to use Goat Anti-Mouse IgG H&L (HRP polymer) (ab214879) . Nuclear staining on mouse liver is observed. The section was incubated with ab238029 overnight at 4 ℃. Counterstained with Hematoxylin.

Heat mediated antigen retrieval using ab93684 (Tris/EDTA buffer, pH 9.0).

Secondary antibody only control : Used PBS instead of primary antibody, secondary antibody is a ready to use Goat Anti-Mouse IgG H&L (HRP polymer) (ab214879).

Immunohistochemistry (Formalin/PFA-fixed paraffin-embedded sections) - Anti-Nucleophosmin antibody [NA24] (N-terminal) (AB238029)
  • IHC-P

Supplier Data

Immunohistochemistry (Formalin/PFA-fixed paraffin-embedded sections) - Anti-Nucleophosmin antibody [NA24] (N-terminal) (AB238029)

Immunohistochemical analysis of paraffin-embedded mouse stomach tissue labeling Nucleophosmin with ab238029 at 1/100 dilution (4.76 μg/ml) followed by a ready to use Goat Anti-Mouse IgG H&L (HRP polymer) (ab214879). Nuclear staining on mouse stomach is observed. The section was incubated with ab238029 overnight at 4 ℃. Counterstained with Hematoxylin.

Heat mediated antigen retrieval using ab93684 (Tris/EDTA buffer, pH 9.0).

Secondary antibody only control : Used PBS instead of primary antibody, secondary antibody is a ready to use Goat Anti-Mouse IgG H&L (HRP polymer) (ab214879) .

Immunohistochemistry (Formalin/PFA-fixed paraffin-embedded sections) - Anti-Nucleophosmin antibody [NA24] (N-terminal) (AB238029)
  • IHC-P

Supplier Data

Immunohistochemistry (Formalin/PFA-fixed paraffin-embedded sections) - Anti-Nucleophosmin antibody [NA24] (N-terminal) (AB238029)

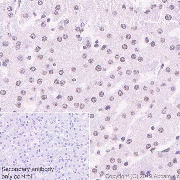
Immunohistochemical analysis of paraffin-embedded rat liver tissue labeling Nucleophosmin with ab238029 at 1/100 dilution (4.76 μg/ml) followed by a ready to use Goat Anti-Mouse IgG H&L (HRP polymer) (ab214879). Nuclear staining on rat liver is observed. The section was incubated with ab238029 overnight at 4 ℃. Counterstained with Hematoxylin.

Heat mediated antigen retrieval using ab93684 (Tris/EDTA buffer, pH 9.0).

Secondary antibody only control : Used PBS instead of primary antibody, secondary antibody is a ready to use Goat Anti-Mouse IgG H&L (HRP polymer) (ab214879) .

Immunohistochemistry (Formalin/PFA-fixed paraffin-embedded sections) - Anti-Nucleophosmin antibody [NA24] (N-terminal) (AB238029)
  • IHC-P

Supplier Data

Immunohistochemistry (Formalin/PFA-fixed paraffin-embedded sections) - Anti-Nucleophosmin antibody [NA24] (N-terminal) (AB238029)

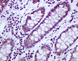
Immunohistochemical analysis of paraffin-embedded rat colon tissue labeling Nucleophosmin with ab238029 at 1/100 dilution (4.76 μg/ml) followed by a ready to use Goat Anti-Mouse IgG H&L (HRP polymer) (ab214879). Nuclear staining on rat colon is observed. The section was incubated with ab238029 overnight at 4 ℃. Counterstained with Hematoxylin.

Heat mediated antigen retrieval using ab93684 (Tris/EDTA buffer, pH 9.0).

Secondary antibody only control : Used PBS instead of primary antibody, secondary antibody is a ready to use Goat Anti-Mouse IgG H&L (HRP polymer) (ab214879) .

Western blot - Anti-Nucleophosmin antibody [NA24] (N-terminal) (AB238029)
  • WB

Lab

Western blot - Anti-Nucleophosmin antibody [NA24] (N-terminal) (AB238029)

Lanes 1 - 7 : Merged signal (red and green). Green - ab238029 observed at 36 kDa. Red - loading control ab52866 (Rabbit anti-alpha Tubulin antibody [EP1332Y]) observed at 55 kDa. ab238029 was shown to react with Nucleophosmin in Western blot. Membranes were blocked in 3 % milk in TBS-T (0.1 % Tween®) before incubation with ab238029 and ab52866 (Rabbit anti-alpha Tubulin antibody [EP1332Y]) overnight at 4 °C at 1 µg/ml and a 1 in 20000 dilution respectively. Blots were incubated with Goat anti-Mouse IgG H&L (IRDye® 800CW) preabsorbed (ab216772) and Goat anti-Rabbit IgG H&L (IRDye® 680RD) preabsorbed (ab216777) secondary antibodies at 1 in 20000 dilution for 1 h at room temperature before imaging.

All lanes:

Western blot - Anti-Nucleophosmin antibody [NA24] (N-terminal) (ab238029) at 1 µg/mL

Lane 1:

Daudi whole cell lysate at 20 µg

Lane 2:

Jurkat whole cell lysate at 20 µg

Lane 3:

Caco-2 whole cell lysate at 20 µg

Lane 4:

Sample: HeLa whole cell lysate at 20 µg

Lane 5:

NIH/3T3 whole cell lysate at 20 µg

Lane 6:

MEF whole cell lysate at 20 µg

Lane 7:

PC-12 whole cell lysate at 20 µg

Secondary

All lanes:

Western blot - Goat anti-Mouse IgG H&L (IRDye® 800CW) preadsorbed (<a href='/en-us/products/secondary-antibodies/goat-mouse-igg-h-l-irdye-800cw-preadsorbed-ab216772'>ab216772</a>) at 1/20000 dilution

Predicted band size: 32 kDa

Observed band size: 36 kDa

false

Immunohistochemistry (Formalin/PFA-fixed paraffin-embedded sections) - Anti-Nucleophosmin antibody [NA24] (N-terminal) (AB238029)
  • IHC-P

Lab

Immunohistochemistry (Formalin/PFA-fixed paraffin-embedded sections) - Anti-Nucleophosmin antibody [NA24] (N-terminal) (AB238029)

Staining performed on a Leica BONDTM system using the standard protocol F. The section was pre-treated using heat mediated antigen retrieval with sodium citrate buffer (pH6, epitope retrieval solution 1) for 20mins. The section was then incubated with ab238029, 1ug/ml, for 15 mins at room temperature and detected using an HRP conjugated compact polymer system. DAB was used as the chromogen. The section was then counterstained with haematoxylin and mounted with DPX

  • Carrier free

    Anti-Nucleophosmin antibody [NA24] (BSA and Azide free)

Key facts

Host species

Mouse

Clonality

Monoclonal

Clone number

NA24

Isotype

IgG1

Light chain type

kappa

Carrier free

No

Reacts with

Human, Mouse, Rat

Applications

WB, Flow Cyt (Intra), ICC/IF, IHC-P

applications

Immunogen

The exact immunogen used to generate this antibody is proprietary information.

Reactivity data

{ "title": "Reactivity Data", "filters": { "stats": ["", "Species", "Dilution Info", "Notes"], "tabs": { "all-applications": {"fullname" : "All Applications", "shortname": "All Applications"}, "IHCP" : {"fullname" : "Immunohistochemistry (Formalin/PFA-fixed paraffin-embedded sections)", "shortname":"IHC-P"}, "WB" : {"fullname" : "Western blot", "shortname":"WB"}, "ICCIF" : {"fullname" : "Immunocytochemistry/ Immunofluorescence", "shortname":"ICC/IF"}, "ProteinArray" : {"fullname" : "Protein Array", "shortname":"Protein Array"}, "FlowCytIntra" : {"fullname" : "Flow Cytometry (Intracellular)", "shortname":"Flow Cyt (Intra)"} }, "product-promise": { "all": "all", "testedAndGuaranteed": "tested", "guaranteed": "expected", "predicted": "predicted", "notRecommended": "not-recommended" } }, "values": { "Human": { "IHCP-species-checked": "testedAndGuaranteed", "IHCP-species-dilution-info": "1 µg/mL", "IHCP-species-notes": "<p>Incubate with primary antibody for 15 minutes at room temperature.</p> Perform heat-mediated antigen retrieval with citrate buffer pH 6 before commencing with IHC staining protocol.", "WB-species-checked": "testedAndGuaranteed", "WB-species-dilution-info": "1 µg/mL", "WB-species-notes": "<p></p>", "ICCIF-species-checked": "testedAndGuaranteed", "ICCIF-species-dilution-info": "1 µg/mL", "ICCIF-species-notes": "<p></p>", "ProteinArray-species-checked": "notRecommended", "ProteinArray-species-dilution-info": "", "ProteinArray-species-notes": "<p></p>", "FlowCytIntra-species-checked": "testedAndGuaranteed", "FlowCytIntra-species-dilution-info": "1/500", "FlowCytIntra-species-notes": "<p></p>" }, "Mouse": { "IHCP-species-checked": "testedAndGuaranteed", "IHCP-species-dilution-info": "1/100", "IHCP-species-notes": "<p></p> Perform heat-mediated antigen retrieval with Tris/EDTA buffer pH 9.0 before commencing with IHC staining protocol.", "WB-species-checked": "testedAndGuaranteed", "WB-species-dilution-info": "1 µg/mL", "WB-species-notes": "<p></p>", "ICCIF-species-checked": "guaranteed", "ICCIF-species-dilution-info": "", "ICCIF-species-notes": "", "ProteinArray-species-checked": "notRecommended", "ProteinArray-species-dilution-info": "", "ProteinArray-species-notes": "<p></p>", "FlowCytIntra-species-checked": "guaranteed", "FlowCytIntra-species-dilution-info": "", "FlowCytIntra-species-notes": "" }, "Rat": { "IHCP-species-checked": "testedAndGuaranteed", "IHCP-species-dilution-info": "1/100", "IHCP-species-notes": "<p></p> Perform heat-mediated antigen retrieval with Tris/EDTA buffer pH 9.0 before commencing with IHC staining protocol.", "WB-species-checked": "testedAndGuaranteed", "WB-species-dilution-info": "1 µg/mL", "WB-species-notes": "<p></p>", "ICCIF-species-checked": "guaranteed", "ICCIF-species-dilution-info": "", "ICCIF-species-notes": "", "ProteinArray-species-checked": "notRecommended", "ProteinArray-species-dilution-info": "", "ProteinArray-species-notes": "<p></p>", "FlowCytIntra-species-checked": "guaranteed", "FlowCytIntra-species-dilution-info": "", "FlowCytIntra-species-notes": "" } } }

Product details

What are the advantages of a recombinant monoclonal antibody?
This product is a recombinant monoclonal antibody, which offers several advantages including:

  • - High batch-to-batch consistency and reproducibility
  • - Improved sensitivity and specificity
  • - Long-term security of supply
  • - Animal-free batch production

For more information, read more on recombinant antibodies.

Want a custom formulation?
This antibody clone is manufactured by Abcam. If you require a custom buffer formulation or conjugation for your experiments, please contact orders@abcam.com

Properties and storage information

Form
Liquid
Purification technique
Affinity purification Protein A/G
Purification notes
Purified from Bioreactor Concentrate by Protein A/G.
Storage buffer
pH: 7.2 - 7.4 Preservative: 0.01% Sodium azide Constituents: PBS, 40% Glycerol (glycerin, glycerine), 0.05% BSA
Shipped at conditions
Blue Ice
Appropriate short-term storage duration
1-2 weeks
Appropriate short-term storage conditions
+4°C
Appropriate long-term storage conditions
-20°C
Aliquoting information
Upon delivery aliquot
Storage information
Avoid freeze / thaw cycle

Supplementary information

This supplementary information is collated from multiple sources and compiled automatically.

Nucleophosmin also known as NPM1 or B23 is a multifunctional nucleolar phosphoprotein with a molecular weight of approximately 37 kDa. It is highly expressed in the nucleolus of many human cells and is involved in various cellular processes. NPM1 aids ribosome biogenesis intracellular transport of ribosomal components and regulation of the centrosome. Its nucleocytoplasmic shuttling ability is due to its N-terminal domain which plays an important role in binding to nucleic acids and other proteins. Apart from these functions NPM1 acts as a histone chaperone and is important for maintaining genomic integrity.
Biological function summary

One of the central roles of NPM1 is its involvement in the regulation of cell growth and proliferation. NPM1 forms a complex with other nucleolar proteins affecting ribosome subunit assembly and transport. This protein also participates in the control of the ARF/p53 pathway by sequestering p53-regulating proteins which are essential for cell cycle control and apoptosis. Its interactions with proteins such as nucleolin and nucleophosmin-like proteins allow NPM1 to perform its functions in organizing the nucleolus and regulating responses to stress signals.

Pathways

The NPM1 protein is integrally involved in key cellular pathways like the regulation of the cell cycle and apoptosis. It directly interacts with pathways such as the ribosome biogenesis pathway and the p53 pathway. NPM1 has connections with proteins like ARF and MDM2 which play roles in retinoblastoma protein (pRb) regulation and in the control of tumor-suppressor activities. These pathways under NPM1’s influence are critical for maintaining cellular homeostasis and ensuring proper cell cycle checkpoints.

NPM1 mutations are commonly observed in acute myeloid leukemia (AML) where they affect the normal function of the protein leading to leukemogenesis. NPM1 is also linked to tumorigenesis through its impact on the p53 tumor suppressor pathway. Specifically alterations in NPM1 can disrupt the balance of other related proteins like ALK and p53 influencing the onset and progression of leukemia. Understanding the roles of NPM1 in these contexts is essential for developing targeted therapies to treat AML and other related disorders effectively.

Product protocols

For this product, it's our understanding that no specific protocols are required. You can visit:

Target data

Involved in diverse cellular processes such as ribosome biogenesis, centrosome duplication, protein chaperoning, histone assembly, cell proliferation, and regulation of tumor suppressors p53/TP53 and ARF. Binds ribosome presumably to drive ribosome nuclear export. Associated with nucleolar ribonucleoprotein structures and bind single-stranded nucleic acids. Acts as a chaperonin for the core histones H3, H2B and H4. Stimulates APEX1 endonuclease activity on apurinic/apyrimidinic (AP) double-stranded DNA but inhibits APEX1 endonuclease activity on AP single-stranded RNA. May exert a control of APEX1 endonuclease activity within nucleoli devoted to repair AP on rDNA and the removal of oxidized rRNA molecules. In concert with BRCA2, regulates centrosome duplication. Regulates centriole duplication : phosphorylation by PLK2 is able to trigger centriole replication. Negatively regulates the activation of EIF2AK2/PKR and suppresses apoptosis through inhibition of EIF2AK2/PKR autophosphorylation. Antagonizes the inhibitory effect of ATF5 on cell proliferation and relieves ATF5-induced G2/M blockade (PubMed : 22528486). In complex with MYC enhances the transcription of MYC target genes (PubMed : 25956029). May act as chaperonin or cotransporter in the nucleolar localization of transcription termination factor TTF1 (By similarity).
See full target information NPM1

Publications (1)

Recent publications for all applications. Explore the full list and refine your search

Journal, genetic engineering & biotechnology 23:100496 PubMed40390503

2025

Co-expression of HIF1A with multi-drug transporters (P-GP, MRP1, and BCRP) in chemoresistant breast, colorectal, and ovarian cancer cells.

Applications

Unspecified application

Species

Unspecified reactive species

Sudipta Deb Nath,Md Tamzid Hossain Tanim,Md Mahmudul Hasan Akash,Mohammad Golam Mostafa,Abu Ashfaqur Sajib
View all publications

Product promise

We are committed to supporting your work with high-quality reagents, and we're here for you every step of the way. In the unlikely event that one of our products does not perform as expected, you're protected by our Product Promise.
For full details, please see our Terms & Conditions

Please note: All products are 'FOR RESEARCH USE ONLY. NOT FOR USE IN DIAGNOSTIC OR THERAPEUTIC PROCEDURES'.

For licensing inquiries, please contact partnerships@abcam.com