JavaScript is disabled in your browser. Please enable JavaScript to view this website.
AB245744

Anti-Nucleophosmin antibody [SP236] - BSA and Azide free

Be the first to review this product! Submit a review

|

(0 Publication)

Rabbit Recombinant Monoclonal Nucleophosmin antibody. Carrier free. Suitable for WB, IHC-P, ICC/IF, Flow Cyt (Intra) and reacts with Mouse, Rat, Human samples.

View Alternative Names

NPM, NPM1, Nucleophosmin, Nucleolar phosphoprotein B23, Nucleolar protein NO38, Numatrin

10 Images
Immunohistochemistry (Formalin/PFA-fixed paraffin-embedded sections) - Anti-Nucleophosmin antibody [SP236] - BSA and Azide free (AB245744)
  • IHC-P

Unknown

Immunohistochemistry (Formalin/PFA-fixed paraffin-embedded sections) - Anti-Nucleophosmin antibody [SP236] - BSA and Azide free (AB245744)

Immunohistochemistry (Formalin/PFA-fixed paraffin-embedded sections) analysis of Mouse colon tissue sections labeling Nucleophosmin with ab183340 at 1/100 dilution (2.51 µg/ml). Heat mediated antigen retrieval was performed Heat mediated antigen retrieval with sodium citrate buffer (pH 6.0, epitope retrieval solution 1) for 30 mins. Rabbit specific IHC polymer detection kit HRP/DAB (ab209101) was used as the secondary antibody. Negative control : PBS instead of the primary antibody. Hematoxylin was used as a counterstain.
This data was developed using the same antibody clone in a different buffer formulation containing PBS, BSA, glycerol, and sodium azide (ab183340)

Flow Cytometry (Intracellular) - Anti-Nucleophosmin antibody [SP236] - BSA and Azide free (AB245744)
  • Flow Cyt (Intra)

Unknown

Flow Cytometry (Intracellular) - Anti-Nucleophosmin antibody [SP236] - BSA and Azide free (AB245744)

Intracellular Flow Cytometry analysis of 3T3-L1 (Mouse embryonic fibroblast) labeling Nucleophosmin with purified ab183340 at 1/200 dilution (1.255μg/ml) (red). Cells were fixed with 4% paraformaldehyde and permeabilised with 90% methanol. Goat anti rabbit IgG (Alexa Fluor® 488, ab150077) at 1/2000 dilution was used as a secondary antibody. Isotype control -Rabbit monoclonal IgG (ab172730) / Black. Unlableled control -Unlabelled cells / blue. This data was developed using the same antibody clone in a different buffer formulation containing PBS, BSA, glycerol, and sodium azide (ab183340).

Immunohistochemistry (Formalin/PFA-fixed paraffin-embedded sections) - Anti-Nucleophosmin antibody [SP236] - BSA and Azide free (AB245744)
  • IHC-P

Unknown

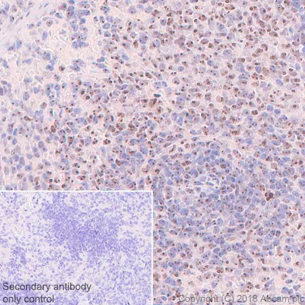
Immunohistochemistry (Formalin/PFA-fixed paraffin-embedded sections) - Anti-Nucleophosmin antibody [SP236] - BSA and Azide free (AB245744)

Immunohistochemistry (Formalin/PFA-fixed paraffin-embedded sections) analysis of Rat spleen tissue sections labeling Nucleophosmin with ab183340 at 1/100 dilution (2.51 µg/ml). Heat mediated antigen retrieval was performed Heat mediated antigen retrieval with sodium citrate buffer (pH 6.0, epitope retrieval solution 1) for 30 mins. Rabbit specific IHC polymer detection kit HRP/DAB (ab209101) was used as the secondary antibody. Negative control : PBS instead of the primary antibody. Hematoxylin was used as a counterstain.
This data was developed using the same antibody clone in a different buffer formulation containing PBS, BSA, glycerol, and sodium azide (ab183340)

Immunohistochemistry (Formalin/PFA-fixed paraffin-embedded sections) - Anti-Nucleophosmin antibody [SP236] - BSA and Azide free (AB245744)
  • IHC-P

Supplier Data

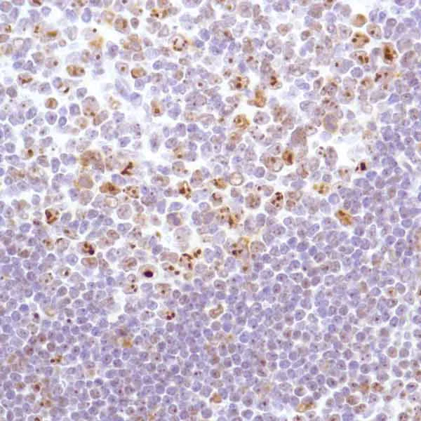
Immunohistochemistry (Formalin/PFA-fixed paraffin-embedded sections) - Anti-Nucleophosmin antibody [SP236] - BSA and Azide free (AB245744)

Immunohistochemical analysis of paraffin-embedded Human tonsil tissue, labeling Nucleophosmin with ab183340 at a 1/100 dilution.

This data was developed using the same antibody clone in a different buffer formulation containing PBS#44; BSA#44; and sodium azide (ab183340)

Flow Cytometry (Intracellular) - Anti-Nucleophosmin antibody [SP236] - BSA and Azide free (AB245744)
  • Flow Cyt (Intra)

Unknown

Flow Cytometry (Intracellular) - Anti-Nucleophosmin antibody [SP236] - BSA and Azide free (AB245744)

Intracellular Flow Cytometry analysis of HeLa (human cervix adenocarcinoma epithelial cell) labeling Nucleophosmin with purified ab183340 at 1/200 dilution (1.255μg/ml) (red). Cells were fixed with 4% paraformaldehyde and permeabilised with 90% methanol. Goat anti rabbit IgG (Alexa Fluor® 488, ab150077) at 1/2000 dilution was used as a secondary antibody. Isotype control -Rabbit monoclonal IgG (ab172730) / Black. Unlableled control -Unlabelled cells / blue. This data was developed using the same antibody clone in a different buffer formulation containing PBS, BSA, glycerol, and sodium azide (ab183340).

Immunocytochemistry/ Immunofluorescence - Anti-Nucleophosmin antibody [SP236] - BSA and Azide free (AB245744)
  • ICC/IF

Unknown

Immunocytochemistry/ Immunofluorescence - Anti-Nucleophosmin antibody [SP236] - BSA and Azide free (AB245744)

Immunocytochemistry/ Immunofluorescence analysis of 3T3-L1 (mouse embryonic fibroblast) cells labeling Nucleophosmin with purified ab183340 at 1/100 (2.5μg/ml). Cells were fixed in 4% paraformaldehyde and permeabilized with 0.1% Triton X-100. Cells were counterstained with ab195889 Anti-alpha Tubulin antibody [DM1A] - Microtubule Marker (Alexa Fluor® 594) 1/200 (2.5 μg/ml). Goat anti rabbit IgG (Alexa Fluor® 488, ab150077) was used as the secondary antibody at 1/1000 (2 μg/ml) dilution. DAPI was used as nuclear counterstain. PBS instead of the primary antibody was used as the secondary antibody only control.
This data was developed using the same antibody clone in a different buffer formulation containing PBS, BSA, glycerol, and sodium azide (ab183340).

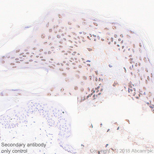
Immunohistochemistry (Formalin/PFA-fixed paraffin-embedded sections) - Anti-Nucleophosmin antibody [SP236] - BSA and Azide free (AB245744)
  • IHC-P

Unknown

Immunohistochemistry (Formalin/PFA-fixed paraffin-embedded sections) - Anti-Nucleophosmin antibody [SP236] - BSA and Azide free (AB245744)

Immunohistochemistry (Formalin/PFA-fixed paraffin-embedded sections) analysis of Human skin tissue sections labeling Nucleophosmin with ab183340 at 1/100 dilution (2.51 µg/ml). Heat mediated antigen retrieval was performed Heat mediated antigen retrieval with sodium citrate buffer (pH 6.0, epitope retrieval solution 1) for 30 mins. Rabbit specific IHC polymer detection kit HRP/DAB (ab209101) was used as the secondary antibody. Negative control : PBS instead of the primary antibody. Hematoxylin was used as a counterstain.
This data was developed using the same antibody clone in a different buffer formulation containing PBS, BSA, glycerol, and sodium azide (ab183340)

Immunocytochemistry/ Immunofluorescence - Anti-Nucleophosmin antibody [SP236] - BSA and Azide free (AB245744)
  • ICC/IF

Unknown

Immunocytochemistry/ Immunofluorescence - Anti-Nucleophosmin antibody [SP236] - BSA and Azide free (AB245744)

Immunocytochemistry/ Immunofluorescence analysis of PC-12 (rat adrenal gland pheochromocytoma) cells labeling Nucleophosmin with purified ab183340 at 1/100(2.5μg/ml). Cells were fixed in 100% Methanol. Cells were counterstained with ab195889 Anti-alpha Tubulin antibody [DM1A] - Microtubule Marker (Alexa Fluor® 594) 1/200 (2.5 μg/ml). Goat anti rabbit IgG (Alexa Fluor® 488, ab150077) was used as the secondary antibody at 1/1000 (2 μg/ml) dilution. DAPI was used as nuclear counterstain. PBS instead of the primary antibody was used as the secondary antibody only control.
This data was developed using the same antibody clone in a different buffer formulation containing PBS, BSA, glycerol, and sodium azide (ab183340).

Flow Cytometry (Intracellular) - Anti-Nucleophosmin antibody [SP236] - BSA and Azide free (AB245744)
  • Flow Cyt (Intra)

Supplier Data

Flow Cytometry (Intracellular) - Anti-Nucleophosmin antibody [SP236] - BSA and Azide free (AB245744)

Intracellular flow cytometric analysis of Jurkat cells, labeling Nucleophosmin with ab183340diluted 1/400 (green), compared with a negative control of anti-rabbit IgG (blue).

This data was developed using the same antibody clone in a different buffer formulation containing PBS, BSA and sodium azide (ab183340).

Immunocytochemistry/ Immunofluorescence - Anti-Nucleophosmin antibody [SP236] - BSA and Azide free (AB245744)
  • ICC/IF

Unknown

Immunocytochemistry/ Immunofluorescence - Anti-Nucleophosmin antibody [SP236] - BSA and Azide free (AB245744)

Immunocytochemistry/ Immunofluorescence analysis of HeLa (human cervix adenocarcinoma epithelial cell) cells labeling Nucleophosmin with purified ab183340 at 1/100 (2.5μg/ml). Cells were fixed in 4% paraformaldehyde and permeabilized with 0.1% Triton X-100. Cells were counterstained with ab195889 Anti-alpha Tubulin antibody [DM1A] - Microtubule Marker (Alexa Fluor® 594) 1/200 (2.5 μg/ml). Goat anti rabbit IgG (Alexa Fluor® 488, ab150077) was used as the secondary antibody at 1/1000 (2 μg/ml) dilution. DAPI was used as nuclear counterstain. PBS instead of the primary antibody was used as the secondary antibody only control.
This data was developed using the same antibody clone in a different buffer formulation containing PBS, BSA, glycerol, and sodium azide (ab183340).

  • Unconjugated

    Anti-Nucleophosmin antibody [SP236]

  • 519 Alexa Fluor® 488

    Alexa Fluor® 488 Anti-Nucleophosmin antibody [SP236]

  • 665 Alexa Fluor® 647

    Alexa Fluor® 647 Anti-Nucleophosmin antibody [SP236]

  • 565 Alexa Fluor® 555

    Alexa Fluor® 555 Anti-Nucleophosmin antibody [SP236]

  • 617 Alexa Fluor® 594

    Alexa Fluor® 594 Anti-Nucleophosmin antibody [SP236]

  • 578 PE

    PE Anti-Nucleophosmin antibody [SP236]

  • 660 APC

    APC Anti-Nucleophosmin antibody [SP236]

  • 775 Alexa Fluor® 750

    Alexa Fluor® 750 Anti-Nucleophosmin antibody [SP236]

Key facts

Host species

Rabbit

Clonality

Monoclonal

Clone number

SP236

Isotype

IgG

Carrier free

Yes

Reacts with

Mouse, Rat, Human

Applications

ICC/IF, WB, Flow Cyt (Intra), IHC-P

applications

Immunogen

The exact immunogen used to generate this antibody is proprietary information.

Reactivity data

{ "title": "Reactivity Data", "filters": { "stats": ["", "Species", "Dilution Info", "Notes"], "tabs": { "all-applications": {"fullname" : "All Applications", "shortname": "All Applications"}, "WB" : {"fullname" : "Western blot", "shortname":"WB"}, "IHCP" : {"fullname" : "Immunohistochemistry (Formalin/PFA-fixed paraffin-embedded sections)", "shortname":"IHC-P"}, "ICCIF" : {"fullname" : "Immunocytochemistry/ Immunofluorescence", "shortname":"ICC/IF"}, "FlowCytIntra" : {"fullname" : "Flow Cytometry (Intracellular)", "shortname":"Flow Cyt (Intra)"} }, "product-promise": { "all": "all", "testedAndGuaranteed": "tested", "guaranteed": "expected", "predicted": "predicted", "notRecommended": "not-recommended" } }, "values": { "Human": { "WB-species-checked": "guaranteed", "WB-species-dilution-info": "", "WB-species-notes": "<p></p>", "IHCP-species-checked": "testedAndGuaranteed", "IHCP-species-dilution-info": "", "IHCP-species-notes": "<p>Boil tissue section in EDTA buffer, pH 8.0 for 10 min followed by cooling at room temperature for 20 min.</p>", "ICCIF-species-checked": "testedAndGuaranteed", "ICCIF-species-dilution-info": "", "ICCIF-species-notes": "<p></p>", "FlowCytIntra-species-checked": "testedAndGuaranteed", "FlowCytIntra-species-dilution-info": "", "FlowCytIntra-species-notes": "<p><a href='/en-us/products/primary-antibodies/rabbit-igg-monoclonal-epr25a-isotype-control-ab172730'>ab172730</a> - Rabbit monoclonal IgG, is suitable for use as an isotype control with this antibody.</p>" }, "Mouse": { "WB-species-checked": "guaranteed", "WB-species-dilution-info": "", "WB-species-notes": "<p></p>", "IHCP-species-checked": "predicted", "IHCP-species-dilution-info": "", "IHCP-species-notes": "", "ICCIF-species-checked": "predicted", "ICCIF-species-dilution-info": "", "ICCIF-species-notes": "", "FlowCytIntra-species-checked": "predicted", "FlowCytIntra-species-dilution-info": "", "FlowCytIntra-species-notes": "" }, "Rat": { "WB-species-checked": "guaranteed", "WB-species-dilution-info": "", "WB-species-notes": "<p></p>", "IHCP-species-checked": "predicted", "IHCP-species-dilution-info": "", "IHCP-species-notes": "", "ICCIF-species-checked": "predicted", "ICCIF-species-dilution-info": "", "ICCIF-species-notes": "", "FlowCytIntra-species-checked": "predicted", "FlowCytIntra-species-dilution-info": "", "FlowCytIntra-species-notes": "" }, "Chicken": { "WB-species-checked": "predicted", "WB-species-dilution-info": "", "WB-species-notes": "", "IHCP-species-checked": "predicted", "IHCP-species-dilution-info": "", "IHCP-species-notes": "", "ICCIF-species-checked": "predicted", "ICCIF-species-dilution-info": "", "ICCIF-species-notes": "", "FlowCytIntra-species-checked": "predicted", "FlowCytIntra-species-dilution-info": "", "FlowCytIntra-species-notes": "" }, "Cow": { "WB-species-checked": "predicted", "WB-species-dilution-info": "", "WB-species-notes": "", "IHCP-species-checked": "predicted", "IHCP-species-dilution-info": "", "IHCP-species-notes": "", "ICCIF-species-checked": "predicted", "ICCIF-species-dilution-info": "", "ICCIF-species-notes": "", "FlowCytIntra-species-checked": "predicted", "FlowCytIntra-species-dilution-info": "", "FlowCytIntra-species-notes": "" } } }

You may be interested in:

AB216172

Mouse Nucleophosmin ELISA Kit

0

0 Reviews

View product

We recommend this product because it’s often used in the same experiment or related research.

We advise that you always check the datasheet to ensure it fits your experiments, or contact ourtechnical teamfor help.

Product details

ab245744 is the carrier-free version of ab183340.

Patented technology
Our RabMAb® technology is a patented hybridoma-based technology for making rabbit monoclonal antibodies. For details on our patents, please refer to RabMAb® patents.

What are the advantages of a recombinant monoclonal antibody?
This product is a recombinant monoclonal antibody, which offers several advantages including:

  • - High batch-to-batch consistency and reproducibility
  • - Improved sensitivity and specificity
  • - Long-term security of supply
  • - Animal-free batch production

For more information, read more on recombinant antibodies.

Conjugation ready
Our carrier-free antibodies are typically supplied in a PBS-only formulation, purified and free of BSA, sodium azide and glycerol. This conjugation-ready format is designed for use with fluorochromes, metal isotopes, oligonucleotides, and enzymes, which makes them ideal for antibody labelling, functional and cell-based assays, flow-based assays (e.g. mass cytometry) and Multiplex Imaging applications.

Use our conjugation kits for antibody conjugates that are ready-to-use in as little as 20 minutes with 1 minute hands-on-time and 100% antibody recovery: available for fluorescent dyes, HRP, biotin and gold.

Compatibility
This product is compatible with the Maxpar® Antibody Labeling Kit from Fluidigm, without the need for antibody preparation. Maxpar® is a trademark of Fluidigm Canada Inc.

Properties and storage information

Form
Liquid
Purification technique
Affinity purification Protein A/G
Purification notes
Purified from TCS by protein A/G.
Storage buffer
pH: 7.2 - 7.4 Constituents: PBS
Shipped at conditions
Blue Ice
Appropriate short-term storage conditions
+4°C
Appropriate long-term storage conditions
+4°C
Storage information
Do Not Freeze

Supplementary information

This supplementary information is collated from multiple sources and compiled automatically.

Nucleophosmin also known as NPM1 or B23 is a multifunctional nucleolar phosphoprotein with a molecular weight of approximately 37 kDa. It is highly expressed in the nucleolus of many human cells and is involved in various cellular processes. NPM1 aids ribosome biogenesis intracellular transport of ribosomal components and regulation of the centrosome. Its nucleocytoplasmic shuttling ability is due to its N-terminal domain which plays an important role in binding to nucleic acids and other proteins. Apart from these functions NPM1 acts as a histone chaperone and is important for maintaining genomic integrity.
Biological function summary

One of the central roles of NPM1 is its involvement in the regulation of cell growth and proliferation. NPM1 forms a complex with other nucleolar proteins affecting ribosome subunit assembly and transport. This protein also participates in the control of the ARF/p53 pathway by sequestering p53-regulating proteins which are essential for cell cycle control and apoptosis. Its interactions with proteins such as nucleolin and nucleophosmin-like proteins allow NPM1 to perform its functions in organizing the nucleolus and regulating responses to stress signals.

Pathways

The NPM1 protein is integrally involved in key cellular pathways like the regulation of the cell cycle and apoptosis. It directly interacts with pathways such as the ribosome biogenesis pathway and the p53 pathway. NPM1 has connections with proteins like ARF and MDM2 which play roles in retinoblastoma protein (pRb) regulation and in the control of tumor-suppressor activities. These pathways under NPM1’s influence are critical for maintaining cellular homeostasis and ensuring proper cell cycle checkpoints.

NPM1 mutations are commonly observed in acute myeloid leukemia (AML) where they affect the normal function of the protein leading to leukemogenesis. NPM1 is also linked to tumorigenesis through its impact on the p53 tumor suppressor pathway. Specifically alterations in NPM1 can disrupt the balance of other related proteins like ALK and p53 influencing the onset and progression of leukemia. Understanding the roles of NPM1 in these contexts is essential for developing targeted therapies to treat AML and other related disorders effectively.

Product protocols

For this product, it's our understanding that no specific protocols are required. You can visit:

Target data

Involved in diverse cellular processes such as ribosome biogenesis, centrosome duplication, protein chaperoning, histone assembly, cell proliferation, and regulation of tumor suppressors p53/TP53 and ARF. Binds ribosome presumably to drive ribosome nuclear export. Associated with nucleolar ribonucleoprotein structures and bind single-stranded nucleic acids. Acts as a chaperonin for the core histones H3, H2B and H4. Stimulates APEX1 endonuclease activity on apurinic/apyrimidinic (AP) double-stranded DNA but inhibits APEX1 endonuclease activity on AP single-stranded RNA. May exert a control of APEX1 endonuclease activity within nucleoli devoted to repair AP on rDNA and the removal of oxidized rRNA molecules. In concert with BRCA2, regulates centrosome duplication. Regulates centriole duplication : phosphorylation by PLK2 is able to trigger centriole replication. Negatively regulates the activation of EIF2AK2/PKR and suppresses apoptosis through inhibition of EIF2AK2/PKR autophosphorylation. Antagonizes the inhibitory effect of ATF5 on cell proliferation and relieves ATF5-induced G2/M blockade (PubMed : 22528486). In complex with MYC enhances the transcription of MYC target genes (PubMed : 25956029). May act as chaperonin or cotransporter in the nucleolar localization of transcription termination factor TTF1 (By similarity).
See full target information NPM1

Product promise

We are committed to supporting your work with high-quality reagents, and we're here for you every step of the way. In the unlikely event that one of our products does not perform as expected, you're protected by our Product Promise.
For full details, please see our Terms & Conditions

Associated Products

Select an associated product type
Alternative Product
Primary Antibodies

AB238029

Anti-Nucleophosmin antibody [NA24] (N-terminal)

primary-antibodies

nucleophosmin-antibody-na24-n-terminal-ab238029

0

(0 reviews)

Alternative Product
Primary Antibodies

AB15440

Anti-Nucleophosmin antibody

primary-antibodies

nucleophosmin-antibody-ab15440

5

(5 reviews)

Alternative Product
Primary Antibodies

AB245326

Anti-Nucleophosmin antibody

primary-antibodies

nucleophosmin-antibody-ab245326

0

(0 reviews)

Alternative Product
Primary Antibodies

AB37659

Anti-Nucleophosmin antibody

primary-antibodies

nucleophosmin-antibody-ab37659

5

(3 reviews)

Alternative Product
Primary Antibodies

AB86712

Anti-Nucleophosmin antibody [3A9F1]

primary-antibodies

nucleophosmin-antibody-3a9f1-ab86712

5

(2 reviews)

Alternative Product
Primary Antibodies

AB202879

HRP Anti-Nucleophosmin (phospho T199) antibody [EP1857Y]

primary-antibodies

hrp-nucleophosmin-phospho-t199-antibody-ep1857y-ab202879

0

(0 reviews)

Alternative Product
Primary Antibodies

AB202578

Alexa Fluor® 647 Anti-Nucleophosmin antibody [3A9F1]

primary-antibodies

alexa-fluor-647-nucleophosmin-antibody-3a9f1-ab202578

0

(0 reviews)

Alternative Product
Primary Antibodies

AB109546

Anti-Nucleophosmin (phospho S125) antibody [EPR1856]

primary-antibodies

nucleophosmin-phospho-s125-antibody-epr1856-ab109546

3

(1 reviews)

Alternative Product
Primary Antibodies

AB256124

Anti-Nucleophosmin antibody [NA24] (BSA and Azide free)

primary-antibodies

nucleophosmin-antibody-na24-bsa-and-azide-free-ab256124

0

(0 reviews)

Alternative Product
Primary Antibodies

AB81551

Anti-Nucleophosmin (phospho T199) antibody [EP1857Y]

primary-antibodies

nucleophosmin-phospho-t199-antibody-ep1857y-ab81551

4

(1 reviews)

Alternative Product
Primary Antibodies

AB208015

Anti-Nucleophosmin (citrulline R196) antibody [EPR20172]

primary-antibodies

nucleophosmin-citrulline-r196-antibody-epr20172-ab208015

0

(0 reviews)

Alternative Product
Primary Antibodies

AB52644

Anti-Nucleophosmin antibody [EP1848Y]

primary-antibodies

nucleophosmin-antibody-ep1848y-ab52644

0

(1 reviews)

Alternative Product
Primary Antibodies

AB10530

Anti-Nucleophosmin antibody [FC82291]

primary-antibodies

nucleophosmin-antibody-fc82291-ab10530

5

(27 reviews)

Alternative Product
Primary Antibodies

AB31319

Anti-Nucleophosmin antibody

primary-antibodies

nucleophosmin-antibody-ab31319

0

(0 reviews)

Alternative Product
Primary Antibodies

AB205844

Alexa Fluor® 488 Anti-Nucleophosmin antibody [3A9F1]

primary-antibodies

alexa-fluor-488-nucleophosmin-antibody-3a9f1-ab205844

0

(0 reviews)

Please note: All products are 'FOR RESEARCH USE ONLY. NOT FOR USE IN DIAGNOSTIC OR THERAPEUTIC PROCEDURES'.

For licensing inquiries, please contact partnerships@abcam.com