JavaScript is disabled in your browser. Please enable JavaScript to view this website.
AB190657

Anti-Nucleoprotein Crimean-Congo hemorrhagic fever virus antibody

Be the first to review this product! Submit a review

|

(3 Publications)

Rabbit Polyclonal NCAP antibody. Suitable for WB and reacts with Crimean-Congo hemorrhagic fever virus strain IbAr10200 samples. Cited in 3 publications. Immunogen corresponding to Synthetic Peptide within Crimean-Congo hemorrhagic fever virus strain IbAr10200 N.

View Alternative Names

Nucleoprotein, Nucleocapsid protein, Protein N, N

1 Images
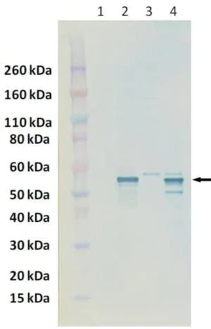
Western blot - Anti-Nucleoprotein Crimean-Congo hemorrhagic fever virus antibody (AB190657)
  • WB

Supplier Data

Western blot - Anti-Nucleoprotein Crimean-Congo hemorrhagic fever virus antibody (AB190657)

Western blot - Anti-Nucleoprotein Crimean Congo hemorrhagic fever virus (ab190657)

All lanes:

Western blot - Anti-Nucleoprotein Crimean-Congo hemorrhagic fever virus antibody (ab190657) at 0.005 µg/mL

Lane 1:

mock infected Vero cell lysate

Lane 2:

Crimean Congo hemorrhagic fever virus-infected Vero cell lysate

Lane 3:

mock transfected HEK293 cell lysate

Lane 4:

HEK293 cell lysate transfected with recombinant Crimean Congo hemorrhagic fever virus nucleoprotein (N)

Predicted band size: 54 kDa

true

Key facts

Host species

Rabbit

Clonality

Polyclonal

Isotype

IgG

Carrier free

No

Reacts with

Crimean-Congo hemorrhagic fever virus strain IbAr10200

Applications

WB

applications

Immunogen

Synthetic Peptide within Crimean-Congo hemorrhagic fever virus strain IbAr10200 N. The exact immunogen used to generate this antibody is proprietary information.

P89522

Reactivity data

{ "title": "Reactivity Data", "filters": { "stats": ["", "Species", "Dilution Info", "Notes"], "tabs": { "all-applications": {"fullname" : "All Applications", "shortname": "All Applications"}, "WB" : {"fullname" : "Western blot", "shortname":"WB"} }, "product-promise": { "all": "all", "testedAndGuaranteed": "tested", "guaranteed": "expected", "predicted": "predicted", "notRecommended": "not-recommended" } }, "values": { "Crimean-Congo hemorrhagic fever virus strain IbAr10200": { "WB-species-checked": "testedAndGuaranteed", "WB-species-dilution-info": "0.005 µg/mL", "WB-species-notes": "<p></p>" } } }

Properties and storage information

Form
Liquid
Purification technique
Affinity purification Immunogen
Storage buffer
Constituents: PBS
Shipped at conditions
Blue Ice
Appropriate short-term storage duration
1-2 weeks
Appropriate short-term storage conditions
+4°C
Appropriate long-term storage conditions
-20°C
Aliquoting information
Upon delivery aliquot
Storage information
Avoid freeze / thaw cycle

Supplementary information

This supplementary information is collated from multiple sources and compiled automatically.

The Nucleoprotein of the Crimean-Congo hemorrhagic fever virus (CCHFV) acts as an important structural component of the viral particle. It is also known as NP or N protein. This protein is responsible for packaging the viral RNA genome stabilizing it and protecting it from degradation. With an estimated mass of around 50 kDa the nucleoprotein expresses itself within infected host cells particularly in the cytoplasm where viral replication occurs. The protein's role in the viral lifecycle makes it a significant focus for antiviral research.
Biological function summary

The Nucleoprotein of CCHFV plays a critical role in viral replication and assembly. It participates in the formation of the ribonucleoprotein complex which is important for viral RNA synthesis and replication. In this process the nucleoprotein interacts closely with the viral polymerase and other viral proteins to coordinate the replication process within the host cell. By binding the RNA genome it ensures efficient packaging of the RNA into new virion particles enabling successful viral dissemination.

Pathways

The Nucleoprotein functions involve intracellular processes that impact the host's immune response pathways. It modulates pathways related to the host's antiviral response such as the interferon signaling pathway. By interacting with proteins like viral polymerase it may play roles that affect the host's ability to detect and respond to viral infection. These interactions help the virus to evade immune detection supporting its survival and propagation within the host.

The Nucleoprotein relates to the pathogenesis of Crimean-Congo hemorrhagic fever. This viral protein is directly linked to the severity of the disease influencing the viral load and immune response in infected individuals. Additionally connections exist between the Nucleoprotein and other viral proteins like the glycoproteins that together contribute to the pathogenic mechanisms causing high mortality in hemorrhagic fever cases. Understanding the role of the Nucleoprotein is critical for developing targeted therapies and vaccines against this severe disease.

Product protocols

For this product, it's our understanding that no specific protocols are required. You can visit:

Target data

Binds dsRNA and ssRNA and probably participates in the packaging of viral genome. In the dsRNA binding mode, the nucleocapsid protein specifically binds to the vRNA panhandle secondary structure formed at the termini of viral genome. Does not discriminate between viral and nonviral RNAs through ssRNA binding mode (PubMed : 28922369). Displays dsDNA endonuclease activity that is sequence non-specific (PubMed : 22421137).
See full target information N

Publications (3)

Recent publications for all applications. Explore the full list and refine your search

PLoS pathogens 20:e1012262 PubMed38924060

2024

Potent immunogenicity and protective efficacy of a multi-pathogen vaccination targeting Ebola, Sudan, Marburg and Lassa viruse.

Applications

Unspecified application

Species

Unspecified reactive species

Amy Flaxman,Sarah Sebastian,Sofia Appelberg,Kuan M Cha,Marta Ulaszewska,Jyothi Purushotham,Ciaran Gilbride,Hannah Sharpe,Alexandra J Spencer,Sagida Bibi,Daniel Wright,Isabel Schmidt,Stuart Dowall,Linda Easterbrook,Stephen Findlay-Wilson,Sarah Gilbert,Ali Mirazimi,Teresa Lambe

Virology journal 20:128 PubMed37337294

2023

Comparative characterization of Crimean-Congo hemorrhagic fever virus cell culture systems with application to propagation and titration methods.

Applications

Unspecified application

Species

Unspecified reactive species

Hongzhao Li,Greg Smith,Melissa Goolia,Peter Marszal,Bradley S Pickering

PLoS pathogens 17:e1010007 PubMed34653226

2021

Hantaviruses use the endogenous host factor P58IPK to combat the PKR antiviral response.

Applications

Unspecified application

Species

Unspecified reactive species

Zekun Wang,Songyang Ren,Qiming Li,Austin D Royster,Lei Lin,Sichen Liu,Safder S Ganaie,Jianming Qiu,Sheema Mir,Mohammad A Mir
View all publications

Product promise

We are committed to supporting your work with high-quality reagents, and we're here for you every step of the way. In the unlikely event that one of our products does not perform as expected, you're protected by our Product Promise.
For full details, please see our Terms & Conditions

Please note: All products are 'FOR RESEARCH USE ONLY. NOT FOR USE IN DIAGNOSTIC OR THERAPEUTIC PROCEDURES'.

For licensing inquiries, please contact partnerships@abcam.com