JavaScript is disabled in your browser. Please enable JavaScript to view this website.
AB70346

Anti-Nucleostemin antibody

4

(10 Reviews)

|

(19 Publications)

Rabbit Polyclonal Nucleostemin antibody. Suitable for IHC-P, IP, WB, ICC/IF and reacts with Mouse, Human, Rat, Chicken samples. Cited in 19 publications. Immunogen corresponding to Synthetic Peptide within Human GNL3.

View Alternative Names

E2IG3, NS, GNL3, Guanine nucleotide-binding protein-like 3, E2-induced gene 3 protein, Novel nucleolar protein 47, Nucleolar GTP-binding protein 3, Nucleostemin, NNP47

7 Images
Immunohistochemistry (Formalin/PFA-fixed paraffin-embedded sections) - Anti-Nucleostemin antibody (AB70346)
  • IHC-P

AbReview14174****

Immunohistochemistry (Formalin/PFA-fixed paraffin-embedded sections) - Anti-Nucleostemin antibody (AB70346)

Immunohistochemistical detection of Nucleostemin with ab70346 on formaldehyde-fixed paraffin-embedded human colon sections. Antigen retrieval step : heat mediated in citric acid pH6 buffer. Blocking step : 1% BSA for 10 mins @ rt°C. Primary antibody ab70346 incubated at 1/50 for 16 hours in TBS/BSA/azide. Secondary antibody : anti-rabbit IgG conjugated to biotin (1/200). The intestinal epithelium is the most rapidly self-renewing tissue in adult mammals. Stem cell markers have been observed in cycling columnar cells at the crypt base (Nature 449, 1003-1007; 2007). The cells (nuclei of the simple columnar epithelium of the upper mucosa) immunoreactive for Nucleostemin in this image (green arrowheads) anatomically correspond to the same cells expected to be Lgr5 positivite. A red arrowhead indicates nucleolar positivity in one of many cell nuclei in the Lamina propria of the mucosa (this area is not known for stem cell posit

This image is courtesy of an abreview submitted by Carl Hobbs, King's College London, United Kingdom

Immunohistochemistry (Formalin/PFA-fixed paraffin-embedded sections) - Anti-Nucleostemin antibody (AB70346)
  • IHC-P

Supplier Data

Immunohistochemistry (Formalin/PFA-fixed paraffin-embedded sections) - Anti-Nucleostemin antibody (AB70346)

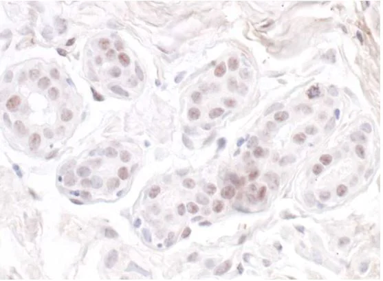
Immunohistochemical analysis of Formalin/PFA-fixed paraffin-embedded section of human breast carcinoma tissue labelling Nucleostemin with ab70346 at 1 : 200 (1μg/ml). Detection : DAB.

Immunocytochemistry/ Immunofluorescence - Anti-Nucleostemin antibody (AB70346)
  • ICC/IF

Unknown

Immunocytochemistry/ Immunofluorescence - Anti-Nucleostemin antibody (AB70346)

ICC/IF image of ab70346 stained HeLa cells. The cells were 4% formaldehyde fixed (10 min) and then incubated in 1%BSA / 10% normal goat serum / 0.3M glycine in 0.1% PBS-Tween for 1h to permeabilise the cells and block non-specific protein-protein interactions. The cells were then incubated with the antibody (ab70346, 5µg/ml) overnight at +4°C. The secondary antibody (green) was Alexa Fluor® 488 goat anti-rabbit IgG (H+L) used at a 1/1000 dilution for 1h. Alexa Fluor® 594 WGA was used to label plasma membranes (red) at a 1/200 dilution for 1h. DAPI was used to stain the cell nuclei (blue) at a concentration of 1.43µM.

Immunoprecipitation - Anti-Nucleostemin antibody (AB70346)
  • IP

Supplier Data

Immunoprecipitation - Anti-Nucleostemin antibody (AB70346)

Nucleostemin was immunoprecipitated from HEK-293T whole cell lysate with 6 μg/mg lysate. Western blot was performed from the immunoprecipitate using ab70346 at 0.04 μg/ml dilution.

Lane 1 : ab70346 IP in HEK-293T whole cell lysate.

Lane 2 : Control IgG IP in HEK-293T whole cell lysate.

All lanes:

Immunoprecipitation - Anti-Nucleostemin antibody (ab70346)

Predicted band size: 62 kDa

false

Immunohistochemistry (Formalin/PFA-fixed paraffin-embedded sections) - Anti-Nucleostemin antibody (AB70346)
  • IHC-P

Supplier Data

Immunohistochemistry (Formalin/PFA-fixed paraffin-embedded sections) - Anti-Nucleostemin antibody (AB70346)

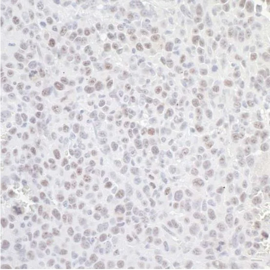
Immunohistochemical analysis of Formalin/PFA-fixed paraffin-embedded section of mouse CT26 colon carcinoma tissue labelling Nucleostemin with ab70346 at 1 : 200 (1μg/ml). Detection : DAB.

Western blot - Anti-Nucleostemin antibody (AB70346)
  • WB

Supplier Data

Western blot - Anti-Nucleostemin antibody (AB70346)

Detection : Chemiluminescence with an exposure time of 10 seconds

All lanes:

Western blot - Anti-Nucleostemin antibody (ab70346) at 1/5000 dilution

Lane 1:

HeLa Whole cell lysate at 50 µg

Lane 2:

HEK293T Whole cell lysate at 50 µg

Lane 3:

Jurkat Whole cell lysate at 50 µg

Secondary

All lanes:

Goat anti-Rabbit Light Chain HRP Conjugate

Predicted band size: 62 kDa

false

Western blot - Anti-Nucleostemin antibody (AB70346)
  • WB

Supplier Data

Western blot - Anti-Nucleostemin antibody (AB70346)

Detection : Chemiluminescence with an exposure time of 30 seconds.

All lanes:

Western blot - Anti-Nucleostemin antibody (ab70346) at 1/2000 dilution

Lane 1:

TMCK-1 Whole cell lysate at 50 µg

Lane 2:

NIH 3T3 :Whole cell lysate at 50 µg

Secondary

All lanes:

Goat anti-Rabbit Light Chain HRP Conjugate

Predicted band size: 62 kDa

false

Key facts

Host species

Rabbit

Clonality

Polyclonal

Isotype

IgG

Carrier free

No

Reacts with

Mouse, Chicken, Rat, Human

Applications

IP, IHC-P, ICC/IF, WB

applications

Immunogen

Synthetic Peptide within Human GNL3. The exact immunogen used to generate this antibody is proprietary information.

Q9BVP2

Reactivity data

{ "title": "Reactivity Data", "filters": { "stats": ["", "Species", "Dilution Info", "Notes"], "tabs": { "all-applications": {"fullname" : "All Applications", "shortname": "All Applications"}, "IHCP" : {"fullname" : "Immunohistochemistry (Formalin/PFA-fixed paraffin-embedded sections)", "shortname":"IHC-P"}, "IP" : {"fullname" : "Immunoprecipitation", "shortname":"IP"}, "WB" : {"fullname" : "Western blot", "shortname":"WB"}, "ICCIF" : {"fullname" : "Immunocytochemistry/ Immunofluorescence", "shortname":"ICC/IF"} }, "product-promise": { "all": "all", "testedAndGuaranteed": "tested", "guaranteed": "expected", "predicted": "predicted", "notRecommended": "not-recommended" } }, "values": { "Human": { "IHCP-species-checked": "testedAndGuaranteed", "IHCP-species-dilution-info": "1/200 - 1/500", "IHCP-species-notes": "<p></p> Perform heat-mediated antigen retrieval with citrate buffer pH 6 before commencing with IHC staining protocol.", "IP-species-checked": "testedAndGuaranteed", "IP-species-dilution-info": "1-2 µg/mg of lysate", "IP-species-notes": "<p></p>", "WB-species-checked": "testedAndGuaranteed", "WB-species-dilution-info": "1/2000 - 1/10000", "WB-species-notes": "<p></p>", "ICCIF-species-checked": "testedAndGuaranteed", "ICCIF-species-dilution-info": "1 µg/mL", "ICCIF-species-notes": "<p></p>" }, "Mouse": { "IHCP-species-checked": "testedAndGuaranteed", "IHCP-species-dilution-info": "1/200 - 1/500", "IHCP-species-notes": "<p></p> Perform heat-mediated antigen retrieval with citrate buffer pH 6 before commencing with IHC staining protocol.", "IP-species-checked": "guaranteed", "IP-species-dilution-info": "", "IP-species-notes": "", "WB-species-checked": "testedAndGuaranteed", "WB-species-dilution-info": "1/2000 - 1/10000", "WB-species-notes": "<p></p>", "ICCIF-species-checked": "guaranteed", "ICCIF-species-dilution-info": "", "ICCIF-species-notes": "" }, "Rat": { "IHCP-species-checked": "guaranteed", "IHCP-species-dilution-info": "1/200 - 1/500", "IHCP-species-notes": "<p></p> Perform heat-mediated antigen retrieval with citrate buffer pH 6 before commencing with IHC staining protocol.", "IP-species-checked": "guaranteed", "IP-species-dilution-info": "1-2 µg/mg of lysate", "IP-species-notes": "<p></p>", "WB-species-checked": "guaranteed", "WB-species-dilution-info": "1/2000 - 1/10000", "WB-species-notes": "<p></p>", "ICCIF-species-checked": "guaranteed", "ICCIF-species-dilution-info": "1 µg/mL", "ICCIF-species-notes": "<p></p>" }, "Chicken": { "IHCP-species-checked": "guaranteed", "IHCP-species-dilution-info": "1/200 - 1/500", "IHCP-species-notes": "<p></p> Perform heat-mediated antigen retrieval with citrate buffer pH 6 before commencing with IHC staining protocol.", "IP-species-checked": "guaranteed", "IP-species-dilution-info": "1-2 µg/mg of lysate", "IP-species-notes": "<p></p>", "WB-species-checked": "guaranteed", "WB-species-dilution-info": "1/2000 - 1/10000", "WB-species-notes": "<p></p>", "ICCIF-species-checked": "guaranteed", "ICCIF-species-dilution-info": "1 µg/mL", "ICCIF-species-notes": "<p></p>" }, "Chimpanzee": { "IHCP-species-checked": "predicted", "IHCP-species-dilution-info": "", "IHCP-species-notes": "", "IP-species-checked": "predicted", "IP-species-dilution-info": "", "IP-species-notes": "", "WB-species-checked": "predicted", "WB-species-dilution-info": "", "WB-species-notes": "", "ICCIF-species-checked": "predicted", "ICCIF-species-dilution-info": "", "ICCIF-species-notes": "" }, "Dog": { "IHCP-species-checked": "predicted", "IHCP-species-dilution-info": "", "IHCP-species-notes": "", "IP-species-checked": "predicted", "IP-species-dilution-info": "", "IP-species-notes": "", "WB-species-checked": "predicted", "WB-species-dilution-info": "", "WB-species-notes": "", "ICCIF-species-checked": "predicted", "ICCIF-species-dilution-info": "", "ICCIF-species-notes": "" }, "Horse": { "IHCP-species-checked": "predicted", "IHCP-species-dilution-info": "", "IHCP-species-notes": "", "IP-species-checked": "predicted", "IP-species-dilution-info": "", "IP-species-notes": "", "WB-species-checked": "predicted", "WB-species-dilution-info": "", "WB-species-notes": "", "ICCIF-species-checked": "predicted", "ICCIF-species-dilution-info": "", "ICCIF-species-notes": "" }, "Rabbit": { "IHCP-species-checked": "predicted", "IHCP-species-dilution-info": "", "IHCP-species-notes": "", "IP-species-checked": "predicted", "IP-species-dilution-info": "", "IP-species-notes": "", "WB-species-checked": "predicted", "WB-species-dilution-info": "", "WB-species-notes": "", "ICCIF-species-checked": "predicted", "ICCIF-species-dilution-info": "", "ICCIF-species-notes": "" } } }

Properties and storage information

Form
Liquid
Purification technique
Affinity purification Immunogen
Purification notes
ab70346 was affinity purified using an epitope specific to Nucleostemin immobilized on solid support.
Storage buffer
pH: 6.8 - 7.4 Preservative: 0.09% Sodium azide Constituents: Tris buffered saline, 0.1% BSA
Shipped at conditions
Blue Ice
Appropriate short-term storage conditions
+4°C
Appropriate long-term storage conditions
+4°C
Aliquoting information
Upon delivery aliquot
Storage information
Avoid freeze / thaw cycle

Supplementary information

This supplementary information is collated from multiple sources and compiled automatically.

Nucleostemin is a protein involved in cellular regulation and has an approximate mass of 60 kDa. It is also known by the alternative name GNL3. Mechanical function of nucleostemin involves involvement in the regulation of cell cycle and maintenance of stem cell properties. This protein is expressed mainly in the nucleolus and is found in abundance within stem cells and certain cancer cells where its levels change depending on cell cycle stages.
Biological function summary

Nucleostemin plays an important role in controlling cell proliferation and maintaining stem cell characteristics. It is not part of a large complex but interacts with other proteins to perform its functions. The protein facilitates the regulation of cell division and its presence in stem cells assures the maintenance of an undifferentiated state which is important for tissue regeneration and repair.

Pathways

Nucleostemin interacts with various cell cycle and DNA repair mechanisms. Among important biological pathways nucleostemin is involved in the p53 signaling pathway assisting in cellular stress responses and enabling cell survival during DNA damage. There is also a relationship with the MDM2 protein as nucleostemin indirectly influences p53 stability by modulating MDM2 activity therefore playing a role in tumor suppression and oncogenic processes.

Researchers associate nucleostemin with cancer and neurological disorders. In cancers its overexpression is linked to the unchecked proliferation of tumor cells often observed in glioblastoma and certain sarcomas where nucleostemin interacts with proteins like p53 and MDM2 to influence tumor dynamics. In neurological contexts its role in stem cell regulation draws attention when considering diseases involving neurodegeneration where maintaining neural stem cells remains important.

Product protocols

For this product, it's our understanding that no specific protocols are required. You can visit:

Target data

May be required to maintain the proliferative capacity of stem cells. Stabilizes MDM2 by preventing its ubiquitination, and hence proteasomal degradation (By similarity).
See full target information GNL3

Publications (19)

Recent publications for all applications. Explore the full list and refine your search

Cell death discovery 10:461 PubMed39477962

2024

Myocardial ischemia-reperfusion injury upregulates nucleostemin expression via HIF-1α and c-Jun pathways and alleviates apoptosis by promoting autophagy.

Applications

Unspecified application

Species

Unspecified reactive species

Xiao Han,Zhicheng Jiang,Yufeng Hou,Xiaorong Zhou,Baoying Hu

International journal of molecular sciences 24: PubMed38069135

2023

Lovastatin Treatment Inducing Apoptosis in Human Pancreatic Cancer Cells by Inhibiting Cholesterol Rafts in Plasma Membrane and Mitochondria.

Applications

Unspecified application

Species

Unspecified reactive species

Momoko Gyoten,Yi Luo,Rina Fujiwara-Tani,Shiori Mori,Ruiko Ogata,Shingo Kishi,Hiroki Kuniyasu

Cells 12: PubMed37759446

2023

Rat Plantar Fascia Stem/Progenitor Cells Showed Lower Expression of Ligament Markers and Higher Pro-Inflammatory Cytokines after Intensive Mechanical Loading or Interleukin-1β Treatment In Vitro.

Applications

Unspecified application

Species

Unspecified reactive species

Wing Sum Siu,Hui Ma,Chun Hay Ko,Hoi Ting Shiu,Wen Cheng,Yuk Wa Lee,Cheuk Hin Kot,Ping Chung Leung,Pauline Po Yee Lui

International journal of molecular sciences 24: PubMed36834592

2023

Short Telomere Lesions with Dysplastic Metaplasia Histology May Represent Precancerous Lesions of -Positive Gastric Mucosa.

Applications

Unspecified application

Species

Unspecified reactive species

Rina Fujiwara-Tani,Tadataka Takagi,Shiori Mori,Shingo Kishi,Yukiko Nishiguchi,Takamitsu Sasaki,Masayuki Ikeda,Kenta Nagai,Ujjal Kumar Bhawal,Hitoshi Ohmori,Kiyomu Fujii,Hiroki Kuniyasu

Oncology letters 23:42 PubMed34976154

2022

Endosialin/CD248 may be a potential therapeutic target to prevent the invasion and metastasis in osteosarcoma.

Applications

Unspecified application

Species

Unspecified reactive species

Yumiko Kondo,Kanya Honoki,Shingo Kishi,Shiori Mori,Rina Fujiwara-Tani,Shinji Tsukamoto,Hiromasa Fujii,Hiroki Kuniyasu,Yasuhito Tanaka

International journal of molecular sciences 22: PubMed34884530

2021

BRAF Mutation Is Associated with Hyperplastic Polyp-Associated Gastric Cancer.

Applications

Unspecified application

Species

Unspecified reactive species

Rina Fujiwara-Tani,Ayaka Okamoto,Hiroyuki Katsuragawa,Hitoshi Ohmori,Kiyomu Fujii,Shiori Mori,Shingo Kishi,Takamitsu Sasaki,Chie Nakashima,Isao Kawahara,Yudai Hojo,Yukiko Nishiguchi,Takuya Mori,Takeshi Mizumoto,Kenta Nagai,Yi Luo,Hiroki Kuniyasu

International journal of molecular sciences 22: PubMed33919234

2021

Divergence of Intracellular Trafficking of Sphingosine Kinase 1 and Sphingosine-1-Phosphate Receptor 3 in MCF-7 Breast Cancer Cells and MCF-7-Derived Stem Cell-Enriched Mammospheres.

Applications

Unspecified application

Species

Unspecified reactive species

Olga A Sukocheva,Dong Gui Hu,Robyn Meech,Anupam Bishayee

Experimental cell research 387:111748 PubMed31785228

2019

Nucleostemin promotes hepatocellular carcinoma by regulating the function of STAT3.

Applications

Unspecified application

Species

Unspecified reactive species

Xuening Zhang,Jiale Lv,Honglai Luo,Zhaoxiu Liu,Chenzhou Xu,Danhua Zhou,Lei Tang,Zijuan Zhang,Jinxia Liu,Mingbing Xiao,Yebin Yao,Lishuai Qu,Cuihua Lu

International journal of molecular sciences 20: PubMed31013771

2019

Establishment and Characterization of 5-Fluorouracil-Resistant Human Colorectal Cancer Stem-Like Cells: Tumor Dynamics under Selection Pressure.

Applications

Unspecified application

Species

Unspecified reactive species

Maria Giovanna Francipane,Denis Bulanin,Eric Lagasse

Stem cell research & therapy 10:2 PubMed30606221

2019

PEDF-derived peptide promotes tendon regeneration through its mitogenic effect on tendon stem/progenitor cells.

Applications

Unspecified application

Species

Unspecified reactive species

Tsung-Chuan Ho,Shawn H Tsai,Shu-I Yeh,Show-Li Chen,Kwang-Yi Tung,Hsin-Yu Chien,Yung-Chang Lu,Chang-Hung Huang,Yeou-Ping Tsao
View all publications

Product promise

We are committed to supporting your work with high-quality reagents, and we're here for you every step of the way. In the unlikely event that one of our products does not perform as expected, you're protected by our Product Promise.
For full details, please see our Terms & Conditions

Please note: All products are 'FOR RESEARCH USE ONLY. NOT FOR USE IN DIAGNOSTIC OR THERAPEUTIC PROCEDURES'.

For licensing inquiries, please contact partnerships@abcam.com