JavaScript is disabled in your browser. Please enable JavaScript to view this website.
AB109318

Anti-NUDC antibody [EPR5073]

Be the first to review this product! Submit a review

|

(1 Publication)

Rabbit Recombinant Monoclonal NUDC antibody. Suitable for IHC-P, WB and reacts with Human samples. Cited in 1 publication.

View Alternative Names

Nuclear migration protein nudC, Nuclear distribution protein C homolog, NUDC

2 Images
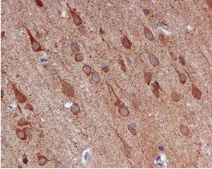
Immunohistochemistry (Formalin/PFA-fixed paraffin-embedded sections) - Anti-NUDC antibody [EPR5073] (AB109318)
  • IHC-P

Unknown

Immunohistochemistry (Formalin/PFA-fixed paraffin-embedded sections) - Anti-NUDC antibody [EPR5073] (AB109318)

Immunohistochemical analysis of NUDC in paraffin embedded Human brain tissue using ab109318 at a 1/250 dilution.

Perform heat mediated antigen retrieval before commencing with IHC staining protocol.

Western blot - Anti-NUDC antibody [EPR5073] (AB109318)
  • WB

Unknown

Western blot - Anti-NUDC antibody [EPR5073] (AB109318)

All lanes:

Western blot - Anti-NUDC antibody [EPR5073] (ab109318) at 1/1000 dilution

Lane 1:

HepG2 lysate at 10 µg

Lane 2:

293T lysate at 10 µg

Lane 3:

HeLa lysate at 10 µg

Lane 4:

SH-SY5Y lysate at 10 µg

Predicted band size: 38 kDa

Observed band size: 42 kDa

false

  • Carrier free

    Anti-NUDC antibody [EPR5073] - BSA and Azide free

Key facts

Host species

Rabbit

Clonality

Monoclonal

Clone number

EPR5073

Isotype

IgG

Carrier free

No

Reacts with

Human

Applications

WB, IHC-P

applications

Immunogen

The exact immunogen used to generate this antibody is proprietary information.

Reactivity data

{ "title": "Reactivity Data", "filters": { "stats": ["", "Species", "Dilution Info", "Notes"], "tabs": { "all-applications": {"fullname" : "All Applications", "shortname": "All Applications"}, "IHCP" : {"fullname" : "Immunohistochemistry (Formalin/PFA-fixed paraffin-embedded sections)", "shortname":"IHC-P"}, "WB" : {"fullname" : "Western blot", "shortname":"WB"} }, "product-promise": { "all": "all", "testedAndGuaranteed": "tested", "guaranteed": "expected", "predicted": "predicted", "notRecommended": "not-recommended" } }, "values": { "Human": { "IHCP-species-checked": "testedAndGuaranteed", "IHCP-species-dilution-info": "1/250 - 1/500", "IHCP-species-notes": "<p></p>", "WB-species-checked": "testedAndGuaranteed", "WB-species-dilution-info": "1/1000 - 1/10000", "WB-species-notes": "<p></p>" }, "Mouse": { "IHCP-species-checked": "predicted", "IHCP-species-dilution-info": "", "IHCP-species-notes": "", "WB-species-checked": "predicted", "WB-species-dilution-info": "", "WB-species-notes": "" }, "Rat": { "IHCP-species-checked": "predicted", "IHCP-species-dilution-info": "", "IHCP-species-notes": "", "WB-species-checked": "predicted", "WB-species-dilution-info": "", "WB-species-notes": "" } } }

Product details

Patented technology
Our RabMAb® technology is a patented hybridoma-based technology for making rabbit monoclonal antibodies. For details on our patents, please refer to RabMAb® patents.

What are the advantages of a recombinant monoclonal antibody?
This product is a recombinant monoclonal antibody, which offers several advantages including:

  • - High batch-to-batch consistency and reproducibility
  • - Improved sensitivity and specificity
  • - Long-term security of supply
  • - Animal-free batch production

For more information, read more on recombinant antibodies.

Properties and storage information

Form
Liquid
Purification technique
Affinity purification Protein A
Storage buffer
pH: 7.2 - 7.4 Preservative: 0.05% Sodium azide Constituents: 50% Tissue culture supernatant, 40% Glycerol (glycerin, glycerine), 9.85% Tris glycine, 0.1% BSA
Shipped at conditions
Blue Ice
Appropriate short-term storage conditions
+4°C
Appropriate long-term storage conditions
-20°C
Storage information
Stable for 12 months at -20°C

Supplementary information

This supplementary information is collated from multiple sources and compiled automatically.

NUDC also known as Nuclear Distribution Protein C is a conserved protein with a molecular weight of approximately 38 kDa. It is essential for the proper function of the cell division process. Throughout different stages of the cell cycle NUDC localizes to microtubules and the spindle apparatus. The protein shows a high level of expression in tissues with rapid cell division such as testis bone marrow and embryonic tissues. Its conserved nature points to a critical role in cellular operations across various organisms.
Biological function summary

NUDC plays a significant role in mitotic processes. The protein acts alongside members of the dynein motor complex influencing spindle assembly and chromosome alignment. NUDC's presence in centrosomes and the mitotic spindle highlights its role in maintaining genomic stability during cell division. Ensuring accurate chromosome segregation is one of the key biological responsibilities of this protein as errors in these processes can lead to aneuploidy often related to cancer development.

Pathways

Cellular transport and mitotic progression are two critical systems involving NUDC. It associates closely with the cytoplasmic dynein motor complex and interacts with proteins like LIS1 and NudE which modulate dynein activity. In the spindle assembly checkpoint pathway NUDC works to ensure proper kinetochore-microtubule attachments preventing premature anaphase onset and maintaining cell cycle fidelity. Its coordination within these pathways indicates a foundational role in cell division-related processes.

NUDC has links to neurodevelopmental disorders and cancers. Disruptions in NUDC's function can impact brain development with a correlation observed in cases of lissencephaly where improper neuronal migration is a hallmark. The protein's interaction with LIS1 is noteworthy in this context. Additionally aberrant NUDC expression or mutations play a part in tumorigenesis particularly in leukemias. Research shows that defective NUDC function may result in genomic instability a contributing factor in the progression of certain cancer types.

Product protocols

For this product, it's our understanding that no specific protocols are required. You can visit:

Target data

Plays a role in neurogenesis and neuronal migration (By similarity). Necessary for correct formation of mitotic spindles and chromosome separation during mitosis (PubMed : 12679384, PubMed : 12852857, PubMed : 25789526). Necessary for cytokinesis and cell proliferation (PubMed : 12679384, PubMed : 12852857).
See full target information Nuclear migration protein nudC

Publications (1)

Recent publications for all applications. Explore the full list and refine your search

Science advances 5:eaau7887 PubMed30891497

2019

Bach1 regulates self-renewal and impedes mesendodermal differentiation of human embryonic stem cells.

Applications

Unspecified application

Species

Unspecified reactive species

Xiangxiang Wei,Jieyu Guo,Qinhan Li,Qianqian Jia,Qing Jing,Yan Li,Bin Zhou,Jiayu Chen,Shaorong Gao,Xinyue Zhang,Mengping Jia,Cong Niu,Wenlong Yang,Xiuling Zhi,Xinhong Wang,Dian Yu,Lufeng Bai,Lin Wang,Jie Na,Yunzeng Zou,Jianyi Zhang,Shuning Zhang,Dan Meng
View all publications

Product promise

We are committed to supporting your work with high-quality reagents, and we're here for you every step of the way. In the unlikely event that one of our products does not perform as expected, you're protected by our Product Promise.
For full details, please see our Terms & Conditions

Please note: All products are 'FOR RESEARCH USE ONLY. NOT FOR USE IN DIAGNOSTIC OR THERAPEUTIC PROCEDURES'.

For licensing inquiries, please contact partnerships@abcam.com