JavaScript is disabled in your browser. Please enable JavaScript to view this website.
AB247833

Anti-NUDC antibody [EPR5073] - BSA and Azide free

Be the first to review this product! Submit a review

|

(1 Publication)

Rabbit Recombinant Monoclonal NUDC antibody. Carrier free. Suitable for IHC-P, WB and reacts with Human samples. Cited in 1 publication.

View Alternative Names

Nuclear migration protein nudC, Nuclear distribution protein C homolog, NUDC

2 Images
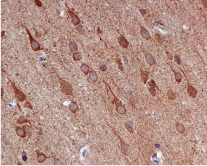
Immunohistochemistry (Formalin/PFA-fixed paraffin-embedded sections) - Anti-NUDC antibody [EPR5073] - BSA and Azide free (AB247833)
  • IHC-P

Unknown

Immunohistochemistry (Formalin/PFA-fixed paraffin-embedded sections) - Anti-NUDC antibody [EPR5073] - BSA and Azide free (AB247833)

This data was developed using ab109318, the same antibody clone in a different buffer formulation.

Immunohistochemical analysis of NUDC in paraffin embedded Human brain tissue, using ab109318 at a 1/250 dilution.

Perform heat mediated antigen retrieval before commencing with IHC staining protocol.

Western blot - Anti-NUDC antibody [EPR5073] - BSA and Azide free (AB247833)
  • WB

Unknown

Western blot - Anti-NUDC antibody [EPR5073] - BSA and Azide free (AB247833)

This data was developed using ab109318, the same antibody clone in a different buffer formulation.

All lanes:

Western blot - Anti-NUDC antibody [EPR5073] (<a href='/en-us/products/primary-antibodies/nudc-antibody-epr5073-ab109318'>ab109318</a>) at 1/1000 dilution

Lane 1:

HepG2 lysate at 10 µg

Lane 2:

293T lysate at 10 µg

Lane 3:

HeLa lysate at 10 µg

Lane 4:

SH-SY5Y lysate at 10 µg

Predicted band size: 38 kDa

Observed band size: 42 kDa

false

Key facts

Host species

Rabbit

Clonality

Monoclonal

Clone number

EPR5073

Isotype

IgG

Carrier free

Yes

Reacts with

Human

Applications

WB, IHC-P

applications

Immunogen

The exact immunogen used to generate this antibody is proprietary information.

Reactivity data

{ "title": "Reactivity Data", "filters": { "stats": ["", "Species", "Dilution Info", "Notes"], "tabs": { "all-applications": {"fullname" : "All Applications", "shortname": "All Applications"}, "IHCP" : {"fullname" : "Immunohistochemistry (Formalin/PFA-fixed paraffin-embedded sections)", "shortname":"IHC-P"}, "WB" : {"fullname" : "Western blot", "shortname":"WB"} }, "product-promise": { "all": "all", "testedAndGuaranteed": "tested", "guaranteed": "expected", "predicted": "predicted", "notRecommended": "not-recommended" } }, "values": { "Human": { "IHCP-species-checked": "testedAndGuaranteed", "IHCP-species-dilution-info": "", "IHCP-species-notes": "<p></p>", "WB-species-checked": "testedAndGuaranteed", "WB-species-dilution-info": "", "WB-species-notes": "<p></p>" }, "Mouse": { "IHCP-species-checked": "predicted", "IHCP-species-dilution-info": "", "IHCP-species-notes": "", "WB-species-checked": "predicted", "WB-species-dilution-info": "", "WB-species-notes": "" }, "Rat": { "IHCP-species-checked": "predicted", "IHCP-species-dilution-info": "", "IHCP-species-notes": "", "WB-species-checked": "predicted", "WB-species-dilution-info": "", "WB-species-notes": "" } } }

Product details

ab247833 is the carrier-free version of ab109318.

Patented technology
Our RabMAb® technology is a patented hybridoma-based technology for making rabbit monoclonal antibodies. For details on our patents, please refer to RabMAb® patents.

What are the advantages of a recombinant monoclonal antibody?
This product is a recombinant monoclonal antibody, which offers several advantages including:

  • - High batch-to-batch consistency and reproducibility
  • - Improved sensitivity and specificity
  • - Long-term security of supply
  • - Animal-free batch production

For more information, read more on recombinant antibodies.

Conjugation ready
Our carrier-free antibodies are typically supplied in a PBS-only formulation, purified and free of BSA, sodium azide and glycerol. This conjugation-ready format is designed for use with fluorochromes, metal isotopes, oligonucleotides, and enzymes, which makes them ideal for antibody labelling, functional and cell-based assays, flow-based assays (e.g. mass cytometry) and Multiplex Imaging applications.

Use our conjugation kits for antibody conjugates that are ready-to-use in as little as 20 minutes with 1 minute hands-on-time and 100% antibody recovery: available for fluorescent dyes, HRP, biotin and gold.

Compatibility
This product is compatible with the Maxpar® Antibody Labeling Kit from Fluidigm, without the need for antibody preparation. Maxpar® is a trademark of Fluidigm Canada Inc.

Properties and storage information

Form
Liquid
Purification technique
Affinity purification Protein A
Storage buffer
pH: 7.2 - 7.4 Constituents: PBS
Shipped at conditions
Blue Ice
Appropriate short-term storage conditions
+4°C
Appropriate long-term storage conditions
+4°C
Storage information
Do Not Freeze

Supplementary information

This supplementary information is collated from multiple sources and compiled automatically.

NUDC also known as Nuclear Distribution Protein C is a conserved protein with a molecular weight of approximately 38 kDa. It is essential for the proper function of the cell division process. Throughout different stages of the cell cycle NUDC localizes to microtubules and the spindle apparatus. The protein shows a high level of expression in tissues with rapid cell division such as testis bone marrow and embryonic tissues. Its conserved nature points to a critical role in cellular operations across various organisms.
Biological function summary

NUDC plays a significant role in mitotic processes. The protein acts alongside members of the dynein motor complex influencing spindle assembly and chromosome alignment. NUDC's presence in centrosomes and the mitotic spindle highlights its role in maintaining genomic stability during cell division. Ensuring accurate chromosome segregation is one of the key biological responsibilities of this protein as errors in these processes can lead to aneuploidy often related to cancer development.

Pathways

Cellular transport and mitotic progression are two critical systems involving NUDC. It associates closely with the cytoplasmic dynein motor complex and interacts with proteins like LIS1 and NudE which modulate dynein activity. In the spindle assembly checkpoint pathway NUDC works to ensure proper kinetochore-microtubule attachments preventing premature anaphase onset and maintaining cell cycle fidelity. Its coordination within these pathways indicates a foundational role in cell division-related processes.

NUDC has links to neurodevelopmental disorders and cancers. Disruptions in NUDC's function can impact brain development with a correlation observed in cases of lissencephaly where improper neuronal migration is a hallmark. The protein's interaction with LIS1 is noteworthy in this context. Additionally aberrant NUDC expression or mutations play a part in tumorigenesis particularly in leukemias. Research shows that defective NUDC function may result in genomic instability a contributing factor in the progression of certain cancer types.

Product protocols

For this product, it's our understanding that no specific protocols are required. You can visit:

Target data

Plays a role in neurogenesis and neuronal migration (By similarity). Necessary for correct formation of mitotic spindles and chromosome separation during mitosis (PubMed : 12679384, PubMed : 12852857, PubMed : 25789526). Necessary for cytokinesis and cell proliferation (PubMed : 12679384, PubMed : 12852857).
See full target information Nuclear migration protein nudC

Publications (1)

Recent publications for all applications. Explore the full list and refine your search

Oncology letters 26:409 PubMed37600337

2023

Renal epithelioid angiomyolipoma: A case report.

Applications

Unspecified application

Species

Unspecified reactive species

Hongyun Li,Xuebei Zhang,Qingli Zhao,Jin Wang,Xiaoqing Yang,Shengliang Huang
View all publications

Product promise

We are committed to supporting your work with high-quality reagents, and we're here for you every step of the way. In the unlikely event that one of our products does not perform as expected, you're protected by our Product Promise.
For full details, please see our Terms & Conditions

Please note: All products are 'FOR RESEARCH USE ONLY. NOT FOR USE IN DIAGNOSTIC OR THERAPEUTIC PROCEDURES'.

For licensing inquiries, please contact partnerships@abcam.com