JavaScript is disabled in your browser. Please enable JavaScript to view this website.
AB171979

Anti-NUDCD2 antibody [EPR11558]

Be the first to review this product! Submit a review

|

(1 Publication)

Rabbit Recombinant Monoclonal NUDCD2 antibody. Suitable for IHC-P, IP, WB, ICC/IF, Flow Cyt (Intra) and reacts with Human samples. Cited in 1 publication.

View Alternative Names

NudC domain-containing protein 2, NUDCD2

6 Images
Flow Cytometry (Intracellular) - Anti-NUDCD2 antibody [EPR11558] (AB171979)
  • Flow Cyt (Intra)

Supplier Data

Flow Cytometry (Intracellular) - Anti-NUDCD2 antibody [EPR11558] (AB171979)

Intracellular flow cytometric analysis of permeabilized 293T cells labeling NUDCD2 with ab171979 at 1/10 dilution (red) or a Rabbit IgG (negative) (green).

Immunohistochemistry (Formalin/PFA-fixed paraffin-embedded sections) - Anti-NUDCD2 antibody [EPR11558] (AB171979)
  • IHC-P

Supplier Data

Immunohistochemistry (Formalin/PFA-fixed paraffin-embedded sections) - Anti-NUDCD2 antibody [EPR11558] (AB171979)

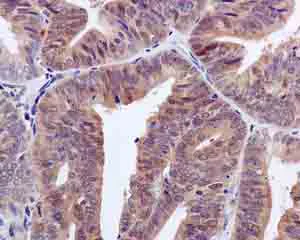
Immunohistochemical analysis of paraffin-embedded Human endometrial adenocarcinoma tissue labeling NUDCD2 with ab171979 at 1/50 dilution.

Perform heat mediated antigen retrieval with citrate buffer pH 6 before commencing with IHC staining protocol.

Immunohistochemistry (Formalin/PFA-fixed paraffin-embedded sections) - Anti-NUDCD2 antibody [EPR11558] (AB171979)
  • IHC-P

Supplier Data

Immunohistochemistry (Formalin/PFA-fixed paraffin-embedded sections) - Anti-NUDCD2 antibody [EPR11558] (AB171979)

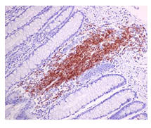
Immunohistochemical analysis of paraffin-embedded Human colon tissue labeling NUDCD2 with ab171979 at 1/50 dilution.

Perform heat mediated antigen retrieval with citrate buffer pH 6 before commencing with IHC staining protocol.

Immunocytochemistry/ Immunofluorescence - Anti-NUDCD2 antibody [EPR11558] (AB171979)
  • ICC/IF

Supplier Data

Immunocytochemistry/ Immunofluorescence - Anti-NUDCD2 antibody [EPR11558] (AB171979)

Immunofluorescent analysis of HepG2 cells labeling NUDCD2 with ab171979 at 1/100 dilution.

Immunoprecipitation - Anti-NUDCD2 antibody [EPR11558] (AB171979)
  • IP

Supplier Data

Immunoprecipitation - Anti-NUDCD2 antibody [EPR11558] (AB171979)

Western blot analysis on immunoprecipitation pellet from 293T cell lysate labeling NUDCD2 with ab171979 at 1/10 dilution.

All lanes:

Immunoprecipitation - Anti-NUDCD2 antibody [EPR11558] (ab171979)

Predicted band size: 18 kDa

false

Western blot - Anti-NUDCD2 antibody [EPR11558] (AB171979)
  • WB

Supplier Data

Western blot - Anti-NUDCD2 antibody [EPR11558] (AB171979)

All lanes:

Western blot - Anti-NUDCD2 antibody [EPR11558] (ab171979) at 1/1000 dilution

Lane 1:

K562 cell lysate at 10 µg

Lane 2:

293T cell lysate at 10 µg

Lane 3:

HepG2 cell lysate at 10 µg

Predicted band size: 18 kDa

false

  • Carrier free

    Anti-NUDCD2 antibody [EPR11558] - BSA and Azide free

Key facts

Host species

Rabbit

Clonality

Monoclonal

Clone number

EPR11558

Isotype

IgG

Carrier free

No

Reacts with

Human

Applications

WB, ICC/IF, IHC-P, Flow Cyt (Intra), IP

applications

Immunogen

The exact immunogen used to generate this antibody is proprietary information.

Reactivity data

{ "title": "Reactivity Data", "filters": { "stats": ["", "Species", "Dilution Info", "Notes"], "tabs": { "all-applications": {"fullname" : "All Applications", "shortname": "All Applications"}, "IHCP" : {"fullname" : "Immunohistochemistry (Formalin/PFA-fixed paraffin-embedded sections)", "shortname":"IHC-P"}, "IP" : {"fullname" : "Immunoprecipitation", "shortname":"IP"}, "WB" : {"fullname" : "Western blot", "shortname":"WB"}, "ICCIF" : {"fullname" : "Immunocytochemistry/ Immunofluorescence", "shortname":"ICC/IF"}, "FlowCytIntra" : {"fullname" : "Flow Cytometry (Intracellular)", "shortname":"Flow Cyt (Intra)"} }, "product-promise": { "all": "all", "testedAndGuaranteed": "tested", "guaranteed": "expected", "predicted": "predicted", "notRecommended": "not-recommended" } }, "values": { "Human": { "IHCP-species-checked": "testedAndGuaranteed", "IHCP-species-dilution-info": "1/50 - 1/100", "IHCP-species-notes": "<p></p> Perform heat-mediated antigen retrieval with citrate buffer pH 6 before commencing with IHC staining protocol.", "IP-species-checked": "testedAndGuaranteed", "IP-species-dilution-info": "1/10 - 1/100", "IP-species-notes": "<p></p>", "WB-species-checked": "testedAndGuaranteed", "WB-species-dilution-info": "1/1000 - 1/5000", "WB-species-notes": "<p></p>", "ICCIF-species-checked": "testedAndGuaranteed", "ICCIF-species-dilution-info": "1/100 - 1/250", "ICCIF-species-notes": "<p></p>", "FlowCytIntra-species-checked": "testedAndGuaranteed", "FlowCytIntra-species-dilution-info": "1/10 - 1/100", "FlowCytIntra-species-notes": "<p><a href='/en-us/products/primary-antibodies/rabbit-igg-monoclonal-epr25a-isotype-control-ab172730'>ab172730</a> - Rabbit monoclonal IgG, is suitable for use as an isotype control with this antibody.</p>" }, "Mouse": { "IHCP-species-checked": "predicted", "IHCP-species-dilution-info": "", "IHCP-species-notes": "", "IP-species-checked": "predicted", "IP-species-dilution-info": "", "IP-species-notes": "", "WB-species-checked": "predicted", "WB-species-dilution-info": "", "WB-species-notes": "", "ICCIF-species-checked": "predicted", "ICCIF-species-dilution-info": "", "ICCIF-species-notes": "", "FlowCytIntra-species-checked": "predicted", "FlowCytIntra-species-dilution-info": "", "FlowCytIntra-species-notes": "" }, "Rat": { "IHCP-species-checked": "predicted", "IHCP-species-dilution-info": "", "IHCP-species-notes": "", "IP-species-checked": "predicted", "IP-species-dilution-info": "", "IP-species-notes": "", "WB-species-checked": "predicted", "WB-species-dilution-info": "", "WB-species-notes": "", "ICCIF-species-checked": "predicted", "ICCIF-species-dilution-info": "", "ICCIF-species-notes": "", "FlowCytIntra-species-checked": "predicted", "FlowCytIntra-species-dilution-info": "", "FlowCytIntra-species-notes": "" } } }

Product details

Patented technology
Our RabMAb® technology is a patented hybridoma-based technology for making rabbit monoclonal antibodies. For details on our patents, please refer to RabMAb® patents.

What are the advantages of a recombinant monoclonal antibody?
This product is a recombinant monoclonal antibody, which offers several advantages including:

  • - High batch-to-batch consistency and reproducibility
  • - Improved sensitivity and specificity
  • - Long-term security of supply
  • - Animal-free batch production

For more information, read more on recombinant antibodies.

Properties and storage information

Form
Liquid
Purification technique
Affinity purification Protein A
Storage buffer
pH: 7.2 - 7.4 Preservative: 0.01% Sodium azide Constituents: 50% Tissue culture supernatant, 40% Glycerol (glycerin, glycerine), 9% PBS, 0.05% BSA
Shipped at conditions
Blue Ice
Appropriate short-term storage duration
1-2 weeks
Appropriate short-term storage conditions
+4°C
Appropriate long-term storage conditions
-20°C
Aliquoting information
Upon delivery aliquot
Storage information
Avoid freeze / thaw cycle

Supplementary information

This supplementary information is collated from multiple sources and compiled automatically.

NUDCD2 also known as NudC Domain Containing 2 is a protein that plays a role in cellular processes like protein transport. This protein weighs approximately 45 kDa. NUDCD2 locates primarily in the cytoplasm where it interacts with microtubules. The expression profile of NUDCD2 shows its presence in multiple tissues including liver lungs and lymph nodes highlighting its significance in these areas.
Biological function summary

The actions of NUDCD2 involve interactions with the mitotic spindle suggesting a role in cell division. NUDCD2 associates with elements of the dynein-dynactin complex which implies participation in intracellular transport mechanisms. This complex facilitates processes essential for efficient mitotic spindle function an important aspect of cell division and proper chromosome segregation.

Pathways

NUDCD2 is involved in the regulation of the microtubule cytoskeleton. It functions within pathways like the cell cycle regulation pathway in particular during mitosis. NUDCD2 is related to proteins such as dynein which contribute to the stabilization of microtubules and proper mitotic spindle formation. This connection indicates that NUDCD2 impacts processes that control cell proliferation and genomic stability.

NUDCD2 has connections to cancer where disruptions in its function could lead to abnormal cell division and tumor formation. Impaired regulation of proteins like NUDCD2 might result in missegregation of chromosomes promoting oncogenesis. Additionally NUDCD2 implications in neurological disorders exist since defects in microtubule-related processes can lead to neurodevelopmental issues linking it with proteins involved in neuronal function and stability.

Product protocols

For this product, it's our understanding that no specific protocols are required. You can visit:

Target data

May regulate the LIS1/dynein pathway by stabilizing LIS1 with Hsp90 chaperone.
See full target information NUDCD2

Publications (1)

Recent publications for all applications. Explore the full list and refine your search

The EMBO journal 41:e110476 PubMed35912435

2022

Regulation of mitochondrial proteostasis by the proton gradient.

Applications

Unspecified application

Species

Unspecified reactive species

Maria Patron,Daryna Tarasenko,Hendrik Nolte,Lara Kroczek,Mausumi Ghosh,Yohsuke Ohba,Yvonne Lasarzewski,Zeinab Alsadat Ahmadi,Alfredo Cabrera-Orefice,Akinori Eyiama,Tim Kellermann,Elena I Rugarli,Ulrich Brandt,Michael Meinecke,Thomas Langer
View all publications

Product promise

We are committed to supporting your work with high-quality reagents, and we're here for you every step of the way. In the unlikely event that one of our products does not perform as expected, you're protected by our Product Promise.
For full details, please see our Terms & Conditions

Please note: All products are 'FOR RESEARCH USE ONLY. NOT FOR USE IN DIAGNOSTIC OR THERAPEUTIC PROCEDURES'.

For licensing inquiries, please contact partnerships@abcam.com