JavaScript is disabled in your browser. Please enable JavaScript to view this website.
AB197021

Anti-NUDT9 antibody [EPR15175]

Be the first to review this product! Submit a review

|

(1 Publication)

Rabbit Recombinant Monoclonal NUDT9 antibody. Suitable for WB, ICC/IF, Flow Cyt (Intra), IHC-P and reacts with Human, Rat samples. Cited in 1 publication.

View Alternative Names

NUDT10, PSEC0099, UNQ3012/PRO9771, NUDT9, ADP-ribose diphosphatase, ADP-ribose phosphohydrolase, Adenosine diphosphoribose pyrophosphatase, Nucleoside diphosphate-linked moiety X motif 9, ADPR-PPase, Nudix motif 9

5 Images
Western blot - Anti-NUDT9 antibody [EPR15175] (AB197021)
  • WB

Supplier Data

Western blot - Anti-NUDT9 antibody [EPR15175] (AB197021)

Blocking/Dilution buffer : 5% NFDM/TBST.

All lanes:

Western blot - Anti-NUDT9 antibody [EPR15175] (ab197021) at 1/20000 dilution

Lane 1:

Jurkat (Human T cell leukemia cells from peripheral blood) cell lysate at 20 µg

Lane 2:

HUVEC (Human umbilical vein endothelial cell line) cell lysate at 20 µg

Secondary

All lanes:

Goat Anti-Rabbit IgG, (H+L), Peroxidase conjugated at 1/1000 dilution

Predicted band size: 39 kDa

Observed band size: 39 kDa

false

Exposure time: 30s

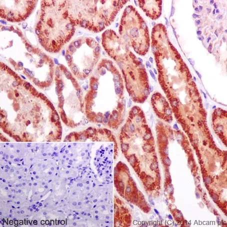
Immunohistochemistry (Formalin/PFA-fixed paraffin-embedded sections) - Anti-NUDT9 antibody [EPR15175] (AB197021)
  • IHC-P

Supplier Data

Immunohistochemistry (Formalin/PFA-fixed paraffin-embedded sections) - Anti-NUDT9 antibody [EPR15175] (AB197021)

Immunohistochemical analysis of paraffin-embedded Human kidney tissue labeling NUDT9 with ab197021 at 1/500 dilution followed by Goat Anti-Rabbit IgG H&L (HRP) (ab97051) at 1/500 dilution. Cytoplasm staining on Human kidney tissue is observed. Counter stained with Hematoxylin.

Negative control : Used PBS instead of primary antibody secondary antibody is Goat Anti-Rabbit IgG H&L (HRP) (ab97051) at 1/500 dilution.

Perform heat mediated antigen retrieval with Tris/EDTA buffer pH 9.0 before commencing with IHC staining protocol.

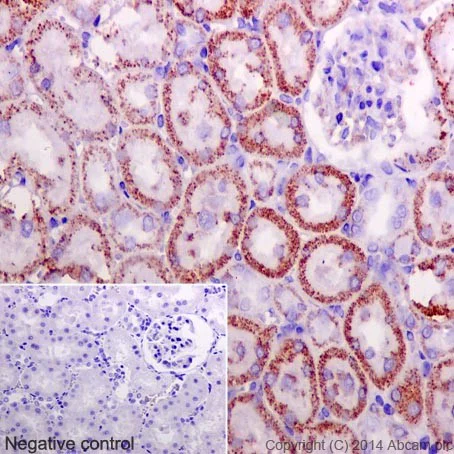
Immunohistochemistry (Formalin/PFA-fixed paraffin-embedded sections) - Anti-NUDT9 antibody [EPR15175] (AB197021)
  • IHC-P

Supplier Data

Immunohistochemistry (Formalin/PFA-fixed paraffin-embedded sections) - Anti-NUDT9 antibody [EPR15175] (AB197021)

Immunohistochemical analysis of paraffin-embedded Rat kidney tissue labeling NUDT9 with ab197021 at 1/500 dilution followed by Goat Anti-Rabbit IgG H&L (HRP) (ab97051) at 1/500 dilution. Cytoplasm staining on Rat kidney tissue is observed. Counter stained with Hematoxylin.

Negative control : Used PBS instead of primary antibody secondary antibody is Goat Anti-Rabbit IgG H&L (HRP) (ab97051) at 1/500 dilution.

Perform heat mediated antigen retrieval with Tris/EDTA buffer pH 9.0 before commencing with IHC staining protocol.

Immunocytochemistry/ Immunofluorescence - Anti-NUDT9 antibody [EPR15175] (AB197021)
  • ICC/IF

Supplier Data

Immunocytochemistry/ Immunofluorescence - Anti-NUDT9 antibody [EPR15175] (AB197021)

Immunofluorescent analysis of 4% paraformaldehyde-fixed 0.1% Triton X-100 permeabilized HeLa (Human epithelial cells from cervix adenocarcinoma) cells labeling NUDT9 with ab197021 at 1/250 dilution followed by Goat anti-rabbit IgG (Alexa Fluor® 488) (ab150077) secondary antibody at 1/500 dilution (green). Mitochondrion staining on HeLa cell line is observed. The nuclear counterstain is DAPI (blue). COX IV is detected with ab33985 (anti-COX IV mouse mAb) at 1/1000 dilution and ab150120 (AlexaFluor®594 Goat anti-Mouse secondary) at 1/500 dilution (red).

The negative controls are as follows : -
-ve control 1 : ab197021 at 1/250 dilution followed by ab150120 (AlexaFluor®594 Goat anti-Mouse secondary) at 1/500 dilution.
-ve control 2 : ab33985 (anti-COX IV mouse mAb) at 1/1000 dilution followed by ab150077 (Alexa Fluor®488 Goat Anti-Rabbit IgG H&L) at 1/500 dilution.

Flow Cytometry (Intracellular) - Anti-NUDT9 antibody [EPR15175] (AB197021)
  • Flow Cyt (Intra)

Supplier Data

Flow Cytometry (Intracellular) - Anti-NUDT9 antibody [EPR15175] (AB197021)

Intracellular flow cytometric analysis of 2% paraformaldehyde-fixed Jurkat (Human T cell leukemia cells from peripheral blood) cells labeling NUDT9 with ab197021 at 1/170 dilution (red) compared with a rabbit monoclonal IgG isotype control (black) and an unlabelled control (cells without incubation with primary antibody and secondary antibody; blue). Goat anti rabbit IgG (FITC) at 1/150 dilution was used as the secondary antibody.

Key facts

Host species

Rabbit

Clonality

Monoclonal

Clone number

EPR15175

Isotype

IgG

Carrier free

No

Reacts with

Rat, Human

Applications

IHC-P, ICC/IF, WB, Flow Cyt (Intra)

applications

Immunogen

The exact immunogen used to generate this antibody is proprietary information.

Reactivity data

{ "title": "Reactivity Data", "filters": { "stats": ["", "Species", "Dilution Info", "Notes"], "tabs": { "all-applications": {"fullname" : "All Applications", "shortname": "All Applications"}, "WB" : {"fullname" : "Western blot", "shortname":"WB"}, "ICCIF" : {"fullname" : "Immunocytochemistry/ Immunofluorescence", "shortname":"ICC/IF"}, "FlowCytIntra" : {"fullname" : "Flow Cytometry (Intracellular)", "shortname":"Flow Cyt (Intra)"}, "IHCP" : {"fullname" : "Immunohistochemistry (Formalin/PFA-fixed paraffin-embedded sections)", "shortname":"IHC-P"} }, "product-promise": { "all": "all", "testedAndGuaranteed": "tested", "guaranteed": "expected", "predicted": "predicted", "notRecommended": "not-recommended" } }, "values": { "Human": { "WB-species-checked": "testedAndGuaranteed", "WB-species-dilution-info": "1/20000", "WB-species-notes": "<p></p> Perform heat-mediated antigen retrieval with Tris/EDTA buffer pH 9.0 before commencing with IHC staining protocol.", "ICCIF-species-checked": "testedAndGuaranteed", "ICCIF-species-dilution-info": "1/250", "ICCIF-species-notes": "<p></p> Perform heat-mediated antigen retrieval with Tris/EDTA buffer pH 9.0 before commencing with IHC staining protocol.", "FlowCytIntra-species-checked": "testedAndGuaranteed", "FlowCytIntra-species-dilution-info": "1/170", "FlowCytIntra-species-notes": "<p></p>", "IHCP-species-checked": "testedAndGuaranteed", "IHCP-species-dilution-info": "1/250 - 1/500", "IHCP-species-notes": "<p></p> Perform heat-mediated antigen retrieval with Tris/EDTA buffer pH 9.0 before commencing with IHC staining protocol." }, "Rat": { "WB-species-checked": "guaranteed", "WB-species-dilution-info": "", "WB-species-notes": "", "ICCIF-species-checked": "guaranteed", "ICCIF-species-dilution-info": "", "ICCIF-species-notes": "", "FlowCytIntra-species-checked": "guaranteed", "FlowCytIntra-species-dilution-info": "", "FlowCytIntra-species-notes": "", "IHCP-species-checked": "testedAndGuaranteed", "IHCP-species-dilution-info": "1/250 - 1/500", "IHCP-species-notes": "<p></p> Perform heat-mediated antigen retrieval with Tris/EDTA buffer pH 9.0 before commencing with IHC staining protocol." } } }

Product details

Properties and storage information

Form
Liquid
Purification technique
Affinity purification Protein A
Storage buffer
pH: 7.2 - 7.4 Preservative: 0.01% Sodium azide Constituents: 59% PBS, 40% Glycerol (glycerin, glycerine), 0.05% BSA
Shipped at conditions
Blue Ice
Appropriate short-term storage duration
1-2 weeks
Appropriate short-term storage conditions
+4°C
Appropriate long-term storage conditions
-20°C
Aliquoting information
Upon delivery aliquot
Storage information
Avoid freeze / thaw cycle

Supplementary information

This supplementary information is collated from multiple sources and compiled automatically.

NUDT9 also known as Nudix Hydrolase 9 is an enzyme that exhibits pyrophosphatase activity on molecules like ADP-ribose. It has an approximate mass of 35 kDa. NUDT9 is expressed in various tissues with significant levels observed in the brain and heart. This protein helps break down ADP-ribose into AMP and ribose-5-phosphate assisting in the regulation of cellular ADP-ribose concentrations.
Biological function summary

NUDT9 helps to maintain cellular balance by controlling levels of ADP-ribose a substrate for poly ADP-ribose polymerases. This regulation is essential for energy metabolism and DNA repair processes. NUDT9 operates independently and does not blend into larger protein complexes focusing strictly on its enzymatic role ensuring the cell's homeostasis.

Pathways

NUDT9 is significantly involved in NAD+ metabolism and the DNA repair mechanism. By converting ADP-ribose NUDT9 interacts with pathways that are central to maintaining cellular energy balance and protecting cells from DNA damage. It is functionally linked with enzymes such as PARP (poly ADP-ribose polymerase) which are pivotal in detecting and signaling DNA strand breaks.

NUDT9's role in regulating ADP-ribose links it to conditions where cellular stress and energy metabolism are disrupted. Its malfunction has correlations with neurodegenerative diseases like Alzheimer's where altered energy metabolism and DNA damage responses are critical factors. NUDT9 also connects with proteins like PARP which are implicated in this pathological context indicating a potential therapeutic target for managing such disorders.

Product protocols

For this product, it's our understanding that no specific protocols are required. You can visit:

Target data

Hydrolyzes ADP-ribose (ADPR) to AMP and ribose 5'-phosphate.
See full target information NUDT9

Publications (1)

Recent publications for all applications. Explore the full list and refine your search

Cell death & disease 12:889 PubMed34588426

2021

Corosolic acid inhibits cancer progression by decreasing the level of CDK19-mediated O-GlcNAcylation in liver cancer cells.

Applications

Unspecified application

Species

Unspecified reactive species

Congcong Zhang,Yongjie Niu,Zhixian Wang,Xin Xu,Yan Li,Lifang Ma,Jiayi Wang,Yongchun Yu
View all publications

Product promise

We are committed to supporting your work with high-quality reagents, and we're here for you every step of the way. In the unlikely event that one of our products does not perform as expected, you're protected by our Product Promise.
For full details, please see our Terms & Conditions

Please note: All products are 'FOR RESEARCH USE ONLY. NOT FOR USE IN DIAGNOSTIC OR THERAPEUTIC PROCEDURES'.

For licensing inquiries, please contact partnerships@abcam.com