JavaScript is disabled in your browser. Please enable JavaScript to view this website.
AB241470

Anti-NuMA antibody

Be the first to review this product! Submit a review

|

(1 Publication)

Rabbit Polyclonal NuMA antibody. Suitable for IHC-P, IP, WB and reacts with Human samples. Cited in 1 publication. Immunogen corresponding to Synthetic Peptide within Human NUMA1 aa 2050 to C-terminus.

View Alternative Names

NMP22, NUMA, NUMA1, Nuclear mitotic apparatus protein 1, Nuclear matrix protein-22, Nuclear mitotic apparatus protein, SP-H antigen, NMP-22, NuMA protein

3 Images
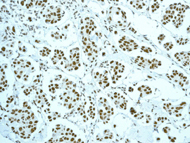
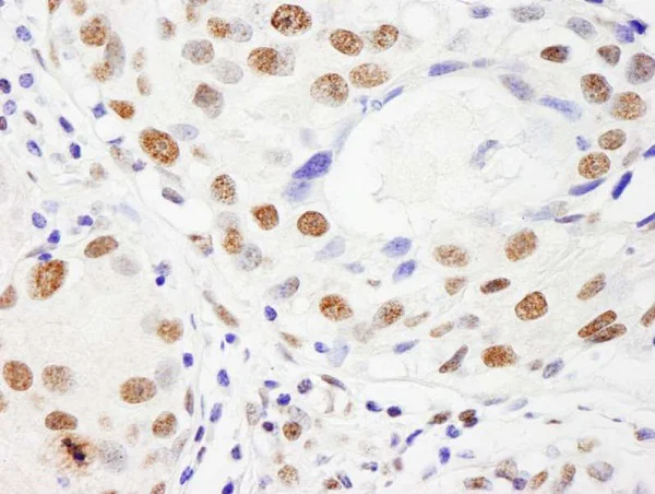
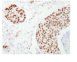
Immunohistochemistry (Formalin/PFA-fixed paraffin-embedded sections) - Anti-NuMA antibody (AB241470)
  • IHC-P

Supplier Data

Immunohistochemistry (Formalin/PFA-fixed paraffin-embedded sections) - Anti-NuMA antibody (AB241470)

Formalin-fixed, paraffin-embedded human breast carcinoma tissue stained for NuMA using ab241470 at 1/200 dilution in immunohistochemical analysis. Detection : DAB staining.

Immunoprecipitation - Anti-NuMA antibody (AB241470)
  • IP

Supplier Data

Immunoprecipitation - Anti-NuMA antibody (AB241470)

NuMA was immunoprecipitated from HeLa (human epithelial cell line from cervix adenocarcinoma) whole cell lysate (1 mg for IP, 20% of IP loaded) with ab241470 at 3 μg/mg lysate. Western blot was performed from the immunoprecipitate using ab241470 at 0.1 μg/ml.

Lane 1 : ab241470 IP in HeLa whole cell lysate.

Lane 2 : Control IgG IP in HeLa whole cell lysate.

Detection : Chemiluminescence with exposure time of 30 seconds.

All lanes:

Immunoprecipitation - Anti-NuMA antibody (ab241470)

Predicted band size: 238 kDa

false

Western blot - Anti-NuMA antibody (AB241470)
  • WB

Supplier Data

Western blot - Anti-NuMA antibody (AB241470)

All lanes:

Western blot - Anti-NuMA antibody (ab241470) at 0.04 µg/mL

Lane 1:

HeLa (human epithelial cell line from cervix adenocarcinoma) whole cell lysate at 50 µg

Lane 2:

HeLa whole cell lysate at 15 µg

Lane 3:

HeLa whole cell lysate at 5 µg

Predicted band size: 238 kDa

true

Exposure time: 30s

Key facts

Host species

Rabbit

Clonality

Polyclonal

Isotype

IgG

Carrier free

No

Reacts with

Human

Applications

IHC-P, IP, WB

applications

Immunogen

Synthetic Peptide within Human NUMA1 aa 2050 to C-terminus. The exact immunogen used to generate this antibody is proprietary information.

Q14980

Reactivity data

{ "title": "Reactivity Data", "filters": { "stats": ["", "Species", "Dilution Info", "Notes"], "tabs": { "all-applications": {"fullname" : "All Applications", "shortname": "All Applications"}, "IHCP" : {"fullname" : "Immunohistochemistry (Formalin/PFA-fixed paraffin-embedded sections)", "shortname":"IHC-P"}, "IP" : {"fullname" : "Immunoprecipitation", "shortname":"IP"}, "WB" : {"fullname" : "Western blot", "shortname":"WB"} }, "product-promise": { "all": "all", "testedAndGuaranteed": "tested", "guaranteed": "expected", "predicted": "predicted", "notRecommended": "not-recommended" } }, "values": { "Human": { "IHCP-species-checked": "testedAndGuaranteed", "IHCP-species-dilution-info": "1/100 - 1/500", "IHCP-species-notes": "<p></p> Perform heat-mediated antigen retrieval with citrate buffer pH 6 before commencing with IHC staining protocol.", "IP-species-checked": "testedAndGuaranteed", "IP-species-dilution-info": "2-5 µg/mg of lysate", "IP-species-notes": "<p></p>", "WB-species-checked": "testedAndGuaranteed", "WB-species-dilution-info": "1/2000 - 1/10000", "WB-species-notes": "<p></p>" } } }

Properties and storage information

Form
Liquid
Purification technique
Affinity purification Immunogen
Purification notes
ab241470 was affinity purified using an epitope specific to NuMA immobilized on solid support.
Storage buffer
pH: 6.8 - 7.4 Preservative: 0.09% Sodium azide Constituents: Tris buffered saline, 0.1% BSA
Shipped at conditions
Blue Ice
Appropriate short-term storage duration
1-2 weeks
Appropriate short-term storage conditions
+4°C
Appropriate long-term storage conditions
-20°C
Aliquoting information
Upon delivery aliquot
Storage information
Avoid freeze / thaw cycle

Supplementary information

This supplementary information is collated from multiple sources and compiled automatically.

NuMA also known as "nuclear mitotic apparatus protein" is a large protein with a mass of approximately 250 kDa. It localizes in the nucleus and becomes highly concentrated at the spindle poles during mitosis. NuMA proteins appear in a variety of cells especially in cells undergoing division. Researchers often refer to it by alternate names such as "anti NuMA" when discussing its interactions in cellular contexts. Scientists have developed products such as NuMA polyclonal antibodies to study this protein's function.
Biological function summary

The protein plays an important role in the organization of the mitotic spindle during cell division. It ensures that the spindle microtubules are correctly aligned and positioned. NuMA acts within a complex that includes dynein and dynactin facilitating proper chromosomal segregation. These actions are critical for maintaining genomic stability through accurate cell division.

Pathways

NuMA's involvement in the cell cycle is significant especially within the mitotic checkpoint control pathways. It interacts closely with proteins like pericentrin and LGN ensuring the efficient completion of mitosis. These interactions confirm the protein's importance in pathway regulation particularly during transition phases within the cell cycle.

Abnormal NuMA function has associations with cancer and certain genetic disorders like microcephaly. Changes in NuMA expression or malfunction can disrupt normal spindle formation leading to chromosomal instability a common hallmark of cancer cells. Its interaction with proteins like p53 further connects it to oncogenic processes suggesting that understanding NuMA's pathways could contribute to therapeutic strategies.

Product protocols

For this product, it's our understanding that no specific protocols are required. You can visit:

Target data

Microtubule (MT)-binding protein that plays a role in the formation and maintenance of the spindle poles and the alignement and the segregation of chromosomes during mitotic cell division (PubMed : 17172455, PubMed : 19255246, PubMed : 24996901, PubMed : 26195665, PubMed : 27462074, PubMed : 7769006). Functions to tether the minus ends of MTs at the spindle poles, which is critical for the establishment and maintenance of the spindle poles (PubMed : 11956313, PubMed : 12445386). Plays a role in the establishment of the mitotic spindle orientation during metaphase and elongation during anaphase in a dynein-dynactin-dependent manner (PubMed : 23870127, PubMed : 24109598, PubMed : 24996901, PubMed : 26765568). In metaphase, part of a ternary complex composed of GPSM2 and G(i) alpha proteins, that regulates the recruitment and anchorage of the dynein-dynactin complex in the mitotic cell cortex regions situated above the two spindle poles, and hence regulates the correct oritentation of the mitotic spindle (PubMed : 22327364, PubMed : 23027904, PubMed : 23921553). During anaphase, mediates the recruitment and accumulation of the dynein-dynactin complex at the cell membrane of the polar cortical region through direct association with phosphatidylinositol 4,5-bisphosphate (PI(4,5)P2), and hence participates in the regulation of the spindle elongation and chromosome segregation (PubMed : 22327364, PubMed : 23921553, PubMed : 24371089, PubMed : 24996901). Binds also to other polyanionic phosphoinositides, such as phosphatidylinositol 3-phosphate (PIP), lysophosphatidic acid (LPA) and phosphatidylinositol triphosphate (PIP3), in vitro (PubMed : 24371089, PubMed : 24996901). Also required for proper orientation of the mitotic spindle during asymmetric cell divisions (PubMed : 21816348). Plays a role in mitotic MT aster assembly (PubMed : 11163243, PubMed : 11229403, PubMed : 12445386). Involved in anastral spindle assembly (PubMed : 25657325). Positively regulates TNKS protein localization to spindle poles in mitosis (PubMed : 16076287). Highly abundant component of the nuclear matrix where it may serve a non-mitotic structural role, occupies the majority of the nuclear volume (PubMed : 10075938). Required for epidermal differentiation and hair follicle morphogenesis (By similarity).
See full target information NUMA1

Publications (1)

Recent publications for all applications. Explore the full list and refine your search

Bioengineering & translational medicine 7:e10312 PubMed36176620

2022

Engineering hypertrophic cartilage grafts from lipoaspirate for critical-sized calvarial bone defect reconstruction: An adipose tissue-based developmental engineering approach.

Applications

Unspecified application

Species

Unspecified reactive species

Ru-Lin Huang,Rao Fu,Yuxin Yan,Chuanqi Liu,Jing Yang,Yun Xie,Qingfeng Li
View all publications

Product promise

We are committed to supporting your work with high-quality reagents, and we're here for you every step of the way. In the unlikely event that one of our products does not perform as expected, you're protected by our Product Promise.
For full details, please see our Terms & Conditions

Please note: All products are 'FOR RESEARCH USE ONLY. NOT FOR USE IN DIAGNOSTIC OR THERAPEUTIC PROCEDURES'.

For licensing inquiries, please contact partnerships@abcam.com