JavaScript is disabled in your browser. Please enable JavaScript to view this website.
AB97585

Anti-NuMA antibody

3

(2 Reviews)

|

(22 Publications)

Rabbit Polyclonal NuMA antibody. Suitable for WB, IHC-P, ICC/IF and reacts with Human samples. Cited in 22 publications. Immunogen corresponding to Recombinant Fragment Protein within Human NUMA1.

View Alternative Names

NMP22, NUMA, NUMA1, Nuclear mitotic apparatus protein 1, Nuclear matrix protein-22, Nuclear mitotic apparatus protein, SP-H antigen, NMP-22, NuMA protein

3 Images
Immunocytochemistry/ Immunofluorescence - Anti-NuMA antibody (AB97585)
  • ICC/IF

Unknown

Immunocytochemistry/ Immunofluorescence - Anti-NuMA antibody (AB97585)

ab97585, at 1/200, staining paraformaldehyde-fixed A431 cells by Immunofluorescence (Panel 1) and merged with DNA probe (Panel 2).

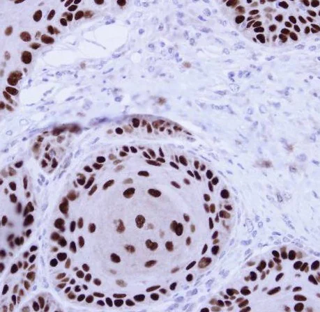
Immunohistochemistry (Formalin/PFA-fixed paraffin-embedded sections) - Anti-NuMA antibody (AB97585)
  • IHC-P

Unknown

Immunohistochemistry (Formalin/PFA-fixed paraffin-embedded sections) - Anti-NuMA antibody (AB97585)

ab97585, at 1/100, staining paraffin-embedded Cal27 Xenograft by Immunohistochemistry.

Western blot - Anti-NuMA antibody (AB97585)
  • WB

Unknown

Western blot - Anti-NuMA antibody (AB97585)

7.5% SDS PAGE

All lanes:

Western blot - Anti-NuMA antibody (ab97585) at 1/1000 dilution

All lanes:

A431 whole cell lysate at 30 µg

Predicted band size: 238 kDa

false

Key facts

Host species

Rabbit

Clonality

Polyclonal

Isotype

IgG

Carrier free

No

Reacts with

Human

Applications

WB, IHC-P, ICC/IF

applications

Immunogen

Recombinant Fragment Protein within Human NUMA1. The exact immunogen used to generate this antibody is proprietary information.

Q14980

Reactivity data

{ "title": "Reactivity Data", "filters": { "stats": ["", "Species", "Dilution Info", "Notes"], "tabs": { "all-applications": {"fullname" : "All Applications", "shortname": "All Applications"}, "WB" : {"fullname" : "Western blot", "shortname":"WB"}, "IHCP" : {"fullname" : "Immunohistochemistry (Formalin/PFA-fixed paraffin-embedded sections)", "shortname":"IHC-P"}, "ICCIF" : {"fullname" : "Immunocytochemistry/ Immunofluorescence", "shortname":"ICC/IF"} }, "product-promise": { "all": "all", "testedAndGuaranteed": "tested", "guaranteed": "expected", "predicted": "predicted", "notRecommended": "not-recommended" } }, "values": { "Human": { "WB-species-checked": "testedAndGuaranteed", "WB-species-dilution-info": "1/500 - 1/3000", "WB-species-notes": "<p></p>", "IHCP-species-checked": "testedAndGuaranteed", "IHCP-species-dilution-info": "1/100 - 1/500", "IHCP-species-notes": "<p></p>", "ICCIF-species-checked": "testedAndGuaranteed", "ICCIF-species-dilution-info": "1/100 - 1/200", "ICCIF-species-notes": "<p></p>" } } }

Properties and storage information

Form
Liquid
Purification technique
Affinity purification Immunogen
Storage buffer
pH: 7 Preservative: 0.025% Proclin 300 Constituents: PBS, 20% Glycerol (glycerin, glycerine)
Shipped at conditions
Blue Ice
Appropriate short-term storage conditions
+4°C
Appropriate long-term storage conditions
-20°C
Aliquoting information
Upon delivery aliquot
Storage information
Avoid freeze / thaw cycle

Supplementary information

This supplementary information is collated from multiple sources and compiled automatically.

NuMA also known as "nuclear mitotic apparatus protein" is a large protein with a mass of approximately 250 kDa. It localizes in the nucleus and becomes highly concentrated at the spindle poles during mitosis. NuMA proteins appear in a variety of cells especially in cells undergoing division. Researchers often refer to it by alternate names such as "anti NuMA" when discussing its interactions in cellular contexts. Scientists have developed products such as NuMA polyclonal antibodies to study this protein's function.
Biological function summary

The protein plays an important role in the organization of the mitotic spindle during cell division. It ensures that the spindle microtubules are correctly aligned and positioned. NuMA acts within a complex that includes dynein and dynactin facilitating proper chromosomal segregation. These actions are critical for maintaining genomic stability through accurate cell division.

Pathways

NuMA's involvement in the cell cycle is significant especially within the mitotic checkpoint control pathways. It interacts closely with proteins like pericentrin and LGN ensuring the efficient completion of mitosis. These interactions confirm the protein's importance in pathway regulation particularly during transition phases within the cell cycle.

Abnormal NuMA function has associations with cancer and certain genetic disorders like microcephaly. Changes in NuMA expression or malfunction can disrupt normal spindle formation leading to chromosomal instability a common hallmark of cancer cells. Its interaction with proteins like p53 further connects it to oncogenic processes suggesting that understanding NuMA's pathways could contribute to therapeutic strategies.

Product protocols

For this product, it's our understanding that no specific protocols are required. You can visit:

Target data

Microtubule (MT)-binding protein that plays a role in the formation and maintenance of the spindle poles and the alignement and the segregation of chromosomes during mitotic cell division (PubMed : 17172455, PubMed : 19255246, PubMed : 24996901, PubMed : 26195665, PubMed : 27462074, PubMed : 7769006). Functions to tether the minus ends of MTs at the spindle poles, which is critical for the establishment and maintenance of the spindle poles (PubMed : 11956313, PubMed : 12445386). Plays a role in the establishment of the mitotic spindle orientation during metaphase and elongation during anaphase in a dynein-dynactin-dependent manner (PubMed : 23870127, PubMed : 24109598, PubMed : 24996901, PubMed : 26765568). In metaphase, part of a ternary complex composed of GPSM2 and G(i) alpha proteins, that regulates the recruitment and anchorage of the dynein-dynactin complex in the mitotic cell cortex regions situated above the two spindle poles, and hence regulates the correct oritentation of the mitotic spindle (PubMed : 22327364, PubMed : 23027904, PubMed : 23921553). During anaphase, mediates the recruitment and accumulation of the dynein-dynactin complex at the cell membrane of the polar cortical region through direct association with phosphatidylinositol 4,5-bisphosphate (PI(4,5)P2), and hence participates in the regulation of the spindle elongation and chromosome segregation (PubMed : 22327364, PubMed : 23921553, PubMed : 24371089, PubMed : 24996901). Binds also to other polyanionic phosphoinositides, such as phosphatidylinositol 3-phosphate (PIP), lysophosphatidic acid (LPA) and phosphatidylinositol triphosphate (PIP3), in vitro (PubMed : 24371089, PubMed : 24996901). Also required for proper orientation of the mitotic spindle during asymmetric cell divisions (PubMed : 21816348). Plays a role in mitotic MT aster assembly (PubMed : 11163243, PubMed : 11229403, PubMed : 12445386). Involved in anastral spindle assembly (PubMed : 25657325). Positively regulates TNKS protein localization to spindle poles in mitosis (PubMed : 16076287). Highly abundant component of the nuclear matrix where it may serve a non-mitotic structural role, occupies the majority of the nuclear volume (PubMed : 10075938). Required for epidermal differentiation and hair follicle morphogenesis (By similarity).
See full target information NUMA1

Publications (22)

Recent publications for all applications. Explore the full list and refine your search

Nature communications 16:8323 PubMed40973727

2025

Spindle-localized F-actin regulates polar MTOC organization and the fidelity of meiotic spindle formation.

Applications

Unspecified application

Species

Unspecified reactive species

Edgar J Soto-Moreno,Nourhan N Ali,Florian Küllmer,Veselin Nasufovic,Michaela Frolikova,Olga Tepla,Jaromir Masata,Dirk Trauner,Amanda A Patterson,Hans-Dieter Arndt,Katerina Komrskova,Magdalena Zernicka-Goetz,David M Glover,Ahmed Z Balboula

Clinical and translational medicine 15:e70193 PubMed39834092

2025

Pathogenic variants of TUBB8 cause oocyte spindle defects by disrupting with EB1/CAKP5 interactions and potential treatment targeting microtubule acetylation through HDAC6 inhibition.

Applications

Unspecified application

Species

Unspecified reactive species

Hui Luo,Jianhua Chen,Cao Li,Tian Wu,Siyue Yin,Guangping Yang,Yipin Wang,Zhihan Guo,Saifei Hu,Yanni He,Yingnan Wang,Yao Chen,Youqiang Su,Congxiu Miao,Yun Qian,Ruizhi Feng

Nature communications 12:7157 PubMed34887424

2021

NuMA regulates mitotic spindle assembly, structural dynamics and function via phase separation.

Applications

Unspecified application

Species

Unspecified reactive species

Mengjie Sun,Mingkang Jia,He Ren,Biying Yang,Wangfei Chi,Guangwei Xin,Qing Jiang,Chuanmao Zhang

Molecules (Basel, Switzerland) 25: PubMed33172018

2020

AGS3 and Gα Are Concomitantly Upregulated as Part of the Spindle Orientation Complex during Differentiation of Human Neural Progenitor Cells.

Applications

Unspecified application

Species

Unspecified reactive species

Jackson L K Yip,Maggie M K Lee,Crystal C Y Leung,Man K Tse,Annie S T Cheung,Yung H Wong

The Journal of cell biology 219: PubMed33044554

2020

The mitotic protein NuMA plays a spindle-independent role in nuclear formation and mechanics.

Applications

Unspecified application

Species

Unspecified reactive species

Andrea Serra-Marques,Ronja Houtekamer,Dorine Hintzen,John T Canty,Ahmet Yildiz,Sophie Dumont

Cancer discovery 10:1352-1373 PubMed32571778

2020

Limited Environmental Serine and Glycine Confer Brain Metastasis Sensitivity to PHGDH Inhibition.

Applications

Unspecified application

Species

Unspecified reactive species

Bryan Ngo,Eugenie Kim,Victoria Osorio-Vasquez,Sophia Doll,Sophia Bustraan,Roger J Liang,Alba Luengo,Shawn M Davidson,Ahmed Ali,Gino B Ferraro,Grant M Fischer,Roozbeh Eskandari,Diane S Kang,Jing Ni,Ariana Plasger,Vinagolu K Rajasekhar,Edward R Kastenhuber,Sarah Bacha,Roshan K Sriram,Benjamin D Stein,Samuel F Bakhoum,Matija Snuderl,Paolo Cotzia,John H Healey,Nello Mainolfi,Vipin Suri,Adam Friedman,Mark Manfredi,David M Sabatini,Drew R Jones,Min Yu,Jean J Zhao,Rakesh K Jain,Kayvan R Keshari,Michael A Davies,Matthew G Vander Heiden,Eva Hernando,Matthias Mann,Lewis C Cantley,Michael E Pacold

Biomaterials 240:119791 PubMed32109589

2020

Targeted camptothecin delivery via silicon nanoparticles reduces breast cancer metastasis.

Applications

Unspecified application

Species

Unspecified reactive species

Marietta Landgraf,Christoph A Lahr,Ishdeep Kaur,Abbas Shafiee,Alvaro Sanchez-Herrero,Phillip W Janowicz,Akhilandeshwari Ravichandran,Christopher B Howard,Anna Cifuentes-Rius,Jacqui A McGovern,Nicolas H Voelcker,Dietmar W Hutmacher

Proceedings of the National Academy of Sciences of 117:1678-1688 PubMed31915293

2020

Expansion, in vivo-ex vivo cycling, and genetic manipulation of primary human hepatocytes.

Applications

Unspecified application

Species

Unspecified reactive species

Eleftherios Michailidis,Koen Vercauteren,Liliana Mancio-Silva,Linda Andrus,Cyprien Jahan,Inna Ricardo-Lax,Chenhui Zou,Mohammad Kabbani,Paul Park,Corrine Quirk,Christina Pyrgaki,Brandon Razooky,Lieven Verhoye,Irene Zoluthkin,Wei-Yu Lu,Stuart J Forbes,Luis Chiriboga,Neil D Theise,Roland W Herzog,Hiroshi Suemizu,William M Schneider,Amir Shlomai,Philip Meuleman,Sangeeta N Bhatia,Charles M Rice,Ype P de Jong

Nature communications 11:71 PubMed31900415

2020

Integrative discovery of treatments for high-risk neuroblastoma.

Applications

Unspecified application

Species

Unspecified reactive species

Elin Almstedt,Ramy Elgendy,Neda Hekmati,Emil Rosén,Caroline Wärn,Thale Kristin Olsen,Cecilia Dyberg,Milena Doroszko,Ida Larsson,Anders Sundström,Marie Arsenian Henriksson,Sven Påhlman,Daniel Bexell,Michael Vanlandewijck,Per Kogner,Rebecka Jörnsten,Cecilia Krona,Sven Nelander

Endocrine-related cancer 27:23-39 PubMed31705798

2019

Stem-like tumor cells involved in heterogeneous vasculogenesis in breast cancer.

Applications

Unspecified application

Species

Unspecified reactive species

Yuling Mao,Liuqing Zhu,Zhijian Huang,Chuanghua Luo,Ti Zhou,Lei Li,Guannan Wang,Zhonghan Yang,Weiwei Qi,Xia Yang,Guoquan Gao
View all publications

Product promise

We are committed to supporting your work with high-quality reagents, and we're here for you every step of the way. In the unlikely event that one of our products does not perform as expected, you're protected by our Product Promise.
For full details, please see our Terms & Conditions

Please note: All products are 'FOR RESEARCH USE ONLY. NOT FOR USE IN DIAGNOSTIC OR THERAPEUTIC PROCEDURES'.

For licensing inquiries, please contact partnerships@abcam.com