JavaScript is disabled in your browser. Please enable JavaScript to view this website.
AB239963

Anti-NuMA antibody [EP3976] - BSA and Azide free

Be the first to review this product! Submit a review

|

(1 Publication)

Rabbit Recombinant Monoclonal NuMA antibody. Carrier free. Suitable for IHC-P, WB, ICC/IF and reacts with Human samples. Cited in 1 publication.

View Alternative Names

NMP22, NUMA, NUMA1, Nuclear mitotic apparatus protein 1, Nuclear matrix protein-22, Nuclear mitotic apparatus protein, SP-H antigen, NMP-22, NuMA protein

3 Images
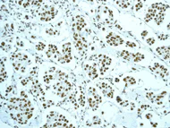
Immunohistochemistry (Formalin/PFA-fixed paraffin-embedded sections) - Anti-NuMA antibody [EP3976] - BSA and Azide free (AB239963)
  • IHC-P

Unknown

Immunohistochemistry (Formalin/PFA-fixed paraffin-embedded sections) - Anti-NuMA antibody [EP3976] - BSA and Azide free (AB239963)

ab109262, at 1/250 dilution, staining NuMA in paraffin-embedded Human breast carcinoma by Immunohistochemistry.

This data was developed using the same antibody clone in a different buffer formulation containing PBS, BSA, glycerol, and sodium azide (ab109262).

Perform heat mediated antigen retrieval with citrate buffer pH 6 before commencing with IHC staining protocol.

Immunohistochemistry (Formalin/PFA-fixed paraffin-embedded sections) - Anti-NuMA antibody [EP3976] - BSA and Azide free (AB239963)
  • IHC-P

Unknown

Immunohistochemistry (Formalin/PFA-fixed paraffin-embedded sections) - Anti-NuMA antibody [EP3976] - BSA and Azide free (AB239963)

ab109262, at 1/250 dilution, staining NuMA in paraffin-embedded Human breast tissue by Immunohistochemistry.

This data was developed using the same antibody clone in a different buffer formulation containing PBS, BSA, glycerol, and sodium azide (ab109262).

Perform heat mediated antigen retrieval with citrate buffer pH 6 before commencing with IHC staining protocol.

Immunocytochemistry/ Immunofluorescence - Anti-NuMA antibody [EP3976] - BSA and Azide free (AB239963)
  • ICC/IF

Unknown

Immunocytochemistry/ Immunofluorescence - Anti-NuMA antibody [EP3976] - BSA and Azide free (AB239963)

ab109262, at 1/100 dilution, staining NuMA in HeLa cells by Immunofluorescence.This data was developed using the same antibody clone in a different buffer formulation containing PBS, BSA, glycerol, and sodium azide (ab109262).

Key facts

Host species

Rabbit

Clonality

Monoclonal

Clone number

EP3976

Isotype

IgG

Carrier free

Yes

Reacts with

Human

Applications

IHC-P, ICC/IF, WB

applications

Immunogen

The exact immunogen used to generate this antibody is proprietary information.

Reactivity data

{ "title": "Reactivity Data", "filters": { "stats": ["", "Species", "Dilution Info", "Notes"], "tabs": { "all-applications": {"fullname" : "All Applications", "shortname": "All Applications"}, "IHCP" : {"fullname" : "Immunohistochemistry (Formalin/PFA-fixed paraffin-embedded sections)", "shortname":"IHC-P"}, "IP" : {"fullname" : "Immunoprecipitation", "shortname":"IP"}, "FlowCyt" : {"fullname" : "Flow Cytometry", "shortname":"Flow Cyt"}, "WB" : {"fullname" : "Western blot", "shortname":"WB"}, "ICCIF" : {"fullname" : "Immunocytochemistry/ Immunofluorescence", "shortname":"ICC/IF"} }, "product-promise": { "all": "all", "testedAndGuaranteed": "tested", "guaranteed": "expected", "predicted": "predicted", "notRecommended": "not-recommended" } }, "values": { "Human": { "IHCP-species-checked": "testedAndGuaranteed", "IHCP-species-dilution-info": "", "IHCP-species-notes": "<p></p> Perform heat-mediated antigen retrieval with citrate buffer pH 6 before commencing with IHC staining protocol.", "IP-species-checked": "notRecommended", "IP-species-dilution-info": "", "IP-species-notes": "<p></p>", "FlowCyt-species-checked": "notRecommended", "FlowCyt-species-dilution-info": "", "FlowCyt-species-notes": "<p></p>", "WB-species-checked": "guaranteed", "WB-species-dilution-info": "", "WB-species-notes": "<p></p>", "ICCIF-species-checked": "testedAndGuaranteed", "ICCIF-species-dilution-info": "", "ICCIF-species-notes": "<p></p>" }, "Mouse": { "IHCP-species-checked": "predicted", "IHCP-species-dilution-info": "", "IHCP-species-notes": "", "IP-species-checked": "notRecommended", "IP-species-dilution-info": "", "IP-species-notes": "", "FlowCyt-species-checked": "notRecommended", "FlowCyt-species-dilution-info": "", "FlowCyt-species-notes": "", "WB-species-checked": "predicted", "WB-species-dilution-info": "", "WB-species-notes": "", "ICCIF-species-checked": "predicted", "ICCIF-species-dilution-info": "", "ICCIF-species-notes": "" }, "Rat": { "IHCP-species-checked": "predicted", "IHCP-species-dilution-info": "", "IHCP-species-notes": "", "IP-species-checked": "notRecommended", "IP-species-dilution-info": "", "IP-species-notes": "", "FlowCyt-species-checked": "notRecommended", "FlowCyt-species-dilution-info": "", "FlowCyt-species-notes": "", "WB-species-checked": "predicted", "WB-species-dilution-info": "", "WB-species-notes": "", "ICCIF-species-checked": "predicted", "ICCIF-species-dilution-info": "", "ICCIF-species-notes": "" } } }

Product details

ab239963 is the carrier-free version of ab109262.

Patented technology
Our RabMAb® technology is a patented hybridoma-based technology for making rabbit monoclonal antibodies. For details on our patents, please refer to RabMAb® patents.

What are the advantages of a recombinant monoclonal antibody?
This product is a recombinant monoclonal antibody, which offers several advantages including:

  • - High batch-to-batch consistency and reproducibility
  • - Improved sensitivity and specificity
  • - Long-term security of supply
  • - Animal-free batch production

For more information, read more on recombinant antibodies.

Conjugation ready
Our carrier-free antibodies are typically supplied in a PBS-only formulation, purified and free of BSA, sodium azide and glycerol. This conjugation-ready format is designed for use with fluorochromes, metal isotopes, oligonucleotides, and enzymes, which makes them ideal for antibody labelling, functional and cell-based assays, flow-based assays (e.g. mass cytometry) and Multiplex Imaging applications.

Use our conjugation kits for antibody conjugates that are ready-to-use in as little as 20 minutes with 1 minute hands-on-time and 100% antibody recovery: available for fluorescent dyes, HRP, biotin and gold.

Compatibility
This product is compatible with the Maxpar® Antibody Labeling Kit from Fluidigm, without the need for antibody preparation. Maxpar® is a trademark of Fluidigm Canada Inc.

Properties and storage information

Form
Liquid
Purification technique
Affinity purification Protein A
Storage buffer
pH: 7.2 - 7.4 Constituents: PBS
Shipped at conditions
Blue Ice
Appropriate short-term storage conditions
+4°C
Appropriate long-term storage conditions
+4°C
Storage information
Do Not Freeze

Supplementary information

This supplementary information is collated from multiple sources and compiled automatically.

NuMA also known as "nuclear mitotic apparatus protein" is a large protein with a mass of approximately 250 kDa. It localizes in the nucleus and becomes highly concentrated at the spindle poles during mitosis. NuMA proteins appear in a variety of cells especially in cells undergoing division. Researchers often refer to it by alternate names such as "anti NuMA" when discussing its interactions in cellular contexts. Scientists have developed products such as NuMA polyclonal antibodies to study this protein's function.
Biological function summary

The protein plays an important role in the organization of the mitotic spindle during cell division. It ensures that the spindle microtubules are correctly aligned and positioned. NuMA acts within a complex that includes dynein and dynactin facilitating proper chromosomal segregation. These actions are critical for maintaining genomic stability through accurate cell division.

Pathways

NuMA's involvement in the cell cycle is significant especially within the mitotic checkpoint control pathways. It interacts closely with proteins like pericentrin and LGN ensuring the efficient completion of mitosis. These interactions confirm the protein's importance in pathway regulation particularly during transition phases within the cell cycle.

Abnormal NuMA function has associations with cancer and certain genetic disorders like microcephaly. Changes in NuMA expression or malfunction can disrupt normal spindle formation leading to chromosomal instability a common hallmark of cancer cells. Its interaction with proteins like p53 further connects it to oncogenic processes suggesting that understanding NuMA's pathways could contribute to therapeutic strategies.

Product protocols

For this product, it's our understanding that no specific protocols are required. You can visit:

Target data

Microtubule (MT)-binding protein that plays a role in the formation and maintenance of the spindle poles and the alignement and the segregation of chromosomes during mitotic cell division (PubMed : 17172455, PubMed : 19255246, PubMed : 24996901, PubMed : 26195665, PubMed : 27462074, PubMed : 7769006). Functions to tether the minus ends of MTs at the spindle poles, which is critical for the establishment and maintenance of the spindle poles (PubMed : 11956313, PubMed : 12445386). Plays a role in the establishment of the mitotic spindle orientation during metaphase and elongation during anaphase in a dynein-dynactin-dependent manner (PubMed : 23870127, PubMed : 24109598, PubMed : 24996901, PubMed : 26765568). In metaphase, part of a ternary complex composed of GPSM2 and G(i) alpha proteins, that regulates the recruitment and anchorage of the dynein-dynactin complex in the mitotic cell cortex regions situated above the two spindle poles, and hence regulates the correct oritentation of the mitotic spindle (PubMed : 22327364, PubMed : 23027904, PubMed : 23921553). During anaphase, mediates the recruitment and accumulation of the dynein-dynactin complex at the cell membrane of the polar cortical region through direct association with phosphatidylinositol 4,5-bisphosphate (PI(4,5)P2), and hence participates in the regulation of the spindle elongation and chromosome segregation (PubMed : 22327364, PubMed : 23921553, PubMed : 24371089, PubMed : 24996901). Binds also to other polyanionic phosphoinositides, such as phosphatidylinositol 3-phosphate (PIP), lysophosphatidic acid (LPA) and phosphatidylinositol triphosphate (PIP3), in vitro (PubMed : 24371089, PubMed : 24996901). Also required for proper orientation of the mitotic spindle during asymmetric cell divisions (PubMed : 21816348). Plays a role in mitotic MT aster assembly (PubMed : 11163243, PubMed : 11229403, PubMed : 12445386). Involved in anastral spindle assembly (PubMed : 25657325). Positively regulates TNKS protein localization to spindle poles in mitosis (PubMed : 16076287). Highly abundant component of the nuclear matrix where it may serve a non-mitotic structural role, occupies the majority of the nuclear volume (PubMed : 10075938). Required for epidermal differentiation and hair follicle morphogenesis (By similarity).
See full target information NUMA1

Publications (1)

Recent publications for all applications. Explore the full list and refine your search

Obesity (Silver Spring, Md.) 30:666-679 PubMed35170865

2022

Exosomal miR-122 promotes adipogenesis and aggravates obesity through the VDR/SREBF1 axis.

Applications

Unspecified application

Species

Unspecified reactive species

Xiao-Yan Huang,Ji-Xiong Chen,Yi Ren,Li-Chun Fan,Wei Xiang,Xiao-Jie He
View all publications

Product promise

We are committed to supporting your work with high-quality reagents, and we're here for you every step of the way. In the unlikely event that one of our products does not perform as expected, you're protected by our Product Promise.
For full details, please see our Terms & Conditions

Please note: All products are 'FOR RESEARCH USE ONLY. NOT FOR USE IN DIAGNOSTIC OR THERAPEUTIC PROCEDURES'.

For licensing inquiries, please contact partnerships@abcam.com