JavaScript is disabled in your browser. Please enable JavaScript to view this website.
AB4147

Anti-NUMB antibody

4

(10 Reviews)

|

(51 Publications)

Goat Polyclonal NUMB antibody. Suitable for Flow Cyt, IP, ELISA, WB, IHC-P, ICC/IF and reacts with Human, Mouse, Chicken samples. Cited in 51 publications. Immunogen corresponding to Synthetic Peptide within Human NUMB aa 600 to C-terminus.

View Alternative Names

C14orf41, NUMB, Protein numb homolog, h-Numb, Protein S171

7 Images
Immunocytochemistry/ Immunofluorescence - Anti-NUMB antibody (AB4147)
  • ICC/IF

Supplier Data

Immunocytochemistry/ Immunofluorescence - Anti-NUMB antibody (AB4147)

Immunofluorescence analysis of paraformaldehyde fixed A431 cells, permeabilized with 0.15% Triton. Primary incubation 1hr (10 ug/ml) followed by Alexa Fluor 488 secondary antibody (2 ug/ml), showing cell junction and cytoplasmic staining. The nuclear stain is DAPI (blue).

Negative control : Unimmunized goat IgG (10 ug/ml) followed by Alexa Fluor 488 secondary antibody (2 ug/ml).

Flow Cytometry - Anti-NUMB antibody (AB4147)
  • Flow Cyt

Supplier Data

Flow Cytometry - Anti-NUMB antibody (AB4147)

Flow cytometric analysis of paraformaldehyde fixed A549 cells (blue line), permeabilized with 0.5% Triton. Primary incubation 1hr (10µg/mL) followed by Alexa Fluor 488 secondary antibody (1µg/mL). IgG control : Unimmunized goat IgG (black line) followed by Alexa Fluor 488 secondary antibody.

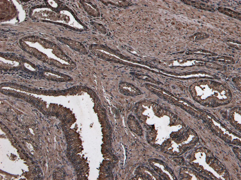
Immunohistochemistry (Formalin/PFA-fixed paraffin-embedded sections) - Anti-NUMB antibody (AB4147)
  • IHC-P

Supplier Data

Immunohistochemistry (Formalin/PFA-fixed paraffin-embedded sections) - Anti-NUMB antibody (AB4147)

Immunohistochemistry staining of paraffin embedded Human Prostate labeling NUMB with ab4147 at (8µg/mL). Heat induced antigen retrieval with citrate buffer pH 6, HRP-staining.

Sandwich ELISA - Anti-NUMB antibody (AB4147)
  • sELISA

Lab

Sandwich ELISA - Anti-NUMB antibody (AB4147)

Flow cytometric analysis of paraformaldehyde fixed A431 cells (blue line), permeabilized with 0.5% Triton. Primary incubation 1hr (10µg/mL) followed by Alexa Fluor 488 secondary antibody (1µg/mL). IgG control : Unimmunized goat IgG (black line) followed by Alexa Fluor 488 secondary antibody.

Immunocytochemistry/ Immunofluorescence - Anti-NUMB antibody (AB4147)
  • ICC/IF

AbReview35128****

Immunocytochemistry/ Immunofluorescence - Anti-NUMB antibody (AB4147)

ab4147 staining NUMB in the NIH3T3 cell line from Mouse fibroblasts by ICC/IF (Immunocytochemistry/immunofluorescence). Cells were fixed with paraformaldehyde and blocked with 10% serum for 60 minutes at 24°C. Samples were incubated with primary antibody (1/100) for 16 hours at 4°C. An Alexa Fluor®488-conjugated Donkey anti-rabbit polyclonal(1/500) was used as the secondary antibody.

This image is courtesy of an anonymous Abreview

Immunocytochemistry/ Immunofluorescence - Anti-NUMB antibody (AB4147)
  • ICC/IF

Supplier Data

Immunocytochemistry/ Immunofluorescence - Anti-NUMB antibody (AB4147)

Immunofluorescence analysis of paraformaldehyde fixed NIH3T3 cells, permeabilized with 0.15% Triton. Primary incubation 1hr (10 ug/ml) followed by Alexa Fluor 488 secondary antibody (2 ug/ml), showing plasma membrane and cytoplasmic staining. The nuclear stain is DAPI (blue).

Negative control : Unimmunized goat IgG (10 ug/ml) followed by Alexa Fluor 488 secondary antibody (2 ug/ml).

Western blot - Anti-NUMB antibody (AB4147)
  • WB

Supplier Data

Western blot - Anti-NUMB antibody (AB4147)

Detected by chemiluminescence.

All lanes:

Western blot - Anti-NUMB antibody (ab4147) at 1 µg/mL

All lanes:

Mouse brain lysates at 35 µg

Predicted band size: 71 kDa

false

Key facts

Host species

Goat

Clonality

Polyclonal

Isotype

IgG

Carrier free

No

Reacts with

Mouse, Human, Chicken

Applications

IHC-P, ELISA, IP, ICC/IF, Flow Cyt, WB

applications

Immunogen

Synthetic Peptide within Human NUMB aa 600 to C-terminus. The exact immunogen used to generate this antibody is proprietary information.

P49757

Specificity

This antibody is expected to recognize all reported isoforms (NP_001005743.1, 001005744.1, NP_003735, NP_001005745.1). It is also likely to cross-react with Numblike (NUMBL, GeneID: 9253) which has a very similar C-Terminus, although this has not yet been tested experimentally.

Reactivity data

{ "title": "Reactivity Data", "filters": { "stats": ["", "Species", "Dilution Info", "Notes"], "tabs": { "all-applications": {"fullname" : "All Applications", "shortname": "All Applications"}, "FlowCyt" : {"fullname" : "Flow Cytometry", "shortname":"Flow Cyt"}, "IP" : {"fullname" : "Immunoprecipitation", "shortname":"IP"}, "ELISA" : {"fullname" : "ELISA", "shortname":"ELISA"}, "WB" : {"fullname" : "Western blot", "shortname":"WB"}, "IHCP" : {"fullname" : "Immunohistochemistry (Formalin/PFA-fixed paraffin-embedded sections)", "shortname":"IHC-P"}, "ICCIF" : {"fullname" : "Immunocytochemistry/ Immunofluorescence", "shortname":"ICC/IF"} }, "product-promise": { "all": "all", "testedAndGuaranteed": "tested", "guaranteed": "expected", "predicted": "predicted", "notRecommended": "not-recommended" } }, "values": { "Human": { "FlowCyt-species-checked": "testedAndGuaranteed", "FlowCyt-species-dilution-info": "", "FlowCyt-species-notes": "<p></p>", "IP-species-checked": "guaranteed", "IP-species-dilution-info": "", "IP-species-notes": "<p>For 1 hr on mouse brain lysate (see Abreview).</p>", "ELISA-species-checked": "guaranteed", "ELISA-species-dilution-info": "", "ELISA-species-notes": "<p></p>", "WB-species-checked": "guaranteed", "WB-species-dilution-info": "", "WB-species-notes": "", "IHCP-species-checked": "testedAndGuaranteed", "IHCP-species-dilution-info": "8 µg/mL", "IHCP-species-notes": "<p>See Abreview.</p>", "ICCIF-species-checked": "testedAndGuaranteed", "ICCIF-species-dilution-info": "10 µg/mL", "ICCIF-species-notes": "<p></p>" }, "Mouse": { "FlowCyt-species-checked": "guaranteed", "FlowCyt-species-dilution-info": "", "FlowCyt-species-notes": "", "IP-species-checked": "guaranteed", "IP-species-dilution-info": "", "IP-species-notes": "<p>For 1 hr on mouse brain lysate (see Abreview).</p>", "ELISA-species-checked": "guaranteed", "ELISA-species-dilution-info": "", "ELISA-species-notes": "<p></p>", "WB-species-checked": "testedAndGuaranteed", "WB-species-dilution-info": "1-2 µg/mL", "WB-species-notes": "<p>1 hour primary incubation at room temperature is recommended for this product.</p>", "IHCP-species-checked": "guaranteed", "IHCP-species-dilution-info": "", "IHCP-species-notes": "<p>See Abreview.</p>", "ICCIF-species-checked": "testedAndGuaranteed", "ICCIF-species-dilution-info": "10 µg/mL", "ICCIF-species-notes": "<p></p>" }, "Chicken": { "FlowCyt-species-checked": "predicted", "FlowCyt-species-dilution-info": "", "FlowCyt-species-notes": "", "IP-species-checked": "guaranteed", "IP-species-dilution-info": "", "IP-species-notes": "<p>For 1 hr on mouse brain lysate (see Abreview).</p>", "ELISA-species-checked": "guaranteed", "ELISA-species-dilution-info": "", "ELISA-species-notes": "<p></p>", "WB-species-checked": "predicted", "WB-species-dilution-info": "", "WB-species-notes": "", "IHCP-species-checked": "guaranteed", "IHCP-species-dilution-info": "", "IHCP-species-notes": "<p>See Abreview.</p>", "ICCIF-species-checked": "predicted", "ICCIF-species-dilution-info": "", "ICCIF-species-notes": "" }, "Cow": { "FlowCyt-species-checked": "predicted", "FlowCyt-species-dilution-info": "", "FlowCyt-species-notes": "", "IP-species-checked": "predicted", "IP-species-dilution-info": "", "IP-species-notes": "", "ELISA-species-checked": "predicted", "ELISA-species-dilution-info": "", "ELISA-species-notes": "", "WB-species-checked": "predicted", "WB-species-dilution-info": "", "WB-species-notes": "", "IHCP-species-checked": "predicted", "IHCP-species-dilution-info": "", "IHCP-species-notes": "", "ICCIF-species-checked": "predicted", "ICCIF-species-dilution-info": "", "ICCIF-species-notes": "" }, "Dog": { "FlowCyt-species-checked": "predicted", "FlowCyt-species-dilution-info": "", "FlowCyt-species-notes": "", "IP-species-checked": "predicted", "IP-species-dilution-info": "", "IP-species-notes": "", "ELISA-species-checked": "predicted", "ELISA-species-dilution-info": "", "ELISA-species-notes": "", "WB-species-checked": "predicted", "WB-species-dilution-info": "", "WB-species-notes": "", "IHCP-species-checked": "predicted", "IHCP-species-dilution-info": "", "IHCP-species-notes": "", "ICCIF-species-checked": "predicted", "ICCIF-species-dilution-info": "", "ICCIF-species-notes": "" } } }

Product details

This product may cross-react with Numblike (NUMBL, GeneID: 9253) Principal Names - NUMB; S171; numb homolog (Drosophila) Official Gene Symbol - NUMB GenBank Accession Number – NP_003735 LocusLink ID - 8650 (human); 18222 (mouse) Gene Ontology terms - integral to plasma membrane

Properties and storage information

Form
Liquid
Purification technique
Affinity purification Immunogen
Purification notes
Purified from goat serum by ammonium sulphate precipitation followed by antigen affinity chromatography using the immunizing peptide.
Storage buffer
pH: 7.3 Preservative: 0.02% Sodium azide Constituents: Tris buffered saline, 0.5% BSA
Shipped at conditions
Blue Ice
Appropriate short-term storage conditions
+4°C
Appropriate long-term storage conditions
-20°C
Aliquoting information
Upon delivery aliquot
Storage information
Avoid freeze / thaw cycle

Supplementary information

This supplementary information is collated from multiple sources and compiled automatically.

NUMB also known as numb protein is a cytoplasmic protein involved in cell fate determination. It has an approximate molecular mass of 75 kDa. NUMB plays a critical role in asymmetric cell division particularly during neural development. The protein is expressed in various tissues including the brain heart and liver but most prominently in neural tissues. NUMB influences the timing of differentiation and proliferation by interacting with several cellular components.
Biological function summary

NUMB proteins are important to regulating cell fate decisions. NUMB primarily functions as a part of a larger complex including proteins like Notch and Eps15. In neural stem cells NUMB acts as an inhibitor of the Notch signaling pathway. It also regulates endocytosis and the signaling pathways that contribute to maintaining cellular diversity during development. NUMB interactions influence processes like cell adhesion and migration which are essential for proper tissue formation.

Pathways

NUMB proteins play significant roles within the Notch and Hedgehog signaling pathways. These are critical pathways for developmental processes. In the Notch pathway NUMB negatively regulates Notch receptor activity preventing Notch-mediated gene expression. NUMB interacts with other proteins such as alpha-adaptin and LNX1 through these pathways helping regulate the endocytic trafficking of key signaling molecules. In the Hedgehog pathway NUMB affects signal transduction though its role is less defined compared to its involvement in the Notch pathway.

NUMB proteins have been implicated in breast cancer and Alzheimer's disease. In breast cancer alterations in NUMB expression or function can contribute to tumor progression due to dysregulation of the Notch pathway. Its interaction with proteins like MDM2 influences the stability and activity of p53 an important tumor suppressor. In Alzheimer's disease NUMB's involvement in endocytic processes may impact amyloid precursor protein processing and beta-amyloid plaque formation which are central to the disease pathology.

Product protocols

For this product, it's our understanding that no specific protocols are required. You can visit:

Target data

Regulates clathrin-mediated receptor endocytosis (PubMed : 18657069). Plays a role in the process of neurogenesis (By similarity). Required throughout embryonic neurogenesis to maintain neural progenitor cells, also called radial glial cells (RGCs), by allowing their daughter cells to choose progenitor over neuronal cell fate (By similarity). Not required for the proliferation of neural progenitor cells before the onset of neurogenesis. Also involved postnatally in the subventricular zone (SVZ) neurogenesis by regulating SVZ neuroblasts survival and ependymal wall integrity (By similarity). May also mediate local repair of brain ventricular wall damage (By similarity).
See full target information NUMB

Publications (51)

Recent publications for all applications. Explore the full list and refine your search

Cell reports. Medicine 5:101826 PubMed39536753

2024

IL-21/IL-21R signaling renders acute myeloid leukemia stem cells more susceptible to cytarabine treatment and CAR T cell therapy.

Applications

Unspecified application

Species

Unspecified reactive species

Viviana Rubino,Michelle Hüppi,Sabine Höpner,Luigi Tortola,Noah Schnüriger,Hugo Legenne,Lea Taylor,Svenja Voggensperger,Irene Keller,Remy Bruggman,Marie-Noëlle Kronig,Ulrike Bacher,Manfred Kopf,Adrian F Ochsenbein,Carsten Riether

Nephrology (Carlton, Vic.) 29:555-564 PubMed39011853

2024

Rhodojaponin VI ameliorates podocyte injury related with MDM2/Notch1 pathway in rat experimental membranous nephropathy.

Applications

Unspecified application

Species

Unspecified reactive species

Anni Song,Ruiwei Yan,Yue Qiu,Xingjie Yin,Jing Xiong,Guangmin Yao,Chun Zhang

eLife 12: PubMed38695862

2024

Septin 7 interacts with Numb to preserve sarcomere structural organization and muscle contractile function.

Applications

Unspecified application

Species

Unspecified reactive species

Rita De Gasperi,Laszlo Csernoch,Beatrix Dienes,Monika Gonczi,Jayanta K Chakrabarty,Shahar Goeta,Abdurrahman Aslan,Carlos A Toro,David Karasik,Lewis M Brown,Marco Brotto,Christopher P Cardozo

Cell stem cell 31:378-397.e12 PubMed38402617

2024

An iron rheostat controls hematopoietic stem cell fate.

Applications

Unspecified application

Species

Unspecified reactive species

Yun-Ruei Kao,Jiahao Chen,Rajni Kumari,Anita Ng,Aliona Zintiridou,Madhuri Tatiparthy,Yuhong Ma,Maria M Aivalioti,Deeposree Moulik,Sriram Sundaravel,Daqian Sun,Julie A Reisz,Juliane Grimm,Nuria Martinez-Lopez,Stephanie Stransky,Simone Sidoli,Ulrich Steidl,Rajat Singh,Angelo D'Alessandro,Britta Will

Animals : an open access journal from MDPI 14: PubMed38396553

2024

as a Negative Regulator of Avian Adipocyte Differentiation: Implications for Fat Deposition.

Applications

Unspecified application

Species

Unspecified reactive species

Zheng Wang,Yue Su,Mingyu Zhao,Zhenhua Ma,Jianhui Li,Zhuocheng Hou,Huifeng Li

Cell stem cell 30:1658-1673.e10 PubMed38065069

2023

SON is an essential mA target for hematopoietic stem cell fate.

Applications

Unspecified application

Species

Unspecified reactive species

Hanzhi Luo,Mariela Cortés-López,Cyrus L Tam,Michael Xiao,Isaac Wakiro,Karen L Chu,Aspen Pierson,Mandy Chan,Kathryn Chang,Xuejing Yang,Daniel Fecko,Grace Han,Eun-Young Erin Ahn,Quaid D Morris,Dan A Landau,Michael G Kharas

Nature communications 14:2290 PubMed37085479

2023

RNA binding protein SYNCRIP maintains proteostasis and self-renewal of hematopoietic stem and progenitor cells.

Applications

Unspecified application

Species

Unspecified reactive species

Florisela Herrejon Chavez,Hanzhi Luo,Paolo Cifani,Alli Pine,Karen L Chu,Suhasini Joshi,Ersilia Barin,Alexandra Schurer,Mandy Chan,Kathryn Chang,Grace Y Q Han,Aspen J Pierson,Michael Xiao,Xuejing Yang,Lindsey M Kuehm,Yuning Hong,Diu T T Nguyen,Gabriela Chiosis,Alex Kentsis,Christina Leslie,Ly P Vu,Michael G Kharas

Science advances 9:eade5348 PubMed36652509

2023

E-cadherin in developing murine T cells controls spindle alignment and progression through β-selection.

Applications

Unspecified application

Species

Unspecified reactive species

Mirren Charnley,Amr H Allam,Lucas M Newton,Patrick O Humbert,Sarah M Russell

Neurobiology of pain (Cambridge, Mass.) 12:100109 PubMed36531612

2022

Cell specific regulation of NaV1.7 activity and trafficking in rat nodose ganglia neurons.

Applications

Unspecified application

Species

Unspecified reactive species

Santiago I Loya-López,Paz Duran,Dongzhi Ran,Aida Calderon-Rivera,Kimberly Gomez,Aubin Moutal,Rajesh Khanna

International journal of biological sciences 18:1896-1911 PubMed35342338

2022

MAD2B promotes podocyte injury through regulating Numb-dependent Notch 1 pathway in diabetic nephropathy.

Applications

Unspecified application

Species

Unspecified reactive species

Meng-Ran Li,Chun-Tao Lei,Hui Tang,Xing-Jie Yin,Zhe Hao,Yang Qiu,Ya-Ru Xie,Jie-Yu Zeng,Hua Su,Chun Zhang
View all publications

Product promise

We are committed to supporting your work with high-quality reagents, and we're here for you every step of the way. In the unlikely event that one of our products does not perform as expected, you're protected by our Product Promise.
For full details, please see our Terms & Conditions

Please note: All products are 'FOR RESEARCH USE ONLY. NOT FOR USE IN DIAGNOSTIC OR THERAPEUTIC PROCEDURES'.

For licensing inquiries, please contact partnerships@abcam.com