JavaScript is disabled in your browser. Please enable JavaScript to view this website.
AB234108

Anti-NUMB antibody [EPR21988] - BSA and Azide free

Be the first to review this product! Submit a review

|

(1 Publication)

Rabbit Recombinant Monoclonal NUMB antibody. Carrier free. Suitable for IHC-P, IP, WB, Flow Cyt (Intra) and reacts with Rat, Human, Mouse samples. Cited in 1 publication.

View Alternative Names

C14orf41, NUMB, Protein numb homolog, h-Numb, Protein S171

7 Images
Immunohistochemistry (Formalin/PFA-fixed paraffin-embedded sections) - Anti-NUMB antibody [EPR21988] - BSA and Azide free (AB234108)
  • IHC-P

Supplier Data

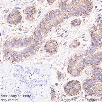
Immunohistochemistry (Formalin/PFA-fixed paraffin-embedded sections) - Anti-NUMB antibody [EPR21988] - BSA and Azide free (AB234108)

Immunohistochemical analysis of paraffin-embedded human breast tissue labeling NUMB with ab220362 at 1/1000 dilution, followed by a ready to use Rabbit specific IHC polymer detection kit HRP/DAB (ab209101). Positive staining on human breast tissue (PMID : 15492044) is observed. Counter stained with Hematoxylin.

Secondary antibody only control : Used PBS instead of primary antibody, secondary antibody is a ready to use Rabbit specific IHC polymer detection kit HRP/DAB (ab209101).

Perform heat-mediated antigen retrieval using Universal HIER antigen retrieval reagents (10X)(ab208572).

This data was developed using the same antibody clone in a different buffer formulation containing PBS, BSA, glycerol, and sodium azide (ab220362).

Immunohistochemistry (Formalin/PFA-fixed paraffin-embedded sections) - Anti-NUMB antibody [EPR21988] - BSA and Azide free (AB234108)
  • IHC-P

Supplier Data

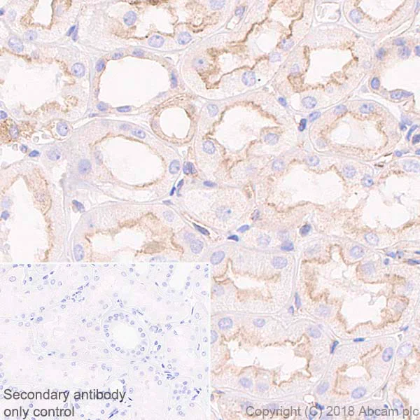
Immunohistochemistry (Formalin/PFA-fixed paraffin-embedded sections) - Anti-NUMB antibody [EPR21988] - BSA and Azide free (AB234108)

Immunohistochemical analysis of paraffin-embedded human kidney tissue labeling NUMB with ab220362 at 1/1000 dilution, followed by a ready to use Rabbit specific IHC polymer detection kit HRP/DAB (ab209101). Positive staining on human kidney tubules (PMID : 27016419) is observed. Counter stained with Hematoxylin.

Secondary antibody only control : Used PBS instead of primary antibody, secondary antibody is a ready to use Rabbit specific IHC polymer detection kit HRP/DAB (ab209101).

Perform heat-mediated antigen retrieval using Universal HIER antigen retrieval reagents (10X)(ab208572).

This data was developed using the same antibody clone in a different buffer formulation containing PBS, BSA, glycerol, and sodium azide (ab220362).

Immunohistochemistry (Formalin/PFA-fixed paraffin-embedded sections) - Anti-NUMB antibody [EPR21988] - BSA and Azide free (AB234108)
  • IHC-P

Supplier Data

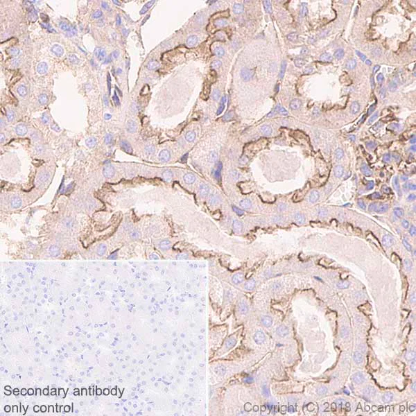
Immunohistochemistry (Formalin/PFA-fixed paraffin-embedded sections) - Anti-NUMB antibody [EPR21988] - BSA and Azide free (AB234108)

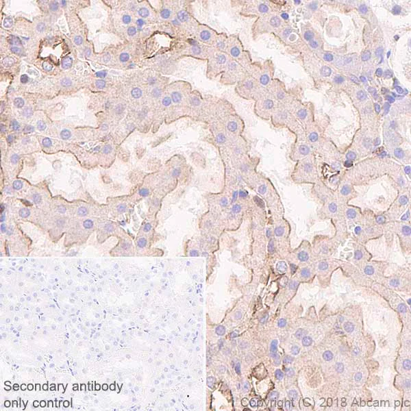
Immunohistochemical analysis of paraffin-embedded rat kidney tissue labeling NUMB with ab220362 at 1/1000 dilution, followed by a ready to use Rabbit specific IHC polymer detection kit HRP/DAB (ab209101). Positive staining on rar kidney tubules (PMID : 27016419) is observed. Counter stained with Hematoxylin.

Secondary antibody only control : Used PBS instead of primary antibody, secondary antibody is a ready to use Rabbit specific IHC polymer detection kit HRP/DAB (ab209101).

Perform heat-mediated antigen retrieval using Universal HIER antigen retrieval reagents (10X)(ab208572).

This data was developed using the same antibody clone in a different buffer formulation containing PBS, BSA, glycerol, and sodium azide (ab220362).

Immunohistochemistry (Formalin/PFA-fixed paraffin-embedded sections) - Anti-NUMB antibody [EPR21988] - BSA and Azide free (AB234108)
  • IHC-P

Supplier Data

Immunohistochemistry (Formalin/PFA-fixed paraffin-embedded sections) - Anti-NUMB antibody [EPR21988] - BSA and Azide free (AB234108)

Immunohistochemical analysis of paraffin-embedded mouse kidney tissue labeling NUMB with ab220362 at 1/1000 dilution, followed by a ready to use Rabbit specific IHC polymer detection kit HRP/DAB (ab209101). Positive staining on mouse kidney tubules (PMID : 27016419) is observed. Counter stained with Hematoxylin.

Secondary antibody only control : Used PBS instead of primary antibody, secondary antibody is a ready to use Rabbit specific IHC polymer detection kit HRP/DAB (ab209101).

Perform heat-mediated antigen retrieval using Universal HIER antigen retrieval reagents (10X)(ab208572).

This data was developed using the same antibody clone in a different buffer formulation containing PBS, BSA, glycerol, and sodium azide (ab220362).

Flow Cytometry (Intracellular) - Anti-NUMB antibody [EPR21988] - BSA and Azide free (AB234108)
  • Flow Cyt (Intra)

Unknown

Flow Cytometry (Intracellular) - Anti-NUMB antibody [EPR21988] - BSA and Azide free (AB234108)

Intracellular flow cytometric analysis of 4% paraformaldehyde-fixed, 90% methanol permeabilized Ramos (Human Burkitt's lymphoma B lymphocyte) cell line labeling NUMB with ab220362 at 1/600 (red) compared with a Rabbit monoclonal IgG (ab172730) (black) and an unlabeled control (cells incubated with secondary antibody only) (blue). Goat anti rabbit IgG (Alexa Fluor® 488, ab150077), at 1/2000 dilution was used as the secondary antibody.

This data was developed using the same antibody clone in a different buffer formulation containing PBS, BSA, glycerol, and sodium azide (ab220362).

Immunohistochemistry (Formalin/PFA-fixed paraffin-embedded sections) - Anti-NUMB antibody [EPR21988] - BSA and Azide free (AB234108)
  • IHC-P

Supplier Data

Immunohistochemistry (Formalin/PFA-fixed paraffin-embedded sections) - Anti-NUMB antibody [EPR21988] - BSA and Azide free (AB234108)

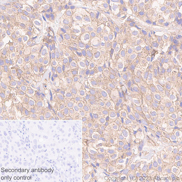
Immunohistochemical analysis of paraffin-embedded human breast carcinoma labeling NUMB with ab220362 at 1/1000 dilution. The section was incubated with ab220362 at 4°C overnight. Heat mediated antigen retrieval was performed using ab93684 (Tris/EDTA buffer, pH 9.0). Secondary antibody only control : Used PBS instead of primary antibody, secondary antibody used -  Goat Anti-Rabbit IgG H&L (HRP polymer) (ab214880).  This data was developed using the same antibody clone in a different buffer formulation containing PBS, BSA, glycerol, and sodium azide (ab220362).

Immunoprecipitation - Anti-NUMB antibody [EPR21988] - BSA and Azide free (AB234108)
  • IP

Supplier Data

Immunoprecipitation - Anti-NUMB antibody [EPR21988] - BSA and Azide free (AB234108)

NUMB was immunoprecipitated from 0.35 mg HeLa (Human cervix adenocarcinoma epithelial cell) whole cell lysate with ab220362 at 1/30 dilution. Western blot was performed from the immunoprecipitate using ab220362 at 1/1000 dilution. VeriBlot for IP Detection Reagent (HRP) (ab131366) was used for detection at 1/5000 dilution.
Lane 1 : HeLa (Human cervix adenocarcinoma epithelial cell) whole cell lysate 10 μg(Input).
Lane 2 : ab220362 IP in HeLa whole cell lysate (+).
Lane 3 : Rabbit monoclonal IgG (ab172730) instead of ab220362 in HeLa whole cell lysate (-).

Blocking/Dilution buffer and concentration : 5% NFDM/TBST.
Exposure time : 3 minutes.

This data was developed using the same antibody clone in a different buffer formulation containing PBS, BSA, glycerol, and sodium azide (ab220362).

All lanes:

Immunoprecipitation - Anti-NUMB antibody [EPR21988] (<a href='/en-us/products/primary-antibodies/numb-antibody-epr21988-ab220362'>ab220362</a>)

Predicted band size: 71 kDa

false

Key facts

Host species

Rabbit

Clonality

Monoclonal

Clone number

EPR21988

Isotype

IgG

Carrier free

Yes

Reacts with

Mouse, Rat, Human

Applications

IHC-P, Flow Cyt (Intra), IP, WB

applications

Immunogen

The exact immunogen used to generate this antibody is proprietary information.

Reactivity data

{ "title": "Reactivity Data", "filters": { "stats": ["", "Species", "Dilution Info", "Notes"], "tabs": { "all-applications": {"fullname" : "All Applications", "shortname": "All Applications"}, "IHCP" : {"fullname" : "Immunohistochemistry (Formalin/PFA-fixed paraffin-embedded sections)", "shortname":"IHC-P"}, "IP" : {"fullname" : "Immunoprecipitation", "shortname":"IP"}, "WB" : {"fullname" : "Western blot", "shortname":"WB"}, "FlowCytIntra" : {"fullname" : "Flow Cytometry (Intracellular)", "shortname":"Flow Cyt (Intra)"} }, "product-promise": { "all": "all", "testedAndGuaranteed": "tested", "guaranteed": "expected", "predicted": "predicted", "notRecommended": "not-recommended" } }, "values": { "Human": { "IHCP-species-checked": "guaranteed", "IHCP-species-dilution-info": "", "IHCP-species-notes": "", "IP-species-checked": "testedAndGuaranteed", "IP-species-dilution-info": "", "IP-species-notes": "<p></p>", "WB-species-checked": "guaranteed", "WB-species-dilution-info": "", "WB-species-notes": "<p></p>", "FlowCytIntra-species-checked": "testedAndGuaranteed", "FlowCytIntra-species-dilution-info": "", "FlowCytIntra-species-notes": "<p></p>" }, "Mouse": { "IHCP-species-checked": "predicted", "IHCP-species-dilution-info": "", "IHCP-species-notes": "", "IP-species-checked": "predicted", "IP-species-dilution-info": "", "IP-species-notes": "", "WB-species-checked": "guaranteed", "WB-species-dilution-info": "", "WB-species-notes": "<p></p>", "FlowCytIntra-species-checked": "predicted", "FlowCytIntra-species-dilution-info": "", "FlowCytIntra-species-notes": "" }, "Rat": { "IHCP-species-checked": "testedAndGuaranteed", "IHCP-species-dilution-info": "", "IHCP-species-notes": "<p></p> Perform heat-mediated antigen retrieval before commencing with IHC staining protocol.", "IP-species-checked": "guaranteed", "IP-species-dilution-info": "", "IP-species-notes": "", "WB-species-checked": "guaranteed", "WB-species-dilution-info": "", "WB-species-notes": "<p></p>", "FlowCytIntra-species-checked": "guaranteed", "FlowCytIntra-species-dilution-info": "", "FlowCytIntra-species-notes": "" } } }

Product details

ab234108 is the carrier-free version of ab220362.

Patented technology
Our RabMAb® technology is a patented hybridoma-based technology for making rabbit monoclonal antibodies. For details on our patents, please refer to RabMAb® patents.

What are the advantages of a recombinant monoclonal antibody?
This product is a recombinant monoclonal antibody, which offers several advantages including:

  • - High batch-to-batch consistency and reproducibility
  • - Improved sensitivity and specificity
  • - Long-term security of supply
  • - Animal-free batch production

For more information, read more on recombinant antibodies.

Conjugation ready
Our carrier-free antibodies are typically supplied in a PBS-only formulation, purified and free of BSA, sodium azide and glycerol. This conjugation-ready format is designed for use with fluorochromes, metal isotopes, oligonucleotides, and enzymes, which makes them ideal for antibody labelling, functional and cell-based assays, flow-based assays (e.g. mass cytometry) and Multiplex Imaging applications.

Use our conjugation kits for antibody conjugates that are ready-to-use in as little as 20 minutes with 1 minute hands-on-time and 100% antibody recovery: available for fluorescent dyes, HRP, biotin and gold.

Compatibility
This product is compatible with the Maxpar® Antibody Labeling Kit from Fluidigm, without the need for antibody preparation. Maxpar® is a trademark of Fluidigm Canada Inc.

Properties and storage information

Form
Liquid
Purification technique
Affinity purification Protein A
Storage buffer
pH: 7.2 - 7.4 Constituents: PBS
Shipped at conditions
Blue Ice
Appropriate short-term storage conditions
+4°C
Appropriate long-term storage conditions
+4°C
Storage information
Do Not Freeze

Supplementary information

This supplementary information is collated from multiple sources and compiled automatically.

NUMB also known as numb protein is a cytoplasmic protein involved in cell fate determination. It has an approximate molecular mass of 75 kDa. NUMB plays a critical role in asymmetric cell division particularly during neural development. The protein is expressed in various tissues including the brain heart and liver but most prominently in neural tissues. NUMB influences the timing of differentiation and proliferation by interacting with several cellular components.
Biological function summary

NUMB proteins are important to regulating cell fate decisions. NUMB primarily functions as a part of a larger complex including proteins like Notch and Eps15. In neural stem cells NUMB acts as an inhibitor of the Notch signaling pathway. It also regulates endocytosis and the signaling pathways that contribute to maintaining cellular diversity during development. NUMB interactions influence processes like cell adhesion and migration which are essential for proper tissue formation.

Pathways

NUMB proteins play significant roles within the Notch and Hedgehog signaling pathways. These are critical pathways for developmental processes. In the Notch pathway NUMB negatively regulates Notch receptor activity preventing Notch-mediated gene expression. NUMB interacts with other proteins such as alpha-adaptin and LNX1 through these pathways helping regulate the endocytic trafficking of key signaling molecules. In the Hedgehog pathway NUMB affects signal transduction though its role is less defined compared to its involvement in the Notch pathway.

NUMB proteins have been implicated in breast cancer and Alzheimer's disease. In breast cancer alterations in NUMB expression or function can contribute to tumor progression due to dysregulation of the Notch pathway. Its interaction with proteins like MDM2 influences the stability and activity of p53 an important tumor suppressor. In Alzheimer's disease NUMB's involvement in endocytic processes may impact amyloid precursor protein processing and beta-amyloid plaque formation which are central to the disease pathology.

Product protocols

For this product, it's our understanding that no specific protocols are required. You can visit:

Target data

Regulates clathrin-mediated receptor endocytosis (PubMed : 18657069). Plays a role in the process of neurogenesis (By similarity). Required throughout embryonic neurogenesis to maintain neural progenitor cells, also called radial glial cells (RGCs), by allowing their daughter cells to choose progenitor over neuronal cell fate (By similarity). Not required for the proliferation of neural progenitor cells before the onset of neurogenesis. Also involved postnatally in the subventricular zone (SVZ) neurogenesis by regulating SVZ neuroblasts survival and ependymal wall integrity (By similarity). May also mediate local repair of brain ventricular wall damage (By similarity).
See full target information NUMB

Publications (1)

Recent publications for all applications. Explore the full list and refine your search

Experimental and therapeutic medicine 19:3531-3536 PubMed32346414

2020

microRNA-146b promotes neuroblastoma cell growth through targeting NUMB.

Applications

Unspecified application

Species

Unspecified reactive species

Xiao-Li Ma,Xiao-Juan Zhang,Qian Du,Xiang-Nan Zhang,Shu-Yan Zhang,Huan-Fen Zhao
View all publications

Product promise

We are committed to supporting your work with high-quality reagents, and we're here for you every step of the way. In the unlikely event that one of our products does not perform as expected, you're protected by our Product Promise.
For full details, please see our Terms & Conditions

Please note: All products are 'FOR RESEARCH USE ONLY. NOT FOR USE IN DIAGNOSTIC OR THERAPEUTIC PROCEDURES'.

For licensing inquiries, please contact partnerships@abcam.com