JavaScript is disabled in your browser. Please enable JavaScript to view this website.
AB256530

Anti-Nup107 antibody [EPR22877-21] - BSA and Azide free

Be the first to review this product! Submit a review

|

(1 Publication)

Rabbit Recombinant Monoclonal Nup107 antibody. Carrier free. Suitable for IP, WB and reacts with Human, Mouse, Rat samples. Cited in 1 publication.

View Alternative Names

Nuclear pore complex protein Nup107, 107 kDa nucleoporin, Nucleoporin Nup107, NUP107

1 Images
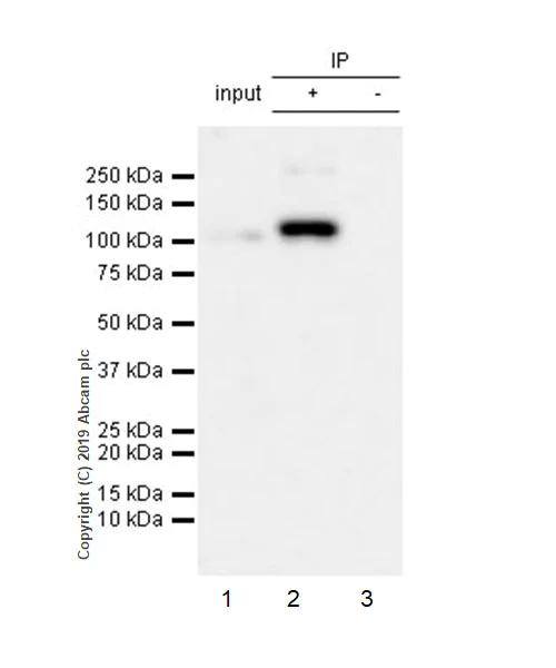
Immunoprecipitation - Anti-Nup107 antibody [EPR22877-21] - BSA and Azide free (AB256530)
  • IP

Unknown

Immunoprecipitation - Anti-Nup107 antibody [EPR22877-21] - BSA and Azide free (AB256530)

Nup107 was immunoprecipitated from 0.35 mg HEK-293T (human embryonic kidney epithelial cell) whole cell lysate 10ug with ab236634 at 1/30 dilution (2ug in 0.35mg lysates). Western blot was performed on the immunoprecipitate using ab236634 at 1/1000. VeriBlot for IP Detection Reagent (HRP) (ab131366) was used at 1/5000 dilution.

Lane 1 : HEK-293T (human embryonic kidney epithelial cell) whole cell lysate 10ug

Lane 2 : ab236634 IP in HEK-293T whole cell lysate

Lane 3 : Rabbit monoclonal IgG (ab172730) instead of ab236634 in HEK-293T whole cell lysate.

Blocking and dilution buffer and concentration/ 5% NFDM/TBST.

Exposure time : 6 seconds

This data was developed using the same antibody clone in a different buffer formulation containing PBS, BSA, glycerol, and sodium azide (ab236634).

All lanes:

Immunoprecipitation - Anti-Nup107 antibody [EPR22877-21] (<a href='/en-us/products/primary-antibodies/nup107-antibody-epr22877-21-ab236634'>ab236634</a>)

Predicted band size: 106 kDa,90 kDa

Observed band size: 107 kDa,97 kDa

false

Key facts

Host species

Rabbit

Clonality

Monoclonal

Clone number

EPR22877-21

Isotype

IgG

Carrier free

Yes

Reacts with

Mouse, Rat, Human

Applications

WB, IP

applications

Immunogen

The exact immunogen used to generate this antibody is proprietary information.

Reactivity data

{ "title": "Reactivity Data", "filters": { "stats": ["", "Species", "Dilution Info", "Notes"], "tabs": { "all-applications": {"fullname" : "All Applications", "shortname": "All Applications"}, "IP" : {"fullname" : "Immunoprecipitation", "shortname":"IP"}, "FlowCyt" : {"fullname" : "Flow Cytometry", "shortname":"Flow Cyt"}, "WB" : {"fullname" : "Western blot", "shortname":"WB"}, "IHCP" : {"fullname" : "Immunohistochemistry (Formalin/PFA-fixed paraffin-embedded sections)", "shortname":"IHC-P"}, "ICCIF" : {"fullname" : "Immunocytochemistry/ Immunofluorescence", "shortname":"ICC/IF"} }, "product-promise": { "all": "all", "testedAndGuaranteed": "tested", "guaranteed": "expected", "predicted": "predicted", "notRecommended": "not-recommended" } }, "values": { "Human": { "IP-species-checked": "testedAndGuaranteed", "IP-species-dilution-info": "", "IP-species-notes": "<p></p>", "FlowCyt-species-checked": "notRecommended", "FlowCyt-species-dilution-info": "", "FlowCyt-species-notes": "<p></p>", "WB-species-checked": "guaranteed", "WB-species-dilution-info": "", "WB-species-notes": "<p></p>", "IHCP-species-checked": "notRecommended", "IHCP-species-dilution-info": "", "IHCP-species-notes": "<p></p>", "ICCIF-species-checked": "notRecommended", "ICCIF-species-dilution-info": "", "ICCIF-species-notes": "<p></p>" }, "Mouse": { "IP-species-checked": "predicted", "IP-species-dilution-info": "", "IP-species-notes": "", "FlowCyt-species-checked": "notRecommended", "FlowCyt-species-dilution-info": "", "FlowCyt-species-notes": "<p></p>", "WB-species-checked": "guaranteed", "WB-species-dilution-info": "", "WB-species-notes": "<p></p>", "IHCP-species-checked": "notRecommended", "IHCP-species-dilution-info": "", "IHCP-species-notes": "<p></p>", "ICCIF-species-checked": "notRecommended", "ICCIF-species-dilution-info": "", "ICCIF-species-notes": "<p></p>" }, "Rat": { "IP-species-checked": "predicted", "IP-species-dilution-info": "", "IP-species-notes": "", "FlowCyt-species-checked": "notRecommended", "FlowCyt-species-dilution-info": "", "FlowCyt-species-notes": "<p></p>", "WB-species-checked": "guaranteed", "WB-species-dilution-info": "", "WB-species-notes": "<p></p>", "IHCP-species-checked": "notRecommended", "IHCP-species-dilution-info": "", "IHCP-species-notes": "<p></p>", "ICCIF-species-checked": "notRecommended", "ICCIF-species-dilution-info": "", "ICCIF-species-notes": "<p></p>" } } }

Product details

ab256530 is the carrier-free version of ab236634.

Patented technology
Our RabMAb® technology is a patented hybridoma-based technology for making rabbit monoclonal antibodies. For details on our patents, please refer to RabMAb® patents.

What are the advantages of a recombinant monoclonal antibody?
This product is a recombinant monoclonal antibody, which offers several advantages including:

  • - High batch-to-batch consistency and reproducibility
  • - Improved sensitivity and specificity
  • - Long-term security of supply
  • - Animal-free batch production

For more information, read more on recombinant antibodies.

Conjugation ready
Our carrier-free antibodies are typically supplied in a PBS-only formulation, purified and free of BSA, sodium azide and glycerol. This conjugation-ready format is designed for use with fluorochromes, metal isotopes, oligonucleotides, and enzymes, which makes them ideal for antibody labelling, functional and cell-based assays, flow-based assays (e.g. mass cytometry) and Multiplex Imaging applications.

Use our conjugation kits for antibody conjugates that are ready-to-use in as little as 20 minutes with 1 minute hands-on-time and 100% antibody recovery: available for fluorescent dyes, HRP, biotin and gold.

Compatibility
This product is compatible with the Maxpar® Antibody Labeling Kit from Fluidigm, without the need for antibody preparation. Maxpar® is a trademark of Fluidigm Canada Inc.

Properties and storage information

Form
Liquid
Purification technique
Affinity purification Protein A
Storage buffer
pH: 7.2 - 7.4 Constituents: PBS
Shipped at conditions
Blue Ice
Appropriate short-term storage conditions
+4°C
Appropriate long-term storage conditions
+4°C
Storage information
Do Not Freeze

Supplementary information

This supplementary information is collated from multiple sources and compiled automatically.

The Nup107 also known as nucleoporin 107 is an important protein component of the nuclear pore complex (NPC). With a molecular mass of approximately 107 kDa it is a significant element in the structure of the NPC. Nup107 is expressed in various tissues throughout the body. It plays an essential mechanical role in the assembly and maintenance of NPCs facilitating the transport of macromolecules between the nucleus and the cytoplasm.
Biological function summary

Nup107 forms part of the Nup107-160 subcomplex which contributes to the NPC's structural integrity and function. This complex acts as a scaffold providing support for the overall architecture and positioning within the nuclear envelope. The presence of Nup107 influences nuclear-cytoplasmic transport which is key in regulation of gene expression and cell cycle progression. Nup107 ensures proper assembly serving as an anchor for other nucleoporins within the NPC.

Pathways

The Nup107 subcomplex plays a critical role in key cellular processes such as the cell cycle and gene expression regulation. It participates in the mitotic entry and exit by regulating nucleocytoplasmic transport of cell cycle regulators and transcription factors. Nup107 interacts with proteins like Nup133 and Nup160 which assist in these processes. The precise functioning of Nup107 is necessary for maintaining cellular homeostasis and successful progression through cell division.

Nup107 has links to conditions such as primary ovarian insufficiency and nephrotic syndrome. Mutations or aberrant expression of Nup107 disrupt NPC assembly or function potentially leading to impaired cellular transport and altered cellular functions. In ovarian insufficiency altered Nup107 expression affects folliculogenesis by disrupting nuclear transport of specific factors. In nephrotic syndrome Nup107 dysfunction impacts the glomerular filtration barrier with associated proteins like nephrin and podocin demonstrating interrelated pathological effects.

Product protocols

For this product, it's our understanding that no specific protocols are required. You can visit:

Target data

Plays a role in the nuclear pore complex (NPC) assembly and/or maintenance (PubMed : 12552102, PubMed : 15229283, PubMed : 30179222). Required for the assembly of peripheral proteins into the NPC (PubMed : 12552102, PubMed : 15229283). May anchor NUP62 to the NPC (PubMed : 15229283). Involved in nephrogenesis (PubMed : 30179222).
See full target information Nuclear pore complex protein Nup107

Publications (1)

Recent publications for all applications. Explore the full list and refine your search

NPJ precision oncology 7:95 PubMed37723227

2023

Targeted single-cell proteomic analysis identifies new liquid biopsy biomarkers associated with multiple myeloma.

Applications

Unspecified application

Species

Unspecified reactive species

Sonia M Setayesh,Libere J Ndacayisaba,Kate E Rappard,Valerie Hennes,Luz Yurany Moreno Rueda,Guilin Tang,Pei Lin,Robert Z Orlowski,David E Symer,Elisabet E Manasanch,Stephanie N Shishido,Peter Kuhn
View all publications

Product promise

We are committed to supporting your work with high-quality reagents, and we're here for you every step of the way. In the unlikely event that one of our products does not perform as expected, you're protected by our Product Promise.
For full details, please see our Terms & Conditions

Please note: All products are 'FOR RESEARCH USE ONLY. NOT FOR USE IN DIAGNOSTIC OR THERAPEUTIC PROCEDURES'.

For licensing inquiries, please contact partnerships@abcam.com