JavaScript is disabled in your browser. Please enable JavaScript to view this website.
AB96462

Anti-Nup153 antibody [SA1]

4

(1 Review)

|

(13 Publications)

Mouse Monoclonal Nup153 antibody. Suitable for IHC-P, ICC/IF and reacts with Mouse, Human, Rat samples. Cited in 13 publications.

View Alternative Names

Nuclear pore complex protein Nup153, 153 kDa nucleoporin, Nucleoporin Nup153, NUP153

5 Images
Immunocytochemistry/ Immunofluorescence - Anti-Nup153 antibody [SA1] (AB96462)
  • ICC/IF

Unknown

Immunocytochemistry/ Immunofluorescence - Anti-Nup153 antibody [SA1] (AB96462)

ICC/IF image of ab96462 stained HepG2 cells. The cells were 4% PFA fixed (10 min) and then incubated in 1%BSA / 10% normal goat serum / 0.3M glycine in 0.1% PBS-Tween for 1h to permeabilise the cells and block non-specific protein-protein interactions. The cells were then incubated with the antibody (ab96462, 1µg/ml) overnight at +4°C. The secondary antibody (green) was Alexa Fluor® 488 goat anti-mouse IgG (H+L) used at a 1/1000 dilution for 1h. Alexa Fluor® 594 WGA was used to label plasma membranes (red) at a 1/200 dilution for 1h. DAPI was used to stain the cell nuclei (blue) at a concentration of 1.43µM. This antibody also gave a positive result in 4% PFA fixed (10 min) HeLa cells at 1µg/ml, and in 100% methanol fixed (5 min) HeLa cells at 1µg/ml.

Immunohistochemistry (Formalin/PFA-fixed paraffin-embedded sections) - Anti-Nup153 antibody [SA1] (AB96462)
  • IHC-P

Unknown

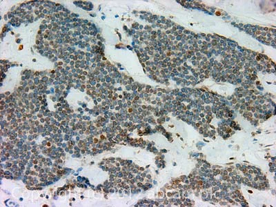
Immunohistochemistry (Formalin/PFA-fixed paraffin-embedded sections) - Anti-Nup153 antibody [SA1] (AB96462)

IHC image of Nup153 staining in Human breast adenocarcinoma formalin fixed paraffin embedded tissue section, performed on a Leica BondTM system using the standard protocol F. The section was pre-treated using heat mediated antigen retrieval with sodium citrate buffer (pH6, epitope retrieval solution 1) for 20 mins. The section was then incubated with ab96462, 10μg/ml, for 15 mins at room temperature and detected using an HRP conjugated compact polymer system. DAB was used as the chromogen. The section was then counterstained with haematoxylin and mounted with DPX.

For other IHC staining systems (automated and non-automated) customers should optimize variable parameters such as antigen retrieval conditions, primary antibody concentration and antibody incubation times.

Immunohistochemistry (Formalin/PFA-fixed paraffin-embedded sections) - Anti-Nup153 antibody [SA1] (AB96462)
  • IHC-P

Lab

Immunohistochemistry (Formalin/PFA-fixed paraffin-embedded sections) - Anti-Nup153 antibody [SA1] (AB96462)

IHC image of Nup153 staining in a section of formalin-fixed paraffin-embedded normal mouse testis performed on a Leica Biosystems BOND® RX instrument. The section was pre-treated using heat mediated antigen retrieval with sodium citrate buffer (pH6, epitope retrieval solution 1) for 20mins. The section was then incubated with ab96462, 5ug/ml, for 15 mins at room temperature and detected using an HRP conjugated compact polymer system. DAB was used as the chromogen. The section was then counterstained with haematoxylin and mounted with DPX. The inset secondary-only control image is taken from an identical assay without primary antibody. For other IHC staining systems (automated and non-automated) customers should optimize variable parameters such as antigen retrieval conditions, primary antibody concentration and antibody incubation times.

Immunocytochemistry/ Immunofluorescence - Anti-Nup153 antibody [SA1] (AB96462)
  • ICC/IF

Lab

Immunocytochemistry/ Immunofluorescence - Anti-Nup153 antibody [SA1] (AB96462)

ab96462 staining Nup153 in Rin-5F cells. The cells were fixed with 100% methanol (5 min), permeabilized with 0.1% PBS-Triton X-100 for 5 minutes and then blocked with 1% BSA/10% normal goat serum/0.3M glycine in 0.1%PBS-Tween for 1h. The cells were then incubated overnight at 4°C with ab96462 at 1µg/ml and ab6046, Rabbit polyclonal to beta Tubulin - Loading Control. Cells were then incubated with ab150117, Goat polyclonal Secondary Antibody to Mouse IgG H&L (Alexa Fluor® 488) preadsorbed at 1/1000 dilution (shown in green) and ab150084, Goat Anti-Rabbit IgG H&L (Alexa Fluor® 594) preadsorbed at 1/1000 dilution (shown in pseudocolour red). Nuclear DNA was labelled with DAPI (shown in blue). Also suitable in cells fixed with 4% paraformaldehyde (10 min). Image was acquired with a high-content analyser (Operetta CLS, Perkin Elmer) and a maximum intensity projection of confocal sections is shown.

Immunocytochemistry/ Immunofluorescence - Anti-Nup153 antibody [SA1] (AB96462)
  • ICC/IF

Lab

Immunocytochemistry/ Immunofluorescence - Anti-Nup153 antibody [SA1] (AB96462)

ab96462 staining Nup153 in NIH3T3 cells. The cells were fixed with 100% methanol (5 min), permeabilized with 0.1% PBS-Triton X-100 for 5 minutes and then blocked with 1% BSA/10% normal goat serum/0.3M glycine in 0.1%PBS-Tween for 1h. The cells were then incubated overnight at 4°C with ab96462 at 1µg/ml and ab6046, Rabbit polyclonal to beta Tubulin - Loading Control. Cells were then incubated with ab150117, Goat polyclonal Secondary Antibody to Mouse IgG H&L (Alexa Fluor® 488) preadsorbed at 1/1000 dilution (shown in green) and ab150084, Goat Anti-Rabbit IgG H&L (Alexa Fluor® 594) preadsorbed at 1/1000 dilution (shown in pseudocolour red). Nuclear DNA was labelled with DAPI (shown in blue). Also suitable in cells fixed with 4% paraformaldehyde (10 min). Image was acquired with a high-content analyser (Operetta CLS, Perkin Elmer) and a maximum intensity projection of confocal sections is shown.

Key facts

Host species

Mouse

Clonality

Monoclonal

Clone number

SA1

Isotype

IgG

Carrier free

No

Reacts with

Human, Mouse, Rat

Applications

IHC-P, ICC/IF

applications

Reactivity data

{ "title": "Reactivity Data", "filters": { "stats": ["", "Species", "Dilution Info", "Notes"], "tabs": { "all-applications": {"fullname" : "All Applications", "shortname": "All Applications"}, "IHCP" : {"fullname" : "Immunohistochemistry (Formalin/PFA-fixed paraffin-embedded sections)", "shortname":"IHC-P"}, "ICCIF" : {"fullname" : "Immunocytochemistry/ Immunofluorescence", "shortname":"ICC/IF"} }, "product-promise": { "all": "all", "testedAndGuaranteed": "tested", "guaranteed": "expected", "predicted": "predicted", "notRecommended": "not-recommended" } }, "values": { "Human": { "IHCP-species-checked": "testedAndGuaranteed", "IHCP-species-dilution-info": "10 µg/mL", "IHCP-species-notes": "<p></p> Perform heat-mediated antigen retrieval with citrate buffer pH 6 before commencing with IHC staining protocol.", "ICCIF-species-checked": "testedAndGuaranteed", "ICCIF-species-dilution-info": "1 µg/mL", "ICCIF-species-notes": "<p></p>" }, "Mouse": { "IHCP-species-checked": "testedAndGuaranteed", "IHCP-species-dilution-info": "10 µg/mL", "IHCP-species-notes": "<p></p> Perform heat-mediated antigen retrieval with citrate buffer pH 6 before commencing with IHC staining protocol.", "ICCIF-species-checked": "testedAndGuaranteed", "ICCIF-species-dilution-info": "1 µg/mL", "ICCIF-species-notes": "<p></p>" }, "Rat": { "IHCP-species-checked": "guaranteed", "IHCP-species-dilution-info": "", "IHCP-species-notes": "", "ICCIF-species-checked": "testedAndGuaranteed", "ICCIF-species-dilution-info": "1 µg/mL", "ICCIF-species-notes": "<p></p>" }, "Dog": { "IHCP-species-checked": "predicted", "IHCP-species-dilution-info": "", "IHCP-species-notes": "", "ICCIF-species-checked": "predicted", "ICCIF-species-dilution-info": "", "ICCIF-species-notes": "" }, "Hamster": { "IHCP-species-checked": "predicted", "IHCP-species-dilution-info": "", "IHCP-species-notes": "", "ICCIF-species-checked": "predicted", "ICCIF-species-dilution-info": "", "ICCIF-species-notes": "" }, "Pig": { "IHCP-species-checked": "predicted", "IHCP-species-dilution-info": "", "IHCP-species-notes": "", "ICCIF-species-checked": "predicted", "ICCIF-species-dilution-info": "", "ICCIF-species-notes": "" } } }

Product details

Want a custom formulation?
This antibody clone is manufactured by Abcam. If you require a custom buffer formulation or conjugation for your experiments, please contact orders@abcam.com

Properties and storage information

Form
Liquid
Purification technique
Affinity purification Protein G
Storage buffer
pH: 7.4 Preservative: 0.02% Sodium azide Constituents: PBS, 6.97% L-Arginine
Shipped at conditions
Blue Ice
Appropriate short-term storage conditions
+4°C
Appropriate long-term storage conditions
-20°C
Aliquoting information
Upon delivery aliquot
Storage information
Avoid freeze / thaw cycle

Supplementary information

This supplementary information is collated from multiple sources and compiled automatically.

Nup153 also known as nucleoporin 153 is a component of the nuclear pore complex (NPC) with a molecular weight of approximately 153 kDa. It functions as a scaffold within the NPC which mediates the bidirectional transport of molecules between the nucleus and the cytoplasm. Nup153 is part of the FG-nucleoporin family characterized by domains rich in phenylalanine and glycine repeats. It is highly expressed in the nuclear envelope of eukaryotic cells playing a vital part in maintaining the permeability of the nuclear envelope.
Biological function summary

Nup153 contributes to the assembly and disassembly of the NPC during cell cycle progression. It acts as a docking site for various nuclear import and export receptors therefore is essential for nucleocytoplasmic transport. Nup153 is an important component in the larger nuclear pore complex which itself is made up of multiple nucleoporins forming a sophisticated structure capable of both passive and active transport processes.

Pathways

Nup153 is intricately involved in the nucleocytoplasmic transport pathway and plays a critical role in RNA processing. It interacts with proteins such as Importin β and Exportin which facilitate the transport of different molecules across the nuclear envelope. This pathway is fundamental for the proper regulation of gene expression and cell cycle control exhibiting the importance of Nup153 in cellular dynamics.

Nup153 has been linked to cancer and neurodegenerative diseases. Alterations in Nup153 expression or function can disrupt cellular homeostasis leading to uncontrolled cell proliferation or impaired neuronal function. In cancer it may show altered interactions with p53 an important tumor suppressor protein affecting its regulatory functions. Understanding the role of Nup153 in such diseases may offer insights into potential therapeutic interventions.

Product protocols

For this product, it's our understanding that no specific protocols are required. You can visit:

Target data

Component of the nuclear pore complex (NPC), a complex required for the trafficking across the nuclear envelope. Functions as a scaffolding element in the nuclear phase of the NPC essential for normal nucleocytoplasmic transport of proteins and mRNAs. Involved in the quality control and retention of unspliced mRNAs in the nucleus; in association with TPR, regulates the nuclear export of unspliced mRNA species bearing constitutive transport element (CTE) in a NXF1- and KHDRBS1-independent manner. Mediates TPR anchoring to the nuclear membrane at NPC. The repeat-containing domain may be involved in anchoring other components of the NPC to the pore membrane. Possible DNA-binding subunit of the nuclear pore complex (NPC).. (Microbial infection) Interacts with HIV-1 caspid protein P24 and thereby promotes the integration of the virus in the nucleus of non-dividing cells (in vitro).. (Microbial infection) Binds HIV-2 protein vpx and thereby promotes the nuclear translocation of the lentiviral genome (in vitro).
See full target information NUP153

Publications (13)

Recent publications for all applications. Explore the full list and refine your search

Journal of cellular biochemistry 125:e30573 PubMed38780165

2024

Nucleoporin Nup98 is an essential factor for ipo4 dependent protein import.

Applications

Unspecified application

Species

Unspecified reactive species

Yingying Guo,Tao Tao,Ting Wu,Jingjing Hou,Wenbo Lin

The Journal of organic chemistry 86:18257-18264 PubMed34618463

2021

Synthesis of Cell-Permeable -Acetylhexosamine 1-Phosphates.

Applications

Unspecified application

Species

Unspecified reactive species

Badrinath N Kakde,Emanuela Capota,Jennifer J Kohler,Uttam K Tambar

Cells 10: PubMed34572142

2021

Formation of Non-Nucleoplasmic Proteasome Foci during the Late Stage of Hyperosmotic Stress.

Applications

Unspecified application

Species

Unspecified reactive species

Jeeyoung Lee,Ly Thi Huong Luu Le,Eunkyoung Kim,Min Jae Lee

Current protocols 1:e201 PubMed34288588

2021

Photocrosslinking O-GlcNAcylated Proteins to Neighboring Biomolecules.

Applications

Unspecified application

Species

Unspecified reactive species

Emanuela Capota,Han Wu,Jennifer J Kohler

Cell 184:2860-2877.e22 PubMed33964210

2021

Parental genome unification is highly error-prone in mammalian embryos.

Applications

Unspecified application

Species

Unspecified reactive species

Tommaso Cavazza,Yuko Takeda,Antonio Z Politi,Magomet Aushev,Patrick Aldag,Clara Baker,Meenakshi Choudhary,Jonas Bucevičius,Gražvydas Lukinavičius,Kay Elder,Martyn Blayney,Andrea Lucas-Hahn,Heiner Niemann,Mary Herbert,Melina Schuh

Molecular cell 79:342-358.e12 PubMed32645368

2020

Systematic Discovery of Short Linear Motifs Decodes Calcineurin Phosphatase Signaling.

Applications

Unspecified application

Species

Unspecified reactive species

Callie P Wigington,Jagoree Roy,Nikhil P Damle,Vikash K Yadav,Cecilia Blikstad,Eduard Resch,Cassandra J Wong,Douglas R Mackay,Jennifer T Wang,Izabella Krystkowiak,Devin A Bradburn,Eirini Tsekitsidou,Su Hyun Hong,Malika Amyn Kaderali,Shou-Ling Xu,Tim Stearns,Anne-Claude Gingras,Katharine S Ullman,Ylva Ivarsson,Norman E Davey,Martha S Cyert

Human molecular genetics 27:407-420 PubMed29186574

2017

TorsinA dysfunction causes persistent neuronal nuclear pore defects.

Applications

Unspecified application

Species

Unspecified reactive species

Samuel S Pappas,Chun-Chi Liang,Sumin Kim,CheyAnne O Rivera,William T Dauer

Nucleus (Austin, Tex.) 8:515-533 PubMed28696859

2017

Nucleoporins redistribute inside the nucleus after cell cycle arrest induced by histone deacetylases inhibition.

Applications

Unspecified application

Species

Unspecified reactive species

Miguel Pérez-Garrastachu,Jon Arluzea,Ricardo Andrade,Alejandro Díez-Torre,Marta Urtizberea,Margarita Silió,Juan Aréchaga

Nucleus (Austin, Tex.) 8:404-420 PubMed28402725

2017

Visualization of PML nuclear import complexes reveals FG-repeat nucleoporins at cargo retrieval sites.

Applications

Unspecified application

Species

Unspecified reactive species

Anna Lång,Jens Eriksson,Kay Oliver Schink,Emma Lång,Pernille Blicher,Anna Połeć,Andreas Brech,Bjørn Dalhus,Stig Ove Bøe

The Journal of biological chemistry 290:22638-48 PubMed26240142

2015

Enhanced transfer of a photocross-linking N-acetylglucosamine (GlcNAc) analog by an O-GlcNAc transferase mutant with converted substrate specificity.

Applications

Unspecified application

Species

Unspecified reactive species

Andrea C Rodriguez,Seok-Ho Yu,Bin Li,Hicham Zegzouti,Jennifer J Kohler
View all publications

Product promise

We are committed to supporting your work with high-quality reagents, and we're here for you every step of the way. In the unlikely event that one of our products does not perform as expected, you're protected by our Product Promise.
For full details, please see our Terms & Conditions

Please note: All products are 'FOR RESEARCH USE ONLY. NOT FOR USE IN DIAGNOSTIC OR THERAPEUTIC PROCEDURES'.

For licensing inquiries, please contact partnerships@abcam.com