JavaScript is disabled in your browser. Please enable JavaScript to view this website.
AB240121

Anti-NUP50 antibody [EPR9525] - BSA and Azide free

Be the first to review this product! Submit a review

|

(1 Publication)

Rabbit Recombinant Monoclonal NUP50 antibody. Carrier free. Suitable for IHC-P, WB, ICC/IF and reacts with Human samples. Cited in 1 publication.

View Alternative Names

NPAP60L, PRO1146, NUP50, Nuclear pore complex protein Nup50, 50 kDa nucleoporin, Nuclear pore-associated protein 60 kDa-like, Nucleoporin Nup50

7 Images
Immunohistochemistry (Formalin/PFA-fixed paraffin-embedded sections) - Anti-NUP50 antibody [EPR9525] - BSA and Azide free (AB240121)
  • IHC-P

Unknown

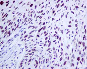
Immunohistochemistry (Formalin/PFA-fixed paraffin-embedded sections) - Anti-NUP50 antibody [EPR9525] - BSA and Azide free (AB240121)

Immunohistochemical analysis of paraffin embedded Human Lung carcinoma tissue using ab151567 showing +ve staining.
Perform heat mediated antigen retrieval with citrate buffer pH 6 before commencing with IHC staining protocol.

This data was developed using the same antibody clone in a different buffer formulation containing PBS, BSA, glycerol, and sodium azide (ab151567).

Immunohistochemistry (Formalin/PFA-fixed paraffin-embedded sections) - Anti-NUP50 antibody [EPR9525] - BSA and Azide free (AB240121)
  • IHC-P

Unknown

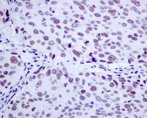
Immunohistochemistry (Formalin/PFA-fixed paraffin-embedded sections) - Anti-NUP50 antibody [EPR9525] - BSA and Azide free (AB240121)

Immunohistochemical analysis of paraffin embedded Human Cervical carcinoma tissue using ab151567 showing +ve staining.
Perform heat mediated antigen retrieval with citrate buffer pH 6 before commencing with IHC staining protocol.

This data was developed using the same antibody clone in a different buffer formulation containing PBS, BSA, glycerol, and sodium azide (ab151567).

Immunohistochemistry (Formalin/PFA-fixed paraffin-embedded sections) - Anti-NUP50 antibody [EPR9525] - BSA and Azide free (AB240121)
  • IHC-P

Unknown

Immunohistochemistry (Formalin/PFA-fixed paraffin-embedded sections) - Anti-NUP50 antibody [EPR9525] - BSA and Azide free (AB240121)

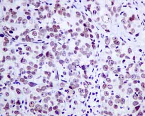
Immunohistochemical analysis of paraffin embedded Human Breast carcinoma tissue using ab151567 showing +ve staining.
Perform heat mediated antigen retrieval with citrate buffer pH 6 before commencing with IHC staining protocol.

This data was developed using the same antibody clone in a different buffer formulation containing PBS, BSA, glycerol, and sodium azide (ab151567).

Immunocytochemistry/ Immunofluorescence - Anti-NUP50 antibody [EPR9525] - BSA and Azide free (AB240121)
  • ICC/IF

Unknown

Immunocytochemistry/ Immunofluorescence - Anti-NUP50 antibody [EPR9525] - BSA and Azide free (AB240121)

Immunofluorescent analysis of HeLa cells labeling NUP50 with ab151567 at 1/100 dilution.This data was developed using the same antibody clone in a different buffer formulation containing PBS, BSA, glycerol, and sodium azide (ab151567).

Immunohistochemistry (Formalin/PFA-fixed paraffin-embedded sections) - Anti-NUP50 antibody [EPR9525] - BSA and Azide free (AB240121)
  • IHC-P

Unknown

Immunohistochemistry (Formalin/PFA-fixed paraffin-embedded sections) - Anti-NUP50 antibody [EPR9525] - BSA and Azide free (AB240121)

Immunohistochemical analysis of paraffin embedded normal Human testis tissue using ab151567 showing +ve staining.

This data was developed using the same antibody clone in a different buffer formulation containing PBS, BSA, glycerol, and sodium azide (ab151567).

Perform heat mediated antigen retrieval with citrate buffer pH 6 before commencing with IHC staining protocol.

Immunohistochemistry (Formalin/PFA-fixed paraffin-embedded sections) - Anti-NUP50 antibody [EPR9525] - BSA and Azide free (AB240121)
  • IHC-P

Unknown

Immunohistochemistry (Formalin/PFA-fixed paraffin-embedded sections) - Anti-NUP50 antibody [EPR9525] - BSA and Azide free (AB240121)

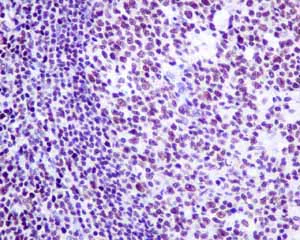
Immunohistochemical analysis of paraffin embedded normal Human tonsil tissue using ab151567 showing +ve staining.

This data was developed using the same antibody clone in a different buffer formulation containing PBS, BSA, glycerol, and sodium azide (ab151567).

Perform heat mediated antigen retrieval with citrate buffer pH 6 before commencing with IHC staining protocol.

Immunohistochemistry (Formalin/PFA-fixed paraffin-embedded sections) - Anti-NUP50 antibody [EPR9525] - BSA and Azide free (AB240121)
  • IHC-P

Unknown

Immunohistochemistry (Formalin/PFA-fixed paraffin-embedded sections) - Anti-NUP50 antibody [EPR9525] - BSA and Azide free (AB240121)

Immunohistochemical analysis of paraffin-embedded Human colon tissue labeling NUP50 with ab151567 at 1/50 dilution.
Perform heat mediated antigen retrieval with citrate buffer pH 6 before commencing with IHC staining protocol.

This data was developed using the same antibody clone in a different buffer formulation containing PBS, BSA, glycerol, and sodium azide (ab151567).

Key facts

Host species

Rabbit

Clonality

Monoclonal

Clone number

EPR9525

Isotype

IgG

Carrier free

Yes

Reacts with

Human

Applications

WB, ICC/IF, IHC-P

applications

Immunogen

The exact immunogen used to generate this antibody is proprietary information.

Reactivity data

{ "title": "Reactivity Data", "filters": { "stats": ["", "Species", "Dilution Info", "Notes"], "tabs": { "all-applications": {"fullname" : "All Applications", "shortname": "All Applications"}, "IHCP" : {"fullname" : "Immunohistochemistry (Formalin/PFA-fixed paraffin-embedded sections)", "shortname":"IHC-P"}, "FlowCyt" : {"fullname" : "Flow Cytometry", "shortname":"Flow Cyt"}, "WB" : {"fullname" : "Western blot", "shortname":"WB"}, "ICCIF" : {"fullname" : "Immunocytochemistry/ Immunofluorescence", "shortname":"ICC/IF"} }, "product-promise": { "all": "all", "testedAndGuaranteed": "tested", "guaranteed": "expected", "predicted": "predicted", "notRecommended": "not-recommended" } }, "values": { "Human": { "IHCP-species-checked": "testedAndGuaranteed", "IHCP-species-dilution-info": "", "IHCP-species-notes": "<p></p> Perform heat-mediated antigen retrieval with citrate buffer pH 6 before commencing with IHC staining protocol.", "FlowCyt-species-checked": "notRecommended", "FlowCyt-species-dilution-info": "", "FlowCyt-species-notes": "<p></p>", "WB-species-checked": "guaranteed", "WB-species-dilution-info": "", "WB-species-notes": "<p></p>", "ICCIF-species-checked": "testedAndGuaranteed", "ICCIF-species-dilution-info": "", "ICCIF-species-notes": "<p></p>" }, "Mouse": { "IHCP-species-checked": "predicted", "IHCP-species-dilution-info": "", "IHCP-species-notes": "", "FlowCyt-species-checked": "notRecommended", "FlowCyt-species-dilution-info": "", "FlowCyt-species-notes": "", "WB-species-checked": "predicted", "WB-species-dilution-info": "", "WB-species-notes": "", "ICCIF-species-checked": "predicted", "ICCIF-species-dilution-info": "", "ICCIF-species-notes": "" }, "Rat": { "IHCP-species-checked": "predicted", "IHCP-species-dilution-info": "", "IHCP-species-notes": "", "FlowCyt-species-checked": "notRecommended", "FlowCyt-species-dilution-info": "", "FlowCyt-species-notes": "", "WB-species-checked": "predicted", "WB-species-dilution-info": "", "WB-species-notes": "", "ICCIF-species-checked": "predicted", "ICCIF-species-dilution-info": "", "ICCIF-species-notes": "" } } }

Product details

ab240121 is the carrier-free version of ab151567.

Patented technology
Our RabMAb® technology is a patented hybridoma-based technology for making rabbit monoclonal antibodies. For details on our patents, please refer to RabMAb® patents.

What are the advantages of a recombinant monoclonal antibody?
This product is a recombinant monoclonal antibody, which offers several advantages including:

  • - High batch-to-batch consistency and reproducibility
  • - Improved sensitivity and specificity
  • - Long-term security of supply
  • - Animal-free batch production

For more information, read more on recombinant antibodies.

Conjugation ready
Our carrier-free antibodies are typically supplied in a PBS-only formulation, purified and free of BSA, sodium azide and glycerol. This conjugation-ready format is designed for use with fluorochromes, metal isotopes, oligonucleotides, and enzymes, which makes them ideal for antibody labelling, functional and cell-based assays, flow-based assays (e.g. mass cytometry) and Multiplex Imaging applications.

Use our conjugation kits for antibody conjugates that are ready-to-use in as little as 20 minutes with 1 minute hands-on-time and 100% antibody recovery: available for fluorescent dyes, HRP, biotin and gold.

Compatibility
This product is compatible with the Maxpar® Antibody Labeling Kit from Fluidigm, without the need for antibody preparation. Maxpar® is a trademark of Fluidigm Canada Inc.

Properties and storage information

Form
Liquid
Purification technique
Affinity purification Protein A
Storage buffer
pH: 7.2 - 7.4 Constituents: PBS
Shipped at conditions
Blue Ice
Appropriate short-term storage conditions
+4°C
Appropriate long-term storage conditions
+4°C
Storage information
Do Not Freeze

Supplementary information

This supplementary information is collated from multiple sources and compiled automatically.

Nucleoporin 50 also known as NUP50 is a nucleoporin protein that plays an essential role in the nuclear pore complex. With a molecular mass of approximately 50 kDa it is primarily found in the nuclear envelope. NUP50 functions mechanically as part of the assembly and regulation of nuclear transport facilitating the translocation of macromolecules between the nucleus and cytoplasm.
Biological function summary

This protein serves an integral role in nucleocytoplasmic transport functioning as a component of the nuclear pore complex. NUP50 interacts with karyopherins which are transport receptors to regulate the directionality and specificity of molecular trafficking between the nucleus and cytoplasm. It also helps disassemble importin-cargo complexes within the nucleus important for the recycling of importins.

Pathways

NUP50 participates in the nuclear transport pathways that are vital for gene expression and cell cycle regulation. It associates closely with the other nucleoporins and transport protein receptors such as Importin-β within these pathways. NUP50 also contributes to DNA replication and repair pathways by facilitating the import of necessary proteins into the nucleus.

NUP50 is associated with certain cancers and neurodegenerative disorders. Its altered expression can impact the normal functioning of the nuclear transport system leading to these pathological conditions. Dysregulation or mutations of NUP50 can interact with other nucleoporins like NUP98 connecting it to disorders involving abnormal cellular proliferation and differentiation.

Product protocols

For this product, it's our understanding that no specific protocols are required. You can visit:

Target data

Component of the nuclear pore complex that has a direct role in nuclear protein import (PubMed : 20016008). Actively displaces NLSs from importin-alpha, and facilitates disassembly of the importin-alpha : beta-cargo complex and importin recycling (PubMed : 20016008). Interacts with regulatory proteins of cell cycle progression including CDKN1B (By similarity). This interaction is required for correct intracellular transport and degradation of CDKN1B (By similarity).
See full target information NUP50

Publications (1)

Recent publications for all applications. Explore the full list and refine your search

OncoTargets and therapy 13:5323-5335 PubMed32606750

2020

Connexin 43 Modulates the Cellular Resistance to Paclitaxel via Targeting β-Tubulin in Triple-Negative Breast Cancer.

Applications

Unspecified application

Species

Unspecified reactive species

Yun Fu,Xiaoyin Sun,Zhangyuan Gu,Zhigang Zhuang
View all publications

Product promise

We are committed to supporting your work with high-quality reagents, and we're here for you every step of the way. In the unlikely event that one of our products does not perform as expected, you're protected by our Product Promise.
For full details, please see our Terms & Conditions

Please note: All products are 'FOR RESEARCH USE ONLY. NOT FOR USE IN DIAGNOSTIC OR THERAPEUTIC PROCEDURES'.

For licensing inquiries, please contact partnerships@abcam.com