JavaScript is disabled in your browser. Please enable JavaScript to view this website.
AB226102

Anti-NUP98 antibody [EPR6678] - BSA and Azide free

Be the first to review this product! Submit a review

|

(1 Publication)

Rabbit Recombinant Monoclonal NUP98 antibody. Carrier free. Suitable for IHC-P, ICC/IF, WB and reacts with Human samples. Cited in 1 publication.

View Alternative Names

ADAR2, NUP98, Nuclear pore complex protein Nup98-Nup96

3 Images
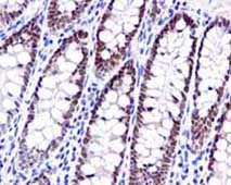
Immunohistochemistry (Formalin/PFA-fixed paraffin-embedded sections) - Anti-NUP98 antibody [EPR6678] - BSA and Azide free (AB226102)
  • IHC-P

Unknown

Immunohistochemistry (Formalin/PFA-fixed paraffin-embedded sections) - Anti-NUP98 antibody [EPR6678] - BSA and Azide free (AB226102)

This data was developed using ab124980, the same antibody clone in a different buffer formulation.

ab124980, at 1/50 to 1/100, staining NUP98 in Human colon tissue by immunohistochemistry [Paraffin Embedded Tissues (IHC-P)].

Perform heat mediated antigen retrieval with citrate buffer pH 6 before commencing with IHC staining protocol.

Immunocytochemistry/ Immunofluorescence - Anti-NUP98 antibody [EPR6678] - BSA and Azide free (AB226102)
  • ICC/IF

Lab

Immunocytochemistry/ Immunofluorescence - Anti-NUP98 antibody [EPR6678] - BSA and Azide free (AB226102)

This data was developed using ab124980, the same antibody clone in a different buffer formulation.

ab124980 staining NUP98 in SH-SY5Y, human neuroblastoma epithelial cells by ICC/IF (Immunocytochemistry/immunofluorescence). Cells were fixed with 4% Paraformaldehyde, permeabilized with 0.1% Triton X-100. Samples were incubated with primary antibody (1/500). ab150077, an Alexa Fluor® 594-conjugated Goat anti rabbit (1 : 1000) (ab150077) was used as the secondary antibody. Counterstained with ab195889, an Anti-alpha Tubulin antibody [DM1A] - Microtubule Marker (Alexa Fluor® 594) (1/100). Nuclear counterstained with DAPI.

Western blot - Anti-NUP98 antibody [EPR6678] - BSA and Azide free (AB226102)
  • WB

Unknown

Western blot - Anti-NUP98 antibody [EPR6678] - BSA and Azide free (AB226102)

This data was developed using ab124980, the same antibody clone in a different buffer formulation.

All lanes:

Western blot - Anti-NUP98 antibody [EPR6678] - Nuclear Pore Marker (<a href='/en-us/products/primary-antibodies/nup98-antibody-epr6678-nuclear-pore-marker-ab124980'>ab124980</a>) at 1/1000 dilution

Lane 1:

HeLa cell lysate at 10 µg

Lane 2:

SH-SY5Y cell lysate at 10 µg

Lane 3:

Caco-2 cell lysate at 10 µg

Predicted band size: 198 kDa

false

  • Unconjugated

    Anti-NUP98 antibody [EPR6678] - Nuclear Pore Marker

Key facts

Host species

Rabbit

Clonality

Monoclonal

Clone number

EPR6678

Isotype

IgG

Carrier free

Yes

Reacts with

Human

Applications

ICC/IF, WB, IHC-P

applications

Immunogen

The exact immunogen used to generate this antibody is proprietary information.

Specificity

This antibody recognises Nuclear pore complex protein Nup96 of Nuclear pore complex protein Nup98-Nup96.

Reactivity data

{ "title": "Reactivity Data", "filters": { "stats": ["", "Species", "Dilution Info", "Notes"], "tabs": { "all-applications": {"fullname" : "All Applications", "shortname": "All Applications"}, "IHCP" : {"fullname" : "Immunohistochemistry (Formalin/PFA-fixed paraffin-embedded sections)", "shortname":"IHC-P"}, "ICCIF" : {"fullname" : "Immunocytochemistry/ Immunofluorescence", "shortname":"ICC/IF"}, "IP" : {"fullname" : "Immunoprecipitation", "shortname":"IP"}, "FlowCyt" : {"fullname" : "Flow Cytometry", "shortname":"Flow Cyt"}, "WB" : {"fullname" : "Western blot", "shortname":"WB"} }, "product-promise": { "all": "all", "testedAndGuaranteed": "tested", "guaranteed": "expected", "predicted": "predicted", "notRecommended": "not-recommended" } }, "values": { "Human": { "IHCP-species-checked": "testedAndGuaranteed", "IHCP-species-dilution-info": "", "IHCP-species-notes": "<p>Antigen retrieval is recommended.</p>", "ICCIF-species-checked": "testedAndGuaranteed", "ICCIF-species-dilution-info": "", "ICCIF-species-notes": "<p></p>", "IP-species-checked": "notRecommended", "IP-species-dilution-info": "", "IP-species-notes": "<p></p>", "FlowCyt-species-checked": "notRecommended", "FlowCyt-species-dilution-info": "", "FlowCyt-species-notes": "<p></p>", "WB-species-checked": "testedAndGuaranteed", "WB-species-dilution-info": "", "WB-species-notes": "<p></p>" } } }

Product details

ab226102 is the carrier-free version of ab124980.

Species reactivity
Mouse, Rat: We have preliminary internal testing data to indicate this antibody may not react with these species.
Please contact us for more information.

Patented technology
Our RabMAb® technology is a patented hybridoma-based technology for making rabbit monoclonal antibodies. For details on our patents, please refer to RabMAb® patents.

What are the advantages of a recombinant monoclonal antibody?
This product is a recombinant monoclonal antibody, which offers several advantages including:

  • - High batch-to-batch consistency and reproducibility
  • - Improved sensitivity and specificity
  • - Long-term security of supply
  • - Animal-free batch production

For more information, read more on recombinant antibodies.

Conjugation ready
Our carrier-free antibodies are typically supplied in a PBS-only formulation, purified and free of BSA, sodium azide and glycerol. This conjugation-ready format is designed for use with fluorochromes, metal isotopes, oligonucleotides, and enzymes, which makes them ideal for antibody labelling, functional and cell-based assays, flow-based assays (e.g. mass cytometry) and Multiplex Imaging applications.

Use our conjugation kits for antibody conjugates that are ready-to-use in as little as 20 minutes with 1 minute hands-on-time and 100% antibody recovery: available for fluorescent dyes, HRP, biotin and gold.

Compatibility
This product is compatible with the Maxpar® Antibody Labeling Kit from Fluidigm, without the need for antibody preparation. Maxpar® is a trademark of Fluidigm Canada Inc.

Properties and storage information

Form
Liquid
Purification technique
Affinity purification Protein A
Storage buffer
pH: 7.2 - 7.4 Constituents: PBS
Shipped at conditions
Blue Ice
Appropriate short-term storage conditions
+4°C
Appropriate long-term storage conditions
+4°C
Storage information
Do Not Freeze

Supplementary information

This supplementary information is collated from multiple sources and compiled automatically.

The NUP98 protein also known as nucleoporin 98 plays an important role in cellular mechanics. It forms a part of the nuclear pore complex important for regulating nucleocytoplasmic transport. With an approximate mass of 98 kDa NUP98 expresses mainly in the nucleus across various cell types. Alternative splicing of the NUP98 gene can lead to different isoforms. In some research contexts NUP98 is also referred to by related terms such as NUP96. Its expression appears widespread in many tissues replacing or complementing other nucleoporins.
Biological function summary

The NUP98 protein contributes to nuclear-cytoplasmic transport processes as part of the nuclear pore complex. In association with other nucleoporins NUP98 acts in cargo transport between the nucleus and cytoplasm facilitating the movement of RNA and proteins. It also participates in the assembly and disassembly cycles of the nuclear pore complex (NPC). Known interactions include those with components like the 13C2 complex and other mRNA export factors. NUP98's function impacts NPC architecture and its transport efficiency.

Pathways

NUP98 has essential roles beyond mechanical transport. It integrates into the mRNA export pathway collaborating with proteins like CRM1 (exportin-1) to regulate mRNA export. Additionally it plays a role in gene expression regulation by binding to gene promoters involving pathways linked to protein synthesis and cell cycle regulation. Connections with histone modifications suggest its involvement in chromatin remodeling linking it further to the regulation of gene expression pathways.

NUP98 associations are significant. It is implicated in certain hematological malignancies like acute myeloid leukemia (AML) where it forms fusion proteins with partners such as HOXA9 and NSD1. Genetic rearrangements involving NUP98 contribute to oncogenesis altering normal cell function. Other conditions including dysregulation in autoimmune diseases suggest potential links to aberrant signaling pathways. Understanding these disease links involves studying interactions with proteins like MLL another significant player in leukemia pathogenesis.

Product protocols

For this product, it's our understanding that no specific protocols are required. You can visit:

Target data

Plays a role in the nuclear pore complex (NPC) assembly and/or maintenance. NUP98 and NUP96 are involved in the bidirectional transport across the NPC (PubMed : 33097660). May anchor NUP153 and TPR to the NPC. In cooperation with DHX9, plays a role in transcription and alternative splicing activation of a subset of genes (PubMed : 28221134). Involved in the localization of DHX9 in discrete intranuclear foci (GLFG-body) (PubMed : 28221134).. (Microbial infection) Interacts with HIV-1 capsid protein P24 and nucleocapsid protein P7 and may thereby promote the integration of the virus in the host nucleus (in vitro) (PubMed : 23523133). Binding affinity to HIV-1 CA-NC complexes bearing the capsid change Asn-74-Asp is reduced (in vitro) (PubMed : 23523133).
See full target information NUP98

Publications (1)

Recent publications for all applications. Explore the full list and refine your search

Scientific reports 15:18296 PubMed40419589

2025

Comparison of the effects of fractional microneedle radiofrequency and microneedling on modulating the senescent fibroblast milieu in aged skin.

Applications

Unspecified application

Species

Unspecified reactive species

Jung Min Hwang,Soo Hyun Lee,Eun Jae Baek,Hye-Rin Charlotte Kim,Jang-Hee Oh,Ji Su Lee,Si-Hyung Lee
View all publications

Product promise

We are committed to supporting your work with high-quality reagents, and we're here for you every step of the way. In the unlikely event that one of our products does not perform as expected, you're protected by our Product Promise.
For full details, please see our Terms & Conditions

Please note: All products are 'FOR RESEARCH USE ONLY. NOT FOR USE IN DIAGNOSTIC OR THERAPEUTIC PROCEDURES'.

For licensing inquiries, please contact partnerships@abcam.com