JavaScript is disabled in your browser. Please enable JavaScript to view this website.
AB324680

Anti-NUR77 antibody [EPR29846-533]

  • RabMAb
  • Recombinant
  • 20ul selling size
  • KO Validated
  • What is this?

Be the first to review this product! Submit a review

|

(0 Publication)

Rabbit Recombinant Monoclonal NUR77 antibody. Suitable for IP, ICC/IF, IHC-P, WB and reacts with Mouse, Human, Rat samples.

View Alternative Names

Gfrp, Hmr, N10, Nur77, Nuclear receptor subfamily 4 group A member 1, Nuclear hormone receptor NUR/77, Nuclear protein N10, Orphan nuclear receptor HMR, GFRP1, HMR, NAK1, NR4A1, Nuclear receptor subfamily 4immunitygroup A member 1, Early response protein NAK1, Nuclear hormone receptor NUR/77, Orphan nuclear receptor HMR, Orphan nuclear receptor TR3, ST-59, Testicular receptor 3, Nur77, Hmr, Ngfib, Nuclear receptor subfamily 4 group A member 1, NUR77, Nerve growth factor-induced protein I-B, Orphan nuclear receptor HMR, NGFI-B

13 Images
Immunocytochemistry/ Immunofluorescence - Anti-NUR77 antibody [EPR29846-533] (AB324680)
  • ICC/IF

Lab

Immunocytochemistry/ Immunofluorescence - Anti-NUR77 antibody [EPR29846-533] (AB324680)

Immunofluorescent analysis of 4% Paraformaldehyde-fixed, 0.1% TritonX-100 permeabilized Parental HeLa (human cervical adenocarcinoma epithelial cell) and NR4A1 KO HeLa (NR4A1 knockout human cervical adenocarcinoma epithelial cell) cells labelling NUR77 with ab324680 at 1/50 (10.08 µg/ml) dilution, followed by ab150081 Goat Anti-Rabbit IgG H&L (Alexa Fluor® 488) preadsorbed antibody at 1/1000 dilution (Green).

Confocal image showing nuclear staining in wild-type HeLa cells(shown in green) with no staining in NR4A1 knockout HeLa cells. The counterstain was observed in magenta. Nuclear DNA was labelled with DAPI (shown in blue). Image was taken with a confocal microscope (Leica-Microsystems, TCS SP8).

ab7291 Anti-alpha Tubulin mouse monoclonal antibody was used to counterstain tubulin at 1/1000 (1 ug/ml) dilution, followed by ab150120 Goat Anti-Mouse IgG H&L (Alexa Fluor® 594) at 1/1000 (2 ug/ml) dilution (Magenta).

Immunoprecipitation - Anti-NUR77 antibody [EPR29846-533] (AB324680)
  • IP

Lab

Immunoprecipitation - Anti-NUR77 antibody [EPR29846-533] (AB324680)

NUR77 was immunoprecipitated from 0.35 mg HeLa (human cervical adenocarcinoma epithelial cell) whole cell lysate with ab324680 at 1/30 dilution (2µg in 0.35mg lysates). Western blot was performed on the immunoprecipitate using ab324680 at 1/324680 1000 dilution. VeriBlot for IP secondary antibody(HRP)(ab131366) was used at 1/5000 dilution.

Lane 1 : HeLa (human cervical adenocarcinoma epithelial cell) whole cell lysate
Lane 2 : ab324680 at 1/30 IP in HeLa (human cervical adenocarcinoma epithelial cell) whole cell lysate
Lane 3 : Rabbit monoclonal IgG (ab172730) instead of ab324680 in HeLa whole cell lysate

Blocking and dilution buffer and concentration : 5% NFDM/TBST.

Exposure time : 180 seconds.

All lanes:

Immunoprecipitation - Anti-NUR77 antibody [EPR29846-533] (ab324680) at 1/1000 dilution

Lane 1:

HeLa (human cervical adenocarcinoma epithelial cell) whole cell lysate at 10 µg

Lane 2:

ab324680 at 1/30 IP in HeLa (human cervical adenocarcinoma epithelial cell) whole cell lysate

Lane 3:

Rabbit monoclonal IgG (<a href='/en-us/products/primary-antibodies/rabbit-igg-monoclonal-epr25a-isotype-control-ab172730'>ab172730</a>) instead of ab324680 in HeLa whole cell lysate

Secondary

All lanes:

Immunoprecipitation - VeriBlot for IP Detection Reagent (HRP) (<a href='/en-us/products/reagents/veriblot-for-ip-detection-reagent-hrp-ab131366'>ab131366</a>) at 1/5000 dilution

Observed band size: 75 kDa

false

Exposure time: 180s

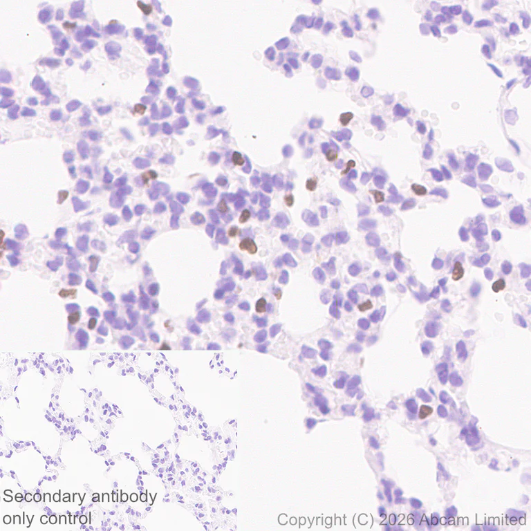
Immunohistochemistry (Formalin/PFA-fixed paraffin-embedded sections) - Anti-NUR77 antibody [EPR29846-533] (AB324680)
  • IHC-P

Lab

Immunohistochemistry (Formalin/PFA-fixed paraffin-embedded sections) - Anti-NUR77 antibody [EPR29846-533] (AB324680)

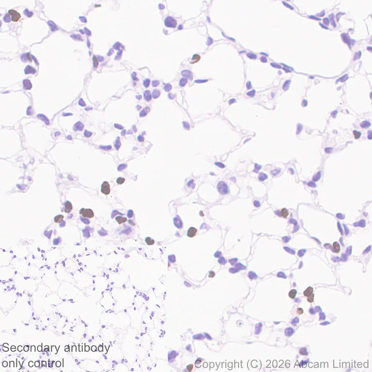
Immunohistochemical analysis of paraffin-embedded Mouse lung tissue labeling NUR77 with ab324680 at 1/500 (1.008 µg/ml) dilution, followed by a ready to use LeicaDS9800 (Bond™ Polymer Refine Detection).

Positive staining on mouse lung. The primary antibody was incubated for 30 mins at room temperature.

The immunostaining was performed on a Leica Biosystems BOND® RX instrument

Counterstained with Hematoxylin.

Secondary antibody only control : Secondary antibody is a ready to use LeicaDS9800 (Bond™ Polymer Refine Detection).

Heat mediated antigen retrieval was performed with Tris-EDTA buffer (pH 9.0, Epitope Retrieval Solution2) for 20 mins

Immunohistochemistry (Formalin/PFA-fixed paraffin-embedded sections) - Anti-NUR77 antibody [EPR29846-533] (AB324680)
  • IHC-P

Lab

Immunohistochemistry (Formalin/PFA-fixed paraffin-embedded sections) - Anti-NUR77 antibody [EPR29846-533] (AB324680)

Immunohistochemical analysis of paraffin-embedded Mouse cerebrum tissue labeling NUR77 with ab324680 at 1/500 (1.008 µg/ml) dilution, followed by a ready to use LeicaDS9800 (Bond™ Polymer Refine Detection).

Positive staining on mouse cerebrum. The primary antibody was incubated for 30 mins at room temperature.

The immunostaining was performed on a Leica Biosystems BOND® RX instrument

Counterstained with Hematoxylin.

Secondary antibody only control : Secondary antibody is a ready to use LeicaDS9800 (Bond™ Polymer Refine Detection).

Heat mediated antigen retrieval was performed with Tris-EDTA buffer (pH 9.0, Epitope Retrieval Solution2) for 20 mins

Immunocytochemistry/ Immunofluorescence - Anti-NUR77 antibody [EPR29846-533] (AB324680)
  • ICC/IF

Lab

Immunocytochemistry/ Immunofluorescence - Anti-NUR77 antibody [EPR29846-533] (AB324680)

Immunofluorescent analysis of 4% Paraformaldehyde-fixed, 0.1% TritonX-100 permeabilized PC-12 (rat adrenal gland pheochromocytoma cell) and PC-12 treated with MG-132 (10uM) for 6hours cells labelling NUR77 with ab324680 at 1/50 (10.08 µg/ml) dilution, followed by ab150081 Goat Anti-Rabbit IgG H&L (Alexa Fluor® 488) preadsorbed antibody at 1/1000 dilution (Green).

Confocal image showing increased nuclear staining in PC-12 cell line (shown in green) treated with MG-132 (10uM) for 6h. The counterstain was observed in magenta. Nuclear DNA was labelled with DAPI (shown in blue). Image was taken with a confocal microscope (Leica-Microsystems, TCS SP8).

ab7291 Anti-alpha Tubulin mouse monoclonal antibody was used to counterstain tubulin at 1/1000 (1 ug/ml) dilution, followed by ab150120 Goat Anti-Mouse IgG H&L (Alexa Fluor® 594) at 1/1000 (2 ug/ml) dilution (Magenta).

Immunocytochemistry/ Immunofluorescence - Anti-NUR77 antibody [EPR29846-533] (AB324680)
  • ICC/IF

Lab

Immunocytochemistry/ Immunofluorescence - Anti-NUR77 antibody [EPR29846-533] (AB324680)

Immunofluorescent analysis of 4% Paraformaldehyde-fixed, 0.1% TritonX-100 permeabilized NIH/3T3 (mouse embryonic fibroblast) and NIH/3T3 treated with MG-132 (10uM) for 6hours cells labelling NUR77 with ab324680 at 1/50 (10.08 µg/ml) dilution, followed by ab150081 Goat Anti-Rabbit IgG H&L (Alexa Fluor® 488) preadsorbed antibody at 1/1000 dilution (Green).

Confocal image showing increased nuclear staining in NIH/3T3 cell line (shown in green) treated with MG-132 (10uM) for 6h. The counterstain was observed in magenta. Nuclear DNA was labelled with DAPI (shown in blue). Image was taken with a confocal microscope (Leica-Microsystems, TCS SP8).

ab7291 Anti-alpha Tubulin mouse monoclonal antibody was used to counterstain tubulin at 1/1000 (1 ug/ml) dilution, followed by ab150120 Goat Anti-Mouse IgG H&L (Alexa Fluor® 594) at 1/1000 (2 ug/ml) dilution (Magenta).

Immunohistochemistry (Formalin/PFA-fixed paraffin-embedded sections) - Anti-NUR77 antibody [EPR29846-533] (AB324680)
  • IHC-P

Lab

Immunohistochemistry (Formalin/PFA-fixed paraffin-embedded sections) - Anti-NUR77 antibody [EPR29846-533] (AB324680)

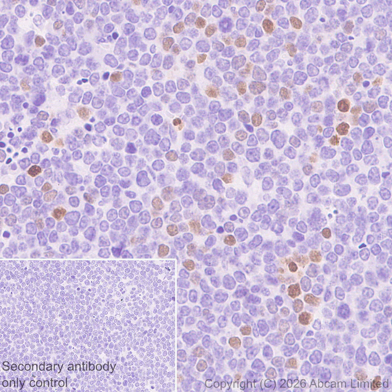
Immunohistochemical analysis of paraffin-embedded Mouse T cell lymphoma tissue labeling NUR77 with ab324680 at 1/500 (1.008 µg/ml) dilution, followed by a ready to use LeicaDS9800 (Bond™ Polymer Refine Detection).

Positive staining on mouse T cell lymphoma. The primary antibody was incubated for 30 mins at room temperature.

The immunostaining was performed on a Leica Biosystems BOND® RX instrument

Counterstained with Hematoxylin.

Secondary antibody only control : Secondary antibody is a ready to use LeicaDS9800 (Bond™ Polymer Refine Detection).

Heat mediated antigen retrieval was performed with Tris-EDTA buffer (pH 9.0, Epitope Retrieval Solution2) for 20 mins

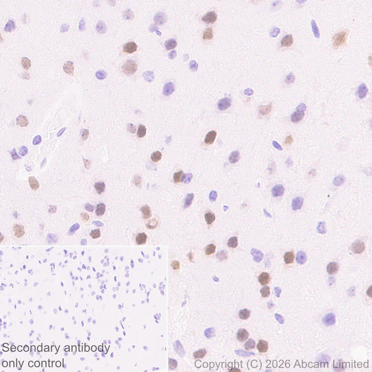
Immunohistochemistry (Formalin/PFA-fixed paraffin-embedded sections) - Anti-NUR77 antibody [EPR29846-533] (AB324680)
  • IHC-P

Lab

Immunohistochemistry (Formalin/PFA-fixed paraffin-embedded sections) - Anti-NUR77 antibody [EPR29846-533] (AB324680)

Immunohistochemical analysis of paraffin-embedded Rat lung tissue labeling NUR77 with ab324680 at 1/500 (1.008 µg/ml) dilution, followed by a ready to use LeicaDS9800 (Bond™ Polymer Refine Detection).

Positive staining on rat lung. The primary antibody was incubated for 30 mins at room temperature.

The immunostaining was performed on a Leica Biosystems BOND® RX instrument

Counterstained with Hematoxylin.

Secondary antibody only control : Secondary antibody is a ready to use LeicaDS9800 (Bond™ Polymer Refine Detection).

Heat mediated antigen retrieval was performed with Tris-EDTA buffer (pH 9.0, Epitope Retrieval Solution2) for 20 mins

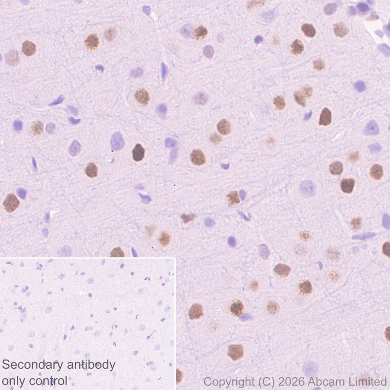
Immunohistochemistry (Formalin/PFA-fixed paraffin-embedded sections) - Anti-NUR77 antibody [EPR29846-533] (AB324680)
  • IHC-P

Lab

Immunohistochemistry (Formalin/PFA-fixed paraffin-embedded sections) - Anti-NUR77 antibody [EPR29846-533] (AB324680)

Immunohistochemical analysis of paraffin-embedded Rat cerebrum tissue labeling NUR77 with ab324680 at 1/500 (1.008 µg/ml) dilution, followed by a ready to use LeicaDS9800 (Bond™ Polymer Refine Detection).

Positive staining on rat cerebrum. The primary antibody was incubated for 30 mins at room temperature.

The immunostaining was performed on a Leica Biosystems BOND® RX instrument

Counterstained with Hematoxylin.

Secondary antibody only control : Secondary antibody is a ready to use LeicaDS9800 (Bond™ Polymer Refine Detection).

Heat mediated antigen retrieval was performed with Tris-EDTA buffer (pH 9.0, Epitope Retrieval Solution2) for 20 mins

Immunoprecipitation - Anti-NUR77 antibody [EPR29846-533] (AB324680)
  • IP

Lab

Immunoprecipitation - Anti-NUR77 antibody [EPR29846-533] (AB324680)

NUR77 was immunoprecipitated from 0.35 mg NIH/3T3 (mouse embryonic fibroblast) whole cell lysate with ab324680 at 1/30 dilution (2µg in 0.35mg lysates). Western blot was performed on the immunoprecipitate using ab324680 at 1/324680 1000 dilution. VeriBlot for IP secondary antibody(HRP)(ab131366) was used at 1/5000 dilution.

Lane 1 : NIH/3T3 (mouse embryonic fibroblast) whole cell lysate
Lane 2 : ab324680 at 1/30 IP in NIH/3T3 (mouse embryonic fibroblast) whole cell lysate
Lane 3 : Rabbit monoclonal IgG (ab172730) instead of ab324680 in NIH/3T3 whole cell lysate

Blocking and dilution buffer and concentration : 5% NFDM/TBST.

Exposure time : 180 seconds.

All lanes:

Immunoprecipitation - Anti-NUR77 antibody [EPR29846-533] (ab324680) at 1/1000 dilution

Lane 1:

NIH/3T3 (mouse embryonic fibroblast) whole cell lysate at 10 µg

Lane 2:

ab324680 at 1/30 IP in NIH/3T3 (mouse embryonic fibroblast) whole cell lysate

Lane 3:

Rabbit monoclonal IgG (<a href='/en-us/products/primary-antibodies/rabbit-igg-monoclonal-epr25a-isotype-control-ab172730'>ab172730</a>) instead of ab324680 in NIH/3T3 whole cell lysate

Secondary

All lanes:

Immunoprecipitation - VeriBlot for IP Detection Reagent (HRP) (<a href='/en-us/products/reagents/veriblot-for-ip-detection-reagent-hrp-ab131366'>ab131366</a>) at 1/5000 dilution

Observed band size: 75 kDa

false

Exposure time: 180s

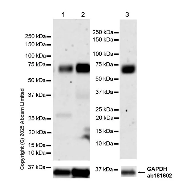
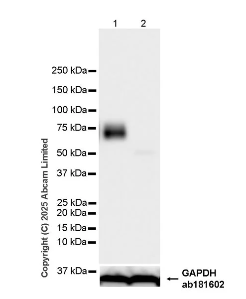
Western blot - Anti-NUR77 antibody [EPR29846-533] (AB324680)
  • WB

Lab

Western blot - Anti-NUR77 antibody [EPR29846-533] (AB324680)

Blocking and diluting buffer and concentration : 5% NFDM/TBST.

Performed under reducing conditions.

In Western blot, ab324680 was shown to bind specifically to NUR77. Target of interest was observed at 65-75 kDa in wild-type HeLa cell lysates (lane 1) with no signal observed at this size in NR4A1 knockout cell line (lane 2) (lane 2, knockout cell line ab264021 / knockout cell lysate ab264509).

In Western blot, Anti-GAPDH antibody [EPR16891] - Loading Control (ab181602) (1 : 200000) (36KDa).

All lanes:

Western blot - Anti-NUR77 antibody [EPR29846-533] (ab324680) at 1/1000 dilution

Lane 1:

Wild type HeLa (human cervical adenocarcinoma epithelial cell) whole cell lysate at 50 µg

Lane 2:

NR4A1 knockout HeLa whole cell lysate at 50 µg

Secondary

All lanes:

Western blot - Goat Anti-Rabbit IgG H&L (HRP) (<a href='/en-us/products/secondary-antibodies/goat-rabbit-igg-h-l-hrp-ab97051'>ab97051</a>) at 1/100000 dilution

Observed band size: 65-75 kDa,36 kDa

false

Exposure time: 15s

Western blot - Anti-NUR77 antibody [EPR29846-533] (AB324680)
  • WB

Lab

Western blot - Anti-NUR77 antibody [EPR29846-533] (AB324680)

Blocking and diluting buffer and concentration : 5% NFDM/TBST.

The expression profile/molecular weight observed is consistent with what has been described in the literature (PMID : 30224829 29669342).

In Western blot, Anti-GAPDH antibody [EPR16891] - Loading Control (ab181602) (1 : 200000) (36KDa).

Exposure time : Lanes 1-2 : 3 seconds. Lanes 3-6 : 15 seconds.

All lanes:

Western blot - Anti-NUR77 antibody [EPR29846-533] (ab324680) at 1/1000 dilution

Lane 1:

Untreated NIH/3T3 (mouse embryonic fibroblast) whole cell lysate at 50 µg

Lane 2:

NIH/3T3 treated with 10 µM MG-132 for 6 hours, whole cell lysate at 50 µg

Lane 3:

Untreated PC-12 (rat adrenal gland pheochromocytoma cell) whole cell lysate at 50 µg

Lane 4:

PC-12 treated with 10 µM MG-132 for 6 hours, whole cell lysate at 50 µg

Lane 5:

Untreated 3T3-L1 (mouse embryonic fibroblast) whole cell lysate at 50 µg

Lane 6:

3T3-L1 treated with 100 nM TPA for 2 hours, whole cell lysate at 50 µg

Secondary

All lanes:

Western blot - Goat Anti-Rabbit IgG H&L (HRP) (<a href='/en-us/products/secondary-antibodies/goat-rabbit-igg-h-l-hrp-ab97051'>ab97051</a>) at 1/100000 dilution

Observed band size: 65-75 kDa,36 kDa

false

Western blot - Anti-NUR77 antibody [EPR29846-533] (AB324680)
  • WB

Lab

Western blot - Anti-NUR77 antibody [EPR29846-533] (AB324680)

Blocking and diluting buffer and concentration : 5% NFDM/TBST.

The expression profile/molecular weight observed is consistent with what has been described in the literature (PMID : 30224829 29669342).

In Western blot, Anti-GAPDH antibody [EPR16891] - Loading Control (ab181602) (1 : 200000) (36KDa).

All lanes:

Western blot - Anti-NUR77 antibody [EPR29846-533] (ab324680) at 1/1000 dilution

Lane 1:

Mouse brain tissue lysate at 50 µg

Lane 2:

Rat skeletal muscle tissue lysate at 50 µg

Lane 3:

Mouse Ovary tissue lysate at 50 µg

Secondary

All lanes:

Goat Anti-Rabbit IgG (HRP) with minimal cross-reactivity with human IgG at 1/2000 dilution

Observed band size: 65-75 kDa,36 kDa

false

Exposure time: 180s

Key facts

Host species

Rabbit

Clonality

Monoclonal

Clone number

EPR29846-533

Isotype

IgG

Carrier free

No

Reacts with

Mouse, Rat, Human

Applications

ICC/IF, IP, IHC-P, WB

applications

Immunogen

The exact immunogen used to generate this antibody is proprietary information.

Specificity

Unsuitable for Human IHC-P.

Reactivity data

{ "title": "Reactivity Data", "filters": { "stats": ["", "Species", "Dilution Info", "Notes"], "tabs": { "all-applications": {"fullname" : "All Applications", "shortname": "All Applications"}, "IP" : {"fullname" : "Immunoprecipitation", "shortname":"IP"}, "ICCIF" : {"fullname" : "Immunocytochemistry/ Immunofluorescence", "shortname":"ICC/IF"}, "IHCP" : {"fullname" : "Immunohistochemistry (Formalin/PFA-fixed paraffin-embedded sections)", "shortname":"IHC-P"}, "WB" : {"fullname" : "Western blot", "shortname":"WB"}, "ChIPseq" : {"fullname" : "ChIP-sequencing", "shortname":"ChIP-seq"}, "ChICCUTRUN" : {"fullname" : "ChIC/CUT&RUN", "shortname":"ChIC/CUT&RUN"} }, "product-promise": { "all": "all", "testedAndGuaranteed": "tested", "guaranteed": "expected", "predicted": "predicted", "notRecommended": "not-recommended" } }, "values": { "Human": { "IP-species-checked": "testedAndGuaranteed", "IP-species-dilution-info": "1/30", "IP-species-notes": "<p></p>", "ICCIF-species-checked": "testedAndGuaranteed", "ICCIF-species-dilution-info": "1/50", "ICCIF-species-notes": "<p></p>", "IHCP-species-checked": "notRecommended", "IHCP-species-dilution-info": "", "IHCP-species-notes": "<p></p>", "WB-species-checked": "testedAndGuaranteed", "WB-species-dilution-info": "1/1000", "WB-species-notes": "<p></p>", "ChIPseq-species-checked": "notRecommended", "ChIPseq-species-dilution-info": "", "ChIPseq-species-notes": "<p></p>", "ChICCUTRUN-species-checked": "notRecommended", "ChICCUTRUN-species-dilution-info": "", "ChICCUTRUN-species-notes": "<p></p>" }, "Mouse": { "IP-species-checked": "testedAndGuaranteed", "IP-species-dilution-info": "1/30", "IP-species-notes": "<p></p>", "ICCIF-species-checked": "testedAndGuaranteed", "ICCIF-species-dilution-info": "1/50", "ICCIF-species-notes": "<p></p>", "IHCP-species-checked": "testedAndGuaranteed", "IHCP-species-dilution-info": "1/500", "IHCP-species-notes": "<p></p> Perform heat-mediated antigen retrieval with Tris/EDTA buffer pH 9.0 before commencing with IHC staining protocol.", "WB-species-checked": "testedAndGuaranteed", "WB-species-dilution-info": "1/1000", "WB-species-notes": "<p></p>", "ChIPseq-species-checked": "notRecommended", "ChIPseq-species-dilution-info": "", "ChIPseq-species-notes": "", "ChICCUTRUN-species-checked": "notRecommended", "ChICCUTRUN-species-dilution-info": "", "ChICCUTRUN-species-notes": "" }, "Rat": { "IP-species-checked": "guaranteed", "IP-species-dilution-info": "", "IP-species-notes": "", "ICCIF-species-checked": "testedAndGuaranteed", "ICCIF-species-dilution-info": "1/50", "ICCIF-species-notes": "<p></p>", "IHCP-species-checked": "testedAndGuaranteed", "IHCP-species-dilution-info": "1/500", "IHCP-species-notes": "<p></p> Perform heat-mediated antigen retrieval with Tris/EDTA buffer pH 9.0 before commencing with IHC staining protocol.", "WB-species-checked": "testedAndGuaranteed", "WB-species-dilution-info": "1/1000", "WB-species-notes": "<p></p>", "ChIPseq-species-checked": "notRecommended", "ChIPseq-species-dilution-info": "", "ChIPseq-species-notes": "", "ChICCUTRUN-species-checked": "notRecommended", "ChICCUTRUN-species-dilution-info": "", "ChICCUTRUN-species-notes": "" } } }

Product details

Patented technology
Our RabMAb® technology is a patented hybridoma-based technology for making rabbit monoclonal antibodies. For details on our patents, please refer to RabMAb® patents.

What are the advantages of a recombinant monoclonal antibody?
This product is a recombinant monoclonal antibody, which offers several advantages including:

  • - High batch-to-batch consistency and reproducibility
  • - Improved sensitivity and specificity
  • - Long-term security of supply
  • - Animal-free batch production

For more information, read more on recombinant antibodies.

Properties and storage information

Form
Liquid
Purification technique
Affinity purification Protein A
Storage buffer
pH: 7.2 - 7.4 Preservative: 0.01% Sodium azide Constituents: PBS, 40% Glycerol (glycerin, glycerine), 0.05% BSA
Shipped at conditions
Blue Ice
Appropriate short-term storage duration
1-2 weeks
Appropriate short-term storage conditions
+4°C
Appropriate long-term storage conditions
-20°C
Aliquoting information
Upon delivery aliquot
Storage information
Avoid freeze / thaw cycle

Product protocols

For this product, it's our understanding that no specific protocols are required. You can visit:

Target data

Orphan nuclear receptor. Binds the NGFI-B response element (NBRE) 5'-AAAGGTCA-3' (PubMed : 37001519). Binds 9-cis-retinoic acid outside of its ligand-binding (NR LBD) domain (By similarity). Participates in energy homeostasis by sequestrating the kinase STK11 in the nucleus, thereby attenuating cytoplasmic AMPK activation (By similarity). Regulates the inflammatory response in macrophages by regulating metabolic adaptations during inflammation, including repressing the transcription of genes involved in the citric acid cycle (TCA) (PubMed : 30134173). Inhibits NF-kappa-B signaling by binding to low-affinity NF-kappa-B binding sites, such as at the IL2 promoter (PubMed : 30134173). May act concomitantly with NR4A2 in regulating the expression of delayed-early genes during liver regeneration (By similarity). Plays a role in the vascular response to injury (PubMed : 22427340).. In the cytosol, upon its detection of both bacterial lipopolysaccharide (LPS) and NBRE-containing mitochondrial DNA released by GSDMD pores during pyroptosis, it promotes non-canonical NLRP3 inflammasome activation by stimulating association of NLRP3 and NEK7.
See full target information Nr4a1

Additional targets

NR4A1,Nr4a1

Product promise

We are committed to supporting your work with high-quality reagents, and we're here for you every step of the way. In the unlikely event that one of our products does not perform as expected, you're protected by our Product Promise.
For full details, please see our Terms & Conditions

Please note: All products are 'FOR RESEARCH USE ONLY. NOT FOR USE IN DIAGNOSTIC OR THERAPEUTIC PROCEDURES'.

For licensing inquiries, please contact partnerships@abcam.com