JavaScript is disabled in your browser. Please enable JavaScript to view this website.
AB315461

Anti-NUT antibody [EPR28221-46] - BSA and Azide free

Be the first to review this product! Submit a review

|

(0 Publication)

Rabbit Recombinant Monoclonal NUT antibody. Carrier free. Suitable for IHC-P and reacts with Human, Transfected cell line - Human samples.

View Alternative Names

C15orf55, NUT, NUTM1, NUT family member 1, Nuclear protein in testis

5 Images
Immunohistochemistry (Formalin/PFA-fixed paraffin-embedded sections) - Anti-NUT antibody [EPR28221-46] - BSA and Azide free (AB315461)
  • IHC-P

Supplier Data

Immunohistochemistry (Formalin/PFA-fixed paraffin-embedded sections) - Anti-NUT antibody [EPR28221-46] - BSA and Azide free (AB315461)

This data was developed using ab315460, the same antibody clone in a different buffer formulation.

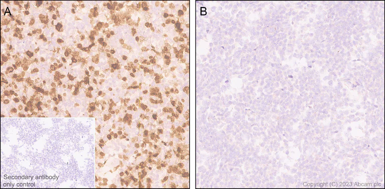
Immunohistochemical analysis of paraffin-embedded Panel A HEK-293T cells transfected with a human BRD4-NUT expression vector containing a his tag. Panel B HEK-293T cells transfected with empty vector containing a his tag tissue labeling NUT with ab315460 at 1/5000 (0.103 ug/ml) dilution, followed by a ready to use Rabbit specific IHC polymer detection kit HRP/DAB (ab209101).

Positive staining on (A) HEK-293T transfected with a human BRD4-NUT expression vector, no staining on (B) HEK-293T transfected with empty vector. The section was incubated with ab315460 for 30 mins at room temperature.
The immunostaining was performed on a Leica Biosystems BOND® RX instrument

Counterstained with Hematoxylin.

Secondary antibody only control : Secondary antibody is a ready to use Rabbit specific IHC polymer detection kit HRP/DAB (ab209101).

Heat mediated antigen retrieval was performed with Tris-EDTA buffer (pH 9.0, Epitope Retrieval Solution2) for 20 mins

Immunohistochemistry (Formalin/PFA-fixed paraffin-embedded sections) - Anti-NUT antibody [EPR28221-46] - BSA and Azide free (AB315461)
  • IHC-P

Supplier Data

Immunohistochemistry (Formalin/PFA-fixed paraffin-embedded sections) - Anti-NUT antibody [EPR28221-46] - BSA and Azide free (AB315461)

This data was developed using ab315460, the same antibody clone in a different buffer formulation.

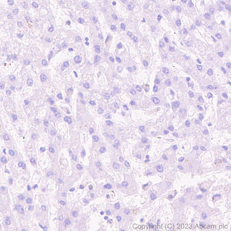
Immunohistochemical analysis of paraffin-embedded Human liver tissue labeling NUT with ab315460 at 1/5000 (0.103 ug/ml) dilution, followed by a ready to use Rabbit specific IHC polymer detection kit HRP/DAB (ab209101).

Negative control : no staining on human liver. The section was incubated with ab315460 for 30 mins at room temperature.
The immunostaining was performed on a Leica Biosystems BOND® RX instrument

Counterstained with Hematoxylin.

Secondary antibody only control : Secondary antibody is a ready to use Rabbit specific IHC polymer detection kit HRP/DAB (ab209101).

Heat mediated antigen retrieval was performed with Tris-EDTA buffer (pH 9.0, Epitope Retrieval Solution2) for 20 mins

Immunohistochemistry (Formalin/PFA-fixed paraffin-embedded sections) - Anti-NUT antibody [EPR28221-46] - BSA and Azide free (AB315461)
  • IHC-P

Supplier Data

Immunohistochemistry (Formalin/PFA-fixed paraffin-embedded sections) - Anti-NUT antibody [EPR28221-46] - BSA and Azide free (AB315461)

This data was developed using ab315460, the same antibody clone in a different buffer formulation.

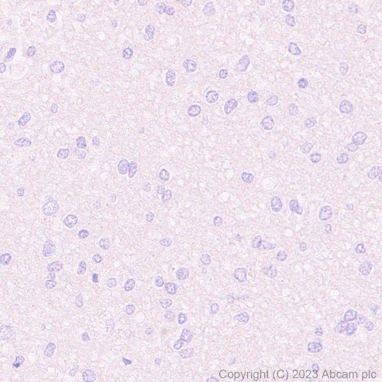
Immunohistochemical analysis of paraffin-embedded Human cerebrum tissue labeling NUT with ab315460 at 1/5000 (0.103 ug/ml) dilution, followed by a ready to use Rabbit specific IHC polymer detection kit HRP/DAB (ab209101).

Negative control : no staining on human cerebrum. The section was incubated with ab315460 for 30 mins at room temperature.
The immunostaining was performed on a Leica Biosystems BOND® RX instrument

Counterstained with Hematoxylin.

Secondary antibody only control : Secondary antibody is a ready to use Rabbit specific IHC polymer detection kit HRP/DAB (ab209101).

Heat mediated antigen retrieval was performed with Tris-EDTA buffer (pH 9.0, Epitope Retrieval Solution2) for 20 mins

Immunohistochemistry (Formalin/PFA-fixed paraffin-embedded sections) - Anti-NUT antibody [EPR28221-46] - BSA and Azide free (AB315461)
  • IHC-P

Supplier Data

Immunohistochemistry (Formalin/PFA-fixed paraffin-embedded sections) - Anti-NUT antibody [EPR28221-46] - BSA and Azide free (AB315461)

This data was developed using ab315460, the same antibody clone in a different buffer formulation.

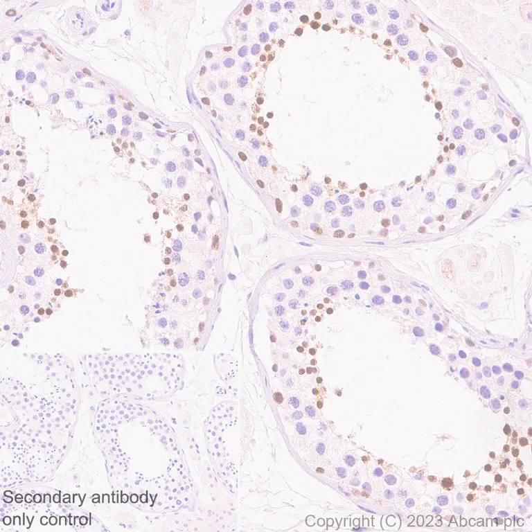
Immunohistochemical analysis of paraffin-embedded Human testis tissue labeling NUT with ab315460 at 1/5000 (0.103 ug/ml) dilution, followed by a ready to use Rabbit specific IHC polymer detection kit HRP/DAB (ab209101).

Positive staining on human testis. The section was incubated with ab315460 for 30 mins at room temperature.
The immunostaining was performed on a Leica Biosystems BOND® RX instrument

Counterstained with Hematoxylin.

Secondary antibody only control : Secondary antibody is a ready to use Rabbit specific IHC polymer detection kit HRP/DAB (ab209101).

Heat mediated antigen retrieval was performed with Tris-EDTA buffer (pH 9.0, Epitope Retrieval Solution2) for 20 mins

Immunohistochemistry (Formalin/PFA-fixed paraffin-embedded sections) - Anti-NUT antibody [EPR28221-46] - BSA and Azide free (AB315461)
  • IHC-P

Supplier Data

Immunohistochemistry (Formalin/PFA-fixed paraffin-embedded sections) - Anti-NUT antibody [EPR28221-46] - BSA and Azide free (AB315461)

This data was developed using ab315460, the same antibody clone in a different buffer formulation.

Immunohistochemical analysis of paraffin-embedded Tissue Microarray tissue labeling NUT with ab315460, followed by a ready to use Rabbit specific IHC polymer detection kit HRP/DAB (ab209101).

Table of the human normal TMA tissue depending on the staining. The section was incubated with ab315460 for 30 mins at room temperature. The immunostaining was performed on a Leica Biosystems BOND® RX instrument.

Counterstained with Hematoxylin.

Secondary antibody only control : Secondary antibody is a ready to use Rabbit specific IHC polymer detection kit HRP/DAB (ab209101).

Heat mediated antigen retrieval was performed with Tris-EDTA buffer (pH 9.0, Epitope Retrieval Solution2) for 20 mins

Key facts

Host species

Rabbit

Clonality

Monoclonal

Clone number

EPR28221-46

Isotype

IgG

Carrier free

Yes

Reacts with

Human

Applications

IHC-P

applications

Immunogen

The exact immunogen used to generate this antibody is proprietary information.

Reactivity data

{ "title": "Reactivity Data", "filters": { "stats": ["", "Species", "Dilution Info", "Notes"], "tabs": { "all-applications": {"fullname" : "All Applications", "shortname": "All Applications"}, "IHCP" : {"fullname" : "Immunohistochemistry (Formalin/PFA-fixed paraffin-embedded sections)", "shortname":"IHC-P"}, "WB" : {"fullname" : "Western blot", "shortname":"WB"}, "IP" : {"fullname" : "Immunoprecipitation", "shortname":"IP"}, "FlowCytIntra" : {"fullname" : "Flow Cytometry (Intracellular)", "shortname":"Flow Cyt (Intra)"}, "ICCIF" : {"fullname" : "Immunocytochemistry/ Immunofluorescence", "shortname":"ICC/IF"} }, "product-promise": { "all": "all", "testedAndGuaranteed": "tested", "guaranteed": "expected", "predicted": "predicted", "notRecommended": "not-recommended" } }, "values": { "Human": { "IHCP-species-checked": "testedAndGuaranteed", "IHCP-species-dilution-info": "", "IHCP-species-notes": "<p></p>", "WB-species-checked": "notRecommended", "WB-species-dilution-info": "", "WB-species-notes": "<p></p>", "IP-species-checked": "notRecommended", "IP-species-dilution-info": "", "IP-species-notes": "<p></p>", "FlowCytIntra-species-checked": "notRecommended", "FlowCytIntra-species-dilution-info": "", "FlowCytIntra-species-notes": "<p></p>", "ICCIF-species-checked": "notRecommended", "ICCIF-species-dilution-info": "", "ICCIF-species-notes": "<p></p>" }, "Mouse": { "IHCP-species-checked": "notRecommended", "IHCP-species-dilution-info": "", "IHCP-species-notes": "<p></p>", "WB-species-checked": "notRecommended", "WB-species-dilution-info": "", "WB-species-notes": "<p></p>", "IP-species-checked": "notRecommended", "IP-species-dilution-info": "", "IP-species-notes": "", "FlowCytIntra-species-checked": "notRecommended", "FlowCytIntra-species-dilution-info": "", "FlowCytIntra-species-notes": "<p></p>", "ICCIF-species-checked": "notRecommended", "ICCIF-species-dilution-info": "", "ICCIF-species-notes": "" }, "Rat": { "IHCP-species-checked": "notRecommended", "IHCP-species-dilution-info": "", "IHCP-species-notes": "<p></p>", "WB-species-checked": "notRecommended", "WB-species-dilution-info": "", "WB-species-notes": "<p></p>", "IP-species-checked": "notRecommended", "IP-species-dilution-info": "", "IP-species-notes": "", "FlowCytIntra-species-checked": "notRecommended", "FlowCytIntra-species-dilution-info": "", "FlowCytIntra-species-notes": "<p></p>", "ICCIF-species-checked": "notRecommended", "ICCIF-species-dilution-info": "", "ICCIF-species-notes": "" }, "Transfected cell line - Human": { "IHCP-species-checked": "testedAndGuaranteed", "IHCP-species-dilution-info": "", "IHCP-species-notes": "<p></p>", "WB-species-checked": "notRecommended", "WB-species-dilution-info": "", "WB-species-notes": "", "IP-species-checked": "notRecommended", "IP-species-dilution-info": "", "IP-species-notes": "", "FlowCytIntra-species-checked": "notRecommended", "FlowCytIntra-species-dilution-info": "", "FlowCytIntra-species-notes": "", "ICCIF-species-checked": "notRecommended", "ICCIF-species-dilution-info": "", "ICCIF-species-notes": "" } } }

Product details

ab315461 is the carrier-free version of ab315460.

Patented technology
Our RabMAb® technology is a patented hybridoma-based technology for making rabbit monoclonal antibodies. For details on our patents, please refer to RabMAb® patents.

What are the advantages of a recombinant monoclonal antibody?
This product is a recombinant monoclonal antibody, which offers several advantages including:

  • - High batch-to-batch consistency and reproducibility
  • - Improved sensitivity and specificity
  • - Long-term security of supply
  • - Animal-free batch production

For more information, read more on recombinant antibodies.

Conjugation ready
Our carrier-free antibodies are typically supplied in a PBS-only formulation, purified and free of BSA, sodium azide and glycerol. This conjugation-ready format is designed for use with fluorochromes, metal isotopes, oligonucleotides, and enzymes, which makes them ideal for antibody labelling, functional and cell-based assays, flow-based assays (e.g. mass cytometry) and Multiplex Imaging applications.

Use our conjugation kits for antibody conjugates that are ready-to-use in as little as 20 minutes with 1 minute hands-on-time and 100% antibody recovery: available for fluorescent dyes, HRP, biotin and gold.

Compatibility
This product is compatible with the Maxpar® Antibody Labeling Kit from Fluidigm, without the need for antibody preparation. Maxpar® is a trademark of Fluidigm Canada Inc.

Properties and storage information

Form
Liquid
Purification technique
Affinity purification Protein A
Storage buffer
pH: 7.2 - 7.4 Constituents: PBS
Shipped at conditions
Blue Ice
Appropriate short-term storage conditions
+4°C
Appropriate long-term storage conditions
+4°C

Supplementary information

This supplementary information is collated from multiple sources and compiled automatically.

The NUT protein known also as Nuclear Protein in Testis is a highly specialized protein with a molecular weight of approximately 112 kDa. Its expression is mostly restricted to post-meiotic germ cells in the testes but aberrant expression occurs in some cancer types. NUT is mainly localized in the nucleus and exhibits involvement in transcriptional regulation due to its structure and function in gene expression processes. It engages in forming fusion proteins notably through translocations which has particular relevance in oncogenesis.
Biological function summary

NUT plays an important role in the regulation of chromatin structure and gene expression. It usually forms a part of the large complex involving histone acetyltransferase which contributes to chromatin remodeling. The protein's interaction with various transcriptional coactivators suggests its function in facilitating access to DNA for transcription machinery. In normal cellular function NUT is limited in expression and activity asserting its importance in specific developmental processes.

Pathways

NUT engages in significant modulation of chromatin remodeling and transcriptional pathways including the BRD4-NUT fusion pathway in cancer biology. This pathway involves the BRD4 protein which forms a fusion with NUT through chromosomal translocations altering normal epigenetic regulation and driving abnormally high transcription of growth-promoting genes. The BRD-NUT fusion therefore creates a powerful oncogenic driver within the transcriptional machinery and chromatin modification pathways.

Aberrations in NUT are closely linked to aggressive forms of cancer such as NUT midline carcinoma. This cancer type arises from the NUT fusion with other proteins like BRD4 or BRD3 resulting in altered gene expression leading to unchecked cell proliferation. The disorders related to NUT reexpression highlight its pathological importance and targeting the BRD-NUT fusion protein has become a focus for therapeutic intervention in treating related malignancies.

Product protocols

For this product, it's our understanding that no specific protocols are required. You can visit:

Target data

Plays a role in the regulation of proliferation. Regulates TERT expression by modulating SP1 binding to TERT promoter binding sites.
See full target information NUTM1

Product promise

We are committed to supporting your work with high-quality reagents, and we're here for you every step of the way. In the unlikely event that one of our products does not perform as expected, you're protected by our Product Promise.
For full details, please see our Terms & Conditions

Please note: All products are 'FOR RESEARCH USE ONLY. NOT FOR USE IN DIAGNOSTIC OR THERAPEUTIC PROCEDURES'.

For licensing inquiries, please contact partnerships@abcam.com