JavaScript is disabled in your browser. Please enable JavaScript to view this website.
AB191429

Anti-NXN/NRX antibody [EPR15177]

Be the first to review this product! Submit a review

|

(1 Publication)

Rabbit Recombinant Monoclonal NXN/NRX antibody. Suitable for WB, ICC/IF, Flow Cyt (Intra), IHC-P and reacts with Mouse, Rat, Human samples. Cited in 1 publication.

View Alternative Names

NRX, NXN, Nucleoredoxin

6 Images
Immunohistochemistry (Formalin/PFA-fixed paraffin-embedded sections) - Anti-NXN/NRX antibody [EPR15177] (AB191429)
  • IHC-P

Supplier Data

Immunohistochemistry (Formalin/PFA-fixed paraffin-embedded sections) - Anti-NXN/NRX antibody [EPR15177] (AB191429)

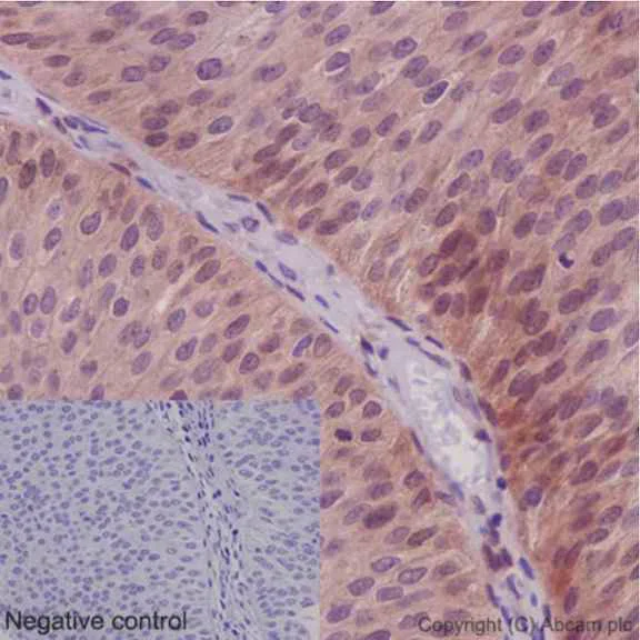
Immunohistochemical analysis of paraffin-embedded human transitional cell carcinoma of bladder tissue labeling NXN/NRX with ab191429 at 1/100 with prediluted HRP Polymer for Rabbit IgG as secondary antibody. Negative control : Using PBS instead of primary antibody.

Perform heat mediated antigen retrieval with Tris/EDTA buffer pH 9.0 before commencing with IHC staining protocol.

Immunocytochemistry/ Immunofluorescence - Anti-NXN/NRX antibody [EPR15177] (AB191429)
  • ICC/IF

Supplier Data

Immunocytochemistry/ Immunofluorescence - Anti-NXN/NRX antibody [EPR15177] (AB191429)

Immunofluorescent analysis of paraformaldehyde-fixed A431 cells labeling NXN/NRX with ab191429 at 1/250 Goat anti rabbit IgG (Alexa Fluor® 488) at 1/200 and DAPI staining (blue). The two negative controls : 1. Primary ab concentration (anti-NXN/NRX) is 1/100 dilution Secondary ab (Goat anti mouse IgG (Alexa Fluor®594)) is 1/400 dilution; 2. Primary ab concentration (anti-NXN/NRX) is 1/100 dilution Secondary ab (Goat anti mouse IgG (Alexa Fluor®594)) is 1/400 dilution.

Immunohistochemistry (Formalin/PFA-fixed paraffin-embedded sections) - Anti-NXN/NRX antibody [EPR15177] (AB191429)
  • IHC-P

Supplier Data

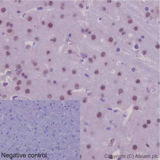
Immunohistochemistry (Formalin/PFA-fixed paraffin-embedded sections) - Anti-NXN/NRX antibody [EPR15177] (AB191429)

Immunohistochemical analysis of paraffin-embedded mouse brain tissue labeling NXN/NRX with ab191429 at 1/100 with prediluted HRP Polymer for Rabbit IgG as secondary antibody. Negative control : Using PBS instead of primary antibody.

Perform heat mediated antigen retrieval with Tris/EDTA buffer pH 9.0 before commencing with IHC staining protocol.

Flow Cytometry (Intracellular) - Anti-NXN/NRX antibody [EPR15177] (AB191429)
  • Flow Cyt (Intra)

Unknown

Flow Cytometry (Intracellular) - Anti-NXN/NRX antibody [EPR15177] (AB191429)

Intracellular Flow Cytometry analysis of NIH/3T3 (mouse embryo) labelling NXN/NRXwith purified ab191429 at 1/1000 (red). Cells were fixed with 4% paraformaldehyde and permeabilised with 90% methanol. Alexa Fluor® 488 goat anti-rabbit IgG (1/2000) was used as the secondary antibody. Black - Isotype control, rabbit monoclonal IgG. Blue - Unlabelled control, cells without incubation with primary and secondary antibodies.

Western blot - Anti-NXN/NRX antibody [EPR15177] (AB191429)
  • WB

Supplier Data

Western blot - Anti-NXN/NRX antibody [EPR15177] (AB191429)

All lanes:

Western blot - Anti-NXN/NRX antibody [EPR15177] (ab191429) at 1/10000 dilution

Lane 1:

293 lysate at 20 µg

Lane 2:

HepG2 lysate at 20 µg

Lane 3:

HeLa lysate at 20 µg

Lane 4:

SH-SY5Y lysate at 20 µg

Secondary

All lanes:

Goat Anti-Rabbit IgG, (H+L),Peroxidase conjugated at 1/1000 dilution

Predicted band size: 48 kDa

Observed band size: 48 kDa

false

Western blot - Anti-NXN/NRX antibody [EPR15177] (AB191429)
  • WB

Supplier Data

Western blot - Anti-NXN/NRX antibody [EPR15177] (AB191429)

All lanes:

Western blot - Anti-NXN/NRX antibody [EPR15177] (ab191429) at 1/10000 dilution

Lane 1:

Mouse testis lysate at 10 µg

Lane 2:

Rat testis lysate at 10 µg

Secondary

All lanes:

Goat Anti-Rabbit IgG, (H+L), Peroxidase conjugated at 1/1000 dilution

Predicted band size: 48 kDa

Observed band size: 48 kDa

false

  • Carrier free

    Anti-NXN/NRX antibody [EPR15177] - BSA and Azide free

Key facts

Host species

Rabbit

Clonality

Monoclonal

Clone number

EPR15177

Isotype

IgG

Carrier free

No

Reacts with

Mouse, Rat, Human

Applications

WB, ICC/IF, Flow Cyt (Intra), IHC-P

applications

Immunogen

The exact immunogen used to generate this antibody is proprietary information.

Reactivity data

{ "title": "Reactivity Data", "filters": { "stats": ["", "Species", "Dilution Info", "Notes"], "tabs": { "all-applications": {"fullname" : "All Applications", "shortname": "All Applications"}, "WB" : {"fullname" : "Western blot", "shortname":"WB"}, "ICCIF" : {"fullname" : "Immunocytochemistry/ Immunofluorescence", "shortname":"ICC/IF"}, "FlowCytIntra" : {"fullname" : "Flow Cytometry (Intracellular)", "shortname":"Flow Cyt (Intra)"}, "IHCP" : {"fullname" : "Immunohistochemistry (Formalin/PFA-fixed paraffin-embedded sections)", "shortname":"IHC-P"} }, "product-promise": { "all": "all", "testedAndGuaranteed": "tested", "guaranteed": "expected", "predicted": "predicted", "notRecommended": "not-recommended" } }, "values": { "Human": { "WB-species-checked": "testedAndGuaranteed", "WB-species-dilution-info": "1/1000 - 1/10000", "WB-species-notes": "<p></p>", "ICCIF-species-checked": "testedAndGuaranteed", "ICCIF-species-dilution-info": "1/100", "ICCIF-species-notes": "<p></p>", "FlowCytIntra-species-checked": "guaranteed", "FlowCytIntra-species-dilution-info": "", "FlowCytIntra-species-notes": "", "IHCP-species-checked": "testedAndGuaranteed", "IHCP-species-dilution-info": "1/50 - 1/100", "IHCP-species-notes": "<p></p>" }, "Mouse": { "WB-species-checked": "testedAndGuaranteed", "WB-species-dilution-info": "1/1000 - 1/10000", "WB-species-notes": "<p></p>", "ICCIF-species-checked": "guaranteed", "ICCIF-species-dilution-info": "", "ICCIF-species-notes": "", "FlowCytIntra-species-checked": "testedAndGuaranteed", "FlowCytIntra-species-dilution-info": "1/1000", "FlowCytIntra-species-notes": "<p></p>", "IHCP-species-checked": "testedAndGuaranteed", "IHCP-species-dilution-info": "1/50 - 1/100", "IHCP-species-notes": "<p></p>" }, "Rat": { "WB-species-checked": "testedAndGuaranteed", "WB-species-dilution-info": "1/1000 - 1/10000", "WB-species-notes": "<p></p>", "ICCIF-species-checked": "guaranteed", "ICCIF-species-dilution-info": "", "ICCIF-species-notes": "", "FlowCytIntra-species-checked": "guaranteed", "FlowCytIntra-species-dilution-info": "", "FlowCytIntra-species-notes": "", "IHCP-species-checked": "guaranteed", "IHCP-species-dilution-info": "", "IHCP-species-notes": "" } } }

Product details

Patented technology
Our RabMAb® technology is a patented hybridoma-based technology for making rabbit monoclonal antibodies. For details on our patents, please refer to RabMAb® patents.

What are the advantages of a recombinant monoclonal antibody?
This product is a recombinant monoclonal antibody, which offers several advantages including:

  • - High batch-to-batch consistency and reproducibility
  • - Improved sensitivity and specificity
  • - Long-term security of supply
  • - Animal-free batch production

For more information, read more on recombinant antibodies.

Properties and storage information

Form
Liquid
Purification technique
Affinity purification Protein A
Storage buffer
pH: 7.2 - 7.4 Preservative: 0.01% Sodium azide Constituents: PBS, 40% Glycerol (glycerin, glycerine), 0.05% BSA
Shipped at conditions
Blue Ice
Appropriate short-term storage duration
1-2 weeks
Appropriate short-term storage conditions
+4°C
Appropriate long-term storage conditions
-20°C
Aliquoting information
Upon delivery aliquot
Storage information
Avoid freeze / thaw cycle

Supplementary information

This supplementary information is collated from multiple sources and compiled automatically.

NXN also known as nucleoredoxin or NRX is a redox-regulating protein that plays a role in cellular signaling. This protein weighs approximately 49 kDa and is expressed in a wide range of tissues including heart liver and lungs. It’s known for its function in controlling redox states within cells. NXN acts within the cytoplasm where it interacts with other proteins to influence various signaling pathways. Given its importance scientists often study NXN to understand how cells manage oxidative stress and maintain equilibrium.
Biological function summary

NXN acts as a thioredoxin-like protein that regulates the Wnt signaling pathway through its interaction with disheveled proteins. This protein is often involved in cellular processes by managing the balance between oxidative and reductive states critical for normal cellular function. NXN exists in cells as part of larger protein assemblies which allows it to control multiple signaling hubs within the cell. This ability makes NXN integral to the modulation of cellular responses and adaptation to changes in environmental conditions.

Pathways

NXN is influential in the Wnt and JNK signaling pathways. In the Wnt signaling pathway NXN influences cellular fate decisions by regulating the availability of disheveled proteins. It also interacts with components of the JNK signaling pathway which is involved in controlling apoptosis and stress responses. Proteins such as β-catenin and JNK3 are affected by NXN's function highlighting its extensive reach in cellular mechanism and signaling control.

NXN has links to cancer and neurodegenerative diseases. Dysregulation in NXN can lead to abnormal cell proliferation linking it to the development of tumors. Its involvement in oxidative stress also places it in connection with neurodegenerative disorders like Alzheimer's disease. In cancer its interaction with proteins like p53 highlights its role in maintaining genomic stability. In the context of neurodegeneration NXN's relationship with proteins such as β-amyloid illustrates its potential involvement in disease progression and pathology.

Product protocols

For this product, it's our understanding that no specific protocols are required. You can visit:

Target data

Functions as a redox-dependent negative regulator of the Wnt signaling pathway, possibly by preventing ubiquitination of DVL3 by the BCR(KLHL12) complex. May also function as a transcriptional regulator act as a regulator of protein phosphatase 2A (PP2A) (By similarity).
See full target information NXN

Publications (1)

Recent publications for all applications. Explore the full list and refine your search

Endocrinology 158:3778-3791 PubMed28973134

2017

MEF2C Interacts With c-FOS in PTH-Stimulated Mmp13 Gene Expression in Osteoblastic Cells.

Applications

Unspecified application

Species

Unspecified reactive species

Teruyo Nakatani,Nicola C Partridge
View all publications

Product promise

We are committed to supporting your work with high-quality reagents, and we're here for you every step of the way. In the unlikely event that one of our products does not perform as expected, you're protected by our Product Promise.
For full details, please see our Terms & Conditions

Please note: All products are 'FOR RESEARCH USE ONLY. NOT FOR USE IN DIAGNOSTIC OR THERAPEUTIC PROCEDURES'.

For licensing inquiries, please contact partnerships@abcam.com