JavaScript is disabled in your browser. Please enable JavaScript to view this website.
AB202665

Anti-O-Linked N-Acetylglucosamine antibody [EPR19847]

Be the first to review this product! Submit a review

|

(1 Publication)

Rabbit Recombinant Monoclonal O-Linked N-Acetylglucosamine antibody. Suitable for IP, Dot, WB and reacts with Human, Rat, Synthetic peptide samples. Cited in 1 publication.
5 Images
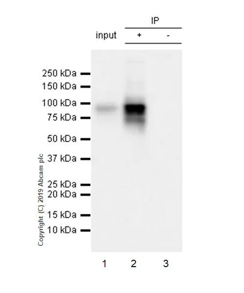
Immunoprecipitation - Anti-O-Linked N-Acetylglucosamine antibody [EPR19847] (AB202665)
  • IP

Unknown

Immunoprecipitation - Anti-O-Linked N-Acetylglucosamine antibody [EPR19847] (AB202665)

O-Linked N-Acetylglucosamine was immunoprecipitated from 0.35 mg HeLa (Human cervix adenocarcinoma epithelial cell) whole cell lysate with ab202665 at 1/30 dilution. Western blot was performed from the immunoprecipitate using ab202665 at 1/1,000 dilution. VeriBlot for IP Detection Reagent (HRP) (ab131366), was used for detection at 1/10,000 dilution.
Lane 1 : HeLa whole cell lysate 10 μg (Input).
Lane 2 : ab202665 IP in HeLa whole cell lysate.
Lane 3 : Rabbit monoclonal IgG (ab172730) instead of ab202665 in HeLa whole cell lysate.
Blocking/Dilution buffer : 5% NFDM/TBST.
Exposure time : 3 seconds.

All lanes:

Immunoprecipitation - Anti-O-Linked N-Acetylglucosamine antibody [EPR19847] (ab202665)

false

Western blot - Anti-O-Linked N-Acetylglucosamine antibody [EPR19847] (AB202665)
  • WB

Lab

Western blot - Anti-O-Linked N-Acetylglucosamine antibody [EPR19847] (AB202665)

Blocking buffer and concentration 5% NFDM/TBST
Diluting buffer and concentration 5% NFDM/TBST

Ac45SGlcNAc, an inhibitor of OGT, decreases O-GlcNAc modification. Thiamet-G, an inhibitor of OGA, increases O-GlcNAc modification.

These two chemicals were kindly provided by our collaborator Dr. Xing Chen, Peking University.

The expression pattern is consistent with reference (PMID : 27716624)

All lanes:

Western blot - Anti-O-Linked N-Acetylglucosamine antibody [EPR19847] (ab202665) at 1/1000 dilution

Lane 1:

Untreated HeLa (human cervix adenocarcinoma epithelial cell) whole cell lysate at 20 µg

Lane 2:

HeLa (human cervix adenocarcinoma epithelial cell) treated with DMSO (0.4%) as baseline control. whole cell lysate at 20 µg

Lane 3:

HeLa (human cervix adenocarcinoma epithelial cell) treated with 200 μM Ac45SGlcNAc for 24 hours whole cell lysate at 20 µg

Lane 4:

HeLa (human cervix adenocarcinoma epithelial cell) treated with 200 μM Thiamet-G for 24 hours whole cell lysate at 20 µg

Secondary

All lanes:

Western blot - Goat Anti-Rabbit IgG H&L (HRP) (<a href='/en-us/products/secondary-antibodies/goat-rabbit-igg-h-l-hrp-ab97051'>ab97051</a>) at 1/20000 dilution

Observed band size: 50-100 kDa

false

Exposure time: 3s

Western blot - Anti-O-Linked N-Acetylglucosamine antibody [EPR19847] (AB202665)
  • WB

Unknown

Western blot - Anti-O-Linked N-Acetylglucosamine antibody [EPR19847] (AB202665)

Blocking/Dilution buffer : 5% NFDM/TBST.

Exposure times : Lane 1 : 4 seconds; Lane 2 : 15 seconds.

All lanes:

Western blot - Anti-O-Linked N-Acetylglucosamine antibody [EPR19847] (ab202665) at 1/1000 dilution

Lane 1:

HEK-293T (human embryonic kidney epithelial cell) whole cell lysate at 20 µg

Lane 2:

HeLa (human cervix adenocarcinoma epithelial cell) whole cell lysate at 20 µg

Secondary

All lanes:

Western blot - Goat Anti-Rabbit IgG H&L (HRP) (<a href='/en-us/products/secondary-antibodies/goat-rabbit-igg-h-l-hrp-ab97051'>ab97051</a>) at 1/100000 dilution

false

Western blot - Anti-O-Linked N-Acetylglucosamine antibody [EPR19847] (AB202665)
  • WB

Lab

Western blot - Anti-O-Linked N-Acetylglucosamine antibody [EPR19847] (AB202665)

Blocking buffer and concentration : 5% NFDM/TBST
Diluting buffer and concentration : 5% NFDM/TBST

Exposure time :

Lane 1 : 8 seconds;
Lane 2 : 3 seconds;
Lane 3 : 26 seconds.

All lanes:

Western blot - Anti-O-Linked N-Acetylglucosamine antibody [EPR19847] (ab202665) at 1/1000 dilution

Lane 1:

Rat brain lysate at 10 µg

Lane 2:

PC-12 (rat adrenal gland pheochromocytoma) whole cell lysate at 10 µg

Lane 3:

SH-SY5Y (human neuroblastoma epithelial cell) whole cell lysate at 10 µg

Secondary

All lanes:

Western blot - Goat Anti-Rabbit IgG H&L (HRP) (<a href='/en-us/products/secondary-antibodies/goat-rabbit-igg-h-l-hrp-ab97051'>ab97051</a>) at 1/20000 dilution

Observed band size: 20-100 kDa

false

Dot Blot - Anti-O-Linked N-Acetylglucosamine antibody [EPR19847] (AB202665)
  • Dot

Unknown

Dot Blot - Anti-O-Linked N-Acetylglucosamine antibody [EPR19847] (AB202665)

Dot Blot - Anti-O-Linked N-Acetylglucosamine antibody [EPR19847] (ab202665 1 : 1000 dilution).

Lane 1 : O-linked N-acetylglucosamine (O-GlcNAc) peptide 10 ng.

Lane 2 : Non-O-GlcNAc peptide 10 ng.

Blocking/Dilution buffer : 5% NFDM/TBST.

Secondary : Goat Anti-Rabbit IgG, (H+L), Peroxidase conjugated (ab97051 1 : 100,000 dilution).

Exposure time of 3 minutes.

The peptides were kindly provided by our collaborator Dr. Xing Chen, Peking University.

  • Carrier free

    Anti-O-Linked N-Acetylglucosamine antibody [EPR19847] - BSA and Azide free

Key facts

Host species

Rabbit

Clonality

Monoclonal

Clone number

EPR19847

Isotype

IgG

Carrier free

No

Reacts with

Rat, Human

Applications

IP, WB, Dot

applications

Immunogen

The exact immunogen used to generate this antibody is proprietary information.

Specificity

This product is recommended in human and rat and is not suitable for mouse. Cross-reactivity with other species has not been confirmed experimentally.

Reactivity data

{ "title": "Reactivity Data", "filters": { "stats": ["", "Species", "Dilution Info", "Notes"], "tabs": { "all-applications": {"fullname" : "All Applications", "shortname": "All Applications"}, "IP" : {"fullname" : "Immunoprecipitation", "shortname":"IP"}, "Dot" : {"fullname" : "Dot Blot", "shortname":"Dot"}, "WB" : {"fullname" : "Western blot", "shortname":"WB"} }, "product-promise": { "all": "all", "testedAndGuaranteed": "tested", "guaranteed": "expected", "predicted": "predicted", "notRecommended": "not-recommended" } }, "values": { "Human": { "IP-species-checked": "testedAndGuaranteed", "IP-species-dilution-info": "1/30", "IP-species-notes": "<p></p>", "Dot-species-checked": "guaranteed", "Dot-species-dilution-info": "", "Dot-species-notes": "", "WB-species-checked": "testedAndGuaranteed", "WB-species-dilution-info": "1/1000", "WB-species-notes": "<p></p>" }, "Rat": { "IP-species-checked": "guaranteed", "IP-species-dilution-info": "", "IP-species-notes": "", "Dot-species-checked": "guaranteed", "Dot-species-dilution-info": "", "Dot-species-notes": "", "WB-species-checked": "testedAndGuaranteed", "WB-species-dilution-info": "1/1000", "WB-species-notes": "<p></p>" }, "Synthetic peptide": { "IP-species-checked": "notRecommended", "IP-species-dilution-info": "", "IP-species-notes": "", "Dot-species-checked": "testedAndGuaranteed", "Dot-species-dilution-info": "1/1000", "Dot-species-notes": "<p></p>", "WB-species-checked": "notRecommended", "WB-species-dilution-info": "", "WB-species-notes": "" } } }

Product details

Patented technology
Our RabMAb® technology is a patented hybridoma-based technology for making rabbit monoclonal antibodies. For details on our patents, please refer to RabMAb® patents.

What are the advantages of a recombinant monoclonal antibody?
This product is a recombinant monoclonal antibody, which offers several advantages including:

  • - High batch-to-batch consistency and reproducibility
  • - Improved sensitivity and specificity
  • - Long-term security of supply
  • - Animal-free batch production

For more information, read more on recombinant antibodies.

Properties and storage information

Form
Liquid
Purification technique
Affinity purification Protein A
Storage buffer
pH: 7.2 - 7.4 Preservative: 0.01% Sodium azide Constituents: PBS, 40% Glycerol (glycerin, glycerine), 0.05% BSA
Shipped at conditions
Blue Ice
Appropriate short-term storage duration
1-2 weeks
Appropriate short-term storage conditions
+4°C
Appropriate long-term storage conditions
-20°C
Aliquoting information
Upon delivery aliquot
Storage information
Avoid freeze / thaw cycle

Supplementary information

This supplementary information is collated from multiple sources and compiled automatically.

O-Linked N-Acetylglucosamine (O-GlcNAc) is a post-translational modification involving the addition of a single N-acetylglucosamine moiety to the serine or threonine residues of nuclear and cytoplasmic proteins. This dynamic modification is sometimes referred to as O-GlcNAcylation. The molecular mass of the O-GlcNAc group itself is approximately 203 Da. This modification is expressed widely across various tissues notably in the brain and pancreas. O-GlcNAc plays a critical role in regulating protein function stability and interaction.
Biological function summary

O-GlcNAc modifies proteins influencing cellular processes such as transcription signal transduction and stress response. It is involved in the regulation of transcription factors like Sp1 and NF-kB and is associated with the O-GlcNAc transferase (OGT) and O-GlcNAcase (OGA) enzymes which respectively add and remove the GlcNAc group. O-GlcNAc functions in a manner similar to phosphorylation often competing with it on the same or adjacent serine/threonine sites. This modification is not part of a permanent protein complex but dynamically modulates protein interactions and activity.

Pathways

This modification plays a fundamental role in pathways related to nutrient sensing and insulin signaling. It modulates proteins such as insulin receptor substrate 1 (IRS1) and Akt to link nutrient status to cellular responses. The hexosamine biosynthetic pathway (HBP) is an important pathway in which O-GlcNAc is synthesized. Through these pathways it impacts cellular signaling and metabolism influencing processes like cellular growth and apoptosis.

O-GlcNAc modification connects to conditions like diabetes and Alzheimer's disease. Elevated O-GlcNAc levels contribute to insulin resistance a hallmark of type 2 diabetes through interaction with proteins such as IRS1 and Akt. In Alzheimer's O-GlcNAc modifies tau protein reducing its phosphorylation and aggregation therefore potentially affecting neurofibrillary tangle formation. These connections underline the importance of O-GlcNAc in the pathophysiology of these diseases and highlight its potential as a therapeutic target.

Product protocols

For this product, it's our understanding that no specific protocols are required. You can visit:

Publications (1)

Recent publications for all applications. Explore the full list and refine your search

Chemico-biological interactions 382:110629 PubMed37442287

2023

Swainsonine inhibits autophagic degradation and causes cytotoxicity by reducing CTSD O-GlcNAcylation.

Applications

Unspecified application

Species

Unspecified reactive species

Shuai Wang,Panpan Tan,Hongwei Wang,Jicang Wang,Cai Zhang,Hao Lu,Baoyu Zhao
View all publications

Product promise

We are committed to supporting your work with high-quality reagents, and we're here for you every step of the way. In the unlikely event that one of our products does not perform as expected, you're protected by our Product Promise.
For full details, please see our Terms & Conditions

Please note: All products are 'FOR RESEARCH USE ONLY. NOT FOR USE IN DIAGNOSTIC OR THERAPEUTIC PROCEDURES'.

For licensing inquiries, please contact partnerships@abcam.com