JavaScript is disabled in your browser. Please enable JavaScript to view this website.
AB252384

Anti-O-Linked N-Acetylglucosamine antibody [EPR19847] - BSA and Azide free

Be the first to review this product! Submit a review

|

(0 Publication)

Rabbit Recombinant Monoclonal O-Linked N-Acetylglucosamine antibody. Carrier free. Suitable for IP, Dot, WB and reacts with Human, Rat, Synthetic peptide samples.
2 Images
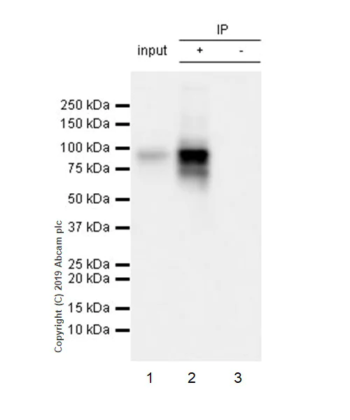
Immunoprecipitation - Anti-O-Linked N-Acetylglucosamine antibody [EPR19847] - BSA and Azide free (AB252384)
  • IP

Unknown

Immunoprecipitation - Anti-O-Linked N-Acetylglucosamine antibody [EPR19847] - BSA and Azide free (AB252384)

O-Linked N-Acetylglucosamine was immunoprecipitated from 0.35 mg HeLa (Human cervix adenocarcinoma epithelial cell) whole cell lysate with ab202665 at 1/30 dilution. Western blot was performed from the immunoprecipitate using ab202665 at 1/1,000 dilution. VeriBlot for IP Detection Reagent (HRP) (ab131366), was used for detection at 1/10,000 dilution.
Lane 1 : HeLa whole cell lysate 10 μg (Input).
Lane 2 : ab202665 IP in HeLa whole cell lysate.
Lane 3 : Rabbit monoclonal IgG (ab172730) instead of ab202665 in HeLa whole cell lysate.
Blocking/Dilution buffer : 5% NFDM/TBST.
Exposure time : 3 seconds.

This data was developed using the same antibody clone in a different buffer formulation containing PBS, BSA, glycerol, and sodium azide (ab202665).

All lanes:

Immunoprecipitation - Anti-O-Linked N-Acetylglucosamine antibody [EPR19847] (<a href='/en-us/products/primary-antibodies/o-linked-n-acetylglucosamine-antibody-epr19847-ab202665'>ab202665</a>)

false

Dot Blot - Anti-O-Linked N-Acetylglucosamine antibody [EPR19847] - BSA and Azide free (AB252384)
  • Dot

Unknown

Dot Blot - Anti-O-Linked N-Acetylglucosamine antibody [EPR19847] - BSA and Azide free (AB252384)

Dot Blot - Anti-O-Linked N-Acetylglucosamine antibody [EPR19847] (ab202665 1 : 1000 dilution).

Lane 1 : O-linked N-acetylglucosamine (O-GlcNAc) peptide 10 ng.

Lane 2 : Non-O-GlcNAc peptide 10 ng.

Blocking/Dilution buffer : 5% NFDM/TBST.

Secondary : Goat Anti-Rabbit IgG, (H+L), Peroxidase conjugated (ab97051 1 : 100,000 dilution).

Exposure time of 3 minutes.

The peptides were kindly provided by our collaborator Dr. Xing Chen, Peking University.

This data was developed using the same antibody clone in a different buffer formulation containing PBS, BSA, glycerol, and sodium azide (ab202665).

  • Unconjugated

    Anti-O-Linked N-Acetylglucosamine antibody [EPR19847]

Key facts

Host species

Rabbit

Clonality

Monoclonal

Clone number

EPR19847

Isotype

IgG

Carrier free

Yes

Reacts with

Rat, Human

Applications

Dot, IP, WB

applications

Immunogen

The exact immunogen used to generate this antibody is proprietary information.

Specificity

This product is recommended in human and rat and is not suitable for mouse. Cross-reactivity with other species has not been confirmed experimentally.

Reactivity data

{ "title": "Reactivity Data", "filters": { "stats": ["", "Species", "Dilution Info", "Notes"], "tabs": { "all-applications": {"fullname" : "All Applications", "shortname": "All Applications"}, "IP" : {"fullname" : "Immunoprecipitation", "shortname":"IP"}, "Dot" : {"fullname" : "Dot Blot", "shortname":"Dot"}, "WB" : {"fullname" : "Western blot", "shortname":"WB"} }, "product-promise": { "all": "all", "testedAndGuaranteed": "tested", "guaranteed": "expected", "predicted": "predicted", "notRecommended": "not-recommended" } }, "values": { "Human": { "IP-species-checked": "testedAndGuaranteed", "IP-species-dilution-info": "", "IP-species-notes": "<p></p>", "Dot-species-checked": "guaranteed", "Dot-species-dilution-info": "", "Dot-species-notes": "", "WB-species-checked": "testedAndGuaranteed", "WB-species-dilution-info": "", "WB-species-notes": "<p></p>" }, "Rat": { "IP-species-checked": "guaranteed", "IP-species-dilution-info": "", "IP-species-notes": "", "Dot-species-checked": "guaranteed", "Dot-species-dilution-info": "", "Dot-species-notes": "", "WB-species-checked": "testedAndGuaranteed", "WB-species-dilution-info": "", "WB-species-notes": "<p></p>" }, "Synthetic peptide": { "IP-species-checked": "notRecommended", "IP-species-dilution-info": "", "IP-species-notes": "", "Dot-species-checked": "testedAndGuaranteed", "Dot-species-dilution-info": "", "Dot-species-notes": "<p></p>", "WB-species-checked": "notRecommended", "WB-species-dilution-info": "", "WB-species-notes": "" } } }

Product details

ab252384 is the carrier-free version of ab202665.

Patented technology
Our RabMAb® technology is a patented hybridoma-based technology for making rabbit monoclonal antibodies. For details on our patents, please refer to RabMAb® patents.

What are the advantages of a recombinant monoclonal antibody?
This product is a recombinant monoclonal antibody, which offers several advantages including:

  • - High batch-to-batch consistency and reproducibility
  • - Improved sensitivity and specificity
  • - Long-term security of supply
  • - Animal-free batch production

For more information, read more on recombinant antibodies.

Conjugation ready
Our carrier-free antibodies are typically supplied in a PBS-only formulation, purified and free of BSA, sodium azide and glycerol. This conjugation-ready format is designed for use with fluorochromes, metal isotopes, oligonucleotides, and enzymes, which makes them ideal for antibody labelling, functional and cell-based assays, flow-based assays (e.g. mass cytometry) and Multiplex Imaging applications.

Use our conjugation kits for antibody conjugates that are ready-to-use in as little as 20 minutes with 1 minute hands-on-time and 100% antibody recovery: available for fluorescent dyes, HRP, biotin and gold.

Compatibility
This product is compatible with the Maxpar® Antibody Labeling Kit from Fluidigm, without the need for antibody preparation. Maxpar® is a trademark of Fluidigm Canada Inc.

Properties and storage information

Form
Liquid
Purification technique
Affinity purification Protein A
Storage buffer
pH: 7.2 - 7.4 Constituents: PBS
Shipped at conditions
Blue Ice
Appropriate short-term storage conditions
+4°C
Appropriate long-term storage conditions
+4°C
Storage information
Do Not Freeze

Supplementary information

This supplementary information is collated from multiple sources and compiled automatically.

O-Linked N-Acetylglucosamine (O-GlcNAc) is a post-translational modification involving the addition of a single N-acetylglucosamine moiety to the serine or threonine residues of nuclear and cytoplasmic proteins. This dynamic modification is sometimes referred to as O-GlcNAcylation. The molecular mass of the O-GlcNAc group itself is approximately 203 Da. This modification is expressed widely across various tissues notably in the brain and pancreas. O-GlcNAc plays a critical role in regulating protein function stability and interaction.
Biological function summary

O-GlcNAc modifies proteins influencing cellular processes such as transcription signal transduction and stress response. It is involved in the regulation of transcription factors like Sp1 and NF-kB and is associated with the O-GlcNAc transferase (OGT) and O-GlcNAcase (OGA) enzymes which respectively add and remove the GlcNAc group. O-GlcNAc functions in a manner similar to phosphorylation often competing with it on the same or adjacent serine/threonine sites. This modification is not part of a permanent protein complex but dynamically modulates protein interactions and activity.

Pathways

This modification plays a fundamental role in pathways related to nutrient sensing and insulin signaling. It modulates proteins such as insulin receptor substrate 1 (IRS1) and Akt to link nutrient status to cellular responses. The hexosamine biosynthetic pathway (HBP) is an important pathway in which O-GlcNAc is synthesized. Through these pathways it impacts cellular signaling and metabolism influencing processes like cellular growth and apoptosis.

O-GlcNAc modification connects to conditions like diabetes and Alzheimer's disease. Elevated O-GlcNAc levels contribute to insulin resistance a hallmark of type 2 diabetes through interaction with proteins such as IRS1 and Akt. In Alzheimer's O-GlcNAc modifies tau protein reducing its phosphorylation and aggregation therefore potentially affecting neurofibrillary tangle formation. These connections underline the importance of O-GlcNAc in the pathophysiology of these diseases and highlight its potential as a therapeutic target.

Product protocols

For this product, it's our understanding that no specific protocols are required. You can visit:

Product promise

We are committed to supporting your work with high-quality reagents, and we're here for you every step of the way. In the unlikely event that one of our products does not perform as expected, you're protected by our Product Promise.
For full details, please see our Terms & Conditions

Please note: All products are 'FOR RESEARCH USE ONLY. NOT FOR USE IN DIAGNOSTIC OR THERAPEUTIC PROCEDURES'.

For licensing inquiries, please contact partnerships@abcam.com