JavaScript is disabled in your browser. Please enable JavaScript to view this website.
AB272492

Anti-OAS1 antibody [EPR24824-162]

  • 20ul selling size
  • RabMAb
  • Recombinant
  • KO Validated
  • What is this?

Be the first to review this product! Submit a review

|

(5 Publications)

Rabbit Recombinant Monoclonal OAS1 antibody. Suitable for IP, Flow Cyt (Intra), WB and reacts with Human samples. Cited in 5 publications.

View Alternative Names

OIAS, OAS1, 2'-5'-oligoadenylate synthase 1, (2-5')oligo(A) synthase 1, 2-5A synthase 1, E18/E16, p46/p42 OAS

4 Images
Flow Cytometry (Intracellular) - Anti-OAS1 antibody [EPR24824-162] (AB272492)
  • Flow Cyt (Intra)

Lab

Flow Cytometry (Intracellular) - Anti-OAS1 antibody [EPR24824-162] (AB272492)

Flow cytometric analysis of 4% paraformaldehyde fixed 90% methanol permeabilized 293T (Human embryonic kidney epithelial cell, left) / Daudi (Human Burkitt's lymphoma lymphoblast, right) cells labelling OAS1 with ab272492 at 1/50 dilution (1ug)/ red (Red) compared with a Rabbit monoclonal IgG (ab172730) (Black) isotype control and an unlabelled control (cells without incubation with primary antibody and secondary antibody) (Blue). A Goat Anti-Rabbit IgG (Alexa Fluor® 488, ab150081) at 1/2000 dilution was used as the secondary antibody. Negative control : 293T(PMID : 19923450).

Immunoprecipitation - Anti-OAS1 antibody [EPR24824-162] (AB272492)
  • IP

Lab

Immunoprecipitation - Anti-OAS1 antibody [EPR24824-162] (AB272492)

OAS1 was immunoprecipitated from 0.35 mg NCI-H460 (human Large Cell Lung Cancer epithelial cell) whole cell lysate 10 ug with ab272492 at 1/30 dilution (2ug in 0.35mg lysates). Western blot was performed on the immunoprecipitate using ab272492 at 1/1000 dilution. VeriBlot for IP secondary antibody(HRP)(ab131366) was used at 1/5000 dilution.

Lane 1 : NCI-H460 (human Large Cell Lung Cancer epithelial cell) whole cell lysate 10 ug

Lane 2 : ab272492 IP in NCI-H460 whole cell lysate

Lane 3 : Rabbit monoclonal IgG (ab172730) instead of ab272492 in NCI-H460 whole cell lysate

Blocking and dilution buffer and concentration : 5% NFDM/TBST.

Exposure time : 32 seconds

All lanes:

Immunoprecipitation - Anti-OAS1 antibody [EPR24824-162] (ab272492)

Predicted band size: 46 kDa

false

Western blot - Anti-OAS1 antibody [EPR24824-162] (AB272492)
  • WB

Lab

Western blot - Anti-OAS1 antibody [EPR24824-162] (AB272492)

Blocking buffer and concentration : Intercept® (TBS) Blocking Buffer diluted with an equal volume of 0.1% TBS Diluting buffer and concentration : Intercept® (TBS) Blocking Buffer diluted with an equal volume of 0.1% TBST Lysates/proteins at 20 µg per lane. Performed under reducing conditions. False colour image of Western blot : Anti-OAS1antibody [EPR24824-162] (ab272492) staining at 1/1000 dilution, shown in green; Mouse anti-alpha Tubulin antibody [DM1A] (ab7291) loading control staining at 1/20000 dilution, shown in red. In Western blot, ab272492 was shown to bind specifically to OAS1. A band was observed at 42 kDa in wild-type HeLa cell lysates with no signal observed at this size in OAS1 knockout cell lysates (ab259009) (knockout cell line ab265578). To generate this image, wild-type and OAS1 knockout HeLa cell lysates were analyzed. First, samples were run on an SDS-PAGE gel then transferred onto an immobilon-FL PVDF membrane. Membranes were blocked in Intercept® (TBS) Blocking Buffer diluted with an equal volume of 0.1% TBS before incubation with primary antibodies overnight at 4 °C. Blots were washed four times in TBS-T, incubated with secondary antibodies for 1 h at room temperature, washed again four times then imaged. Secondary antibodies used were Goat anti-Rabbit IgG H&L (IRDye® 800CW) preabsorbed (ab216773) and Goat anti-Mouse IgG H&L (IRDye® 680RD) preabsorbed (ab216776) at 1/10000 dilution.

Lanes 1 - 4:

Western blot - Anti-OAS1 antibody [EPR24824-162] - BSA and Azide free (<a href='/en-us/products/primary-antibodies/oas1-antibody-epr24824-162-bsa-and-azide-free-ab284864'>ab284864</a>) at 1/1000 dilution

Lanes 1 - 4:

Western blot - Anti-OAS1 antibody [EPR24824-162] (ab272492) at 1/1000 dilution

Lane 1:

Wild-type HeLa (human cervix adenocarcinoma epithelial cell) whole cell lysate at 20 µg

Lane 2:

Wild-type HeLa treated with 1000 U/ml IFN beta for 28 hours, whole cell lysate at 20 µg

Lane 3:

OAS1 knockout HeLa whole cell lysate at 20 µg

Lane 4:

OAS1 knockout HeLa treated with 1000 U/ml IFN beta for 28 hours, whole cell lysate at 20 µg

Secondary

Lanes 1 - 4:

Western blot - Goat anti-Mouse IgG H&L (IRDye® 680RD) preadsorbed (<a href='/en-us/products/secondary-antibodies/goat-mouse-igg-h-l-irdye-680rd-preadsorbed-ab216776'>ab216776</a>) at 1/10000 dilution

Lanes 1 - 4:

Western blot - Goat anti-Rabbit IgG H&L (IRDye® 800CW) preadsorbed (<a href='/en-us/products/secondary-antibodies/goat-rabbit-igg-h-l-irdye-800cw-preadsorbed-ab216773'>ab216773</a>) at 1/10000 dilution

Predicted band size: 46 kDa

Observed band size: 42 kDa

false

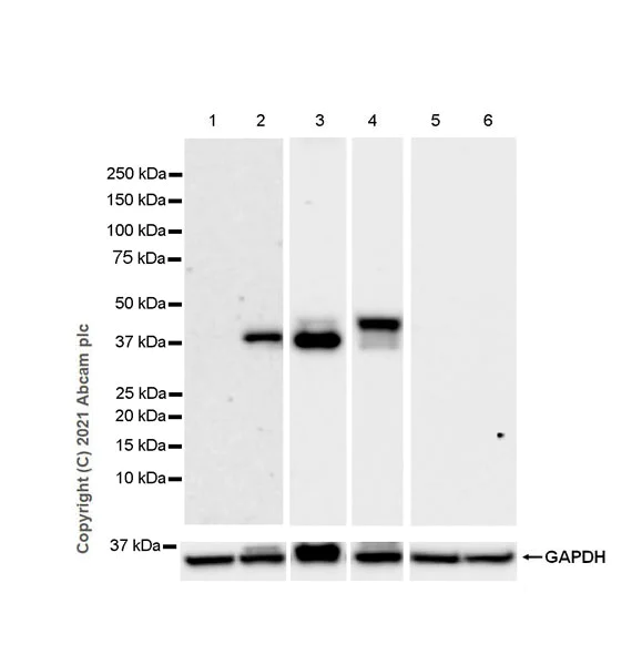
Western blot - Anti-OAS1 antibody [EPR24824-162] (AB272492)
  • WB

Lab

Western blot - Anti-OAS1 antibody [EPR24824-162] (AB272492)

Blocking and diluting buffer and concentration : 5% NFDM/TBSTThe molecular weight observed is consistent with what has been described in the literature (PMID : 25205466).

Negative control : LNCaP, 293T (PMID : 26997919).

Exposure time : Lane 1-2 : 3 minutes Lane 3-6 : 37 seconds

All lanes:

Western blot - Anti-OAS1 antibody [EPR24824-162] (ab272492) at 1/1000 dilution

Lane 1:

Untreated HeLa (human cervix adenocarcinoma epithelial cell) whole cell lysate

Lane 2:

HeLa treated with /ml IFN alpha 1 for 16 hours, whole cell lysate 20

Lane 3:

NCI-H460 (human Large Cell Lu Cancer epithelial cell) whole cell lysate 20

Lane 4:

Daudi (human Burkitts lymphoma lymphoblast) whole cell lysate

Lane 5:

LNCaP (human prostate carcinoma epithelial cell) whole cell lysate

Lane 6:

293T (human embryonic kidney epithelial cell) whole cell lysate

Secondary

All lanes:

Goat Anti-Rabbit IgG, (H+L), Peroxidase conjugated (<a href='/en-us/products/secondary-antibodies/goat-rabbit-igg-h-l-hrp-ab97051'>ab97051</a>) at 1/100000 dilution

Predicted band size: 46 kDa

false

Key facts

Host species

Rabbit

Clonality

Monoclonal

Clone number

EPR24824-162

Isotype

IgG

Carrier free

No

Reacts with

Human

Applications

WB, IP, Flow Cyt (Intra)

applications

Immunogen

The exact immunogen used to generate this antibody is proprietary information.

Reactivity data

{ "title": "Reactivity Data", "filters": { "stats": ["", "Species", "Dilution Info", "Notes"], "tabs": { "all-applications": {"fullname" : "All Applications", "shortname": "All Applications"}, "ICCIF" : {"fullname" : "Immunocytochemistry/ Immunofluorescence", "shortname":"ICC/IF"}, "IP" : {"fullname" : "Immunoprecipitation", "shortname":"IP"}, "FlowCytIntra" : {"fullname" : "Flow Cytometry (Intracellular)", "shortname":"Flow Cyt (Intra)"}, "WB" : {"fullname" : "Western blot", "shortname":"WB"}, "IHCP" : {"fullname" : "Immunohistochemistry (Formalin/PFA-fixed paraffin-embedded sections)", "shortname":"IHC-P"} }, "product-promise": { "all": "all", "testedAndGuaranteed": "tested", "guaranteed": "expected", "predicted": "predicted", "notRecommended": "not-recommended" } }, "values": { "Human": { "ICCIF-species-checked": "notRecommended", "ICCIF-species-dilution-info": "", "ICCIF-species-notes": "<p></p>", "IP-species-checked": "testedAndGuaranteed", "IP-species-dilution-info": "1/30", "IP-species-notes": "<p></p>", "FlowCytIntra-species-checked": "testedAndGuaranteed", "FlowCytIntra-species-dilution-info": "1/50", "FlowCytIntra-species-notes": "<p></p>", "WB-species-checked": "testedAndGuaranteed", "WB-species-dilution-info": "1/1000", "WB-species-notes": "<p></p>", "IHCP-species-checked": "notRecommended", "IHCP-species-dilution-info": "", "IHCP-species-notes": "<p></p>" }, "Mouse": { "ICCIF-species-checked": "notRecommended", "ICCIF-species-dilution-info": "", "ICCIF-species-notes": "", "IP-species-checked": "notRecommended", "IP-species-dilution-info": "", "IP-species-notes": "", "FlowCytIntra-species-checked": "notRecommended", "FlowCytIntra-species-dilution-info": "", "FlowCytIntra-species-notes": "", "WB-species-checked": "notRecommended", "WB-species-dilution-info": "1/1000", "WB-species-notes": "<p></p>", "IHCP-species-checked": "notRecommended", "IHCP-species-dilution-info": "", "IHCP-species-notes": "<p></p>" }, "Rat": { "ICCIF-species-checked": "notRecommended", "ICCIF-species-dilution-info": "", "ICCIF-species-notes": "", "IP-species-checked": "notRecommended", "IP-species-dilution-info": "", "IP-species-notes": "", "FlowCytIntra-species-checked": "notRecommended", "FlowCytIntra-species-dilution-info": "", "FlowCytIntra-species-notes": "", "WB-species-checked": "notRecommended", "WB-species-dilution-info": "1/1000", "WB-species-notes": "<p></p>", "IHCP-species-checked": "notRecommended", "IHCP-species-dilution-info": "", "IHCP-species-notes": "<p></p>" } } }

Product details

Patented technology
Our RabMAb® technology is a patented hybridoma-based technology for making rabbit monoclonal antibodies. For details on our patents, please refer to RabMAb® patents.

What are the advantages of a recombinant monoclonal antibody?
This product is a recombinant monoclonal antibody, which offers several advantages including:

  • - High batch-to-batch consistency and reproducibility
  • - Improved sensitivity and specificity
  • - Long-term security of supply
  • - Animal-free batch production

For more information, read more on recombinant antibodies.

Properties and storage information

Form
Liquid
Purification technique
Affinity purification Protein A
Storage buffer
pH: 7.2 - 7.4 Preservative: 0.01% Sodium azide Constituents: PBS, 40% Glycerol (glycerin, glycerine), 0.05% BSA
Shipped at conditions
Blue Ice
Appropriate short-term storage duration
1-2 weeks
Appropriate short-term storage conditions
+4°C
Appropriate long-term storage conditions
-20°C
Aliquoting information
Upon delivery aliquot

Supplementary information

This supplementary information is collated from multiple sources and compiled automatically.

The OAS1 protein also known as 2'-5'-oligoadenylate synthetase 1 plays an important role in the antiviral response of the body. It has a molecular mass of approximately 42 kDa. This protein is expressed in various tissues including the liver lungs and heart. OAS1 is part of a family of interferon-induced enzymes that synthesize 2'-5'-linked oligoadenylates which are important for cellular defense mechanisms against viral infections.
Biological function summary

The creation of 2'-5'-linked oligoadenylates by OAS1 is essential in activating RNase L an enzyme that degrades viral and cellular RNA to impede viral replication. OAS1 does not operate as part of a larger protein complex but functions independently to mediate antiviral activities. It has been observed that upon viral infection the levels of OAS1 increase enhancing the interferon response and cytokine signaling.

Pathways

OAS1 plays a significant role in the interferon signaling pathway and innate immune response pathways. Within these pathways OAS1 interacts with other proteins such as RNase L and is also associated with STAT1 a critical mediator of the cellular response to interferons. The function of OAS1 within these pathways highlights its importance in modulating immune responses to pathogens.

OAS1 has been linked to conditions such as viral infections and autoimmune diseases. Its role in viral infections involves the detection and degradation of viral RNA thereby limiting viral proliferation. The interaction of OAS1 with RNase L is important in this process. In autoimmune disorders certain variants of OAS1 can alter immune function potentially contributing to abnormal immune responses and disease progression.

Product protocols

For this product, it's our understanding that no specific protocols are required. You can visit:

Target data

Interferon-induced, dsRNA-activated antiviral enzyme which plays a critical role in cellular innate antiviral response (PubMed : 34581622). In addition, it may also play a role in other cellular processes such as apoptosis, cell growth, differentiation and gene regulation. Synthesizes higher oligomers of 2'-5'-oligoadenylates (2-5A) from ATP which then bind to the inactive monomeric form of ribonuclease L (RNase L) leading to its dimerization and subsequent activation. Activation of RNase L leads to degradation of cellular as well as viral RNA, resulting in the inhibition of protein synthesis, thus terminating viral replication (PubMed : 34145065, PubMed : 34581622). Can mediate the antiviral effect via the classical RNase L-dependent pathway or an alternative antiviral pathway independent of RNase L. The secreted form displays antiviral effect against vesicular stomatitis virus (VSV), herpes simplex virus type 2 (HSV-2), and encephalomyocarditis virus (EMCV) and stimulates the alternative antiviral pathway independent of RNase L.. Isoform p46. When prenylated at C-terminal, acts as a double-stranded RNA (dsRNA) sensor specifically targeted to membranous replicative organelles in SARS coronavirus-2/SARS-CoV-2 infected cells where it binds to dsRNA structures in the SARS-CoV-2 5'-UTR and initiates a potent block to SARS-CoV-2 replication. Recognizes short stretches of dsRNA and activates RNase L. The binding is remarkably specific, with two conserved stem loops in the SARS-CoV-2 5'- untranslated region (UTR) constituting the principal viral target (PubMed : 34581622). The same mechanism is necessary to initiate a block to cardiovirus EMCV (PubMed : 34581622).. Isoform p42. Not prenylated at C-terminal, is diffusely localized and unable to initiate a detectable block to SARS-CoV-2 replication.
See full target information OAS1

Publications (5)

Recent publications for all applications. Explore the full list and refine your search

Journal of virology 99:e0156724 PubMed39601590

2024

The antiviral activity of myricetin against pseudorabies virus through regulation of the type I interferon signaling pathway.

Applications

Unspecified application

Species

Unspecified reactive species

Yizhen Song,Xufan Zhao,Yaqin Chen,Xingyue Yu,Tianli Su,Juan Wang,Tingke He,Zhongqiong Yin,Renyong Jia,Xinhong Zhao,Xun Zhou,Lixia Li,Yuanfeng Zou,Mingyue Li,Dongmei Zhang,Yingying Zhang,Xu Song

Frontiers in immunology 15:1343805 PubMed39403387

2024

Unlocking the secrets of NPSLE: the role of dendritic cell-secreted CCL2 in blood-brain barrier disruption.

Applications

Unspecified application

Species

Unspecified reactive species

Lei Wang,Guimin Zheng,Peiwen Wang,Xiuchuan Jia

The Journal of biological chemistry 300:107783 PubMed39303913

2024

Downregulation of the mA reader YTHDC2 upregulates exosome content in lung adenocarcinoma via inhibiting IFIT and OAS family members.

Applications

Unspecified application

Species

Unspecified reactive species

Zhixin Yin,Lifang Ma,Xiaoting Tian,Qi Sun,Congcong Zhang,Yikun Wang,Yayou Miao,Xiangfei Xue,Yongjie Wang,Jiayi Wang,Xiao Zhang,Xumin Hou

Journal of virology 97:e0121723 PubMed37815352

2023

OAS1 suppresses African swine fever virus replication by recruiting TRIM21 to degrade viral major capsid protein.

Applications

Unspecified application

Species

Unspecified reactive species

Hualin Sun,Mengli Wu,Zhonghui Zhang,Yiwang Wang,Jifei Yang,Zhijie Liu,Guiquan Guan,Jianxun Luo,Hong Yin,Qingli Niu

Frontiers in immunology 12:793517 PubMed34975898

2021

The Expression of ephrinA1/ephA2 Receptor Increases in Chronic Rhinosinusitis and ephrinA1/ephA2 Signaling Affects Rhinovirus-Induced Innate Immunity in Human Sinonasal Epithelial Cells.

Applications

Unspecified application

Species

Unspecified reactive species

Sang Hag Lee,Sung Hoon Kang,Mun Soo Han,Ji Won Kwak,Hyeon Geun Kim,Tae Hoon Lee,Da Bin Lee,Tae Hoon Kim
View all publications

Product promise

We are committed to supporting your work with high-quality reagents, and we're here for you every step of the way. In the unlikely event that one of our products does not perform as expected, you're protected by our Product Promise.
For full details, please see our Terms & Conditions

Please note: All products are 'FOR RESEARCH USE ONLY. NOT FOR USE IN DIAGNOSTIC OR THERAPEUTIC PROCEDURES'.

For licensing inquiries, please contact partnerships@abcam.com