JavaScript is disabled in your browser. Please enable JavaScript to view this website.
AB195968

Anti-OAS2 antibody

Be the first to review this product! Submit a review

|

(3 Publications)

Goat Polyclonal OAS2 antibody. Suitable for WB, IHC-P and reacts with Human samples. Cited in 3 publications. Immunogen corresponding to Synthetic Peptide within Human OAS2 aa 350-400.

View Alternative Names

2'-5'-oligoadenylate synthase 2, (2-5')oligo(A) synthase 2, 2-5A synthase 2, p69 OAS / p71 OAS, p69OAS / p71OAS, OAS2

2 Images
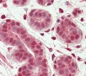
Immunohistochemistry (Formalin/PFA-fixed paraffin-embedded sections) - Anti-OAS2 antibody (AB195968)
  • IHC-P

Supplier Data

Immunohistochemistry (Formalin/PFA-fixed paraffin-embedded sections) - Anti-OAS2 antibody (AB195968)

Immunohistochemical analysis of formalin-fixed, paraffin-embedded Human breast tissue labeling OAS2 with ab195968 at 5 μg/ml.

Western blot - Anti-OAS2 antibody (AB195968)
  • WB

Supplier Data

Western blot - Anti-OAS2 antibody (AB195968)

Primary incubation was 1 hour.

All lanes:

Western blot - Anti-OAS2 antibody (ab195968) at 0.3 µg/mL

Lane 1:

Daudi cell lysate (in RIPA buffer) at 35 µg

Lane 2:

Jurkat cell lysate (in RIPA buffer) at 35 µg

Lane 3:

K562 cell lysate (in RIPA buffer) at 35 µg

Predicted band size: 82 kDa

Observed band size: 70 kDa

true

Key facts

Host species

Goat

Clonality

Polyclonal

Isotype

IgG

Carrier free

No

Reacts with

Human

Applications

WB, IHC-P

applications

Immunogen

Synthetic Peptide within Human OAS2 aa 350-400. The exact immunogen used to generate this antibody is proprietary information.

P29728

Reactivity data

{ "title": "Reactivity Data", "filters": { "stats": ["", "Species", "Dilution Info", "Notes"], "tabs": { "all-applications": {"fullname" : "All Applications", "shortname": "All Applications"}, "WB" : {"fullname" : "Western blot", "shortname":"WB"}, "IHCP" : {"fullname" : "Immunohistochemistry (Formalin/PFA-fixed paraffin-embedded sections)", "shortname":"IHC-P"} }, "product-promise": { "all": "all", "testedAndGuaranteed": "tested", "guaranteed": "expected", "predicted": "predicted", "notRecommended": "not-recommended" } }, "values": { "Human": { "WB-species-checked": "testedAndGuaranteed", "WB-species-dilution-info": "0.3-1 µg/mL", "WB-species-notes": "<p></p>", "IHCP-species-checked": "testedAndGuaranteed", "IHCP-species-dilution-info": "5 µg/mL", "IHCP-species-notes": "<p></p>" }, "Chimpanzee": { "WB-species-checked": "predicted", "WB-species-dilution-info": "", "WB-species-notes": "", "IHCP-species-checked": "predicted", "IHCP-species-dilution-info": "", "IHCP-species-notes": "" } } }

Properties and storage information

Form
Liquid
Purification technique
Affinity purification Immunogen
Storage buffer
pH: 7.3 Preservative: 0.02% Sodium azide Constituents: 99% Tris buffered saline, 0.5% BSA
Shipped at conditions
Blue Ice
Appropriate short-term storage duration
1-2 weeks
Appropriate short-term storage conditions
+4°C
Appropriate long-term storage conditions
-20°C
Aliquoting information
Upon delivery aliquot
Storage information
Avoid freeze / thaw cycle

Supplementary information

This supplementary information is collated from multiple sources and compiled automatically.

Oligoadenylate synthetase 2 (OAS2) is also known as OAS2A and OAS2LLC. It belongs to the 2'-5' oligoadenylate synthase family and possesses a mass of approximately 71 kDa. OAS2 is expressed in various tissues with higher levels noted in the liver and immune cells. Its mechanical function involves the synthesis of 2'-5' linked oligoadenylates (2-5A) upon activation by double-stranded RNA a byproduct of viral infections signalling for the degradation of viral RNA.
Biological function summary

OAS2 is essential in the innate immune response against viral infections. It forms part of a protein complex that activates RNase L an enzyme responsible for degrading viral and cellular RNA thereby limiting viral replication. By doing this OAS2 helps control viral proliferation during the early phases of infection contributing to the host's antiviral defense mechanisms.

Pathways

OAS2 functions in the antiviral pathway related to the innate immune response. It closely associates with the interferon signaling pathway initiating a cascade of reactions that enhance the immune response. RNase L and OAS1 are important proteins related to OAS2 in this pathway. Both proteins synergistically work to recognize and respond to viral infections ensuring an effective and timely immune response.

Researchers have linked OAS2 to diseases such as viral hepatitis and autoimmune disorders like SLE (Systemic Lupus Erythematosus). In viral hepatitis OAS2 plays a role in limiting the replication of hepatitis viruses and studies have observed its interaction with proteins like interleukin-6 (IL-6) within the context of SLE. The aberrant activation or regulation of OAS2 might contribute to disease pathogenesis or severity making it a potential target for therapeutic intervention.

Product protocols

For this product, it's our understanding that no specific protocols are required. You can visit:

Target data

Interferon-induced, dsRNA-activated antiviral enzyme which plays a critical role in cellular innate antiviral response (PubMed : 10464285, PubMed : 9880569). Activated by detection of double stranded RNA (dsRNA) : polymerizes higher oligomers of 2'-5'-oligoadenylates (2-5A) from ATP which then bind to the inactive monomeric form of ribonuclease L (RNASEL) leading to its dimerization and subsequent activation (PubMed : 10464285, PubMed : 11682059, PubMed : 9880569). Activation of RNASEL leads to degradation of cellular as well as viral RNA, resulting in the inhibition of protein synthesis, thus terminating viral replication (PubMed : 10464285, PubMed : 9880569). Can mediate the antiviral effect via the classical RNASEL-dependent pathway or an alternative antiviral pathway independent of RNASEL (PubMed : 21142819). In addition, it may also play a role in other cellular processes such as apoptosis, cell growth, differentiation and gene regulation (PubMed : 21142819). May act as a negative regulator of lactation, stopping lactation in virally infected mammary gland lobules, thereby preventing transmission of viruses to neonates (By similarity). Non-infected lobules would not be affected, allowing efficient pup feeding during infection (By similarity).
See full target information OAS2

Publications (3)

Recent publications for all applications. Explore the full list and refine your search

The Journal of biological chemistry 300:107783 PubMed39303913

2024

Downregulation of the mA reader YTHDC2 upregulates exosome content in lung adenocarcinoma via inhibiting IFIT and OAS family members.

Applications

Unspecified application

Species

Unspecified reactive species

Zhixin Yin,Lifang Ma,Xiaoting Tian,Qi Sun,Congcong Zhang,Yikun Wang,Yayou Miao,Xiangfei Xue,Yongjie Wang,Jiayi Wang,Xiao Zhang,Xumin Hou

Mediators of inflammation 2023:2936236 PubMed36643587

2023

Resveratrol Improves the Progression of Osteoarthritis by Regulating the SIRT1-FoxO1 Pathway-Mediated Cholesterol Metabolism.

Applications

Unspecified application

Species

Unspecified reactive species

ChuanCai Liang,Hengte Xing,ChenYu Wang,XiongFeng Xu,Yarong Hao,Bo Qiu

Bioengineered 12:6403-6417 PubMed34516354

2021

Long noncoding RNA SATB1-AS1 contributes to the chemotherapy resistance through the microRNA-580/ 2'-5'-oligoadenylate synthetase 2 axis in acute myeloid leukemia.

Applications

Unspecified application

Species

Unspecified reactive species

Hong Zhou,Xiaofeng Jia,Fan Yang,Pengfei Shi
View all publications

Product promise

We are committed to supporting your work with high-quality reagents, and we're here for you every step of the way. In the unlikely event that one of our products does not perform as expected, you're protected by our Product Promise.
For full details, please see our Terms & Conditions

Please note: All products are 'FOR RESEARCH USE ONLY. NOT FOR USE IN DIAGNOSTIC OR THERAPEUTIC PROCEDURES'.

For licensing inquiries, please contact partnerships@abcam.com