JavaScript is disabled in your browser. Please enable JavaScript to view this website.
AB312839

Anti-OATP1B1 antibody [EPR27070-49] - BSA and Azide free

Be the first to review this product! Submit a review

|

(0 Publication)

Rabbit Recombinant Monoclonal OATP1B1 antibody. Carrier free. Suitable for WB, IHC-P, Dot and reacts with Human, Transfected cell lysate - Human samples.

View Alternative Names

LST1, OATP1B1, OATP2, OATPC, SLC21A6, SLCO1B1, Solute carrier organic anion transporter family member 1B1, Liver-specific organic anion transporter 1, OATP-C, Organic anion transporter SLC21A6, Sodium-independent organic anion-transporting polypeptide 2, Solute carrier family 21 member 6, LST-1, OATP-2

5 Images
Immunohistochemistry (Formalin/PFA-fixed paraffin-embedded sections) - Anti-OATP1B1 antibody [EPR27070-49] - BSA and Azide free (AB312839)
  • IHC-P

Supplier Data

Immunohistochemistry (Formalin/PFA-fixed paraffin-embedded sections) - Anti-OATP1B1 antibody [EPR27070-49] - BSA and Azide free (AB312839)

This data was developed using ab312838, the same antibody clone in a different buffer formulation. Immunohistochemical analysis of paraffin-embedded Human kidney tissue labeling OATP1B1 with ab312838 at 1/2000 (0.255 ug/ml) followed by a ready to use LeicaDS9800 (Bond™ Polymer Refine Detection). Negative control : no staining on human kidney. The section was incubated with ab312838 for 30 mins at room temperature. The immunostaining was performed on a Leica Biosystems BOND® RX instrument. Counterstained with Hematoxylin. Secondary antibody only control : Secondary antibody is a ready to use LeicaDS9800 (Bond™ Polymer Refine Detection). Heat mediated antigen retrieval was performed with Tris-EDTA buffer (pH 9.0, Epitope Retrieval Solution2) for 20 mins.

Immunohistochemistry (Formalin/PFA-fixed paraffin-embedded sections) - Anti-OATP1B1 antibody [EPR27070-49] - BSA and Azide free (AB312839)
  • IHC-P

Supplier Data

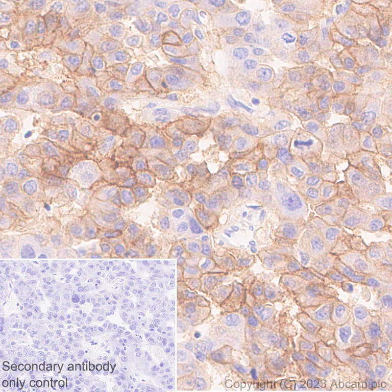
Immunohistochemistry (Formalin/PFA-fixed paraffin-embedded sections) - Anti-OATP1B1 antibody [EPR27070-49] - BSA and Azide free (AB312839)

This data was developed using ab312838, the same antibody clone in a different buffer formulation. Immunohistochemical analysis of paraffin-embedded Human hepatocellular tissue labeling OATP1B1 with ab312838 at 1/2000 (0.255 ug/ml) followed by a ready to use LeicaDS9800 (Bond™ Polymer Refine Detection). Positive staining on human hepatocellular carcinoma. The section was incubated with ab312838 for 30 mins at room temperature. The immunostaining was performed on a Leica Biosystems BOND® RX instrument. Counterstained with Hematoxylin. Secondary antibody only control : Secondary antibody is a ready to use LeicaDS9800 (Bond™ Polymer Refine Detection). Heat mediated antigen retrieval was performed with Tris-EDTA buffer (pH 9.0, Epitope Retrieval Solution2) for 20 mins.

Immunohistochemistry (Formalin/PFA-fixed paraffin-embedded sections) - Anti-OATP1B1 antibody [EPR27070-49] - BSA and Azide free (AB312839)
  • IHC-P

Supplier Data

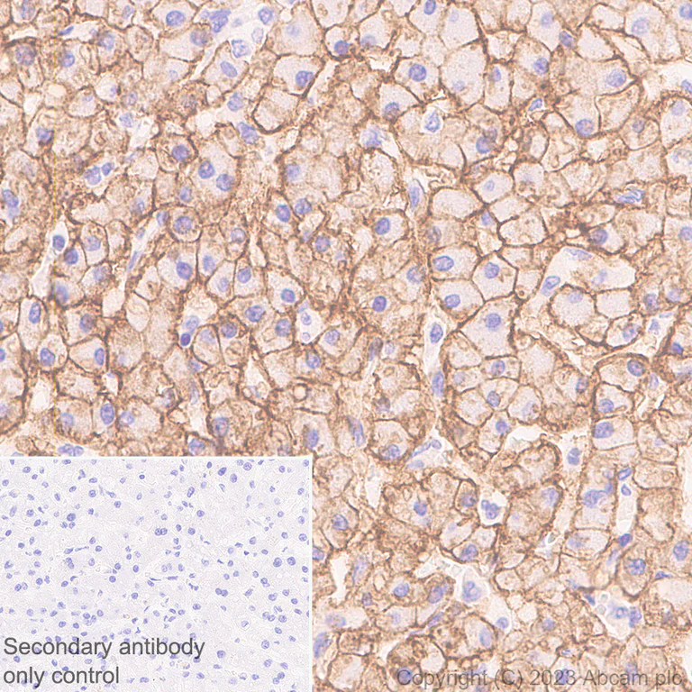
Immunohistochemistry (Formalin/PFA-fixed paraffin-embedded sections) - Anti-OATP1B1 antibody [EPR27070-49] - BSA and Azide free (AB312839)

This data was developed using ab312838, the same antibody clone in a different buffer formulation. Immunohistochemical analysis of paraffin-embedded Human liver tissue labeling OATP1B1 with ab312838 at 1/2000 (0.255 ug/ml) followed by a ready to use LeicaDS9800 (Bond™ Polymer Refine Detection). Positive staining on human liver. The section was incubated with ab312838 for 30 mins at room temperature. The immunostaining was performed on a Leica Biosystems BOND® RX instrument. Counterstained with Hematoxylin. Secondary antibody only control : Secondary antibody is a ready to use LeicaDS9800 (Bond™ Polymer Refine Detection). Heat mediated antigen retrieval was performed with Tris-EDTA buffer (pH 9.0, Epitope Retrieval Solution2) for 20 mins.

Western blot - Anti-OATP1B1 antibody [EPR27070-49] - BSA and Azide free (AB312839)
  • WB

Supplier Data

Western blot - Anti-OATP1B1 antibody [EPR27070-49] - BSA and Azide free (AB312839)

This data was developed using ab312838, the same antibody clone in a different buffer formulation. Blocking and diluting buffer and concentration : 5% NFDM/TBST Negative control : Human kidney, Human skeletal muscle (PMID : 10644574). The molecular weight observed is consistent with what has been described in the literature (PMID : 30970235, 16697742). Lane 1 lysate was prepared via the 1% SDS HOT lysis method, lanes 2-4 were prepared via RIPA lysis. In Western blot, anti-GAPDH antibody (ab181602) loading control staining at 1/200000 dilution. Exposure time : 10 seconds

All lanes:

Western blot - Anti-OATP1B1 antibody [EPR27070-49] (<a href='/en-us/products/primary-antibodies/oatp1b1-antibody-epr27070-49-ab312838'>ab312838</a>) at 1/1000 dilution

Lane 1:

Human liver tissue lysate at 20 µg

Lane 2:

Human liver cancer tissue lysate at 20 µg

Lane 3:

Human kidney tissue lysate at 20 µg

Lane 4:

Human skeletal muscle tissue lysate at 20 µg

Secondary

All lanes:

Goat Anti-Rabbit IgG, (H+L), Peroxidase conjugated (<a href='/en-us/products/secondary-antibodies/goat-rabbit-igg-h-l-hrp-ab97051'>ab97051</a>) at 1/100000 dilution

Observed band size: 72 kDa,95 kDa

false

Exposure time: 10s

Dot Blot - Anti-OATP1B1 antibody [EPR27070-49] - BSA and Azide free (AB312839)
  • Dot

Supplier Data

Dot Blot - Anti-OATP1B1 antibody [EPR27070-49] - BSA and Azide free (AB312839)

Dot blot analysis of OATP1B1 using ab312838 at 1 : 1000 (0.51 ug/ml) followed by a Goat Anti-Rabbit IgG, (H+L), Peroxidase conjugated (ab97051) at 1 : 100,000 dilution. Lane 1 : 293T cells transfected with a human OATPB3 expression vector containing a His-tag whole cell lysate 1 μg Lane 2 : 293T cells transfected with a human OATPB7 expression vector containing a His-tag whole cell lysate 100 ng Lane 3 : 293T cells transfected with a human OATPB1 expression vector containing a His-tag whole cell lysate 50 ng Exposure time : 15 sceonds Blocking and diluting buffer and concentration : 5% NFDM/TBST

Key facts

Host species

Rabbit

Clonality

Monoclonal

Clone number

EPR27070-49

Isotype

IgG

Carrier free

Yes

Reacts with

Human

Applications

IHC-P, Dot, WB

applications

Immunogen

The exact immunogen used to generate this antibody is proprietary information.

Reactivity data

{ "title": "Reactivity Data", "filters": { "stats": ["", "Species", "Dilution Info", "Notes"], "tabs": { "all-applications": {"fullname" : "All Applications", "shortname": "All Applications"}, "WB" : {"fullname" : "Western blot", "shortname":"WB"}, "IHCP" : {"fullname" : "Immunohistochemistry (Formalin/PFA-fixed paraffin-embedded sections)", "shortname":"IHC-P"}, "IP" : {"fullname" : "Immunoprecipitation", "shortname":"IP"}, "Dot" : {"fullname" : "Dot Blot", "shortname":"Dot"} }, "product-promise": { "all": "all", "testedAndGuaranteed": "tested", "guaranteed": "expected", "predicted": "predicted", "notRecommended": "not-recommended" } }, "values": { "Human": { "WB-species-checked": "testedAndGuaranteed", "WB-species-dilution-info": "", "WB-species-notes": "<p></p>", "IHCP-species-checked": "testedAndGuaranteed", "IHCP-species-dilution-info": "", "IHCP-species-notes": "<p></p>", "IP-species-checked": "notRecommended", "IP-species-dilution-info": "", "IP-species-notes": "<p></p>", "Dot-species-checked": "guaranteed", "Dot-species-dilution-info": "", "Dot-species-notes": "" }, "Mouse": { "WB-species-checked": "notRecommended", "WB-species-dilution-info": "", "WB-species-notes": "<p></p>", "IHCP-species-checked": "notRecommended", "IHCP-species-dilution-info": "", "IHCP-species-notes": "<p></p>", "IP-species-checked": "notRecommended", "IP-species-dilution-info": "", "IP-species-notes": "<p></p>", "Dot-species-checked": "notRecommended", "Dot-species-dilution-info": "", "Dot-species-notes": "" }, "Rat": { "WB-species-checked": "notRecommended", "WB-species-dilution-info": "", "WB-species-notes": "<p></p>", "IHCP-species-checked": "notRecommended", "IHCP-species-dilution-info": "", "IHCP-species-notes": "<p></p>", "IP-species-checked": "notRecommended", "IP-species-dilution-info": "", "IP-species-notes": "", "Dot-species-checked": "notRecommended", "Dot-species-dilution-info": "", "Dot-species-notes": "" }, "Transfected cell lysate - Human": { "WB-species-checked": "notRecommended", "WB-species-dilution-info": "", "WB-species-notes": "", "IHCP-species-checked": "notRecommended", "IHCP-species-dilution-info": "", "IHCP-species-notes": "", "IP-species-checked": "notRecommended", "IP-species-dilution-info": "", "IP-species-notes": "", "Dot-species-checked": "testedAndGuaranteed", "Dot-species-dilution-info": "", "Dot-species-notes": "<p></p>" } } }

Product details

Patented technology
Our RabMAb® technology is a patented hybridoma-based technology for making rabbit monoclonal antibodies. For details on our patents, please refer to RabMAb® patents.

What are the advantages of a recombinant monoclonal antibody?
This product is a recombinant monoclonal antibody, which offers several advantages including:

  • - High batch-to-batch consistency and reproducibility
  • - Improved sensitivity and specificity
  • - Long-term security of supply
  • - Animal-free batch production

For more information, read more on recombinant antibodies.

Conjugation ready
Our carrier-free antibodies are typically supplied in a PBS-only formulation, purified and free of BSA, sodium azide and glycerol. This conjugation-ready format is designed for use with fluorochromes, metal isotopes, oligonucleotides, and enzymes, which makes them ideal for antibody labelling, functional and cell-based assays, flow-based assays (e.g. mass cytometry) and Multiplex Imaging applications.

Use our conjugation kits for antibody conjugates that are ready-to-use in as little as 20 minutes with 1 minute hands-on-time and 100% antibody recovery: available for fluorescent dyes, HRP, biotin and gold.

Compatibility
This product is compatible with the Maxpar® Antibody Labeling Kit from Fluidigm, without the need for antibody preparation. Maxpar® is a trademark of Fluidigm Canada Inc.

Properties and storage information

Form
Liquid
Purification technique
Affinity purification Protein A
Storage buffer
pH: 7.2 - 7.4 Constituents: PBS
Shipped at conditions
Blue Ice
Appropriate short-term storage conditions
+4°C
Appropriate long-term storage conditions
+4°C

Supplementary information

This supplementary information is collated from multiple sources and compiled automatically.

OATP1B1 also known as SLCO1B1 is a solute carrier organic anion transporter protein with a mass of approximately 85 kDa. This protein operates mechanically by transporting endogenous compounds and xenobiotics such as drugs across liver cell membranes. The primary expression of OATP1B1 occurs in the liver specifically on the basolateral membrane of hepatocytes. This localization facilitates its essential role in hepatic uptake of a variety of substances playing a critical role in pharmacokinetics.
Biological function summary

OATP1B1 contributes prominently to drug metabolism and clearance. It actively transports diverse substrates including bile acids bilirubin and drugs such as statins. While not part of a larger complex OATP1B1 functions alongside other hepatic transporters to ensure efficient clearance and detoxification processes in the liver. The activity of OATP1B1 is fundamental for maintaining drug concentrations within therapeutic ranges thereby protecting against toxicity.

Pathways

OATP1B1 is part of the hepatic drug metabolic pathway and the bile acid synthesis pathway. It works in coordination with other transporters like OATP1B3 and NTCP which also mediate hepatic uptake of organic anions and bile acids. The interaction among these transporters regulates the systemic levels of endogenous compounds and the clearance of therapeutic drugs influencing their efficacy and safety profiles.

OATP1B1 is linked to altered drug metabolism leading to statin-associated myopathy. Genetic variations in the OATP1B1 gene can reduce transporter function resulting in increased plasma concentration of statins which correlates with myopathy risk. Additionally OATP1B1 mutations may affect bilirubin handling contributing to conditions such as Rotor syndrome. Through these associations OATP1B1 interacts with other proteins affecting drug safety and disease states emphasizing its relevance in personalized medicine.

Product protocols

For this product, it's our understanding that no specific protocols are required. You can visit:

Target data

Mediates the Na(+)-independent uptake of organic anions (PubMed : 10358072, PubMed : 15159445, PubMed : 17412826). Shows broad substrate specificity, can transport both organic anions such as bile acid taurocholate (cholyltaurine) and conjugated steroids (dehydroepiandrosterone 3-sulfate, 17-beta-glucuronosyl estradiol, and estrone 3-sulfate), as well as eicosanoids (prostaglandin E2, thromboxane B2, leukotriene C4, and leukotriene E4), and thyroid hormones (T4/L-thyroxine, and T3/3,3',5'-triiodo-L-thyronine) (PubMed : 10358072, PubMed : 10601278, PubMed : 10873595, PubMed : 11159893, PubMed : 12196548, PubMed : 12568656, PubMed : 15159445, PubMed : 15970799, PubMed : 16627748, PubMed : 17412826, PubMed : 19129463, PubMed : 26979622). Can take up bilirubin glucuronides from plasma into the liver, contributing to the detoxification-enhancing liver-blood shuttling loop (PubMed : 22232210). Involved in the clearance of endogenous and exogenous substrates from the liver (PubMed : 10358072, PubMed : 10601278). Transports coproporphyrin I and III, by-products of heme synthesis, and may be involved in their hepatic disposition (PubMed : 26383540). May contribute to regulate the transport of organic compounds in testes across the blood-testis-barrier (Probable). Can transport HMG-CoA reductase inhibitors (also known as statins), such as pravastatin and pitavastatin, a clinically important class of hypolipidemic drugs (PubMed : 10601278, PubMed : 15159445, PubMed : 15970799). May play an important role in plasma and tissue distribution of the structurally diverse chemotherapeutic drug methotrexate (PubMed : 23243220). May also transport antihypertension agents, such as the angiotensin-converting enzyme (ACE) inhibitor prodrug enalapril, and the highly selective angiotensin II AT1-receptor antagonist valsartan, in the liver (PubMed : 16624871, PubMed : 16627748). Shows a pH-sensitive substrate specificity towards prostaglandin E2 and T4 which may be ascribed to the protonation state of the binding site and leads to a stimulation of substrate transport in an acidic microenvironment (PubMed : 19129463). Hydrogencarbonate/HCO3(-) acts as the probable counteranion that exchanges for organic anions (PubMed : 19129463).
See full target information SLCO1B1

Product promise

We are committed to supporting your work with high-quality reagents, and we're here for you every step of the way. In the unlikely event that one of our products does not perform as expected, you're protected by our Product Promise.
For full details, please see our Terms & Conditions

Please note: All products are 'FOR RESEARCH USE ONLY. NOT FOR USE IN DIAGNOSTIC OR THERAPEUTIC PROCEDURES'.

For licensing inquiries, please contact partnerships@abcam.com