JavaScript is disabled in your browser. Please enable JavaScript to view this website.
AB242407

Anti-OATP5A1 antibody [EPR14395(2)] - BSA and Azide free

Be the first to review this product! Submit a review

|

(1 Publication)

Rabbit Recombinant Monoclonal OATP5A1 antibody. Carrier free. Suitable for WB, IHC-P and reacts with Mouse, Human samples. Cited in 1 publication.

View Alternative Names

OATP5A1, SLC21A15, SLCO5A1, Solute carrier organic anion transporter family member 5A1, Organic anion transporter polypeptide-related protein 4, Solute carrier family 21 member 15, OATP-RP4, OATPRP4

2 Images
Immunohistochemistry (Formalin/PFA-fixed paraffin-embedded sections) - Anti-OATP5A1 antibody [EPR14395(2)] - BSA and Azide free (AB242407)
  • IHC-P

Supplier Data

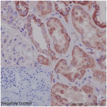
Immunohistochemistry (Formalin/PFA-fixed paraffin-embedded sections) - Anti-OATP5A1 antibody [EPR14395(2)] - BSA and Azide free (AB242407)

Immunohistochemical analysis of paraffin-embedded Human fetal kidney tissue labeling OATP5A1 using ab191412 at 1/100 dilution (10μg/mL). A Ready to use HRP Polymer for Rabbit IgG (prediluted) was used as secondary. Counterstain : Hematoxylin. Inset image : negative control obtained using PBS instead of ab191412.

This data was developed using the same antibody clone in a different buffer formulation containing PBS, BSA, glycerol, and sodium azide (ab191412)

Perform heat mediated antigen retrieval with Tris/EDTA buffer pH 9.0 before commencing with IHC staining protocol.

Immunohistochemistry (Formalin/PFA-fixed paraffin-embedded sections) - Anti-OATP5A1 antibody [EPR14395(2)] - BSA and Azide free (AB242407)
  • IHC-P

Supplier Data

Immunohistochemistry (Formalin/PFA-fixed paraffin-embedded sections) - Anti-OATP5A1 antibody [EPR14395(2)] - BSA and Azide free (AB242407)

Immunohistochemical analysis of paraffin-embedded Mouse fetal kidney tissue labeling OATP5A1 using ab191412 at 1/100 dilution (10 μg/mL). A Ready to use HRP Polymer for Rabbit IgG (prediluted) was used as secondary. Counterstain : Hematoxylin. Inset image : negative control obtained using PBS instead of ab191412.

This data was developed using the same antibody clone in a different buffer formulation containing PBS, BSA, glycerol, and sodium azide (ab191412)

Perform heat mediated antigen retrieval with Tris/EDTA buffer pH 9.0 before commencing with IHC staining protocol.

Key facts

Host species

Rabbit

Clonality

Monoclonal

Clone number

EPR14395(2)

Isotype

IgG

Carrier free

Yes

Reacts with

Mouse, Human

Applications

WB, IHC-P

applications

Immunogen

The exact immunogen used to generate this antibody is proprietary information.

Reactivity data

{ "title": "Reactivity Data", "filters": { "stats": ["", "Species", "Dilution Info", "Notes"], "tabs": { "all-applications": {"fullname" : "All Applications", "shortname": "All Applications"}, "WB" : {"fullname" : "Western blot", "shortname":"WB"}, "IHCP" : {"fullname" : "Immunohistochemistry (Formalin/PFA-fixed paraffin-embedded sections)", "shortname":"IHC-P"} }, "product-promise": { "all": "all", "testedAndGuaranteed": "tested", "guaranteed": "expected", "predicted": "predicted", "notRecommended": "not-recommended" } }, "values": { "Human": { "WB-species-checked": "guaranteed", "WB-species-dilution-info": "", "WB-species-notes": "<p></p>", "IHCP-species-checked": "testedAndGuaranteed", "IHCP-species-dilution-info": "", "IHCP-species-notes": "<p></p>" }, "Mouse": { "WB-species-checked": "guaranteed", "WB-species-dilution-info": "", "WB-species-notes": "<p></p>", "IHCP-species-checked": "predicted", "IHCP-species-dilution-info": "", "IHCP-species-notes": "" } } }

Product details

ab242407 is the carrier-free version of ab191412.

Patented technology
Our RabMAb® technology is a patented hybridoma-based technology for making rabbit monoclonal antibodies. For details on our patents, please refer to RabMAb® patents.

What are the advantages of a recombinant monoclonal antibody?
This product is a recombinant monoclonal antibody, which offers several advantages including:

  • - High batch-to-batch consistency and reproducibility
  • - Improved sensitivity and specificity
  • - Long-term security of supply
  • - Animal-free batch production

For more information, read more on recombinant antibodies.

Conjugation ready
Our carrier-free antibodies are typically supplied in a PBS-only formulation, purified and free of BSA, sodium azide and glycerol. This conjugation-ready format is designed for use with fluorochromes, metal isotopes, oligonucleotides, and enzymes, which makes them ideal for antibody labelling, functional and cell-based assays, flow-based assays (e.g. mass cytometry) and Multiplex Imaging applications.

Use our conjugation kits for antibody conjugates that are ready-to-use in as little as 20 minutes with 1 minute hands-on-time and 100% antibody recovery: available for fluorescent dyes, HRP, biotin and gold.

Compatibility
This product is compatible with the Maxpar® Antibody Labeling Kit from Fluidigm, without the need for antibody preparation. Maxpar® is a trademark of Fluidigm Canada Inc.

Properties and storage information

Form
Liquid
Purification technique
Affinity purification Protein A
Storage buffer
pH: 7.2 - 7.4 Constituents: PBS
Shipped at conditions
Blue Ice
Appropriate short-term storage conditions
+4°C
Appropriate long-term storage conditions
+4°C
Storage information
Do Not Freeze

Supplementary information

This supplementary information is collated from multiple sources and compiled automatically.

OATP5A1 also known as Organic Anion Transporting Polypeptide 5A1 or SLCO5A1 is a member of the solute carrier organic anion transporter family. This protein helps transport a wide variety of molecules including drugs hormones and waste across cell membranes. It weighs approximately 87 kDa. Researchers have observed its expression in several tissues which include the brain heart and placenta. Its role as a transporter makes it important for maintaining cellular homeostasis by facilitating substance exchange within the body.
Biological function summary

OATP5A1 participates in the cellular uptake of various endogenous and exogenous substrates. Although not a part of a larger protein complex OATP5A1 works in concert with other transporters and cellular components to contribute to effective intracellular transport mechanisms. It regulates the concentration of substances within cells supporting key physiological processes such as hormone regulation and drug metabolism impacting how these substances are processed and utilized.

Pathways

OATP5A1 plays significant roles in two important biological pathways: drug metabolism and hormone regulation. The protein's activity influences drug disposition and pharmacokinetics interacting with proteins like cytochrome P450 enzymes along the way. Furthermore OATP5A1 helps drive hormone regulatory pathways alongside proteins such as transporters from the same SLCO family facilitating the appropriate biological responses necessary for maintaining health.

OATP5A1 has links to cancer and multi-drug resistance. Abnormal expression or dysfunction of this transporter can alter drug accumulation in cells affecting chemotherapy's effectiveness and potentially leading to treatment-resistant cancer types. Similarly in the context of drug resistance studies indicate its association with other transporter proteins like P-glycoprotein emphasizing its function in mediating how cells react to pharmacological treatments. Understanding OATP5A1's behavior better could therefore illuminate target pathways for overcoming treatment resistance.

Product protocols

For this product, it's our understanding that no specific protocols are required. You can visit:

Publications (1)

Recent publications for all applications. Explore the full list and refine your search

Frontiers in pharmacology 11:820 PubMed32625084

2020

BCL11A Is Oncogenic and Predicts Poor Outcomes in Natural Killer/T-Cell Lymphoma.

Applications

Unspecified application

Species

Unspecified reactive species

Hongyun Shi,Chun Li,Wei Feng,Jianjun Yue,Jingfang Song,Aizhi Peng,Hua Wang
View all publications

Product promise

We are committed to supporting your work with high-quality reagents, and we're here for you every step of the way. In the unlikely event that one of our products does not perform as expected, you're protected by our Product Promise.
For full details, please see our Terms & Conditions

Please note: All products are 'FOR RESEARCH USE ONLY. NOT FOR USE IN DIAGNOSTIC OR THERAPEUTIC PROCEDURES'.

For licensing inquiries, please contact partnerships@abcam.com