JavaScript is disabled in your browser. Please enable JavaScript to view this website.
AB216575

Anti-Obestatin antibody [EPR19972]

Be the first to review this product! Submit a review

|

(1 Publication)

Rabbit Recombinant Monoclonal GHRL antibody. Suitable for WB, IHC-Fr, IHC-P and reacts with Human, Mouse samples. Cited in 1 publication.

View Alternative Names

MTLRP, UNQ524/PRO1066, GHRL, Appetite-regulating hormone, Growth hormone secretagogue, Growth hormone-releasing peptide, Motilin-related peptide, Protein M46

6 Images
Immunohistochemistry (Formalin/PFA-fixed paraffin-embedded sections) - Anti-Obestatin antibody [EPR19972] (AB216575)
  • IHC-P

Supplier Data

Immunohistochemistry (Formalin/PFA-fixed paraffin-embedded sections) - Anti-Obestatin antibody [EPR19972] (AB216575)

Immunohistochemical analysis of paraffin-embedded human colon tissue labeling Obestatin with ab216575 at 1/2000 dilution followed by Goat Anti-Rabbit IgG H&L (HRP) at a ready to use dilution.

Negative control : no staining on human colon [PMID : 18474938].

Counter stained with Hematoxylin.

Perform heat mediated antigen retrieval with Tris/EDTA buffer pH 9.0 before commencing with IHC staining protocol.

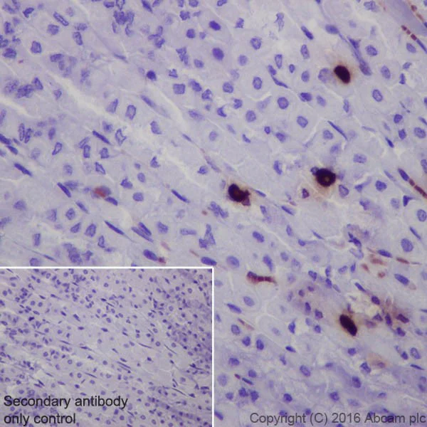
Immunohistochemistry (Formalin/PFA-fixed paraffin-embedded sections) - Anti-Obestatin antibody [EPR19972] (AB216575)
  • IHC-P

Supplier Data

Immunohistochemistry (Formalin/PFA-fixed paraffin-embedded sections) - Anti-Obestatin antibody [EPR19972] (AB216575)

Immunohistochemical analysis of paraffin-embedded human stomach tissue labeling Obestatin with ab216575 at 1/2000 dilution followed by Goat Anti-Rabbit IgG H&L (HRP) at a ready to use dilution.

Cytoplasmic staining on endocrine cells of human stomach is observed [PMID : 18474938].

Counter stained with Hematoxylin.

Secondary antibody only control : Used PBS instead of primary antibody secondary antibody is Goat Anti-Rabbit IgG H&L (HRP) at a ready to use dilution.

Perform heat mediated antigen retrieval with Tris/EDTA buffer pH 9.0 before commencing with IHC staining protocol.

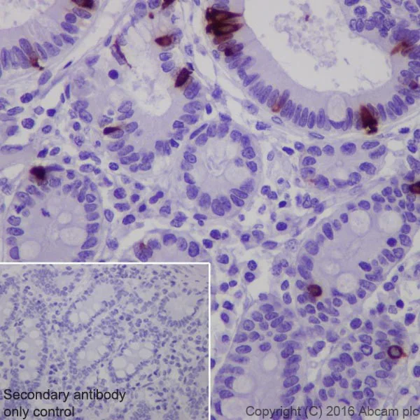
Immunohistochemistry (Formalin/PFA-fixed paraffin-embedded sections) - Anti-Obestatin antibody [EPR19972] (AB216575)
  • IHC-P

Supplier Data

Immunohistochemistry (Formalin/PFA-fixed paraffin-embedded sections) - Anti-Obestatin antibody [EPR19972] (AB216575)

Immunohistochemical analysis of paraffin-embedded human duodenum tissue labeling Obestatin with ab216575 at 1/2000 dilution followed by Goat Anti-Rabbit IgG H&L (HRP) at a ready to use dilution.

Cytoplasmic staining on endocrine cells of human duodenum is observed [PMID : 18474938].

Counter stained with Hematoxylin.

Secondary antibody only control : Used PBS instead of primary antibody secondary antibody is Goat Anti-Rabbit IgG H&L (HRP) (ab97051) at 1/500 dilution.

Perform heat mediated antigen retrieval with Tris/EDTA buffer pH 9.0 before commencing with IHC staining protocol.

Immunohistochemistry (Frozen sections) - Anti-Obestatin antibody [EPR19972] (AB216575)
  • IHC-Fr

Supplier Data

Immunohistochemistry (Frozen sections) - Anti-Obestatin antibody [EPR19972] (AB216575)

Immunohistochemical analysis of 4% paraformaldehyde-fixed 0.2% Triton X-100 permeabilized frozen mouse stomach tissue labeling Obestatin with ab216575 at 1/500 dilution followed by Goat anti-rabbit IgG (Alexa Fluor® 488) (ab150077) secondary antibody at 1/1000 dilution (green).

Cytoplasmic staining on endocrine cells of mouse stomach is observed PMID : 18474938].

The nuclear counterstain is DAPI (blue).

Secondary antibody only control : Used PBS instead of primary antibody secondary antibody is Goat anti-rabbit IgG (Alexa Fluor® 488) (ab150077) at 1/1000 dilution.

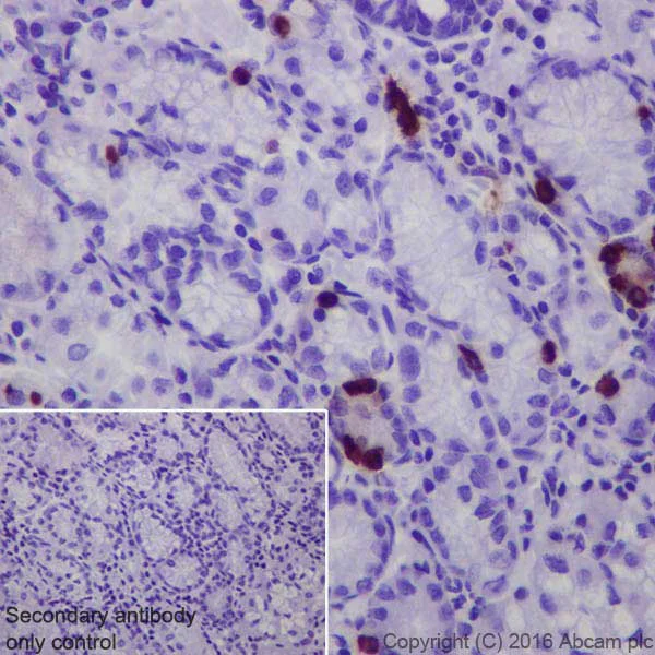
Immunohistochemistry (Formalin/PFA-fixed paraffin-embedded sections) - Anti-Obestatin antibody [EPR19972] (AB216575)
  • IHC-P

Supplier Data

Immunohistochemistry (Formalin/PFA-fixed paraffin-embedded sections) - Anti-Obestatin antibody [EPR19972] (AB216575)

Immunohistochemical analysis of paraffin-embedded mouse stomach tissue labeling Obestatin with ab216575 at 1/2000 dilution followed by Goat Anti-Rabbit IgG H&L (HRP) at a ready to use dilution.

Cytoplasmic staining on endocrine cells of mouse stomach is observed [PMID : 18474938].

Counter stained with Hematoxylin.

Secondary antibody only control : Used PBS instead of primary antibody secondary antibody is Goat Anti-Rabbit IgG H&L (HRP) at a ready to use dilution.

Perform heat mediated antigen retrieval with Tris/EDTA buffer pH 9.0 before commencing with IHC staining protocol.

Western blot - Anti-Obestatin antibody [EPR19972] (AB216575)
  • WB

Supplier Data

Western blot - Anti-Obestatin antibody [EPR19972] (AB216575)

Blocking/Dilution buffer : 5% NFDM/TBST.

Obestatin and Ghrelin are processed cleaved forms deriving from Appetite-regulating hormone. This product is specific to Obestatin.

Detecting Obestatin in endogenous tissues may require optimization.

All lanes:

Western blot - Anti-Obestatin antibody [EPR19972] (ab216575) at 1/1000 dilution

Lane 1:

GST and His-tagged human Appetite-regulating hormone, full length recombinant protein (aa1-117) at 0.005 µg

Lane 2:

His-tagged human Obestatin peptide (aa76-98)*5 at 0.005 µg

Lane 3:

His-tagged human Ghrelin peptide (aa24-51)*4 at 0.05 µg

Secondary

All lanes:

Western blot - Goat Anti-Rabbit IgG H&L (HRP) (<a href='/en-us/products/secondary-antibodies/goat-rabbit-igg-h-l-hrp-ab97051'>ab97051</a>) at 1/100000 dilution

Predicted band size: 13 kDa

Observed band size: 13 kDa,38 kDa

false

Exposure time: 1s

  • Carrier free

    Anti-Obestatin antibody [EPR19972] - BSA and Azide free

Key facts

Host species

Rabbit

Clonality

Monoclonal

Clone number

EPR19972

Isotype

IgG

Carrier free

No

Reacts with

Mouse, Human

Applications

IHC-Fr, WB, IHC-P

applications

Immunogen

The exact immunogen used to generate this antibody is proprietary information.

Reactivity data

{ "title": "Reactivity Data", "filters": { "stats": ["", "Species", "Dilution Info", "Notes"], "tabs": { "all-applications": {"fullname" : "All Applications", "shortname": "All Applications"}, "WB" : {"fullname" : "Western blot", "shortname":"WB"}, "IHCFr" : {"fullname" : "Immunohistochemistry (Frozen sections)", "shortname":"IHC-Fr"}, "IHCP" : {"fullname" : "Immunohistochemistry (Formalin/PFA-fixed paraffin-embedded sections)", "shortname":"IHC-P"} }, "product-promise": { "all": "all", "testedAndGuaranteed": "tested", "guaranteed": "expected", "predicted": "predicted", "notRecommended": "not-recommended" } }, "values": { "Human": { "WB-species-checked": "testedAndGuaranteed", "WB-species-dilution-info": "1/1000", "WB-species-notes": "<p></p>", "IHCFr-species-checked": "guaranteed", "IHCFr-species-dilution-info": "", "IHCFr-species-notes": "", "IHCP-species-checked": "testedAndGuaranteed", "IHCP-species-dilution-info": "1/2000", "IHCP-species-notes": "<p></p>" }, "Mouse": { "WB-species-checked": "guaranteed", "WB-species-dilution-info": "", "WB-species-notes": "", "IHCFr-species-checked": "testedAndGuaranteed", "IHCFr-species-dilution-info": "1/500", "IHCFr-species-notes": "<p>Antigen retrieval: Heated citrate solution (10mM citrate PH 6.0 + 0.05% Tween-20).</p>", "IHCP-species-checked": "testedAndGuaranteed", "IHCP-species-dilution-info": "1/2000", "IHCP-species-notes": "<p></p>" } } }

Product details

Patented technology
Our RabMAb® technology is a patented hybridoma-based technology for making rabbit monoclonal antibodies. For details on our patents, please refer to RabMAb® patents.

What are the advantages of a recombinant monoclonal antibody?
This product is a recombinant monoclonal antibody, which offers several advantages including:

  • - High batch-to-batch consistency and reproducibility
  • - Improved sensitivity and specificity
  • - Long-term security of supply
  • - Animal-free batch production

For more information, read more on recombinant antibodies.

Properties and storage information

Form
Liquid
Purification technique
Affinity purification Protein A
Storage buffer
pH: 7.2 - 7.4 Preservative: 0.01% Sodium azide Constituents: PBS, 40% Glycerol (glycerin, glycerine), 0.05% BSA
Shipped at conditions
Blue Ice
Appropriate short-term storage duration
1-2 weeks
Appropriate short-term storage conditions
+4°C
Appropriate long-term storage conditions
-20°C
Aliquoting information
Upon delivery aliquot
Storage information
Avoid freeze / thaw cycle

Supplementary information

This supplementary information is collated from multiple sources and compiled automatically.

Obestatin also known as the obestatin hormone is a 23-amino acid peptide with a mass of approximately 2.5 kDa. Researchers discovered it as a cleavage product from the Ghrelin preprohormone. Obestatin is mainly expressed in the stomach and small intestine but one can also find it in other tissues such as the pancreas and adipose tissue. This peptide acts mechanically by binding to its receptor GPR39 although the binding affinity and downstream effects remain subjects of investigation.
Biological function summary

This peptide hormone interacts with several bodily processes mostly related to gastrointestinal functions and energy homeostasis. It does not form part of a larger protein complex but acts independently. Studies suggest it could play roles in reducing food intake and slowing down gastric emptying potentially contrasting the action of Ghrelin which stimulates hunger. Understanding its precise biological role remains complex with ongoing research needed to clarify its function fully.

Pathways

Several metabolic circuits include obestatin within their framework. It engages in pathways associated with energy balance and gut motility. In relation to the ghrelin axis specialists evaluate its potential modulatory effects given its origin from the same precursor. So far research indicates possible interplay with pathways influencing insulin release although the mechanistic details are not yet fully understood.

Preliminary research indicates obestatin might have connections to obesity and metabolic syndrome. Some scholars propose a potential protective effect against weight gain but findings often vary. Obestatin's relationship with the aforementioned diseases might involve its interaction with ghrelin highlighting a complex regulatory network that warrants further investigation. These insights could lead to novel therapeutic avenues for tackling metabolic disorders.

Product protocols

For this product, it's our understanding that no specific protocols are required. You can visit:

Target data

Ghrelin-27. Ghrelin is the ligand for growth hormone secretagogue receptor type 1 (GHSR) (PubMed : 10604470). Induces the release of growth hormone from the pituitary (PubMed : 10604470). Has an appetite-stimulating effect, induces adiposity and stimulates gastric acid secretion. Involved in growth regulation.. Ghrelin-28. Ghrelin is the ligand for growth hormone secretagogue receptor type 1 (GHSR) (PubMed : 10604470). Induces the release of growth hormone from the pituitary (PubMed : 10604470). Has an appetite-stimulating effect, induces adiposity and stimulates gastric acid secretion. Involved in growth regulation.. Obestatin. May be the ligand for GPR39. May have an appetite-reducing effect resulting in decreased food intake. May reduce gastric emptying activity and jejunal motility (By similarity).
See full target information GHRL

Publications (1)

Recent publications for all applications. Explore the full list and refine your search

ACS omega 10:34528-34538 PubMed40821538

2025

Exploring the Antitumor Mechanisms of Bai-Hua-She-She-Cao and Ban-Zhi-Lian against Head and Neck Squamous Cell Carcinoma: A Study on Natural Anticancer Therapeutics.

Applications

Unspecified application

Species

Unspecified reactive species

Yuchen Zhang,Yuxing Pan,Kunpeng Wang
View all publications

Product promise

We are committed to supporting your work with high-quality reagents, and we're here for you every step of the way. In the unlikely event that one of our products does not perform as expected, you're protected by our Product Promise.
For full details, please see our Terms & Conditions

Please note: All products are 'FOR RESEARCH USE ONLY. NOT FOR USE IN DIAGNOSTIC OR THERAPEUTIC PROCEDURES'.

For licensing inquiries, please contact partnerships@abcam.com