JavaScript is disabled in your browser. Please enable JavaScript to view this website.
AB181450

Anti-OC-3 antibody [10B2F5]

0

(1 Review)

|

(2 Publications)

Mouse Monoclonal OC-3 antibody. Suitable for WB, IHC-P and reacts with Human samples. Cited in 2 publications.

View Alternative Names

One cut domain family member 3, One cut homeobox 3, Transcription factor ONECUT-3, OC-3, ONECUT3

4 Images
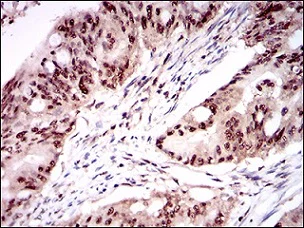
Immunohistochemistry (Formalin/PFA-fixed paraffin-embedded sections) - Anti-OC-3 antibody [10B2F5] (AB181450)
  • IHC-P

Supplier Data

Immunohistochemistry (Formalin/PFA-fixed paraffin-embedded sections) - Anti-OC-3 antibody [10B2F5] (AB181450)

Immunohistochemical analysis of paraffin-embedded Human rectum cancer tissue labeling OC-3 with ab181450 at a 1/200 dilution.

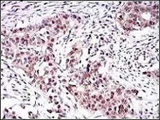
Immunohistochemistry (Formalin/PFA-fixed paraffin-embedded sections) - Anti-OC-3 antibody [10B2F5] (AB181450)
  • IHC-P

Supplier Data

Immunohistochemistry (Formalin/PFA-fixed paraffin-embedded sections) - Anti-OC-3 antibody [10B2F5] (AB181450)

Immunohistochemical analysis of paraffin-embedded Human cervical cancer tissue labeling OC-3 with ab181450 at a 1/200 dilution.

Western blot - Anti-OC-3 antibody [10B2F5] (AB181450)
  • WB

Supplier Data

Western blot - Anti-OC-3 antibody [10B2F5] (AB181450)

All lanes:

Western blot - Anti-OC-3 antibody [10B2F5] (ab181450) at 1/500 dilution

Lane 1:

HEK293 cell lysate

Lane 2:

OC-3-transfected HEK293 cell lysate

Predicted band size: 11 kDa,50 kDa

false

Western blot - Anti-OC-3 antibody [10B2F5] (AB181450)
  • WB

Supplier Data

Western blot - Anti-OC-3 antibody [10B2F5] (AB181450)

All lanes:

Western blot - Anti-OC-3 antibody [10B2F5] (ab181450) at 1/500 dilution

All lanes:

recombinant Human ONECUT3 protein

Predicted band size: 50 kDa

false

Key facts

Host species

Mouse

Clonality

Monoclonal

Clone number

10B2F5

Isotype

IgG1

Carrier free

No

Reacts with

Human

Applications

IHC-P, WB

applications

Reactivity data

{ "title": "Reactivity Data", "filters": { "stats": ["", "Species", "Dilution Info", "Notes"], "tabs": { "all-applications": {"fullname" : "All Applications", "shortname": "All Applications"}, "WB" : {"fullname" : "Western blot", "shortname":"WB"}, "IHCP" : {"fullname" : "Immunohistochemistry (Formalin/PFA-fixed paraffin-embedded sections)", "shortname":"IHC-P"} }, "product-promise": { "all": "all", "testedAndGuaranteed": "tested", "guaranteed": "expected", "predicted": "predicted", "notRecommended": "not-recommended" } }, "values": { "Human": { "WB-species-checked": "testedAndGuaranteed", "WB-species-dilution-info": "1/500 - 1/2000", "WB-species-notes": "<p></p>", "IHCP-species-checked": "testedAndGuaranteed", "IHCP-species-dilution-info": "1/200 - 1/1000", "IHCP-species-notes": "<p></p>" }, "Mouse": { "WB-species-checked": "predicted", "WB-species-dilution-info": "", "WB-species-notes": "", "IHCP-species-checked": "predicted", "IHCP-species-dilution-info": "", "IHCP-species-notes": "" } } }

Properties and storage information

Form
Liquid
Purification technique
Affinity purification Protein G
Purification notes
Purified from tissue culture supernatant.
Storage buffer
Preservative: 0.05% Sodium azide Constituents: PBS
Shipped at conditions
Blue Ice
Appropriate short-term storage duration
1-2 weeks
Appropriate short-term storage conditions
+4°C
Appropriate long-term storage conditions
-20°C
Aliquoting information
Upon delivery aliquot
Storage information
Avoid freeze / thaw cycle

Supplementary information

This supplementary information is collated from multiple sources and compiled automatically.

The OC-3 protein often referred to in literature as “ocean calcium-3” encapsulates a set of isoforms characterized by significant molecular roles. This protein is estimated to have a mass ranging roughly from 50 to 60 kDa. OC-3 is prominently expressed in several tissues including the nervous system and epithelial tissues. Its mechanical action involves modulation of intracellular calcium levels further influencing various signal transduction processes.
Biological function summary

OC-3 contributes to cellular homeostasis especially in calcium ion management which is essential for maintaining cellular functions. It forms part of larger protein complexes that actively regulate calcium influx and efflux. These complexes ensure controlled calcium signaling within cells which is important for activation and deactivation of cellular responses. As a member of this complex OC-3 interacts dynamically with ion channels across cell membranes.

Pathways

The role of the OC-3 protein manifests significantly in calcium signaling pathways and muscle contraction pathways. These pathways involve interactions with various proteins such as calmodulin and phospholamban which mediate vital functions including muscle relaxation and contraction. OC-3’s influence in these pathways highlights its role in facilitating precise biological outcomes through regulated calcium metabolism.

Altered OC-3 expression or dysfunction can directly impact cardiovascular systems leading to conditions such as hypertension. The protein also shares associations with neurodegenerative disorders impacting neurotransmitter release and neuronal excitability. In these contexts OC-3’s interactions with key proteins like ryanodine receptors can exacerbate or mitigate disease progression depending on the regulatory environment within cells.

Product protocols

For this product, it's our understanding that no specific protocols are required. You can visit:

Target data

Transcriptional activator. Binds the consensus DNA sequence 5'-DHWATTGAYTWWD-3' on a variety of gene promoters such as those of HNF3B and TTR (By similarity).
See full target information ONECUT3

Publications (2)

Recent publications for all applications. Explore the full list and refine your search

Cell death & disease 16:149 PubMed40032849

2025

Transcription factor ONECUT3 regulates HDAC6/HIF-1α activity to promote the Warburg effect and tumor growth in colorectal cancer.

Applications

Unspecified application

Species

Unspecified reactive species

Ruixue Huo,Weihan Li,Hao Wu,Kexin He,Hao Wang,Shan Zhang,Shu-Heng Jiang,Rongkun Li,Junli Xue

Theranostics 12:910-928 PubMed34976220

2022

Dysregulation of interaction between LOX fibroblast and smooth muscle cells contributes to the pathogenesis of aortic dissection.

Applications

Unspecified application

Species

Unspecified reactive species

Yinan Chen,Tao Zhang,Fang Yao,Xiang Gao,Dandan Li,Shufang Fu,Lin Mao,Fei Liu,Xuelin Zhang,Yongle Xu,Jianqing Deng,Weihao Li,Guangpu Fan,Cangsong Xiao,Yu Chen,Li Wang,Wei Guo,Bingying Zhou
View all publications

Product promise

We are committed to supporting your work with high-quality reagents, and we're here for you every step of the way. In the unlikely event that one of our products does not perform as expected, you're protected by our Product Promise.
For full details, please see our Terms & Conditions

Please note: All products are 'FOR RESEARCH USE ONLY. NOT FOR USE IN DIAGNOSTIC OR THERAPEUTIC PROCEDURES'.

For licensing inquiries, please contact partnerships@abcam.com