JavaScript is disabled in your browser. Please enable JavaScript to view this website.
AB150947

Anti-OCM antibody

5

(1 Review)

|

(3 Publications)

Rabbit Polyclonal OCM antibody. Suitable for IHC-P and reacts with Human samples. Cited in 3 publications. Immunogen corresponding to Recombinant Fragment Protein within Human OCM aa 1-50.

View Alternative Names

OCM1, OCMN, OCM, Oncomodulin-1, OM, Parvalbumin beta

3 Images
Immunohistochemistry (Formalin/PFA-fixed paraffin-embedded sections) - Anti-OCM antibody (AB150947)
  • IHC-P

Supplier Data

Immunohistochemistry (Formalin/PFA-fixed paraffin-embedded sections) - Anti-OCM antibody (AB150947)

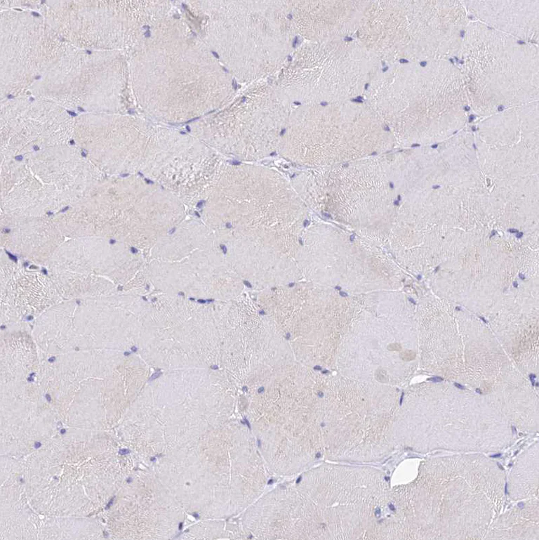
Immunohistochemistry (Formalin/PFA-fixed paraffin-embedded sections) analysis of human skeletal muscle tissue labelling OCM with ab150947 at 1/200 dilution. Heat mediated antigen retrieval performed with citrate buffer pH 6 before commencing with IHC staining protocol.

Immunohistochemistry (Formalin/PFA-fixed paraffin-embedded sections) - Anti-OCM antibody (AB150947)
  • IHC-P

Supplier Data

Immunohistochemistry (Formalin/PFA-fixed paraffin-embedded sections) - Anti-OCM antibody (AB150947)

Immunohistochemistry (Formalin/PFA-fixed paraffin-embedded sections) analysis of human cerebellum tissue labelling OCM with ab150947 at 1/200 dilution. Heat mediated antigen retrieval performed with citrate buffer pH 6 before commencing with IHC staining protocol.

Immunohistochemistry (Formalin/PFA-fixed paraffin-embedded sections) - Anti-OCM antibody (AB150947)
  • IHC-P

Supplier Data

Immunohistochemistry (Formalin/PFA-fixed paraffin-embedded sections) - Anti-OCM antibody (AB150947)

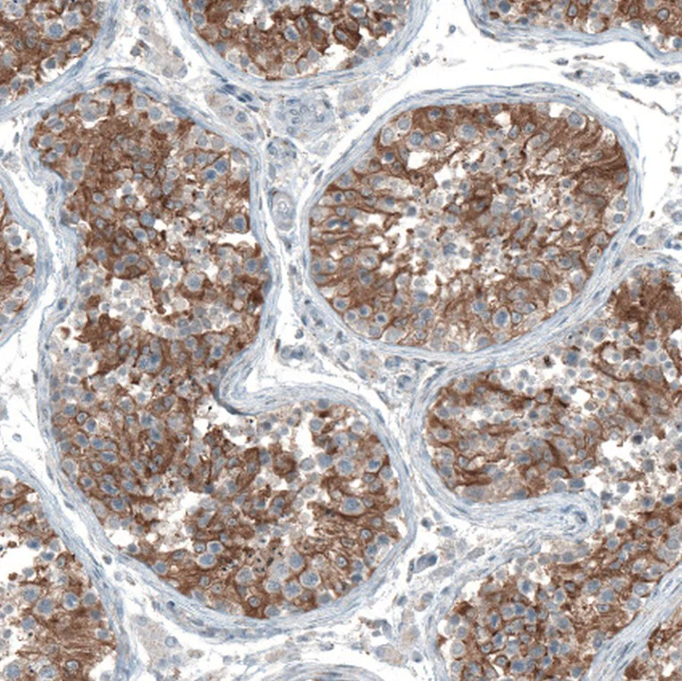
Immunohistochemistry (Formalin/PFA-fixed paraffin-embedded sections) analysis of human testis tissue labelling OCM with ab150947 at 1/200 dilution. Heat mediated antigen retrieval performed with citrate buffer pH 6 before commencing with IHC staining protocol.

Key facts

Host species

Rabbit

Clonality

Polyclonal

Isotype

IgG

Carrier free

No

Reacts with

Human

Applications

IHC-P

applications

Immunogen

Recombinant Fragment Protein within Human OCM aa 1-50. The exact immunogen used to generate this antibody is proprietary information.

P0CE72

Reactivity data

{ "title": "Reactivity Data", "filters": { "stats": ["", "Species", "Dilution Info", "Notes"], "tabs": { "all-applications": {"fullname" : "All Applications", "shortname": "All Applications"}, "IHCP" : {"fullname" : "Immunohistochemistry (Formalin/PFA-fixed paraffin-embedded sections)", "shortname":"IHC-P"} }, "product-promise": { "all": "all", "testedAndGuaranteed": "tested", "guaranteed": "expected", "predicted": "predicted", "notRecommended": "not-recommended" } }, "values": { "Human": { "IHCP-species-checked": "testedAndGuaranteed", "IHCP-species-dilution-info": "1/200 - 1/500", "IHCP-species-notes": "<p></p> Perform heat-mediated antigen retrieval with citrate buffer pH 6 before commencing with IHC staining protocol." }, "Mouse": { "IHCP-species-checked": "predicted", "IHCP-species-dilution-info": "", "IHCP-species-notes": "" }, "Rat": { "IHCP-species-checked": "predicted", "IHCP-species-dilution-info": "", "IHCP-species-notes": "" } } }

Properties and storage information

Form
Liquid
Purification technique
Affinity purification Immunogen
Storage buffer
pH: 7.2 Preservative: 0.02% Sodium azide Constituents: PBS, 40% Glycerol (glycerin, glycerine)
Shipped at conditions
Blue Ice
Appropriate short-term storage conditions
+4°C
Appropriate long-term storage conditions
-20°C
Aliquoting information
Upon delivery aliquot
Storage information
Avoid freeze / thaw cycle

Supplementary information

This supplementary information is collated from multiple sources and compiled automatically.

OCM also known as Oncomodulin is a calcium-binding protein that typically has a molecular weight of around 12 kDa. This protein belongs to the parvalbumin family and is expressed mainly in sensory neurons particularly in the retinas and cochlea. OCM can also be found in certain cancer cells and has been detected in various tissues such as the brain and skeletal muscles. Its presence in these locations suggests specialized roles in cellular signaling and ion binding.
Biological function summary

The OCM protein partakes in cell differentiation and growth processes. While often linked with neuronal development OCM contributes to calcium ion buffering and may engage with larger protein complexes. Its direct participation in modulating intracellular calcium levels implicates it in signaling pathways that regulate cell cycle and proliferation.

Pathways

The OCM protein interacts with several significant molecular circuits including the calcium signaling and apoptotic pathways. It modulates cellular responses to calcium concentration changes influencing proteins like calmodulin and calcineurin. This involvement highlights its role in maintaining cellular homeostasis and facilitating various signal transduction processes.

The OCM protein's altered expression can link to neurological disorders and certain types of cancers. Its association with Alzheimer’s disease and retinoblastoma involves dysregulation of calcium homeostasis and cell cycle control. In these contexts OCM's interaction with proteins such as tau and p53 becomes significant influencing disease progression by impacting apoptosis and cell proliferation mechanisms.

Product protocols

For this product, it's our understanding that no specific protocols are required. You can visit:

Target data

Has some calmodulin-like activity with respect to enzyme activation and growth regulation. Binds two calcium ions.
See full target information OCM

Publications (3)

Recent publications for all applications. Explore the full list and refine your search

Disease models & mechanisms : PubMed33318051

2020

Hearing impairment due to mutations suggests both loss and gain of function effects.

Applications

Unspecified application

Species

Unspecified reactive species

Morag A Lewis,Francesca Di Domenico,Neil J Ingham,Haydn M Prosser,Karen P Steel

Frontiers in molecular neuroscience 12:332 PubMed32038162

2020

Differential Gene Expression Patterns Between Apical and Basal Inner Hair Cells Revealed by RNA-Seq.

Applications

Unspecified application

Species

Unspecified reactive species

Feng Tang,Xiaoling Chen,Lifeng Jia,Hai Li,Jingya Li,Wei Yuan

Journal of virology 90:3173-86 PubMed26739050

2016

Cellular Transcriptional Coactivator RanBP10 and Herpes Simplex Virus 1 ICP0 Interact and Synergistically Promote Viral Gene Expression and Replication.

Applications

Unspecified application

Species

Unspecified reactive species

Yuka Sato,Akihisa Kato,Yuhei Maruzuru,Masaaki Oyama,Hiroko Kozuka-Hata,Jun Arii,Yasushi Kawaguchi
View all publications

Product promise

We are committed to supporting your work with high-quality reagents, and we're here for you every step of the way. In the unlikely event that one of our products does not perform as expected, you're protected by our Product Promise.
For full details, please see our Terms & Conditions

Please note: All products are 'FOR RESEARCH USE ONLY. NOT FOR USE IN DIAGNOSTIC OR THERAPEUTIC PROCEDURES'.

For licensing inquiries, please contact partnerships@abcam.com