JavaScript is disabled in your browser. Please enable JavaScript to view this website.
AB240959

Anti-Oct-1 antibody [EPR16570] - BSA and Azide free

Be the first to review this product! Submit a review

|

(1 Publication)

Rabbit Recombinant Monoclonal Oct-1 antibody. Carrier free. Suitable for IP, IHC-P, WB and reacts with Human, Rat, Mouse samples. Cited in 1 publication.

View Alternative Names

OCT1, OTF1, POU2F1, NF-A1, Octamer-binding protein 1, Octamer-binding transcription factor 1, Oct-1, OTF-1

7 Images
Immunohistochemistry (Formalin/PFA-fixed paraffin-embedded sections) - Anti-Oct-1 antibody [EPR16570] - BSA and Azide free (AB240959)
  • IHC-P

Supplier Data

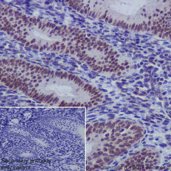
Immunohistochemistry (Formalin/PFA-fixed paraffin-embedded sections) - Anti-Oct-1 antibody [EPR16570] - BSA and Azide free (AB240959)

Immunohistochemical analysis of paraffin-embedded Human endometrial cancer tissue labeling Oct-1 with ab178869 at 1/500 dilution, followed by Goat Anti-Rabbit IgG H&L (HRP) (ab97051) at 1/500 dilution. Nucleus staining on tumor cells of Human endometrial cancer tissue is observed. Counter stained with Hematoxylin.

Secondary antibody only control : Used PBS instead of primary antibody, secondary antibody is ab97051 at 1/500 dilution.

This data was developed using the same antibody clone in a different buffer formulation containing PBS, BSA, glycerol, and sodium azide (ab178869)

Perform heat mediated antigen retrieval with Tris/EDTA buffer pH 9.0 before commencing with IHC staining protocol.

Immunohistochemistry (Formalin/PFA-fixed paraffin-embedded sections) - Anti-Oct-1 antibody [EPR16570] - BSA and Azide free (AB240959)
  • IHC-P

Supplier Data

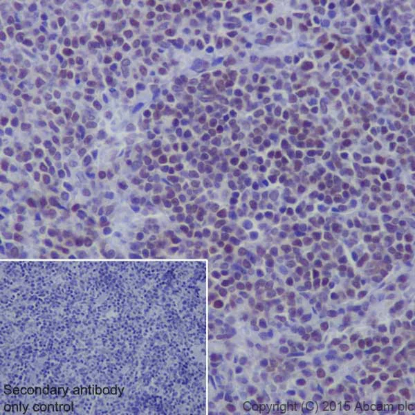
Immunohistochemistry (Formalin/PFA-fixed paraffin-embedded sections) - Anti-Oct-1 antibody [EPR16570] - BSA and Azide free (AB240959)

Immunohistochemical analysis of paraffin-embedded Human tonsil tissue labeling Oct-1 with ab178869 at 1/500 dilution, followed by Goat Anti-Rabbit IgG H&L (HRP) (ab97051) at 1/500 dilution. Nucleus staining on Human tonsil tissue is observed. Counter stained with Hematoxylin.

Secondary antibody only control : Used PBS instead of primary antibody, secondary antibody is ab97051 at 1/500 dilution.

This data was developed using the same antibody clone in a different buffer formulation containing PBS, BSA, glycerol, and sodium azide (ab178869)

Perform heat mediated antigen retrieval with Tris/EDTA buffer pH 9.0 before commencing with IHC staining protocol.

Immunohistochemistry (Formalin/PFA-fixed paraffin-embedded sections) - Anti-Oct-1 antibody [EPR16570] - BSA and Azide free (AB240959)
  • IHC-P

Supplier Data

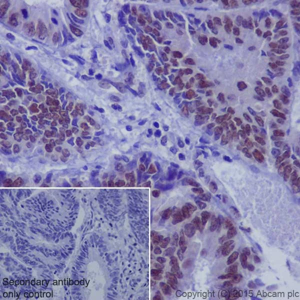
Immunohistochemistry (Formalin/PFA-fixed paraffin-embedded sections) - Anti-Oct-1 antibody [EPR16570] - BSA and Azide free (AB240959)

Immunohistochemical analysis of paraffin-embedded Human endometrium tissue labeling Oct-1 with ab178869 at 1/500 dilution, followed by Goat Anti-Rabbit IgG H&L (HRP) (ab97051) at 1/500 dilution. Nucleus staining on Human endometrial tissue is observed. Counter stained with Hematoxylin.

Secondary antibody only control : Used PBS instead of primary antibody, secondary antibody is ab97051 at 1/500 dilution.

This data was developed using the same antibody clone in a different buffer formulation containing PBS, BSA, glycerol, and sodium azide (ab178869)

Perform heat mediated antigen retrieval with Tris/EDTA buffer pH 9.0 before commencing with IHC staining protocol.

Immunohistochemistry (Formalin/PFA-fixed paraffin-embedded sections) - Anti-Oct-1 antibody [EPR16570] - BSA and Azide free (AB240959)
  • IHC-P

Supplier Data

Immunohistochemistry (Formalin/PFA-fixed paraffin-embedded sections) - Anti-Oct-1 antibody [EPR16570] - BSA and Azide free (AB240959)

Immunohistochemical analysis of paraffin-embedded Mouse colon tissue labeling Oct-1 with ab178869 at 1/500 dilution, followed by Goat Anti-Rabbit IgG H&L (HRP) (ab97051) at 1/500 dilution. Nucleus staining on epithelium of mouse colon is observed. Counter stained with Hematoxylin.

Secondary antibody only control : Used PBS instead of primary antibody, secondary antibody is ab97051 at 1/500 dilution.

This data was developed using the same antibody clone in a different buffer formulation containing PBS, BSA, glycerol, and sodium azide (ab178869)

Perform heat mediated antigen retrieval with Tris/EDTA buffer pH 9.0 before commencing with IHC staining protocol.

Immunohistochemistry (Formalin/PFA-fixed paraffin-embedded sections) - Anti-Oct-1 antibody [EPR16570] - BSA and Azide free (AB240959)
  • IHC-P

Supplier Data

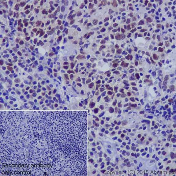
Immunohistochemistry (Formalin/PFA-fixed paraffin-embedded sections) - Anti-Oct-1 antibody [EPR16570] - BSA and Azide free (AB240959)

Immunohistochemical analysis of paraffin-embedded Rat spleen tissue labeling Oct-1 with ab178869 at 1/500 dilution, followed by Goat Anti-Rabbit IgG H&L (HRP) (ab97051) at 1/500 dilution. Nucleus staining on rat spleen tissue is observed. Counter stained with Hematoxylin.

Secondary antibody only control : Used PBS instead of primary antibody, secondary antibody is ab97051 at 1/500 dilution.

This data was developed using the same antibody clone in a different buffer formulation containing PBS, BSA, glycerol, and sodium azide (ab178869)

Perform heat mediated antigen retrieval with Tris/EDTA buffer pH 9.0 before commencing with IHC staining protocol.

Western blot - Anti-Oct-1 antibody [EPR16570] - BSA and Azide free (AB240959)
  • WB

Supplier Data

Western blot - Anti-Oct-1 antibody [EPR16570] - BSA and Azide free (AB240959)

Oct-1 was immunoprecipitated from 0.35mg HeLa (Human cervix adenocarcinoma epithelial cell) whole cell lysate with ab178869 at 1/30 dilution (2μg in 0.35mg lysates). Western blot was performed on the immunoprecipitate using ab178869 at 1/1000 dilution (0.357 μg/ml). VeriBlot for IP Detection Reagent (HRP) (ab131366) was used at 1/5000 dilution. Lane 1 : HeLa (Human cervix adenocarcinoma epithelial cell) whole cell lysate (10ug). Lane 2 : ab178869 IP in HeLa (Human cervix adenocarcinoma epithelial cell) whole cell lysate. Lane 3 : Rabbit monoclonal IgG (ab172730) instead of ab178869 in HeLa whole cell lysate. Blocking and dilution buffer and concentration : 5% NFDM/TBST. Exposure time : 24 seconds. Observed band : 76 kDa. Lysates were made freshly and used in IP test immediately to minimize protein degradation. This data was developed using the same antibody clone in a different buffer formulation containing PBS, BSA, glycerol, and sodium azide (ab178869)

All lanes:

Western blot - Anti-Oct-1 antibody [EPR16570] (<a href='/en-us/products/primary-antibodies/oct-1-antibody-epr16570-ab178869'>ab178869</a>) at 1/30 dilution

Secondary

All lanes:

Western blot - VeriBlot for IP Detection Reagent (HRP) (<a href='/en-us/products/reagents/veriblot-for-ip-detection-reagent-hrp-ab131366'>ab131366</a>) at 1/5000 dilution

Predicted band size: 76 kDa

Observed band size: 76 kDa

false

Exposure time: 24s

Western blot - Anti-Oct-1 antibody [EPR16570] - BSA and Azide free (AB240959)
  • WB

Lab

Western blot - Anti-Oct-1 antibody [EPR16570] - BSA and Azide free (AB240959)

This data was developed using ab178869, the same antibody clone in a different buffer formulation.

Exposure time : Lane 1-3 : 15 seconds, Lane 4 : 60 seconds

Blocking and diluting buffer and concentration : 5% NFDM/TBST.

Please note that the antibody detects extra bands on lysates from mouse and rat cell lines

All lanes:

Western blot - Anti-Oct-1 antibody [EPR16570] (<a href='/en-us/products/primary-antibodies/oct-1-antibody-epr16570-ab178869'>ab178869</a>) at 1/1000 dilution

Lane 1:

C6 (rat glioma) whole cell lysate at 10 µg

Lane 2:

Raw 264.7 (mouse abelson murine leukemia virus-induced tumor) whole cell lysate at 10 µg

Lane 3:

PC-12 (rat adrenal gland pheochromocytoma) whole cell lysate at 10 µg

Lane 4:

NIH/3T3 (mouse embryo) whole cell lysate at 10 µg

Secondary

All lanes:

Western blot - Goat Anti-Rabbit IgG H&L (HRP) (<a href='/en-us/products/secondary-antibodies/goat-rabbit-igg-h-l-hrp-ab97051'>ab97051</a>) at 1/100000 dilution

Predicted band size: 76 kDa

Observed band size: 95 kDa

false

Key facts

Host species

Rabbit

Clonality

Monoclonal

Clone number

EPR16570

Isotype

IgG

Carrier free

Yes

Reacts with

Mouse, Rat, Human

Applications

WB, IHC-P, IP

applications

Immunogen

The exact immunogen used to generate this antibody is proprietary information.

Reactivity data

{ "title": "Reactivity Data", "filters": { "stats": ["", "Species", "Dilution Info", "Notes"], "tabs": { "all-applications": {"fullname" : "All Applications", "shortname": "All Applications"}, "IP" : {"fullname" : "Immunoprecipitation", "shortname":"IP"}, "IHCP" : {"fullname" : "Immunohistochemistry (Formalin/PFA-fixed paraffin-embedded sections)", "shortname":"IHC-P"}, "WB" : {"fullname" : "Western blot", "shortname":"WB"} }, "product-promise": { "all": "all", "testedAndGuaranteed": "tested", "guaranteed": "expected", "predicted": "predicted", "notRecommended": "not-recommended" } }, "values": { "Human": { "IP-species-checked": "testedAndGuaranteed", "IP-species-dilution-info": "", "IP-species-notes": "<p></p>", "IHCP-species-checked": "testedAndGuaranteed", "IHCP-species-dilution-info": "", "IHCP-species-notes": "<p></p>", "WB-species-checked": "testedAndGuaranteed", "WB-species-dilution-info": "", "WB-species-notes": "<p></p>" }, "Mouse": { "IP-species-checked": "notRecommended", "IP-species-dilution-info": "", "IP-species-notes": "<p></p>", "IHCP-species-checked": "testedAndGuaranteed", "IHCP-species-dilution-info": "", "IHCP-species-notes": "<p></p>", "WB-species-checked": "testedAndGuaranteed", "WB-species-dilution-info": "", "WB-species-notes": "<p></p>" }, "Rat": { "IP-species-checked": "guaranteed", "IP-species-dilution-info": "", "IP-species-notes": "", "IHCP-species-checked": "testedAndGuaranteed", "IHCP-species-dilution-info": "", "IHCP-species-notes": "<p></p>", "WB-species-checked": "testedAndGuaranteed", "WB-species-dilution-info": "", "WB-species-notes": "<p></p>" } } }

Product details

ab240959 is the carrier-free version of ab178869.

Patented technology
Our RabMAb® technology is a patented hybridoma-based technology for making rabbit monoclonal antibodies. For details on our patents, please refer to RabMAb® patents.

What are the advantages of a recombinant monoclonal antibody?
This product is a recombinant monoclonal antibody, which offers several advantages including:

  • - High batch-to-batch consistency and reproducibility
  • - Improved sensitivity and specificity
  • - Long-term security of supply
  • - Animal-free batch production

For more information, read more on recombinant antibodies.

Conjugation ready
Our carrier-free antibodies are typically supplied in a PBS-only formulation, purified and free of BSA, sodium azide and glycerol. This conjugation-ready format is designed for use with fluorochromes, metal isotopes, oligonucleotides, and enzymes, which makes them ideal for antibody labelling, functional and cell-based assays, flow-based assays (e.g. mass cytometry) and Multiplex Imaging applications.

Use our conjugation kits for antibody conjugates that are ready-to-use in as little as 20 minutes with 1 minute hands-on-time and 100% antibody recovery: available for fluorescent dyes, HRP, biotin and gold.

Compatibility
This product is compatible with the Maxpar® Antibody Labeling Kit from Fluidigm, without the need for antibody preparation. Maxpar® is a trademark of Fluidigm Canada Inc.

Properties and storage information

Form
Liquid
Purification technique
Affinity purification Protein A
Storage buffer
pH: 7.2 - 7.4 Constituents: PBS
Shipped at conditions
Blue Ice
Appropriate short-term storage conditions
+4°C
Appropriate long-term storage conditions
+4°C
Storage information
Do Not Freeze

Supplementary information

This supplementary information is collated from multiple sources and compiled automatically.

Oct-1 also known as POU domain class 2 transcription factor 1 (POU2F1) is a transcription factor characterized by its POU-specific domain. The molecular weight of Oct-1 is approximately 76 kDa. It is expressed widely across different tissues with high levels found in lymphoid organs and epithelial cells. It binds to octamer motifs in the promoters of target genes regulating their transcription. Oct-1 plays a role in the cell cycle development and immune response.
Biological function summary

Oct-1 participates in the regulation of gene expression by influencing RNA polymerase II. It is not part of a larger protein complex for its primary function but it does interact with other cofactors. Oct-1 is essential for maintaining the expression of housekeeping genes as well as for the induction of specific genes during external stimuli responses. By modulating cellular responses Oct-1 helps in the regulation of cells' growth differentiation and adaptation to stress.

Pathways

Oct-1 is involved in pathways related to stress responses and immune system function. It significantly influences the transcriptional activation of genes associated with the stress response pathway. Oct-1 associates with proteins like c-Myc and others within these pathways which contribute to the regulation of cell proliferation and apoptosis. Its role in these pathways highlights its involvement in cellular homeostasis and survival.

Oct-1's dysregulation connects to the pathogenesis of various conditions including cancer and autoimmune diseases. Changes in Oct-1 activity have been observed in several cancers affecting tumorigenesis and progression. It interacts with proteins like Bcl-2 in the context of cancer impacting cell survival mechanisms. In autoimmune diseases such as lupus altered Oct-1 function can lead to inappropriate immune responses partly through interaction with transcription factors like NF-κB. Understanding the role of Oct-1 can help in developing targeted therapeutic strategies for these disorders.

Product protocols

For this product, it's our understanding that no specific protocols are required. You can visit:

Target data

Transcription factor that binds to the octamer motif (5'-ATTTGCAT-3') and activates the promoters of the genes for some small nuclear RNAs (snRNA) and of genes such as those for histone H2B and immunoglobulins. Modulates transcription transactivation by NR3C1, AR and PGR.. (Microbial infection) In case of human herpes simplex virus (HSV) infection, POU2F1 forms a multiprotein-DNA complex with the viral transactivator protein VP16 and HCFC1 thereby enabling the transcription of the viral immediate early genes.
See full target information POU2F1

Publications (1)

Recent publications for all applications. Explore the full list and refine your search

Cell reports 28:1690-1702.e10 PubMed31412240

2019

SMUG1 Promotes Telomere Maintenance through Telomerase RNA Processing.

Applications

Unspecified application

Species

Unspecified reactive species

Penelope Kroustallaki,Lisa Lirussi,Sergio Carracedo,Panpan You,Q Ying Esbensen,Alexandra Götz,Laure Jobert,Lene Alsøe,Pål Sætrom,Sarantis Gagos,Hilde Nilsen
View all publications

Product promise

We are committed to supporting your work with high-quality reagents, and we're here for you every step of the way. In the unlikely event that one of our products does not perform as expected, you're protected by our Product Promise.
For full details, please see our Terms & Conditions

Please note: All products are 'FOR RESEARCH USE ONLY. NOT FOR USE IN DIAGNOSTIC OR THERAPEUTIC PROCEDURES'.

For licensing inquiries, please contact partnerships@abcam.com