JavaScript is disabled in your browser. Please enable JavaScript to view this website.
AB252246

Anti-Oct-2 antibody [9A2] - BSA and Azide free

Be the first to review this product! Submit a review

|

(0 Publication)

Rat Recombinant Monoclonal Oct-2 antibody. Carrier free. Suitable for IHC-P, WB, Flow Cyt (Intra) and reacts with Mouse, Rat, Human samples.

View Alternative Names

OCT2, OTF2, POU2F2, Lymphoid-restricted immunoglobulin octamer-binding protein NF-A2, Octamer-binding protein 2, Octamer-binding transcription factor 2, Oct-2, OTF-2

6 Images
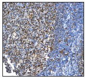
Immunohistochemistry (Formalin/PFA-fixed paraffin-embedded sections) - Anti-Oct-2 antibody [9A2] - BSA and Azide free (AB252246)
  • IHC-P

Supplier Data

Immunohistochemistry (Formalin/PFA-fixed paraffin-embedded sections) - Anti-Oct-2 antibody [9A2] - BSA and Azide free (AB252246)

This data was developed using the same antibody clone in a different buffer formulation containing PBS and sodium azide (ab243153).

Immunohistochemical analysis of paraffin-embedded human spleen tissue labeling Oct-2 with ab243153 at 2.015μg/ml, followed by ready to use Goat Anti-Rat IgG H&L (HRP polymer) (ab214882). Positive staining on human spleen (PMID : 11280769). The section was incubated with ab243153 for 30 mins at RT. The immunostaining staining was performed on a Leica Biosystems BOND® RX instrument. Counterstained with hematoxylin.
Secondary antibody only control : Used PBS instead of primary antibody, followed by ready to use Goat Anti-Rat IgG H&L (HRP polymer) (ab214882).

Heat mediated antigen retrieval with Tris-EDTA buffer (pH 9.0, epitope retrieval solution 2) for 20 mins.

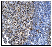
Immunohistochemistry (Formalin/PFA-fixed paraffin-embedded sections) - Anti-Oct-2 antibody [9A2] - BSA and Azide free (AB252246)
  • IHC-P

Supplier Data

Immunohistochemistry (Formalin/PFA-fixed paraffin-embedded sections) - Anti-Oct-2 antibody [9A2] - BSA and Azide free (AB252246)

This data was developed using the same antibody clone in a different buffer formulation containing PBS and sodium azide (ab243153).

Immunohistochemical analysis of paraffin-embedded human tonsil tissue labeling Oct-2 with ab243153 at 2.015μg/ml , followed by ready to use Goat Anti-Rat IgG H&L (HRP polymer) (ab214882). Positive staining on human tonsil (PMID : 11280769). The section was incubated with ab243153 for 30 mins at RT. The immunostaining staining was performed on a Leica Biosystems BOND® RX instrument. Counterstained with hematoxylin.
Secondary antibody only control : Used PBS instead of primary antibody, followed by ready to use Goat Anti-Rat IgG H&L (HRP polymer) (ab214882).

Heat mediated antigen retrieval with Tris-EDTA buffer (pH 9.0, epitope retrieval solution 2) for 20 mins.

Immunohistochemistry (Formalin/PFA-fixed paraffin-embedded sections) - Anti-Oct-2 antibody [9A2] - BSA and Azide free (AB252246)
  • IHC-P

Supplier Data

Immunohistochemistry (Formalin/PFA-fixed paraffin-embedded sections) - Anti-Oct-2 antibody [9A2] - BSA and Azide free (AB252246)

This data was developed using the same antibody clone in a different buffer formulation containing PBS and sodium azide (ab243153).

Immunohistochemical analysis of paraffin-embedded mouse spleen tissue labeling Oct-2 with ab243153 at 2.015μg/ml, followed by ready to use Goat Anti-Rat IgG H&L (HRP polymer) (ab214882). Positive staining on mouse spleen (PMID : 11280769). The section was incubated with ab243153 for 30 mins at RT. The immunostaining staining was performed on a Leica Biosystems BOND® RX instrument. Counterstained with hematoxylin.
Secondary antibody only control : Used PBS instead of primary antibody, followed by ready to use Goat Anti-Rat IgG H&L (HRP polymer) (ab214882).

Heat mediated antigen retrieval with Tris-EDTA buffer (pH 9.0, epitope retrieval solution 2) for 20 mins.

Immunohistochemistry (Formalin/PFA-fixed paraffin-embedded sections) - Anti-Oct-2 antibody [9A2] - BSA and Azide free (AB252246)
  • IHC-P

Supplier Data

Immunohistochemistry (Formalin/PFA-fixed paraffin-embedded sections) - Anti-Oct-2 antibody [9A2] - BSA and Azide free (AB252246)

This data was developed using the same antibody clone in a different buffer formulation containing PBS and sodium azide (ab243153).

Immunohistochemical analysis of paraffin-embedded rat spleen tissue labeling Oct-2 with ab243153 at 2.015μg/ml, followed by ready to use Goat Anti-Rat IgG H&L (HRP polymer) (ab214882). Positive staining on rat spleen (PMID : 11280769). The section was incubated with ab243153 for 30 mins at RT. The immunostaining staining was performed on a Leica Biosystems BOND® RX instrument. Counterstained with hematoxylin.
Secondary antibody only control : Used PBS instead of primary antibody, followed by ready to use Goat Anti-Rat IgG H&L (HRP polymer) (ab214882).

Heat mediated antigen retrieval with Tris-EDTA buffer (pH 9.0, epitope retrieval solution 2) for 20 mins.

Flow Cytometry (Intracellular) - Anti-Oct-2 antibody [9A2] - BSA and Azide free (AB252246)
  • Flow Cyt (Intra)

Supplier Data

Flow Cytometry (Intracellular) - Anti-Oct-2 antibody [9A2] - BSA and Azide free (AB252246)

This data was developed using the same antibody clone in a different buffer formulation containing PBS and sodium azide (ab243153).

Intracellular flow cytometric analysis of 4% paraformaldehyde-fixed, 90% methanol permeabilized Raji (Human Burkitt's lymphoma B lymphocyte) cell line labeling Oct-2 with ab243153 at 1.343μg/ml (red) compared withRat monclonal IgG (black) and an unlabeled control (cells without incubation with primary antibody and secondary antibody) (blue). Goat Anti-Rat IgG (Alexa Fluor® 488) (ab150157)at 1/2000 dilution was used as the secondary antibody.

Western blot - Anti-Oct-2 antibody [9A2] - BSA and Azide free (AB252246)
  • WB

Supplier Data

Western blot - Anti-Oct-2 antibody [9A2] - BSA and Azide free (AB252246)

This data was developed using the same antibody clone in a different buffer formulation containing PBS and sodium azide (ab243153).

The molecular weight observed is consistent with what has been described in the literature (PMID : 3265124).

Exposure times : Lanes 1-3 : 3 seconds; Lane 4 : 3 minutes; Lane 5 : 15 seconds; Lane 6 : 44 seconds.

Blocking/Dilution buffer : 5% NFDM/TBST.

All lanes:

Western blot - Anti-Oct-2 antibody [9A2] (<a href='/en-us/products/primary-antibodies/oct-2-antibody-9a2-ab243153'>ab243153</a>) at 1/1000 dilution

Lane 1:

Ramos (human Burkitt's lymphoma B lymphocyte), whole cell lysate at 20 µg

Lane 2:

Raji (human Burkitt's lymphoma B lymphocyte), whole cell lysate at 20 µg

Lane 3:

Daudi (human Burkitt's lymphoma lymphoblast), whole cell lysate at 20 µg

Lane 4:

A20 (mouse reticulum sarcoma B lymphocyte), whole cell lysate at 20 µg

Lane 5:

Human tonsil tissue lysate at 20 µg

Lane 6:

Mouse spleen tissue lysate at 20 µg

Secondary

All lanes:

Western blot - Goat Anti-Rat IgG H&L (HRP) (<a href='/en-us/products/secondary-antibodies/goat-rat-igg-h-l-hrp-ab205720'>ab205720</a>) at 1/10000 dilution

Predicted band size: 51 kDa

false

Key facts

Host species

Rat

Clonality

Monoclonal

Clone number

9A2

Isotype

IgG1

Light chain type

kappa

Carrier free

Yes

Reacts with

Mouse, Rat, Human

Applications

WB, IHC-P, Flow Cyt (Intra)

applications

Immunogen

The exact immunogen used to generate this antibody is proprietary information.

Reactivity data

{ "title": "Reactivity Data", "filters": { "stats": ["", "Species", "Dilution Info", "Notes"], "tabs": { "all-applications": {"fullname" : "All Applications", "shortname": "All Applications"}, "IHCP" : {"fullname" : "Immunohistochemistry (Formalin/PFA-fixed paraffin-embedded sections)", "shortname":"IHC-P"}, "WB" : {"fullname" : "Western blot", "shortname":"WB"}, "FlowCytIntra" : {"fullname" : "Flow Cytometry (Intracellular)", "shortname":"Flow Cyt (Intra)"} }, "product-promise": { "all": "all", "testedAndGuaranteed": "tested", "guaranteed": "expected", "predicted": "predicted", "notRecommended": "not-recommended" } }, "values": { "Human": { "IHCP-species-checked": "testedAndGuaranteed", "IHCP-species-dilution-info": "2.015 µg/mL", "IHCP-species-notes": "<p></p>", "WB-species-checked": "testedAndGuaranteed", "WB-species-dilution-info": "0.403 µg/mL", "WB-species-notes": "<p></p>", "FlowCytIntra-species-checked": "testedAndGuaranteed", "FlowCytIntra-species-dilution-info": "1.343 µg/mL", "FlowCytIntra-species-notes": "<p></p>" }, "Mouse": { "IHCP-species-checked": "testedAndGuaranteed", "IHCP-species-dilution-info": "2.015 µg/mL", "IHCP-species-notes": "<p></p>", "WB-species-checked": "testedAndGuaranteed", "WB-species-dilution-info": "0.403 µg/mL", "WB-species-notes": "<p></p>", "FlowCytIntra-species-checked": "guaranteed", "FlowCytIntra-species-dilution-info": "", "FlowCytIntra-species-notes": "" }, "Rat": { "IHCP-species-checked": "testedAndGuaranteed", "IHCP-species-dilution-info": "2.015 µg/mL", "IHCP-species-notes": "<p></p>", "WB-species-checked": "guaranteed", "WB-species-dilution-info": "", "WB-species-notes": "", "FlowCytIntra-species-checked": "guaranteed", "FlowCytIntra-species-dilution-info": "", "FlowCytIntra-species-notes": "" } } }

Product details

ab252246 is the carrier-free version of ab243153.

What are the advantages of a recombinant monoclonal antibody?
This product is a recombinant monoclonal antibody, which offers several advantages including:

  • - High batch-to-batch consistency and reproducibility
  • - Improved sensitivity and specificity
  • - Long-term security of supply
  • - Animal-free batch production

For more information, read more on recombinant antibodies.

Want a custom formulation?
This antibody clone is manufactured by Abcam. If you require a custom buffer formulation or conjugation for your experiments, please contact orders@abcam.com

Conjugation ready
Our carrier-free antibodies are typically supplied in a PBS-only formulation, purified and free of BSA, sodium azide and glycerol. This conjugation-ready format is designed for use with fluorochromes, metal isotopes, oligonucleotides, and enzymes, which makes them ideal for antibody labelling, functional and cell-based assays, flow-based assays (e.g. mass cytometry) and Multiplex Imaging applications.

Use our conjugation kits for antibody conjugates that are ready-to-use in as little as 20 minutes with 1 minute hands-on-time and 100% antibody recovery: available for fluorescent dyes, HRP, biotin and gold.

Compatibility
This product is compatible with the Maxpar® Antibody Labeling Kit from Fluidigm, without the need for antibody preparation. Maxpar® is a trademark of Fluidigm Canada Inc.

Properties and storage information

Form
Liquid
Purification technique
Affinity purification Protein A
Storage buffer
pH: 7.2 - 7.4 Constituents: PBS
Shipped at conditions
Blue Ice
Appropriate short-term storage conditions
+4°C
Appropriate long-term storage conditions
+4°C
Storage information
Do Not Freeze

Supplementary information

This supplementary information is collated from multiple sources and compiled automatically.

Oct-2 also known as 9A2 or POU2F2 is a transcription factor with a molecular mass of approximately 50-55 kDa. It belongs to the POU family of transcription factors. Oct-2 is expressed widely in various tissues but shows higher expression levels in B lymphocytes and the central nervous system. This protein binds to the octamer DNA sequence motif which regulates the activity of several genes involved in immune function and neural development. Its expression pattern and DNA binding properties make Oct-2 essential in controlling transcriptional activation and repression.
Biological function summary

Oct-2 regulates the expression of target genes by binding to octamer motifs within promoters and enhancers. In the immune system Oct-2 plays a significant role in B cell differentiation and maturation. It acts as an essential transcriptional regulator of immunoglobulin gene expression. In neural tissues Oct-2 influences genes involved in neural differentiation and development. Oct-2 often does not act alone; it forms part of multi-protein complexes interacting with coactivators and corepressors to modulate gene expression tightly.

Pathways

Oct-2 participates in critical transcriptional regulatory networks. It is important in the immune response pathway controlling genes involved in B cell activation and antibody production. Oct-2 also interacts with Oct-1 another member of the POU family in controlling gene expression patterns related to adaptive immunity. Additionally Oct-2 influences pathways involved in neural development working alongside transcription factors like Pax-5 to regulate genes critical for the growth and differentiation of neuronal cells.

Oct-2 has been implicated in certain B cell-related malignancies and neurological disorders. Abnormal expression or mutation of Oct-2 can contribute to the development of lymphoma by altering the normal regulation of proliferation-related genes in B cells. Oct-2 also has connections to neurodevelopmental disorders where dysregulation of neural-specific genes controlled by Oct-2 may contribute to disease pathology. Understanding Oct-2's interaction with related proteins such as EBF1 in these disorders provides insights into the complex genetic regulation involved in these conditions.

Product protocols

For this product, it's our understanding that no specific protocols are required. You can visit:

Target data

Transcription factor that specifically binds to the octamer motif (5'-ATTTGCAT-3') (PubMed : 2904654, PubMed : 7859290). Regulates IL6 expression in B cells with POU2AF1 (By similarity). Regulates transcription in a number of tissues in addition to activating immunoglobulin gene expression (PubMed : 2901913, PubMed : 2904654). Modulates transcription transactivation by NR3C1, AR and PGR (PubMed : 10480874).. Isoform 5. Activates the U2 small nuclear RNA (snRNA) promoter.
See full target information POU2F2

Product promise

We are committed to supporting your work with high-quality reagents, and we're here for you every step of the way. In the unlikely event that one of our products does not perform as expected, you're protected by our Product Promise.
For full details, please see our Terms & Conditions

Please note: All products are 'FOR RESEARCH USE ONLY. NOT FOR USE IN DIAGNOSTIC OR THERAPEUTIC PROCEDURES'.

For licensing inquiries, please contact partnerships@abcam.com