JavaScript is disabled in your browser. Please enable JavaScript to view this website.
AB92458

Anti-Oct-2 antibody [EPR542]

Be the first to review this product! Submit a review

|

(1 Publication)

Rabbit Recombinant Monoclonal Oct-2 antibody. Suitable for ICC/IF, WB, Flow Cyt (Intra), IHC-P and reacts with Human samples. Cited in 1 publication.

View Alternative Names

OCT2, OTF2, POU2F2, Lymphoid-restricted immunoglobulin octamer-binding protein NF-A2, Octamer-binding protein 2, Octamer-binding transcription factor 2, Oct-2, OTF-2

4 Images
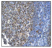
Immunohistochemistry (Formalin/PFA-fixed paraffin-embedded sections) - Anti-Oct-2 antibody [EPR542] (AB92458)
  • IHC-P

Unknown

Immunohistochemistry (Formalin/PFA-fixed paraffin-embedded sections) - Anti-Oct-2 antibody [EPR542] (AB92458)

ab92458 at a 1 : 250 dilution staining Oct-2 in human tonsil (paraffin embedded section) by immunohistochemistry.

Perform heat mediated antigen retrieval with EDTA buffer pH 9 before commencing with IHC staining protocol.

Western blot - Anti-Oct-2 antibody [EPR542] (AB92458)
  • WB

Unknown

Western blot - Anti-Oct-2 antibody [EPR542] (AB92458)

All lanes:

Western blot - Anti-Oct-2 antibody [EPR542] (ab92458) at 1/1000 dilution

All lanes:

Daudi (Human Burkitt's lymphoma cell line) lysate at 10 µg

Secondary

All lanes:

HRP conjugated goat anti-rabbit antibody at 1/2000 dilution

Predicted band size: 51 kDa

Observed band size: 58 kDa

false

Immunocytochemistry/ Immunofluorescence - Anti-Oct-2 antibody [EPR542] (AB92458)
  • ICC/IF

Unknown

Immunocytochemistry/ Immunofluorescence - Anti-Oct-2 antibody [EPR542] (AB92458)

Immunocytochemistry analysis of Raji (human Burkitt's lymphoma B lymphocyte) labeling 37530 with purified ab92458 at 1/500 dilution. Cells were fixed with 4% Paraformaldehyde and permeabilised with 0.1% tritonX-100. Goat anti rabbit IgG (Alexa Fluor® 488, ab150077) at 1/1000 (2 µg/ml) was used as the secondary antibody. ab195889 Anti-alpha Tubulin antibody [DM1A] - Microtubule Marker (Alexa Fluor® 594) 1/200 (2.19 µg/ml) was used as counterstain. Nuclei were stained blue with DAPI.
Negative control : PBS instead of the primary antibody.

Flow Cytometry (Intracellular) - Anti-Oct-2 antibody [EPR542] (AB92458)
  • Flow Cyt (Intra)

Unknown

Flow Cytometry (Intracellular) - Anti-Oct-2 antibody [EPR542] (AB92458)

Overlay histogram showing Raji (Human Burkitt's lymphoma cell line) cells stained with ab92458 (red line).

The cells were fixed with 80% methanol (5 min) and then permeabilized with 0.1% PBS-Tween for 20 min. The cells were then incubated in 1x PBS / 10% normal goat serum / 0.3M glycine to block non-specific protein-protein interactions followed by the antibody (ab92458, 1/50) for 30 min at 22°C. The secondary antibody used was DyLight® 488 goat anti-rabbit IgG (H+L) (ab96899) at 1/500 dilution for 30 min at 22°C.

Isotype control antibody (black line) was rabbit IgG (monoclonal) (1μg/1x106 cells) used under the same conditions.

Acquisition of >5,000 events was performed.

Key facts

Host species

Rabbit

Clonality

Monoclonal

Clone number

EPR542

Isotype

IgG

Carrier free

No

Reacts with

Human

Applications

IHC-P, WB, Flow Cyt (Intra), ICC/IF

applications

Immunogen

The exact immunogen used to generate this antibody is proprietary information.

Reactivity data

{ "title": "Reactivity Data", "filters": { "stats": ["", "Species", "Dilution Info", "Notes"], "tabs": { "all-applications": {"fullname" : "All Applications", "shortname": "All Applications"}, "ICCIF" : {"fullname" : "Immunocytochemistry/ Immunofluorescence", "shortname":"ICC/IF"}, "IP" : {"fullname" : "Immunoprecipitation", "shortname":"IP"}, "WB" : {"fullname" : "Western blot", "shortname":"WB"}, "FlowCytIntra" : {"fullname" : "Flow Cytometry (Intracellular)", "shortname":"Flow Cyt (Intra)"}, "IHCP" : {"fullname" : "Immunohistochemistry (Formalin/PFA-fixed paraffin-embedded sections)", "shortname":"IHC-P"} }, "product-promise": { "all": "all", "testedAndGuaranteed": "tested", "guaranteed": "expected", "predicted": "predicted", "notRecommended": "not-recommended" } }, "values": { "Human": { "ICCIF-species-checked": "testedAndGuaranteed", "ICCIF-species-dilution-info": "1/250 - 1/500", "ICCIF-species-notes": "<p></p> Perform heat-mediated antigen retrieval with Tris/EDTA buffer pH 9.0 before commencing with IHC staining protocol.", "IP-species-checked": "notRecommended", "IP-species-dilution-info": "", "IP-species-notes": "<p></p>", "WB-species-checked": "testedAndGuaranteed", "WB-species-dilution-info": "1/1000 - 1/5000", "WB-species-notes": "<p></p>", "FlowCytIntra-species-checked": "testedAndGuaranteed", "FlowCytIntra-species-dilution-info": "1/50", "FlowCytIntra-species-notes": "<p><a href='/en-us/products/primary-antibodies/rabbit-igg-monoclonal-epr25a-isotype-control-ab172730'>ab172730</a> - Rabbit monoclonal IgG, is suitable for use as an isotype control with this antibody.</p>", "IHCP-species-checked": "testedAndGuaranteed", "IHCP-species-dilution-info": "1/250 - 1/500", "IHCP-species-notes": "<p></p> Perform heat-mediated antigen retrieval with Tris/EDTA buffer pH 9.0 before commencing with IHC staining protocol." } } }

Product details

Species reactivity
Mouse, Rat: We have preliminary internal testing data to indicate this antibody may not react with these species.
Please contact us for more information.

Patented technology
Our RabMAb® technology is a patented hybridoma-based technology for making rabbit monoclonal antibodies. For details on our patents, please refer to RabMAb® patents.

What are the advantages of a recombinant monoclonal antibody?
This product is a recombinant monoclonal antibody, which offers several advantages including:

  • - High batch-to-batch consistency and reproducibility
  • - Improved sensitivity and specificity
  • - Long-term security of supply
  • - Animal-free batch production

For more information, read more on recombinant antibodies.

Properties and storage information

Form
Liquid
Purification technique
Affinity purification Protein A
Storage buffer
pH: 7.2 - 7.4 Preservative: 0.01% Sodium azide Constituents: 50% Tissue culture supernatant, 40% Glycerol (glycerin, glycerine), 9% PBS, 0.05% BSA
Shipped at conditions
Blue Ice
Appropriate short-term storage duration
1-2 weeks
Appropriate short-term storage conditions
+4°C
Appropriate long-term storage conditions
-20°C
Aliquoting information
Upon delivery aliquot
Storage information
Avoid freeze / thaw cycle

Supplementary information

This supplementary information is collated from multiple sources and compiled automatically.

Oct-2 also known as 9A2 or POU2F2 is a transcription factor with a molecular mass of approximately 50-55 kDa. It belongs to the POU family of transcription factors. Oct-2 is expressed widely in various tissues but shows higher expression levels in B lymphocytes and the central nervous system. This protein binds to the octamer DNA sequence motif which regulates the activity of several genes involved in immune function and neural development. Its expression pattern and DNA binding properties make Oct-2 essential in controlling transcriptional activation and repression.
Biological function summary

Oct-2 regulates the expression of target genes by binding to octamer motifs within promoters and enhancers. In the immune system Oct-2 plays a significant role in B cell differentiation and maturation. It acts as an essential transcriptional regulator of immunoglobulin gene expression. In neural tissues Oct-2 influences genes involved in neural differentiation and development. Oct-2 often does not act alone; it forms part of multi-protein complexes interacting with coactivators and corepressors to modulate gene expression tightly.

Pathways

Oct-2 participates in critical transcriptional regulatory networks. It is important in the immune response pathway controlling genes involved in B cell activation and antibody production. Oct-2 also interacts with Oct-1 another member of the POU family in controlling gene expression patterns related to adaptive immunity. Additionally Oct-2 influences pathways involved in neural development working alongside transcription factors like Pax-5 to regulate genes critical for the growth and differentiation of neuronal cells.

Oct-2 has been implicated in certain B cell-related malignancies and neurological disorders. Abnormal expression or mutation of Oct-2 can contribute to the development of lymphoma by altering the normal regulation of proliferation-related genes in B cells. Oct-2 also has connections to neurodevelopmental disorders where dysregulation of neural-specific genes controlled by Oct-2 may contribute to disease pathology. Understanding Oct-2's interaction with related proteins such as EBF1 in these disorders provides insights into the complex genetic regulation involved in these conditions.

Product protocols

For this product, it's our understanding that no specific protocols are required. You can visit:

Target data

Transcription factor that specifically binds to the octamer motif (5'-ATTTGCAT-3') (PubMed : 2904654, PubMed : 7859290). Regulates IL6 expression in B cells with POU2AF1 (By similarity). Regulates transcription in a number of tissues in addition to activating immunoglobulin gene expression (PubMed : 2901913, PubMed : 2904654). Modulates transcription transactivation by NR3C1, AR and PGR (PubMed : 10480874).. Isoform 5. Activates the U2 small nuclear RNA (snRNA) promoter.
See full target information POU2F2

Publications (1)

Recent publications for all applications. Explore the full list and refine your search

PeerJ 9:e11548 PubMed34178453

2021

Comparative sera proteomics analysis of differentially expressed proteins in oral squamous cell carcinoma.

Applications

Unspecified application

Species

Unspecified reactive species

Yin-Ling Wong,Anand Ramanathan,Kar Mun Yuen,Wan Mahadzir Wan Mustafa,Mannil Thomas Abraham,Keng Kiong Tay,Zainal Ariff Abdul Rahman,Yeng Chen
View all publications

Product promise

We are committed to supporting your work with high-quality reagents, and we're here for you every step of the way. In the unlikely event that one of our products does not perform as expected, you're protected by our Product Promise.
For full details, please see our Terms & Conditions

Associated Products

Select an associated product type
Alternative Product
Primary Antibodies

AB236558

Anti-Oct-2 antibody [OCT2/2137]

primary-antibodies

oct-2-antibody-oct2-2137-ab236558

0

(0 reviews)

Alternative Product
Primary Antibodies

AB236534

Anti-Oct-2 antibody [OCT2/2136]

primary-antibodies

oct-2-antibody-oct2-2136-ab236534

0

(0 reviews)

Alternative Product
Primary Antibodies

AB243153

Anti-Oct-2 antibody [9A2]

primary-antibodies

oct-2-antibody-9a2-ab243153

0

(0 reviews)

Alternative Product
Primary Antibodies

AB205481

Alexa Fluor® 488 Anti-Oct-2 antibody [EPR12482]

primary-antibodies

alexa-fluor-488-oct-2-antibody-epr12482-ab205481

0

(0 reviews)

Alternative Product
Primary Antibodies

AB205482

Alexa Fluor® 647 Anti-Oct-2 antibody [EPR12482]

primary-antibodies

alexa-fluor-647-oct-2-antibody-epr12482-ab205482

0

(0 reviews)

Alternative Product
Primary Antibodies

AB179808

Anti-Oct-2 antibody [EPR12482]

primary-antibodies

oct-2-antibody-epr12482-ab179808

0

(1 reviews)

Alternative Product
Primary Antibodies

AB33919

Anti-Oct-2 antibody [EP543Y]

primary-antibodies

oct-2-antibody-ep543y-ab33919

0

(0 reviews)

Alternative Product
Primary Antibodies

AB252246

Anti-Oct-2 antibody [9A2] - BSA and Azide free

primary-antibodies

oct-2-antibody-9a2-bsa-and-azide-free-ab252246

0

(0 reviews)

Alternative Product
Primary Antibodies

AB178679

Anti-Oct-2 antibody [EPR12482-106]

primary-antibodies

oct-2-antibody-epr12482-106-ab178679

5

(3 reviews)

Alternative Product
Primary Antibodies

AB205793

HRP Anti-Oct-2 antibody [EPR12482]

primary-antibodies

hrp-oct-2-antibody-epr12482-ab205793

0

(0 reviews)

Please note: All products are 'FOR RESEARCH USE ONLY. NOT FOR USE IN DIAGNOSTIC OR THERAPEUTIC PROCEDURES'.

For licensing inquiries, please contact partnerships@abcam.com