JavaScript is disabled in your browser. Please enable JavaScript to view this website.
AB200834

Anti-Oct4 antibody [EPR17980]

  • RabMAb
  • Advanced Validation
  • Recombinant
  • 20ul selling size
  • What is this?

5

(4 Reviews)

|

(71 Publications)

Anti-Oct4 antibody [EPR17980] (ab200834) is a rabbit monoclonal antibody detecting Oct4 in Western Blot, Flow Cytometry (Intra), Flow Cytometry, IP, IHC-P, ICC/IF, ChIP. Suitable for Human, Mouse.

- Biophysical QC for unrivalled batch-batch consistency
- Over 30 publications

View Alternative Names

OCT3, OCT4, OTF3, POU5F1, Octamer-binding protein 3, Octamer-binding protein 4, Octamer-binding transcription factor 3, Oct-3, Oct-4, OTF-3

11 Images
Immunohistochemistry (Formalin/PFA-fixed paraffin-embedded sections) - Anti-Oct4 antibody [EPR17980] (AB200834)
  • IHC-P

Supplier Data

Immunohistochemistry (Formalin/PFA-fixed paraffin-embedded sections) - Anti-Oct4 antibody [EPR17980] (AB200834)

Immunohistochemical analysis of paraffin-embedded Human cerebral cortex tissue labeling Oct4 with ab200834 at 1/500 dilution, followed Goat Anti-Rabbit IgG H&L (HRP) (ab97051) at 1/500 dilution. Human cerebral cortex tissue is a negative control for Oct4. Counter stained with Hematoxylin.

Secondary antibody only control : Used PBS instead of primary antibody, secondary antibody is Goat Anti-Rabbit IgG H&L (HRP) (ab97051) at 1/500 dilution.

Perform heat mediated antigen retrieval with Tris/EDTA buffer pH 9.0 before commencing with IHC staining protocol.

Immunohistochemistry (Formalin/PFA-fixed paraffin-embedded sections) - Anti-Oct4 antibody [EPR17980] (AB200834)
  • IHC-P

Supplier Data

Immunohistochemistry (Formalin/PFA-fixed paraffin-embedded sections) - Anti-Oct4 antibody [EPR17980] (AB200834)

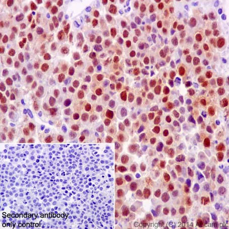
Immunohistochemical analysis of paraffin-embedded Human spermatocytoma tissue labeling Oct4 with ab200834 at 1/500 dilution, followed Goat Anti-Rabbit IgG H&L (HRP) (ab97051) at 1/500 dilution. Nuclear and weakly cytoplasmic staining on Human spermatocytoma tissue is observed. Counter stained with Hematoxylin.

Secondary antibody only control : Used PBS instead of primary antibody, secondary antibody is Goat Anti-Rabbit IgG H&L (HRP) (ab97051) at 1/500 dilution.

Perform heat mediated antigen retrieval with Tris/EDTA buffer pH 9.0 before commencing with IHC staining protocol.

Immunohistochemistry (Formalin/PFA-fixed paraffin-embedded sections) - Anti-Oct4 antibody [EPR17980] (AB200834)
  • IHC-P

Supplier Data

Immunohistochemistry (Formalin/PFA-fixed paraffin-embedded sections) - Anti-Oct4 antibody [EPR17980] (AB200834)

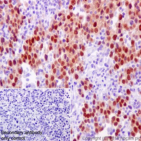
Immunohistochemical analysis of paraffin-embedded Human dysgerminoma of ovary tissue labeling Oct4 with ab200834 at 1/500 dilution, followed Goat Anti-Rabbit IgG H&L (HRP) (ab97051) at 1/500 dilution. Nuclear and weakly cytoplasmic staining on Human dysgerminoma of ovary tissue is observed. Counter stained with Hematoxylin.

Secondary antibody only control : Used PBS instead of primary antibody, secondary antibody is Goat Anti-Rabbit IgG H&L (HRP) (ab97051) at 1/500 dilution.

Perform heat mediated antigen retrieval with Tris/EDTA buffer pH 9.0 before commencing with IHC staining protocol.

ChIP-sequencing - Anti-Oct4 antibody [EPR17980] (AB200834)
  • ChIP-seq

Supplier Data

ChIP-sequencing - Anti-Oct4 antibody [EPR17980] (AB200834)

Chromatin was prepared from NCCIT (Human pluripotent embryonic carcinoma cell line) cells. ChIP was performed with 10^7 NCCIT cells and 8 µg of ab200834 [EPR17980]. ChIP DNA was sequenced on the Illumina NovaSeq 6000 to a depth of 30 million reads.

Immunocytochemistry/ Immunofluorescence - Anti-Oct4 antibody [EPR17980] (AB200834)
  • ICC/IF

Lab

Immunocytochemistry/ Immunofluorescence - Anti-Oct4 antibody [EPR17980] (AB200834)

ab200834 staining Oct4 in F9 cells. The cells were fixed with 4% formaldehyde (10 min), permeabilized with 0.1% Triton X-100 for 5 minutes and then blocked with 1% BSA/10% normal goat serum/0.3M glycine in 0.1%PBS-Tween for 1h. The cells were then incubated overnight at +4°C with ab200834 at a 5μg/ml concentration and ab7291, Mouse monoclonal [DM1A] to alpha Tubulin, at 1μg/ml concentration, followed by a further incubation at room temperature for 1h with an anti-rabbit AlexaFluor® 488 (ab150081) at 2 μg/ml (shown in green) and an anti-mouse AlexaFluor® 594 (ab150120) at 2 μg/ml (shown in pseudocolor red). Nuclear DNA was labelled with DAPI (shown in blue).

Image was taken with a confocal microscope (Leica-Microsystems, TCS SP8).

Flow Cytometry (Intracellular) - Anti-Oct4 antibody [EPR17980] (AB200834)
  • Flow Cyt (Intra)

Supplier Data

Flow Cytometry (Intracellular) - Anti-Oct4 antibody [EPR17980] (AB200834)

Intracellular flow cytometric analysis of 2% paraformaldehyde-fixed F9 (Mouse embyro testicular cancer cell line) cells labeling Oct4 with ab200834 at 1/60 dilution (red) compared with a rabbit monoclonal IgG isotype control (ab172730;black) and an unlabelled control (cells without incubation with primary antibody and secondary antibody; blue). Goat anti rabbit IgG (FITC) at 1/150 dilution was used as the secondary antibody.

Immunocytochemistry/ Immunofluorescence - Anti-Oct4 antibody [EPR17980] (AB200834)
  • ICC/IF

Unknown

Immunocytochemistry/ Immunofluorescence - Anti-Oct4 antibody [EPR17980] (AB200834)

Immunocytochemistry/Immunofluorescence analysis of F9 (mouse embryonal carcinoma) labelling Oct4 with purified ab200834 at 1/500. Cells were fixed with 4% paraformaldehyde and permeabilized with 0.1% Triton X-100. An Alexa Fluor® 488-conjugated goat anti-rabbit IgG (1/1000) was used as the secondary antibody (ab150077). Nuclei counterstained with DAPI (blue).

Control : PBS only

Immunoprecipitation - Anti-Oct4 antibody [EPR17980] (AB200834)
  • IP

Supplier Data

Immunoprecipitation - Anti-Oct4 antibody [EPR17980] (AB200834)

Oct4 was immunoprecipitated from 1mg of F9 (Mouse embyro testicular cancer cell line) whole cell lysate with ab200834 at 1/30 dilution. Western blot was performed from the immunoprecipitate using ab200834 at 1/1000 dilution. Anti-Rabbit IgG (HRP), specific to the non-reduced form of IgG, was used as secondary antibody at 1/1500 dilution.

Lane 1 : F9 whole cell lysate 10 μg (Input). Lane 2 : ab200834 IP in F9 whole cell lysate. Lane 3 : Rabbit monoclonal IgG (ab172730) instead of ab200834 in F9 whole cell lysate.
Blocking and dilution buffer and concentration : 5% NFDM/TBST.

Exposure time : 5 seconds

All lanes:

Immunoprecipitation - Anti-Oct4 antibody [EPR17980] (ab200834)

Predicted band size: 38 kDa

false

Western blot - Anti-Oct4 antibody [EPR17980] (AB200834)
  • WB

Supplier Data

Western blot - Anti-Oct4 antibody [EPR17980] (AB200834)

Low levels of expression in adult tissues

Blocking/Dilution Buffer : 5% NFDM/TBST.

All lanes:

Western blot - Anti-Oct4 antibody [EPR17980] (ab200834) at 1/1000 dilution

Lane 1:

Human placenta lysate at 10 µg

Lane 2:

Human fetal brain lysate at 10 µg

Lane 3:

Human testis lysate at 10 µg

Secondary

All lanes:

Anti-Rabbit IgG (HRP), specific to the non-reduced form of IgG at 1/1000 dilution

Predicted band size: 38 kDa

false

Exposure time: 3min

Western blot - Anti-Oct4 antibody [EPR17980] (AB200834)
  • WB

Supplier Data

Western blot - Anti-Oct4 antibody [EPR17980] (AB200834)

Low levels of expression in adult tissues.

Blocking/Dilution Buffer : 5% NFDM/TBST.

All lanes:

Western blot - Anti-Oct4 antibody [EPR17980] (ab200834) at 1/10000 dilution

Lane 1:

NCCIT (Human pluripotent embryonic carcinoma) whole cell lysate at 10 µg

Lane 2:

NTera-2/D1 (Human malignant pluripotent embryonic carcinoma) whole cell lysate at 10 µg

Lane 3:

F9 (Mouse embyro testicular cancer cell line) whole cell lysate at 10 µg

Lane 4:

JAR (Human placenta choriocarcinoma cell line) whole cell lysate at 10 µg

Lane 5:

RAW 264.7 (Mouse macrophage cells transformed with Abelson murine leukemia virus) whole cell lysate at 10 µg

Lane 6:

Mouse testis lysate at 10 µg

Secondary

All lanes:

Goat Anti-Rabbit IgG, (H+L), Peroxidase conjugated at 1/1000 dilution

Predicted band size: 38 kDa

Observed band size: 45 kDa

false

Exposure time: 30s

ChIC/CUT&RUN sequencing - Anti-Oct4 antibody [EPR17980] (AB200834)
  • ChIC/CUT&RUN-seq

Supplier Data

ChIC/CUT&RUN sequencing - Anti-Oct4 antibody [EPR17980] (AB200834)

ChIC/CUT&RUN was performed using a pAG-MNAse at a final concentration of 700 ng/mL, 2 x 10^5 NCCIT (Human pluripotent embryonic carcinoma cell line) cells and 5 µg of ab200834 [EPR17980]. The resulting DNA was sequenced on the Illumina NovaSeq 6000 to a depth of 10 million reads. The negative IgG control ab172730 is also shown. The ChIP data was conducted on chromatin prepared from NCCIT cells. Cells were fixed with 1% formaldehyde for 10 minutes. ChIP was performed with 10^7 NCCIT cells and 8 µg of ab200834. ChIP DNA was sequenced on the Illumina NovaSeq 6000 to a depth of 30 million reads. Additional screenshots of mapped reads can be found in the Protocol booklet in the Product Protocol section. The University of Geneva owns patents relevant to ChIC (Chromatin Immuno-Cleavage) methods.

  • 519 Alexa Fluor® 488

    Alexa Fluor® 488 Anti-Oct4 antibody [EPR17980]

  • 578 PE

    PE Anti-Oct4 antibody [EPR17980]

  • 665 Alexa Fluor® 647

    Alexa Fluor® 647 Anti-Oct4 antibody [EPR17980]

  • Carrier free

    Anti-Oct4 antibody [EPR17980] - BSA and Azide free

  • 617 Alexa Fluor® 594

    Alexa Fluor® 594 Anti-Oct4 antibody [EPR17980]

  • Carrier free

    Anti-Oct4 antibody [EPR17980] - BSA and Azide free (Capture)

Key facts

Host species

Rabbit

Clonality

Monoclonal

Clone number

EPR17980

Isotype

IgG

Carrier free

No

Reacts with

Mouse, Human

Applications

ChIP-seq, ICC/IF, IP, ChIC/CUT&RUN-seq, Flow Cyt (Intra), IHC-P, WB

applications

Immunogen

The exact immunogen used to generate this antibody is proprietary information.

Reactivity data

{ "title": "Reactivity Data", "filters": { "stats": ["", "Species", "Dilution Info", "Notes"], "tabs": { "all-applications": {"fullname" : "All Applications", "shortname": "All Applications"}, "ChICCUTRUNseq" : {"fullname" : "ChIC/CUT&RUN sequencing", "shortname":"ChIC/CUT&RUN-seq"}, "ChIPseq" : {"fullname" : "ChIP-sequencing", "shortname":"ChIP-seq"}, "IP" : {"fullname" : "Immunoprecipitation", "shortname":"IP"}, "WB" : {"fullname" : "Western blot", "shortname":"WB"}, "ICCIF" : {"fullname" : "Immunocytochemistry/ Immunofluorescence", "shortname":"ICC/IF"}, "FlowCytIntra" : {"fullname" : "Flow Cytometry (Intracellular)", "shortname":"Flow Cyt (Intra)"}, "IHCP" : {"fullname" : "Immunohistochemistry (Formalin/PFA-fixed paraffin-embedded sections)", "shortname":"IHC-P"} }, "product-promise": { "all": "all", "testedAndGuaranteed": "tested", "guaranteed": "expected", "predicted": "predicted", "notRecommended": "not-recommended" } }, "values": { "Human": { "ChICCUTRUNseq-species-checked": "testedAndGuaranteed", "ChICCUTRUNseq-species-dilution-info": "5 µg", "ChICCUTRUNseq-species-notes": "<p></p>", "ChIPseq-species-checked": "testedAndGuaranteed", "ChIPseq-species-dilution-info": "", "ChIPseq-species-notes": "<p></p>", "IP-species-checked": "guaranteed", "IP-species-dilution-info": "", "IP-species-notes": "", "WB-species-checked": "testedAndGuaranteed", "WB-species-dilution-info": "1/10000", "WB-species-notes": "<p></p>", "ICCIF-species-checked": "testedAndGuaranteed", "ICCIF-species-dilution-info": "5 µg/mL", "ICCIF-species-notes": "<p></p>", "FlowCytIntra-species-checked": "guaranteed", "FlowCytIntra-species-dilution-info": "", "FlowCytIntra-species-notes": "", "IHCP-species-checked": "testedAndGuaranteed", "IHCP-species-dilution-info": "1/250", "IHCP-species-notes": "<p></p>" }, "Mouse": { "ChICCUTRUNseq-species-checked": "guaranteed", "ChICCUTRUNseq-species-dilution-info": "", "ChICCUTRUNseq-species-notes": "", "ChIPseq-species-checked": "guaranteed", "ChIPseq-species-dilution-info": "", "ChIPseq-species-notes": "", "IP-species-checked": "testedAndGuaranteed", "IP-species-dilution-info": "1/30", "IP-species-notes": "<p></p>", "WB-species-checked": "testedAndGuaranteed", "WB-species-dilution-info": "1/10000", "WB-species-notes": "<p></p>", "ICCIF-species-checked": "testedAndGuaranteed", "ICCIF-species-dilution-info": "5 µg/mL", "ICCIF-species-notes": "<p></p>", "FlowCytIntra-species-checked": "testedAndGuaranteed", "FlowCytIntra-species-dilution-info": "1/60", "FlowCytIntra-species-notes": "<p><a href='/en-us/products/primary-antibodies/rabbit-igg-monoclonal-epr25a-isotype-control-ab172730'>ab172730</a> - Rabbit monoclonal IgG, is suitable for use as an isotype control with this antibody.</p>", "IHCP-species-checked": "guaranteed", "IHCP-species-dilution-info": "", "IHCP-species-notes": "" } } }

Product details

What is this antibody validated in?
Anti-Oct4 antibody [EPR17980] (ab200834) is a rabbit recombinant monoclonal antibody and is validated for use in Western Blot (WB), Flow Cytometry (Intra), Flow Cytometry (Flow Cyt), Immunoprecipitation (IP), Immunohistochemistry (IHC-P), Immunocytochemistry/immunofluorescence (ICC/IF), ChIP in Human, Mouse samples.

What is the molecular weight of Oct4?
Anti-Oct4 [EPR17980] (ab200834) specifically detects a band for Oct4 (UniProt: Q01860) at a molecular weight of 38kDa.

Trusted by the scientific community
Anti-Oct4 [EPR17980] (ab200834) was first used in a scientific publication in 2015 and has been cited over 30 times in peer-reviewed journals.

Trial sizes available!
Test your antibody or perform pre-screening before committing to a larger quantity. Sold in 10µl. Discover our selection of trial-size antibodies.

Other related products
We have a range of other formats of antibody clone [EPR17980] also available for your convenience: ab200834, Alexa Fluor® 488 - ab208907, Alexa Fluor® 647 - ab209957, PE - ab213198, Alexa Fluor® 594 - ab217250, Carrier free - ab240358, Carrier free - ab244781

Patented technology
Our RabMAb® technology is a patented hybridoma-based technology for making rabbit monoclonal antibodies. For details on our patents, please refer to RabMAb® patents.

What are the advantages of a recombinant monoclonal antibody?
This product is a recombinant monoclonal antibody, which offers several advantages including:

  • - High batch-to-batch consistency and reproducibility
  • - Improved sensitivity and specificity
  • - Long-term security of supply
  • - Animal-free batch production

For more information, read more on recombinant antibodies.

Properties and storage information

Form
Liquid
Purification technique
Affinity purification Protein A
Storage buffer
pH: 7.2 - 7.4 Preservative: 0.01% Sodium azide Constituents: PBS, 40% Glycerol (glycerin, glycerine), 0.05% BSA
Shipped at conditions
Blue Ice
Appropriate short-term storage duration
1-2 weeks
Appropriate short-term storage conditions
+4°C
Appropriate long-term storage conditions
-20°C
Aliquoting information
Upon delivery aliquot
Storage information
Avoid freeze / thaw cycle

Supplementary information

This supplementary information is collated from multiple sources and compiled automatically.

Oct4 also known as POU5F1 Oct 4 protein and hecho en Oct 4 is a transcription factor important for maintaining pluripotency in stem cells. Oct4 protein has a molecular weight of approximately 40-45 kDa. Stem and germ cells express Oct4 where it regulates gene expression essential for cell differentiation and self-renewal. In immunohistochemistry (IHC) studies scientists often use Oct4 staining to identify stem cell presence and behavior.
Biological function summary

Oct4 acts in concert with other pluripotency factors like SOX2 and NANOG to form a regulatory network essential for maintaining stem cell identity. As part of this network the Oct4 transcription factor orchestrates the expression of genes that prevent differentiation and maintain the stem cell's undifferentiated state. The protein directly activates the transcription of target genes involved in maintaining the pluripotent state.

Pathways

Oct4 plays an important role in the maintenance of pluripotency and self-renewal in the embryonic stem cell (ESC) and induced pluripotent stem cell (iPSC) pathways. Oct4 partners with proteins such as SOX2 and KLF4 in these pathways to activate and repress a common set of downstream genes which control differentiation and proliferation. Oct4 ensures the blocking of differentiation signals while promoting self-renewal in pluripotent cells.

Aberrant Oct4 expression often links to oncogenesis and tumor progression particularly in testicular germ cell tumors and certain types of cancers. Oct4 overexpression may interact with c-MYC a protein linked to cancer cell proliferation advancing tumorigenesis. Additionally researchers investigate Oct4 as a diagnostic marker for cancer and its potential as a therapeutic target to inhibit cancer cell growth.

Product protocols

For this product, it's our understanding that no specific protocols are required. You can visit:

Target data

The protein expressed by the gene POU5F1 is a transcription factor that binds to the octamer motif (5'-ATTTGCAT-3') and forms a trimeric complex with SOX2 or SOX15 on DNA. It controls the expression of several genes involved in embryonic development, including YES1, FGF4, UTF1, and ZFP206. This protein is critical for early embryogenesis and for maintaining embryonic stem cell pluripotency. This supplementary information is collated from multiple sources and compiled automatically.
See full target information POU5F1

Publications (71)

Recent publications for all applications. Explore the full list and refine your search

PLoS biology 23:e3003430 PubMed41052211

2025

Calcium signaling is required for anterior patterning in the mouse embryo.

Applications

Unspecified application

Species

Unspecified reactive species

Matthew J Stower,Richard C V Tyser,Shifaan Thowfeequ,Felix Zhou,Marta Portela,Konstantinos Miti,Jacintha Sugnaseelan,Xin Lu,Shankar Srinivas

Experimental & molecular medicine 57:1940-1950 PubMed40887500

2025

Mitochondrial dysfunction by glyoxalase 1 deficiency disrupts definitive endoderm and alveolar development of human pluripotent stem cells.

Applications

Unspecified application

Species

Unspecified reactive species

Suji Jeong,Hyebin Koh,Minje Kang,Ji-Young Kim,Roya Rasaei,Woo Jin Kim,Seon-Sook Han,In Sun Hong,Se-Ran Yang,Jong-Hee Lee,Seok-Ho Hong

International journal of molecular medicine 56: PubMed40641112

2025

TNF‑α induces premature senescence in tendon stem cells via the NF‑κB and p53/p21/cyclin E/CDK2 signaling pathways.

Applications

Unspecified application

Species

Unspecified reactive species

Hua Guo,Haixia Cao,Qian Lu,Zhifeng Gu,Guijuan Feng

Methods in molecular biology (Clifton, N.J.) 2924:93-100 PubMed40307637

2025

A Robust Protocol for Pluripotent Stem Cell Modeling of 3D Chamber-Like Cardiac Organoids.

Applications

Unspecified application

Species

Unspecified reactive species

Michel Pucéat

Journal of ovarian research 18:81 PubMed40259316

2025

NCAPH promotes glucose metabolism reprogramming and cell stemness in ovarian cancer cells through the MEK/ERK/PD-L1 pathway.

Applications

Unspecified application

Species

Unspecified reactive species

Yingying Qi,Aiping Wang,Silin Chen,Wei Chen

Nature communications 16:1377 PubMed39910084

2025

A biallelically active embryonic enhancer dictates GNAS imprinting through allele-specific conformations.

Applications

Unspecified application

Species

Unspecified reactive species

Yorihiro Iwasaki,Monica Reyes,Harald Jüppner,Murat Bastepe

Journal of bone oncology 50:100655 PubMed39850453

2025

Using β-Elemene to reduce stemness and drug resistance in osteosarcoma: A focus on the AKT/FOXO1 signaling pathway and immune modulation.

Applications

Unspecified application

Species

Unspecified reactive species

Shaochun Zhang,Zhijie Xing,Jing Ke

International journal of biological sciences 21:382-399 PubMed39744423

2025

Folic Acid-Modified Milk Exosomes Delivering c-Kit siRNA Overcome EGFR-TKIs Resistance in Lung Cancer by Suppressing mTOR Signaling and Stemness.

Applications

Unspecified application

Species

Unspecified reactive species

Zihan Xu,Li Wang,Li Tu,Tao Liu,Yong Zhang,Yingying He,Guixiu Xiao,Ganlu Ouyang,Xuelei Ma,Feng Luo

Thoracic cancer 16:e15483 PubMed39620490

2024

Circ_0096710 facilitates tumor growth via controlling ADAM10 expression in esophageal squamous cell carcinoma.

Applications

Unspecified application

Species

Unspecified reactive species

Chaoqun Dong,Zhilong Li

Histology and histopathology 40:1105-1115 PubMed39564607

2024

Paeonol regulates glycolytic metabolism by downregulating BACH1 to ameliorate stemness, angiogenesis, and EMT in SiHa cervical cancer cells.

Applications

Unspecified application

Species

Unspecified reactive species

Shaoqin Sheng,Jing Xu,Danhong Hu,Weiwei Qian,Xiangqian Xu,Jing He
View all publications
chicCutRunSequencingBooklet
en

Product promise

We are committed to supporting your work with high-quality reagents, and we're here for you every step of the way. In the unlikely event that one of our products does not perform as expected, you're protected by our Product Promise.
For full details, please see our Terms & Conditions

Please note: All products are 'FOR RESEARCH USE ONLY. NOT FOR USE IN DIAGNOSTIC OR THERAPEUTIC PROCEDURES'.

For licensing inquiries, please contact partnerships@abcam.com