JavaScript is disabled in your browser. Please enable JavaScript to view this website.
AB240358

Anti-Oct4 antibody [EPR17980] - BSA and Azide free

Be the first to review this product! Submit a review

|

(1 Publication)

Rabbit Recombinant Monoclonal Oct4 antibody. Carrier free. Suitable for ChIC/CUT&RUN-seq, ChIP-seq, IP, WB, ICC/IF, Flow Cyt (Intra), IHC-P and reacts with Human, Mouse samples. Cited in 1 publication.

View Alternative Names

OCT3, OCT4, OTF3, POU5F1, Octamer-binding protein 3, Octamer-binding protein 4, Octamer-binding transcription factor 3, Oct-3, Oct-4, OTF-3

9 Images
Immunohistochemistry (Formalin/PFA-fixed paraffin-embedded sections) - Anti-Oct4 antibody [EPR17980] - BSA and Azide free (AB240358)
  • IHC-P

Supplier Data

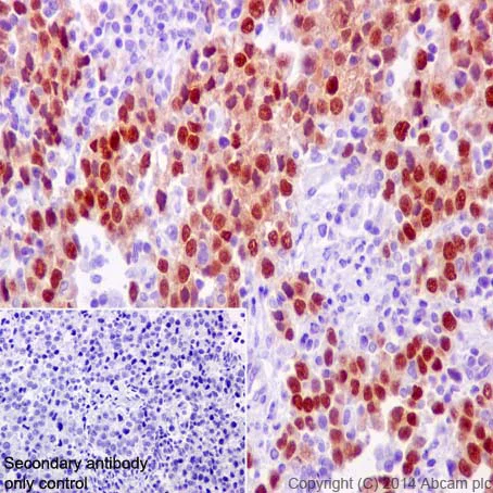
Immunohistochemistry (Formalin/PFA-fixed paraffin-embedded sections) - Anti-Oct4 antibody [EPR17980] - BSA and Azide free (AB240358)

Immunohistochemical analysis of paraffin-embedded Human spermatocytoma tissue labeling Oct4 with ab200834 at 1/500 dilution, followed Goat Anti-Rabbit IgG H&L (HRP) (ab97051) at 1/500 dilution. Nuclear and weakly cytoplasmic staining on Human spermatocytoma tissue is observed. Counter stained with Hematoxylin.

Secondary antibody only control : Used PBS instead of primary antibody, secondary antibody is Goat Anti-Rabbit IgG H&L (HRP) (ab97051) at 1/500 dilution.

This data was developed using the same antibody clone in a different buffer formulation containing PBS, BSA, glycerol, and sodium azide (ab200834).

Perform heat mediated antigen retrieval with Tris/EDTA buffer pH 9.0 before commencing with IHC staining protocol.

Immunohistochemistry (Formalin/PFA-fixed paraffin-embedded sections) - Anti-Oct4 antibody [EPR17980] - BSA and Azide free (AB240358)
  • IHC-P

Supplier Data

Immunohistochemistry (Formalin/PFA-fixed paraffin-embedded sections) - Anti-Oct4 antibody [EPR17980] - BSA and Azide free (AB240358)

Immunohistochemical analysis of paraffin-embedded Human cerebral cortex tissue labeling Oct4 with ab200834 at 1/500 dilution, followed Goat Anti-Rabbit IgG H&L (HRP) (ab97051) at 1/500 dilution. Human cerebral cortex tissue is a negative control for Oct4. Counter stained with Hematoxylin.

Secondary antibody only control : Used PBS instead of primary antibody, secondary antibody is Goat Anti-Rabbit IgG H&L (HRP) (ab97051) at 1/500 dilution.

This data was developed using the same antibody clone in a different buffer formulation containing PBS, BSA, glycerol, and sodium azide (ab200834).

Perform heat mediated antigen retrieval with Tris/EDTA buffer pH 9.0 before commencing with IHC staining protocol.

Immunohistochemistry (Formalin/PFA-fixed paraffin-embedded sections) - Anti-Oct4 antibody [EPR17980] - BSA and Azide free (AB240358)
  • IHC-P

Supplier Data

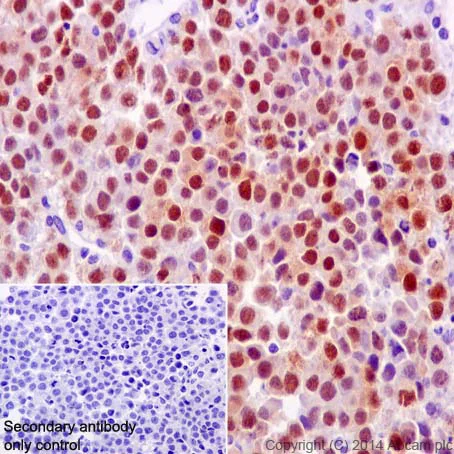
Immunohistochemistry (Formalin/PFA-fixed paraffin-embedded sections) - Anti-Oct4 antibody [EPR17980] - BSA and Azide free (AB240358)

Immunohistochemical analysis of paraffin-embedded Human dysgerminoma of ovary tissue labeling Oct4 with ab200834 at 1/500 dilution, followed Goat Anti-Rabbit IgG H&L (HRP) (ab97051) at 1/500 dilution. Nuclear and weakly cytoplasmic staining on Human dysgerminoma of ovary tissue is observed. Counter stained with Hematoxylin.

Secondary antibody only control : Used PBS instead of primary antibody, secondary antibody is Goat Anti-Rabbit IgG H&L (HRP) (ab97051) at 1/500 dilution.

This data was developed using the same antibody clone in a different buffer formulation containing PBS, BSA, glycerol, and sodium azide (ab200834).

Perform heat mediated antigen retrieval with Tris/EDTA buffer pH 9.0 before commencing with IHC staining protocol.

ChIP-sequencing - Anti-Oct4 antibody [EPR17980] - BSA and Azide free (AB240358)
  • ChIP-seq

Supplier Data

ChIP-sequencing - Anti-Oct4 antibody [EPR17980] - BSA and Azide free (AB240358)

Chromatin was prepared from NCCIT (Human pluripotent embryonic carcinoma cell line) cells. ChIP was performed with 10^7 NCCIT cells and 8 µg of ab200834 [EPR17980]. ChIP DNA was sequenced on the Illumina NovaSeq 6000 to a depth of 30 million reads. This data was developed using the same antibody clone in a different buffer formulation containing PBS, BSA, glycerol, and sodium azide (ab200834).

Immunocytochemistry/ Immunofluorescence - Anti-Oct4 antibody [EPR17980] - BSA and Azide free (AB240358)
  • ICC/IF

Lab

Immunocytochemistry/ Immunofluorescence - Anti-Oct4 antibody [EPR17980] - BSA and Azide free (AB240358)

ab200834 staining Oct4 in F9 cells. The cells were fixed with 4% formaldehyde (10 min), permeabilized with 0.1% Triton X-100 for 5 minutes and then blocked with 1% BSA/10% normal goat serum/0.3M glycine in 0.1%PBS-Tween for 1h. The cells were then incubated overnight at +4°C with ab200834 at a 5μg/ml concentration and ab7291, Mouse monoclonal [DM1A] to alpha Tubulin, at 1μg/ml concentration, followed by a further incubation at room temperature for 1h with an anti-rabbit AlexaFluor® 488 (ab150081) at 2 μg/ml (shown in green) and an anti-mouse AlexaFluor® 594 (ab150120) at 2 μg/ml (shown in pseudocolor red).  Nuclear DNA was labelled with DAPI (shown in blue).

Image was taken with a confocal microscope (Leica-Microsystems, TCS SP8).

This data was developed using the same antibody clone in a different buffer formulation containing PBS, BSA, glycerol, and sodium azide (ab200834).

Flow Cytometry (Intracellular) - Anti-Oct4 antibody [EPR17980] - BSA and Azide free (AB240358)
  • Flow Cyt (Intra)

Supplier Data

Flow Cytometry (Intracellular) - Anti-Oct4 antibody [EPR17980] - BSA and Azide free (AB240358)

Intracellular flow cytometric analysis of 2% paraformaldehyde-fixed F9 (Mouse embyro testicular cancer cell line) cells labeling Oct4 with ab200834 at 1/60 dilution (red) compared with a rabbit monoclonal IgG isotype control (ab172730; black) and an unlabelled control (cells without incubation with primary antibody and secondary antibody; blue). Goat anti rabbit IgG (FITC) at 1/150 dilution was used as the secondary antibody.

This data was developed using the same antibody clone in a different buffer formulation containing PBS, BSA, glycerol, and sodium azide (ab200834).

Immunocytochemistry/ Immunofluorescence - Anti-Oct4 antibody [EPR17980] - BSA and Azide free (AB240358)
  • ICC/IF

Unknown

Immunocytochemistry/ Immunofluorescence - Anti-Oct4 antibody [EPR17980] - BSA and Azide free (AB240358)

Immunocytochemistry/Immunofluorescence analysis of F9 (mouse embryonal carcinoma) labelling Oct4 with purified ab200834 at 1/500. Cells were fixed with 4% paraformaldehyde and permeabilized with 0.1% Triton X-100. An Alexa Fluor® 488-conjugated goat anti-rabbit IgG (1/1000) was used as the secondary antibody (ab150077). Nuclei counterstained with DAPI (blue).

Control : PBS only

This data was developed using the same antibody clone in a different buffer formulation containing PBS, BSA, glycerol, and sodium azide (ab200834).

Immunoprecipitation - Anti-Oct4 antibody [EPR17980] - BSA and Azide free (AB240358)
  • IP

Supplier Data

Immunoprecipitation - Anti-Oct4 antibody [EPR17980] - BSA and Azide free (AB240358)

Oct4 was immunoprecipitated from 1mg of F9 (Mouse embyro testicular cancer cell line) whole cell lysate with ab200834 at 1/30 dilution. Western blot was performed from the immunoprecipitate using ab200834 at 1/1000 dilution. Anti-Rabbit IgG (HRP), specific to the non-reduced form of IgG, was used as secondary antibody at 1/1500 dilution.

Lane 1 : F9 whole cell lysate 10 µg (Input). Lane 2 : ab200834 IP in F9 whole cell lysate. Lane 3 : Rabbit monoclonal IgG (ab172730) instead of ab200834 in F9 whole cell lysate.
Blocking and dilution buffer and concentration : 5% NFDM/TBST.

Exposure time : 5 seconds

This data was developed using the same antibody clone in a different buffer formulation containing PBS, BSA, glycerol, and sodium azide (ab200834).

All lanes:

Immunoprecipitation - Anti-Oct4 antibody [EPR17980] (<a href='/en-us/products/primary-antibodies/oct4-antibody-epr17980-ab200834'>ab200834</a>)

Predicted band size: 38 kDa

false

ChIC/CUT&RUN sequencing - Anti-Oct4 antibody [EPR17980] - BSA and Azide free (AB240358)
  • ChIC/CUT&RUN-seq

Supplier Data

ChIC/CUT&RUN sequencing - Anti-Oct4 antibody [EPR17980] - BSA and Azide free (AB240358)

ChIC/CUT&RUN was performed using a pAG-MNAse at a final concentration of 700 ng/mL, 2 x 10^5 NCCIT (Human pluripotent embryonic carcinoma cell line) cells and 5 µg of ab200834 [EPR17980]. The resulting DNA was sequenced on the Illumina NovaSeq 6000 to a depth of 10 million reads. The negative IgG control ab172730 is also shown. The ChIP data was conducted on chromatin prepared from NCCIT cells. Cells were fixed with 1% formaldehyde for 10 minutes. ChIP was performed with 10^7 NCCIT cells and 8 µg of ab200834. ChIP DNA was sequenced on the Illumina NovaSeq 6000 to a depth of 30 million reads. Additional screenshots of mapped reads can be found in the Protocol booklet in the Product Protocol section. The University of Geneva owns patents relevant to ChIC (Chromatin Immuno-Cleavage) methods. This data was developed using the same antibody clone in a different buffer formulation containing PBS, BSA, glycerol, and sodium azide (ab200834).

Key facts

Host species

Rabbit

Clonality

Monoclonal

Clone number

EPR17980

Isotype

IgG

Carrier free

Yes

Reacts with

Mouse, Human

Applications

ICC/IF, IP, Flow Cyt (Intra), WB, ChIC/CUT&RUN-seq, ChIP-seq, IHC-P

applications

Immunogen

The exact immunogen used to generate this antibody is proprietary information.

Reactivity data

{ "title": "Reactivity Data", "filters": { "stats": ["", "Species", "Dilution Info", "Notes"], "tabs": { "all-applications": {"fullname" : "All Applications", "shortname": "All Applications"}, "ChICCUTRUNseq" : {"fullname" : "ChIC/CUT&RUN sequencing", "shortname":"ChIC/CUT&RUN-seq"}, "ChIPseq" : {"fullname" : "ChIP-sequencing", "shortname":"ChIP-seq"}, "IP" : {"fullname" : "Immunoprecipitation", "shortname":"IP"}, "WB" : {"fullname" : "Western blot", "shortname":"WB"}, "ICCIF" : {"fullname" : "Immunocytochemistry/ Immunofluorescence", "shortname":"ICC/IF"}, "FlowCytIntra" : {"fullname" : "Flow Cytometry (Intracellular)", "shortname":"Flow Cyt (Intra)"}, "IHCP" : {"fullname" : "Immunohistochemistry (Formalin/PFA-fixed paraffin-embedded sections)", "shortname":"IHC-P"} }, "product-promise": { "all": "all", "testedAndGuaranteed": "tested", "guaranteed": "expected", "predicted": "predicted", "notRecommended": "not-recommended" } }, "values": { "Human": { "ChICCUTRUNseq-species-checked": "testedAndGuaranteed", "ChICCUTRUNseq-species-dilution-info": "", "ChICCUTRUNseq-species-notes": "<p></p>", "ChIPseq-species-checked": "testedAndGuaranteed", "ChIPseq-species-dilution-info": "", "ChIPseq-species-notes": "<p></p>", "IP-species-checked": "guaranteed", "IP-species-dilution-info": "", "IP-species-notes": "", "WB-species-checked": "testedAndGuaranteed", "WB-species-dilution-info": "", "WB-species-notes": "<p></p>", "ICCIF-species-checked": "guaranteed", "ICCIF-species-dilution-info": "", "ICCIF-species-notes": "", "FlowCytIntra-species-checked": "guaranteed", "FlowCytIntra-species-dilution-info": "", "FlowCytIntra-species-notes": "", "IHCP-species-checked": "testedAndGuaranteed", "IHCP-species-dilution-info": "", "IHCP-species-notes": "<p></p>" }, "Mouse": { "ChICCUTRUNseq-species-checked": "guaranteed", "ChICCUTRUNseq-species-dilution-info": "", "ChICCUTRUNseq-species-notes": "", "ChIPseq-species-checked": "guaranteed", "ChIPseq-species-dilution-info": "", "ChIPseq-species-notes": "", "IP-species-checked": "testedAndGuaranteed", "IP-species-dilution-info": "", "IP-species-notes": "<p></p>", "WB-species-checked": "testedAndGuaranteed", "WB-species-dilution-info": "", "WB-species-notes": "<p></p>", "ICCIF-species-checked": "testedAndGuaranteed", "ICCIF-species-dilution-info": "", "ICCIF-species-notes": "<p></p>", "FlowCytIntra-species-checked": "testedAndGuaranteed", "FlowCytIntra-species-dilution-info": "", "FlowCytIntra-species-notes": "<p><a href='/en-us/products/primary-antibodies/rabbit-igg-monoclonal-epr25a-isotype-control-low-endotoxin-azide-free-ab199376'>ab199376</a> - Rabbit monoclonal IgG, is suitable for use as an isotype control with this antibody.</p>", "IHCP-species-checked": "guaranteed", "IHCP-species-dilution-info": "", "IHCP-species-notes": "" } } }

Product details

ab240358 is the carrier-free version of ab200834.

Patented technology
Our RabMAb® technology is a patented hybridoma-based technology for making rabbit monoclonal antibodies. For details on our patents, please refer to RabMAb® patents.

What are the advantages of a recombinant monoclonal antibody?
This product is a recombinant monoclonal antibody, which offers several advantages including:

  • - High batch-to-batch consistency and reproducibility
  • - Improved sensitivity and specificity
  • - Long-term security of supply
  • - Animal-free batch production

For more information, read more on recombinant antibodies.

Conjugation ready
Our carrier-free antibodies are typically supplied in a PBS-only formulation, purified and free of BSA, sodium azide and glycerol. This conjugation-ready format is designed for use with fluorochromes, metal isotopes, oligonucleotides, and enzymes, which makes them ideal for antibody labelling, functional and cell-based assays, flow-based assays (e.g. mass cytometry) and Multiplex Imaging applications.

Use our conjugation kits for antibody conjugates that are ready-to-use in as little as 20 minutes with 1 minute hands-on-time and 100% antibody recovery: available for fluorescent dyes, HRP, biotin and gold.

Compatibility
This product is compatible with the Maxpar® Antibody Labeling Kit from Fluidigm, without the need for antibody preparation. Maxpar® is a trademark of Fluidigm Canada Inc.

Properties and storage information

Form
Liquid
Purification technique
Affinity purification Protein A
Storage buffer
pH: 7.2 - 7.4 Constituents: PBS
Shipped at conditions
Blue Ice
Appropriate short-term storage conditions
+4°C
Appropriate long-term storage conditions
+4°C
Storage information
Do Not Freeze

Supplementary information

This supplementary information is collated from multiple sources and compiled automatically.

Oct4 also known as POU5F1 Oct 4 protein and hecho en Oct 4 is a transcription factor important for maintaining pluripotency in stem cells. Oct4 protein has a molecular weight of approximately 40-45 kDa. Stem and germ cells express Oct4 where it regulates gene expression essential for cell differentiation and self-renewal. In immunohistochemistry (IHC) studies scientists often use Oct4 staining to identify stem cell presence and behavior.
Biological function summary

Oct4 acts in concert with other pluripotency factors like SOX2 and NANOG to form a regulatory network essential for maintaining stem cell identity. As part of this network the Oct4 transcription factor orchestrates the expression of genes that prevent differentiation and maintain the stem cell’s undifferentiated state. The protein directly activates the transcription of target genes involved in maintaining the pluripotent state.

Pathways

Oct4 plays an important role in the maintenance of pluripotency and self-renewal in the embryonic stem cell (ESC) and induced pluripotent stem cell (iPSC) pathways. Oct4 partners with proteins such as SOX2 and KLF4 in these pathways to activate and repress a common set of downstream genes which control differentiation and proliferation. Oct4 ensures the blocking of differentiation signals while promoting self-renewal in pluripotent cells.

Aberrant Oct4 expression often links to oncogenesis and tumor progression particularly in testicular germ cell tumors and certain types of cancers. Oct4 overexpression may interact with c-MYC a protein linked to cancer cell proliferation advancing tumorigenesis. Additionally researchers investigate Oct4 as a diagnostic marker for cancer and its potential as a therapeutic target to inhibit cancer cell growth.

Product protocols

For this product, it's our understanding that no specific protocols are required. You can visit:

Target data

The protein expressed by the gene POU5F1 is a transcription factor that binds to the octamer motif (5'-ATTTGCAT-3') and forms a trimeric complex with SOX2 or SOX15 on DNA. It controls the expression of several genes involved in embryonic development, including YES1, FGF4, UTF1, and ZFP206. This protein is critical for early embryogenesis and for maintaining embryonic stem cell pluripotency. This supplementary information is collated from multiple sources and compiled automatically.
See full target information POU5F1

Publications (1)

Recent publications for all applications. Explore the full list and refine your search

Experimental dermatology 33:e15009 PubMed38284185

2024

Road-traffic-related air pollution contributes to skin barrier alteration and growth defect of sensory neurons.

Applications

Unspecified application

Species

Unspecified reactive species

Christelle Le Gall-Lanotto,Anthony Verdin,Fabrice Cazier,Adeline Bataille-Savattier,Christelle Guéré,Marie M Dorr,Joachim W Fluhr,Dominique Courcot,Katell Vié,Laurent Misery
View all publications
chicCutRunSequencingBooklet
en

Product promise

We are committed to supporting your work with high-quality reagents, and we're here for you every step of the way. In the unlikely event that one of our products does not perform as expected, you're protected by our Product Promise.
For full details, please see our Terms & Conditions

Please note: All products are 'FOR RESEARCH USE ONLY. NOT FOR USE IN DIAGNOSTIC OR THERAPEUTIC PROCEDURES'.

For licensing inquiries, please contact partnerships@abcam.com