JavaScript is disabled in your browser. Please enable JavaScript to view this website.
AB222233

Anti-Oct4 antibody [EPR2054] - BSA and Azide free

Be the first to review this product! Submit a review

|

(4 Publications)

Rabbit Recombinant Monoclonal Oct4 antibody. Carrier free. Suitable for ChIC/CUT&RUN-seq, IHC-P, IP, WB and reacts with Human samples. Cited in 4 publications.

View Alternative Names

OCT3, OCT4, OTF3, POU5F1, Octamer-binding protein 3, Octamer-binding protein 4, Octamer-binding transcription factor 3, Oct-3, Oct-4, OTF-3

13 Images
Immunohistochemistry (Formalin/PFA-fixed paraffin-embedded sections) - Anti-Oct4 antibody [EPR2054] - BSA and Azide free (AB222233)
  • IHC-P

Unknown

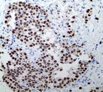
Immunohistochemistry (Formalin/PFA-fixed paraffin-embedded sections) - Anti-Oct4 antibody [EPR2054] - BSA and Azide free (AB222233)

Unpurified ab109183 showing positive staining in Embryonal carcinoma tissue.

This data was developed using the same antibody clone in a different buffer formulation containing PBS, BSA, glycerol, and sodium azide (ab109183).

Perform heat mediated antigen retrieval with citrate buffer pH 6 before commencing with IHC staining protocol.

Immunohistochemistry (Formalin/PFA-fixed paraffin-embedded sections) - Anti-Oct4 antibody [EPR2054] - BSA and Azide free (AB222233)
  • IHC-P

Unknown

Immunohistochemistry (Formalin/PFA-fixed paraffin-embedded sections) - Anti-Oct4 antibody [EPR2054] - BSA and Azide free (AB222233)

Unpurified ab109183 showing positive staining in Fetal brain tissue.

This data was developed using the same antibody clone in a different buffer formulation containing PBS, BSA, glycerol, and sodium azide (ab109183).

Perform heat mediated antigen retrieval with citrate buffer pH 6 before commencing with IHC staining protocol.

Immunohistochemistry (Formalin/PFA-fixed paraffin-embedded sections) - Anti-Oct4 antibody [EPR2054] - BSA and Azide free (AB222233)
  • IHC-P

Unknown

Immunohistochemistry (Formalin/PFA-fixed paraffin-embedded sections) - Anti-Oct4 antibody [EPR2054] - BSA and Azide free (AB222233)

Unpurified ab109183 showing positive staining in Seminoma tissue.

This data was developed using the same antibody clone in a different buffer formulation containing PBS, BSA, glycerol, and sodium azide (ab109183).

Perform heat mediated antigen retrieval with citrate buffer pH 6 before commencing with IHC staining protocol.

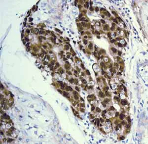
Immunohistochemistry (Formalin/PFA-fixed paraffin-embedded sections) - Anti-Oct4 antibody [EPR2054] - BSA and Azide free (AB222233)
  • IHC-P

Unknown

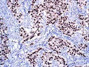
Immunohistochemistry (Formalin/PFA-fixed paraffin-embedded sections) - Anti-Oct4 antibody [EPR2054] - BSA and Azide free (AB222233)

Unpurified ab109183, at 1 : 500 dilution, staining Oct4 in paraffin-embedded Human ovarian dysgerminoma by Immunohistochemistry.

This data was developed using the same antibody clone in a different buffer formulation containing PBS, BSA, glycerol, and sodium azide (ab109183).

Perform heat mediated antigen retrieval with citrate buffer pH 6 before commencing with IHC staining protocol.

Immunohistochemistry (Formalin/PFA-fixed paraffin-embedded sections) - Anti-Oct4 antibody [EPR2054] - BSA and Azide free (AB222233)
  • IHC-P

Unknown

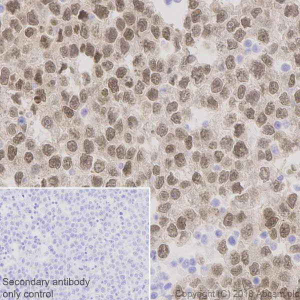
Immunohistochemistry (Formalin/PFA-fixed paraffin-embedded sections) - Anti-Oct4 antibody [EPR2054] - BSA and Azide free (AB222233)

Immunohistochemistry (Formalin/PFA-fixed paraffin-embedded sections) analysis of Human seminoma tissue sections labeling Oct4 - with Purified ab109183 at 1 : 600 dilution (1 µg/ml). Heat mediated antigen retrieval was performed using ab93684 (Tris/EDTA buffer, pH 9.0)ImmunoHistoProbe one step HRP Polymer (ready to use)was used as the secondary antibody.Negative control : PBS instead of the primary antibody.Hematoxylinwas used as a counterstainThis data was developed using the same antibody clone in a different buffer formulation containing PBS, BSA, glycerol, and sodium azide (ab109183).

Immunohistochemistry (Formalin/PFA-fixed paraffin-embedded sections) - Anti-Oct4 antibody [EPR2054] - BSA and Azide free (AB222233)
  • IHC-P

Unknown

Immunohistochemistry (Formalin/PFA-fixed paraffin-embedded sections) - Anti-Oct4 antibody [EPR2054] - BSA and Azide free (AB222233)

Unpurified ab109183 showing negative staining in Hepatocellular carcinoma tissue.

This data was developed using the same antibody clone in a different buffer formulation containing PBS, BSA, glycerol, and sodium azide (ab109183).

Perform heat mediated antigen retrieval with citrate buffer pH 6 before commencing with IHC staining protocol.

Immunoprecipitation - Anti-Oct4 antibody [EPR2054] - BSA and Azide free (AB222233)
  • IP

Lab

Immunoprecipitation - Anti-Oct4 antibody [EPR2054] - BSA and Azide free (AB222233)

Unpurified ab109183 at 1/50 immunoprecipitating Oct4 in NCCIT (human pluripotent embryonal carcinoma) whole cell lysate observed at 39 KDa (lanes 1 and 2).

Lane 1 (input) : NCCIT whole cell lysate, 10μg

Lane 2 (+) : ab109183 + NCCIT whole cell lysate

Lane 3 (-) : Rabbit monoclonal IgG (ab172730) instead of ab109183 in NCCIT whole cell lysate

For western blotting, ab109183 at 1/1000 dilution and ab131366 VeriBlot for IP (HRP) was used for detection antibody at 1/10000 dilution.

Blocking buffer and concentration : 5% NFDM/TBST.
Diluting buffer and concentration : 5% NFDM /TBST.

This data was developed using the same antibody clone in a different buffer formulation containing PBS, BSA, glycerol, and sodium azide (ab109183).

All lanes:

Immunoprecipitation - Anti-Oct4 antibody [EPR2054] (<a href='/en-us/products/primary-antibodies/oct4-antibody-epr2054-ab109183'>ab109183</a>)

Predicted band size: 38 kDa,48 kDa

false

Exposure time: 30s

ChIC/CUT&RUN sequencing - Anti-Oct4 antibody [EPR2054] - BSA and Azide free (AB222233)
  • ChIC/CUT&RUN-seq

Supplier Data

ChIC/CUT&RUN sequencing - Anti-Oct4 antibody [EPR2054] - BSA and Azide free (AB222233)

ChIC/CUT&RUN was performed using a pAG-MNAse at a final concentration of 700 ng/mL, 2 x 10^5 NCCIT (Human pluripotent embryonic carcinoma cell line) cells and 5 µg of ab109183 [EPR2054]. The resulting DNA was sequenced on the Illumina NovaSeq 6000 to a depth of 10 million reads. The negative IgG control ab172730 is also shown. Additional screenshots of mapped reads can be found in the Protocol booklet in the Product Protocol section. The University of Geneva owns patents relevant to ChIC (Chromatin Immuno-Cleavage) methods. This data was developed using the same antibody clone in a different buffer formulation containing PBS, BSA, glycerol, and sodium azide (ab109183).

Immunohistochemistry (Formalin/PFA-fixed paraffin-embedded sections) - Anti-Oct4 antibody [EPR2054] - BSA and Azide free (AB222233)
  • IHC-P

Unknown

Immunohistochemistry (Formalin/PFA-fixed paraffin-embedded sections) - Anti-Oct4 antibody [EPR2054] - BSA and Azide free (AB222233)

Unpurified ab109183 showing negative staining in Normal brain tissue.

This data was developed using the same antibody clone in a different buffer formulation containing PBS, BSA, glycerol, and sodium azide (ab109183).

Perform heat mediated antigen retrieval with citrate buffer pH 6 before commencing with IHC staining protocol.

Immunohistochemistry (Formalin/PFA-fixed paraffin-embedded sections) - Anti-Oct4 antibody [EPR2054] - BSA and Azide free (AB222233)
  • IHC-P

Unknown

Immunohistochemistry (Formalin/PFA-fixed paraffin-embedded sections) - Anti-Oct4 antibody [EPR2054] - BSA and Azide free (AB222233)

Unpurified ab109183 showing negative staining in Skeletal muscle tissue.

This data was developed using the same antibody clone in a different buffer formulation containing PBS, BSA, glycerol, and sodium azide (ab109183).

Perform heat mediated antigen retrieval with citrate buffer pH 6 before commencing with IHC staining protocol.

Immunohistochemistry (Formalin/PFA-fixed paraffin-embedded sections) - Anti-Oct4 antibody [EPR2054] - BSA and Azide free (AB222233)
  • IHC-P

Unknown

Immunohistochemistry (Formalin/PFA-fixed paraffin-embedded sections) - Anti-Oct4 antibody [EPR2054] - BSA and Azide free (AB222233)

Unpurified ab109183 showing negative staining in Normal liver tissue.

This data was developed using the same antibody clone in a different buffer formulation containing PBS, BSA, glycerol, and sodium azide (ab109183).

Perform heat mediated antigen retrieval with citrate buffer pH 6 before commencing with IHC staining protocol.

Immunohistochemistry (Formalin/PFA-fixed paraffin-embedded sections) - Anti-Oct4 antibody [EPR2054] - BSA and Azide free (AB222233)
  • IHC-P

Unknown

Immunohistochemistry (Formalin/PFA-fixed paraffin-embedded sections) - Anti-Oct4 antibody [EPR2054] - BSA and Azide free (AB222233)

Unpurified ab109183 showing negative staining in Colonic adenocarcinoma tissue.

This data was developed using the same antibody clone in a different buffer formulation containing PBS, BSA, glycerol, and sodium azide (ab109183).

Perform heat mediated antigen retrieval with citrate buffer pH 6 before commencing with IHC staining protocol.

OI-RD Scanning - Anti-Oct4 antibody [EPR2054] - BSA and Azide free (AB222233)
  • OI-RD Scanning

Unknown

OI-RD Scanning - Anti-Oct4 antibody [EPR2054] - BSA and Azide free (AB222233)

We have systematically measured KD (the equilibrium dissociation constant between the antibody and its antigen), of more than 840 recombinant antibodies to assess not only their individual KD values but also to see the average affinity of antibody. Based on the comparison with published literature values for mouse monoclonal antibodies, Recombinant antibodies appear to be on average 1-2 order of magnitude higher affinity.

  • Unconjugated

    Anti-Oct4 antibody [EPR2054]

  • HRP

    HRP Anti-Oct4 antibody [EPR2054]

Key facts

Host species

Rabbit

Clonality

Monoclonal

Clone number

EPR2054

Isotype

IgG

Carrier free

Yes

Reacts with

Human

Applications

IHC-P, ChIC/CUT&RUN-seq, IP, WB

applications

Immunogen

The exact immunogen used to generate this antibody is proprietary information.

Reactivity data

{ "title": "Reactivity Data", "filters": { "stats": ["", "Species", "Dilution Info", "Notes"], "tabs": { "all-applications": {"fullname" : "All Applications", "shortname": "All Applications"}, "ChICCUTRUNseq" : {"fullname" : "ChIC/CUT&RUN sequencing", "shortname":"ChIC/CUT&RUN-seq"}, "IHCP" : {"fullname" : "Immunohistochemistry (Formalin/PFA-fixed paraffin-embedded sections)", "shortname":"IHC-P"}, "ICCIF" : {"fullname" : "Immunocytochemistry/ Immunofluorescence", "shortname":"ICC/IF"}, "IP" : {"fullname" : "Immunoprecipitation", "shortname":"IP"}, "WB" : {"fullname" : "Western blot", "shortname":"WB"} }, "product-promise": { "all": "all", "testedAndGuaranteed": "tested", "guaranteed": "expected", "predicted": "predicted", "notRecommended": "not-recommended" } }, "values": { "Human": { "ChICCUTRUNseq-species-checked": "testedAndGuaranteed", "ChICCUTRUNseq-species-dilution-info": "", "ChICCUTRUNseq-species-notes": "<p></p>", "IHCP-species-checked": "testedAndGuaranteed", "IHCP-species-dilution-info": "", "IHCP-species-notes": "<p></p>", "ICCIF-species-checked": "notRecommended", "ICCIF-species-dilution-info": "", "ICCIF-species-notes": "<p></p>", "IP-species-checked": "testedAndGuaranteed", "IP-species-dilution-info": "", "IP-species-notes": "<p></p>", "WB-species-checked": "testedAndGuaranteed", "WB-species-dilution-info": "", "WB-species-notes": "<p></p>" } } }

Product details

ab222233 is the carrier-free version of ab109183.

Species reactivity
Mouse, Rat: We have preliminary internal testing data to indicate this antibody may not react with these species.
Please contact us for more information.

Patented technology
Our RabMAb® technology is a patented hybridoma-based technology for making rabbit monoclonal antibodies. For details on our patents, please refer to RabMAb® patents.

What are the advantages of a recombinant monoclonal antibody?
This product is a recombinant monoclonal antibody, which offers several advantages including:

  • - High batch-to-batch consistency and reproducibility
  • - Improved sensitivity and specificity
  • - Long-term security of supply
  • - Animal-free batch production

For more information, read more on recombinant antibodies.

Conjugation ready
Our carrier-free antibodies are typically supplied in a PBS-only formulation, purified and free of BSA, sodium azide and glycerol. This conjugation-ready format is designed for use with fluorochromes, metal isotopes, oligonucleotides, and enzymes, which makes them ideal for antibody labelling, functional and cell-based assays, flow-based assays (e.g. mass cytometry) and Multiplex Imaging applications.

Use our conjugation kits for antibody conjugates that are ready-to-use in as little as 20 minutes with 1 minute hands-on-time and 100% antibody recovery: available for fluorescent dyes, HRP, biotin and gold.

Compatibility
This product is compatible with the Maxpar® Antibody Labeling Kit from Fluidigm, without the need for antibody preparation. Maxpar® is a trademark of Fluidigm Canada Inc.

Properties and storage information

Form
Liquid
Purification technique
Affinity purification Protein A
Storage buffer
pH: 7.2 - 7.4 Constituents: PBS
Shipped at conditions
Blue Ice
Appropriate short-term storage conditions
+4°C
Appropriate long-term storage conditions
+4°C
Storage information
Do Not Freeze

Supplementary information

This supplementary information is collated from multiple sources and compiled automatically.

Oct4 also known as POU5F1 Oct 4 protein and hecho en Oct 4 is a transcription factor important for maintaining pluripotency in stem cells. Oct4 protein has a molecular weight of approximately 40-45 kDa. Stem and germ cells express Oct4 where it regulates gene expression essential for cell differentiation and self-renewal. In immunohistochemistry (IHC) studies scientists often use Oct4 staining to identify stem cell presence and behavior.
Biological function summary

Oct4 acts in concert with other pluripotency factors like SOX2 and NANOG to form a regulatory network essential for maintaining stem cell identity. As part of this network the Oct4 transcription factor orchestrates the expression of genes that prevent differentiation and maintain the stem cell’s undifferentiated state. The protein directly activates the transcription of target genes involved in maintaining the pluripotent state.

Pathways

Oct4 plays an important role in the maintenance of pluripotency and self-renewal in the embryonic stem cell (ESC) and induced pluripotent stem cell (iPSC) pathways. Oct4 partners with proteins such as SOX2 and KLF4 in these pathways to activate and repress a common set of downstream genes which control differentiation and proliferation. Oct4 ensures the blocking of differentiation signals while promoting self-renewal in pluripotent cells.

Aberrant Oct4 expression often links to oncogenesis and tumor progression particularly in testicular germ cell tumors and certain types of cancers. Oct4 overexpression may interact with c-MYC a protein linked to cancer cell proliferation advancing tumorigenesis. Additionally researchers investigate Oct4 as a diagnostic marker for cancer and its potential as a therapeutic target to inhibit cancer cell growth.

Product protocols

For this product, it's our understanding that no specific protocols are required. You can visit:

Target data

The protein expressed by the gene POU5F1 is a transcription factor that binds to the octamer motif (5'-ATTTGCAT-3') and forms a trimeric complex with SOX2 or SOX15 on DNA. It controls the expression of several genes involved in embryonic development, including YES1, FGF4, UTF1, and ZFP206. This protein is critical for early embryogenesis and for maintaining embryonic stem cell pluripotency. This supplementary information is collated from multiple sources and compiled automatically.
See full target information POU5F1

Publications (4)

Recent publications for all applications. Explore the full list and refine your search

Oncology reports 44:1627-1637 PubMed32945512

2020

MicroRNA‑137 exerts protective effects on hypoxia‑induced cell injury by inhibiting autophagy/mitophagy and maintaining mitochondrial function in breast cancer stem‑like cells.

Applications

Unspecified application

Species

Unspecified reactive species

Qiongying Hu,Yun Yuan,Yeke Wu,Yongliang Huang,Ziyi Zhao,Chong Xiao

PloS one 8:e65750 PubMed23776540

2013

Identification of cancer stem-like side population cells in purified primary cultured human laryngeal squamous cell carcinoma epithelia.

Applications

WB

Species

Human

Chun-Ping Wu,Liang Zhou,Ming Xie,Huai-Dong Du,Jie Tian,Shan Sun,Jin-Yan Li

Carcinogenesis 34:1773-81 PubMed23615404

2013

Pseudogene OCT4-pg4 functions as a natural micro RNA sponge to regulate OCT4 expression by competing for miR-145 in hepatocellular carcinoma.

Applications

Unspecified application

Species

Human

Lei Wang,Zhang-Yan Guo,Rui Zhang,Bo Xin,Rui Chen,Jing Zhao,Tao Wang,Wei-Hong Wen,Lin-Tao Jia,Li-Bo Yao,An-Gang Yang

Journal of virology 83:6391-403 PubMed19369332

2009

Breaking human cytomegalovirus major immediate-early gene silence by vasoactive intestinal peptide stimulation of the protein kinase A-CREB-TORC2 signaling cascade in human pluripotent embryonal NTera2 cells.

Applications

Unspecified application

Species

Unspecified reactive species

Jinxiang Yuan,Xiaoqiu Liu,Allen W Wu,Patrick W McGonagill,Michael J Keller,Courtney S Galle,Jeffery L Meier
View all publications
chicCutRunSequencingBooklet
en

Product promise

We are committed to supporting your work with high-quality reagents, and we're here for you every step of the way. In the unlikely event that one of our products does not perform as expected, you're protected by our Product Promise.
For full details, please see our Terms & Conditions

Please note: All products are 'FOR RESEARCH USE ONLY. NOT FOR USE IN DIAGNOSTIC OR THERAPEUTIC PROCEDURES'.

For licensing inquiries, please contact partnerships@abcam.com