JavaScript is disabled in your browser. Please enable JavaScript to view this website.
AB259952

Anti-Oct6 antibody [EPR24057-94]

  • BOND RX™ Validated
  • 20ul selling size
  • RabMAb
  • Recombinant
  • What is this?

Be the first to review this product! Submit a review

|

(1 Publication)

Rabbit Recombinant Monoclonal Oct6 antibody. Suitable for ICC/IF, Flow Cyt (Intra), WB, IHC-Fr, IHC-P and reacts with Mouse, Rat, Human samples. Cited in 1 publication.

View Alternative Names

OCT6, OTF6, POU3F1, Octamer-binding protein 6, Octamer-binding transcription factor 6, POU domain transcription factor SCIP, Oct-6, OTF-6

11 Images
Immunohistochemistry (Formalin/PFA-fixed paraffin-embedded sections) - Anti-Oct6 antibody [EPR24057-94] (AB259952)
  • IHC-P

Supplier Data

Immunohistochemistry (Formalin/PFA-fixed paraffin-embedded sections) - Anti-Oct6 antibody [EPR24057-94] (AB259952)

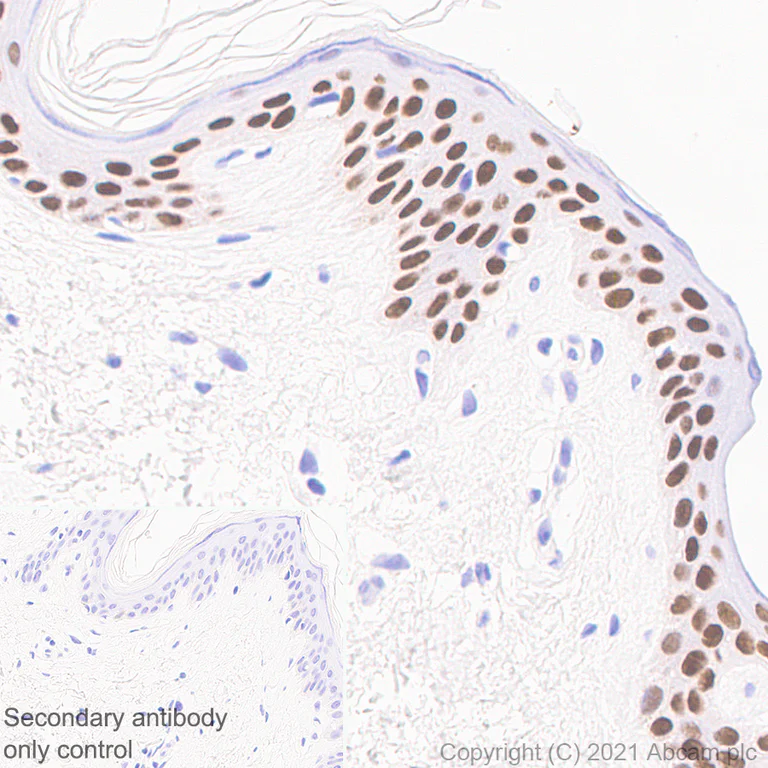
Immunohistochemical analysis of paraffin-embedded Human skin tissue labelling Oct6 with ab259952 at 1/2000 (0.261 ug/ml) dilution followed by a ready to use LeicaDS9800 (Bond™ Polymer Refine Detection). Nuclear staining on epithelial cells of human skin. The section was incubated with ab259952 for 30 mins at room temperature. The immunostaining was performed on a Leica Biosystems BOND® RX instrument Counterstained with Hematoxylin.

Secondary antibody only control : Secondary antibody is a ready to use LeicaDS9800 (Bond™ Polymer Refine Detection).

Heat mediated antigen retrieval with Tris-EDTA buffer (pH 9.0, epitope retrieval solution2) for 20 mins

Immunocytochemistry/ Immunofluorescence - Anti-Oct6 antibody [EPR24057-94] (AB259952)
  • ICC/IF

Supplier Data

Immunocytochemistry/ Immunofluorescence - Anti-Oct6 antibody [EPR24057-94] (AB259952)

Immunofluorescent analysis of 4% Paraformaldehyde-fixed, 0.1% TritonX-100 permeabilized rat primary neuron cells labelling Oct6 with ab259952 at 1/50 (10.44 ug/ml) dilution, followed by ab150077 Goat Anti-Rabbit IgG H&L (Alexa Fluor® 488) antibody at 1/1000 dilution (Green) Confocal image showing nuclear staining in rat primary neuron.Confocal scanning Z step was set as 0.3 μm followed by image processing with maximum Z projection is observed. ab11267 Anti-MAP2 mouse monoclonal antibody was used to counterstain tubulin at 1/500 dilution (Red). The Nuclear counterstain was DAPI (Blue).

Secondary antibody only control : Secondary antibody is ab150077 Goat Anti-Rabbit IgG H&L (Alexa Fluor® 488) at 1/1000 dilution.

Flow Cytometry (Intracellular) - Anti-Oct6 antibody [EPR24057-94] (AB259952)
  • Flow Cyt (Intra)

Supplier Data

Flow Cytometry (Intracellular) - Anti-Oct6 antibody [EPR24057-94] (AB259952)

Flow cytometric analysis of 4% paraformaldehyde fixed 90% methanol permeabilized Mouse primary neuron cells cells labelling Oct6 with ab259952 at 1/50 dilution (1ug)/(Red) compared with a Rabbit monoclonal IgG (ab172730) (Black) isotype control. A Goat anti rabbit IgG (Alexa Fluor® 488, ab150077) at 1/2000 dilution was used as the secondary antibody.

Immunocytochemistry/ Immunofluorescence - Anti-Oct6 antibody [EPR24057-94] (AB259952)
  • ICC/IF

Supplier Data

Immunocytochemistry/ Immunofluorescence - Anti-Oct6 antibody [EPR24057-94] (AB259952)

Immunofluorescent analysis of 4% Paraformaldehyde-fixed, 0.1% TritonX-100 permeabilized mouse primary neuron cells labelling Oct6 with ab259952 at 1/50 (10.44 ug/ml) dilution, followed by ab150077 Goat Anti-Rabbit IgG H&L (Alexa Fluor® 488) antibody at 1/1000 dilution (Green) Confocal image showing nuclear staining in mouse primary neuron.Confocal scanning Z step was set as 0.3 μm followed by image processing with maximum Z projection is observed. ab11267 Anti-MAP2 mouse monoclonal antibody was used to counterstain tubulin at 1/500 dilution (Red). The Nuclear counterstain was DAPI (Blue).

Secondary antibody only control : Secondary antibody is ab150077 Goat Anti-Rabbit IgG H&L (Alexa Fluor® 488) at 1/1000 dilution.

Immunohistochemistry (Frozen sections) - Anti-Oct6 antibody [EPR24057-94] (AB259952)
  • IHC-Fr

Supplier Data

Immunohistochemistry (Frozen sections) - Anti-Oct6 antibody [EPR24057-94] (AB259952)

Immunohistochemical analysis of 4% PFA-fixed, 0.2% Triton X-100 permeabilized frozen Mouse E14.5 embryonic tissue labeling Oct6 with ab259952 at 1/100 (5.22 ug/ml) dilution followed by ab150077 Goat Anti-Rabbit IgG H&L (Alexa Fluor® 488) at 1/1000 dilution (Green). Nuclear staining on mouse E14.5 embryonic brain is observed. The nuclear counterstain was DAPI (Blue).

Secondary antibody control : Secondary antibody is ab150077 Goat Anti-Rabbit IgG H&L (Alexa Fluor® 488)at 1/1000 dilution.

Heat mediated antigen retrieval using sodium citrate buffer (10mM citrate pH 6.0 + 0.05% Tween-20).

Immunohistochemistry (Frozen sections) - Anti-Oct6 antibody [EPR24057-94] (AB259952)
  • IHC-Fr

Supplier Data

Immunohistochemistry (Frozen sections) - Anti-Oct6 antibody [EPR24057-94] (AB259952)

Immunohistochemical analysis of 4% PFA-fixed, 0.2% Triton X-100 permeabilized frozen Rat E14.5 embryonic tissue labeling Oct6 with ab259952 at 1/100 (5.22 ug/ml) dilution followed by ab150077 Goat Anti-Rabbit IgG H&L (Alexa Fluor® 488) at 1/1000 dilution (Green). Nuclear staining on rat E14.5 embryonic brain is observed. The nuclear counterstain was DAPI (Blue).

Secondary antibody control : Secondary antibody is ab150077 Goat Anti-Rabbit IgG H&L (Alexa Fluor® 488)at 1/1000 dilution.

Heat mediated antigen retrieval using sodium citrate buffer (10mM citrate pH 6.0 + 0.05% Tween-20).

Immunohistochemistry (Formalin/PFA-fixed paraffin-embedded sections) - Anti-Oct6 antibody [EPR24057-94] (AB259952)
  • IHC-P

Supplier Data

Immunohistochemistry (Formalin/PFA-fixed paraffin-embedded sections) - Anti-Oct6 antibody [EPR24057-94] (AB259952)

Immunohistochemical analysis of paraffin-embedded Mouse cerebrum tissue labelling Oct6 with ab259952 at 1/2000 (0.261 ug/ml) dilution followed by a ready to use LeicaDS9800 (Bond™ Polymer Refine Detection). Nuclear staining on mouse cerebrum. The section was incubated with ab259952 for 30 mins at room temperature.The immunostaining was performed on a Leica Biosystems BOND® RX instrument Counterstained with Hematoxylin.

Secondary antibody only control : Secondary antibody is a ready to use LeicaDS9800 (Bond™ Polymer Refine Detection).

Heat mediated antigen retrieval with Tris-EDTA buffer (pH 9.0, epitope retrieval solution2) for 20 mins

Immunohistochemistry (Formalin/PFA-fixed paraffin-embedded sections) - Anti-Oct6 antibody [EPR24057-94] (AB259952)
  • IHC-P

Supplier Data

Immunohistochemistry (Formalin/PFA-fixed paraffin-embedded sections) - Anti-Oct6 antibody [EPR24057-94] (AB259952)

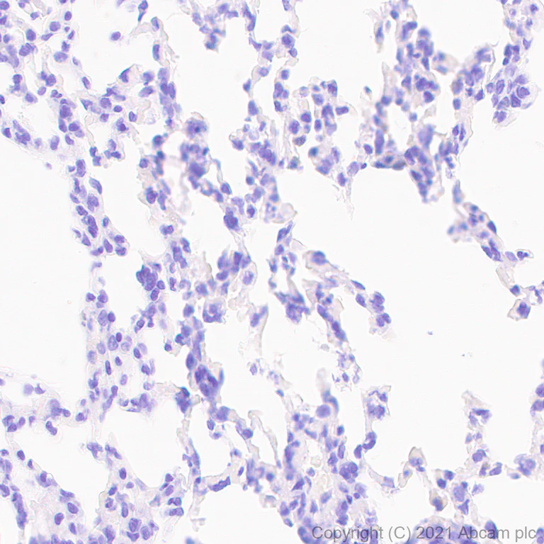
Immunohistochemical analysis of paraffin-embedded Rat lung tissue labelling Oct6 with ab259952 at 1/2000 (0.261 ug/ml) dilution followed by a ready to use LeicaDS9800 (Bond™ Polymer Refine Detection). Negative control : No staining in rat lung. The section was incubated with ab259952 for 30 mins at room temperature.The immunostaining was performed on a Leica Biosystems BOND® RX instrument Counterstained with Hematoxylin.

Secondary antibody only control : Secondary antibody is a ready to use LeicaDS9800 (Bond™ Polymer Refine Detection).

Heat mediated antigen retrieval with Tris-EDTA buffer (pH 9.0, epitope retrieval solution2) for 20 mins

Immunohistochemistry (Formalin/PFA-fixed paraffin-embedded sections) - Anti-Oct6 antibody [EPR24057-94] (AB259952)
  • IHC-P

Supplier Data

Immunohistochemistry (Formalin/PFA-fixed paraffin-embedded sections) - Anti-Oct6 antibody [EPR24057-94] (AB259952)

Immunohistochemical analysis of paraffin-embedded Rat skin tissue labelling Oct6 with ab259952 at 1/2000 (0.261 ug/ml) dilution followed by a ready to use LeicaDS9800 (Bond™ Polymer Refine Detection). Nuclear staining on epithelial cells of rat skin. The section was incubated with ab259952 for 30 mins at room temperature.The immunostaining was performed on a Leica Biosystems BOND® RX instrument Counterstained with Hematoxylin.

Secondary antibody only control : Secondary antibody is a ready to use LeicaDS9800 (Bond™ Polymer Refine Detection).

Heat mediated antigen retrieval with Tris-EDTA buffer (pH 9.0, epitope retrieval solution2) for 20 mins

Flow Cytometry (Intracellular) - Anti-Oct6 antibody [EPR24057-94] (AB259952)
  • Flow Cyt (Intra)

Supplier Data

Flow Cytometry (Intracellular) - Anti-Oct6 antibody [EPR24057-94] (AB259952)

Flow cytometric analysis of 4% paraformaldehyde fixed 90% methanol permeabilized Rat primary neuron cells cells labelling Oct6 with ab259952 at 1/50 dilution (1ug)/(Red) compared with a Rabbit monoclonal IgG (ab172730) (Black) isotype control. A Goat anti rabbit IgG (Alexa Fluor® 488, ab150077) at 1/2000 dilution was used as the secondary antibody.

Western blot - Anti-Oct6 antibody [EPR24057-94] (AB259952)
  • WB

Lab

Western blot - Anti-Oct6 antibody [EPR24057-94] (AB259952)

Blocking and diluting buffer and concentration : 5% NFDM/TBST

Negative control : lung (PMID : 1979677).

Exposure time : 3 minutes

All lanes:

Western blot - Anti-Oct6 antibody [EPR24057-94] (ab259952) at 1/1000 dilution

Lane 1:

Rat P0 brain tissue lysate at 20 µg

Lane 2:

Rat P7 hippocampus tissue lysate at 20 µg

Lane 3:

Rat lung tissue lysate at 20 µg

Lane 4:

Mouse P1 brain tissue lysate at 20 µg

Lane 5:

Mouse lung tissue lysate at 20 µg

Lane 6:

F9 (mouse embryonal carcinoma epithelial cell) whole cell lysate at 20 µg

Lane 7:

NCCIT (human pluripotent embryonic carcinoma epithelial cell) whole cell lysate at 20 µg

Secondary

All lanes:

Western blot - Goat Anti-Rabbit IgG H&L (HRP) (<a href='/en-us/products/secondary-antibodies/goat-rabbit-igg-h-l-hrp-ab97051'>ab97051</a>) at 1/50000 dilution

Predicted band size: 45 kDa

Observed band size: 48 kDa

false

  • Carrier free

    Anti-Oct6 antibody [EPR24057-94] - BSA and Azide free

Key facts

Host species

Rabbit

Clonality

Monoclonal

Clone number

EPR24057-94

Isotype

IgG

Carrier free

No

Reacts with

Mouse, Rat, Human

Applications

IHC-Fr, ICC/IF, Flow Cyt (Intra), WB, IHC-P

applications

Immunogen

The exact immunogen used to generate this antibody is proprietary information.

Reactivity data

{ "title": "Reactivity Data", "filters": { "stats": ["", "Species", "Dilution Info", "Notes"], "tabs": { "all-applications": {"fullname" : "All Applications", "shortname": "All Applications"}, "ICCIF" : {"fullname" : "Immunocytochemistry/ Immunofluorescence", "shortname":"ICC/IF"}, "IP" : {"fullname" : "Immunoprecipitation", "shortname":"IP"}, "FlowCytIntra" : {"fullname" : "Flow Cytometry (Intracellular)", "shortname":"Flow Cyt (Intra)"}, "WB" : {"fullname" : "Western blot", "shortname":"WB"}, "IHCFr" : {"fullname" : "Immunohistochemistry (Frozen sections)", "shortname":"IHC-Fr"}, "IHCP" : {"fullname" : "Immunohistochemistry (Formalin/PFA-fixed paraffin-embedded sections)", "shortname":"IHC-P"} }, "product-promise": { "all": "all", "testedAndGuaranteed": "tested", "guaranteed": "expected", "predicted": "predicted", "notRecommended": "not-recommended" } }, "values": { "Human": { "ICCIF-species-checked": "guaranteed", "ICCIF-species-dilution-info": "", "ICCIF-species-notes": "", "IP-species-checked": "notRecommended", "IP-species-dilution-info": "", "IP-species-notes": "<p></p>", "FlowCytIntra-species-checked": "guaranteed", "FlowCytIntra-species-dilution-info": "", "FlowCytIntra-species-notes": "", "WB-species-checked": "testedAndGuaranteed", "WB-species-dilution-info": "1/1000", "WB-species-notes": "<p></p>", "IHCFr-species-checked": "guaranteed", "IHCFr-species-dilution-info": "", "IHCFr-species-notes": "", "IHCP-species-checked": "testedAndGuaranteed", "IHCP-species-dilution-info": "1/2000", "IHCP-species-notes": "<p></p>" }, "Mouse": { "ICCIF-species-checked": "testedAndGuaranteed", "ICCIF-species-dilution-info": "1/50", "ICCIF-species-notes": "<p></p>", "IP-species-checked": "notRecommended", "IP-species-dilution-info": "", "IP-species-notes": "<p></p>", "FlowCytIntra-species-checked": "testedAndGuaranteed", "FlowCytIntra-species-dilution-info": "1/50", "FlowCytIntra-species-notes": "<p></p>", "WB-species-checked": "testedAndGuaranteed", "WB-species-dilution-info": "1/1000", "WB-species-notes": "<p></p>", "IHCFr-species-checked": "testedAndGuaranteed", "IHCFr-species-dilution-info": "1/100", "IHCFr-species-notes": "<p>Heat mediated antigen retrieval using sodium citrate buffer (10mM citrate pH 6.0 + 0.05% Tween-20)</p>", "IHCP-species-checked": "testedAndGuaranteed", "IHCP-species-dilution-info": "1/2000", "IHCP-species-notes": "<p></p>" }, "Rat": { "ICCIF-species-checked": "testedAndGuaranteed", "ICCIF-species-dilution-info": "1/50", "ICCIF-species-notes": "<p></p>", "IP-species-checked": "notRecommended", "IP-species-dilution-info": "", "IP-species-notes": "", "FlowCytIntra-species-checked": "testedAndGuaranteed", "FlowCytIntra-species-dilution-info": "1/50", "FlowCytIntra-species-notes": "<p></p>", "WB-species-checked": "testedAndGuaranteed", "WB-species-dilution-info": "1/1000", "WB-species-notes": "<p></p>", "IHCFr-species-checked": "testedAndGuaranteed", "IHCFr-species-dilution-info": "1/100", "IHCFr-species-notes": "<p>Heat mediated antigen retrieval using sodium citrate buffer (10mM citrate pH 6.0 + 0.05% Tween-20)</p>", "IHCP-species-checked": "testedAndGuaranteed", "IHCP-species-dilution-info": "1/2000", "IHCP-species-notes": "<p></p>" } } }

Product details

Patented technology
Our RabMAb® technology is a patented hybridoma-based technology for making rabbit monoclonal antibodies. For details on our patents, please refer to RabMAb® patents.

What are the advantages of a recombinant monoclonal antibody?
This product is a recombinant monoclonal antibody, which offers several advantages including:

  • - High batch-to-batch consistency and reproducibility
  • - Improved sensitivity and specificity
  • - Long-term security of supply
  • - Animal-free batch production

For more information, read more on recombinant antibodies.

Properties and storage information

Form
Liquid
Purification technique
Affinity purification Protein A
Storage buffer
pH: 7.2 - 7.4 Preservative: 0.01% Sodium azide Constituents: PBS, 40% Glycerol (glycerin, glycerine), 0.05% BSA
Shipped at conditions
Blue Ice
Appropriate short-term storage duration
1-2 weeks
Appropriate short-term storage conditions
+4°C
Appropriate long-term storage conditions
-20°C
Aliquoting information
Upon delivery aliquot
Storage information
Avoid freeze / thaw cycle

Supplementary information

This supplementary information is collated from multiple sources and compiled automatically.

Oct6 also known as Pou3f1 is a transcription factor with a molecular mass of approximately 45 kDa. It functions as a DNA-binding protein that influences gene expression during development. Oct6 belongs to the POU domain transcription factor family which plays a significant role in regulating specific genes across different cellular contexts. This protein is expressed mainly in the nervous system specifically in oligodendrocytes Schwann cells and some sensory organs reflecting its involvement in neural development.
Biological function summary

Oct6 regulates important developmental processes by controlling the timing and progression of myelination in the peripheral nervous system. It is a part of a multi-protein complex that includes other transcription factors necessary for glial cell differentiation. Oct6 acts by promoting the expression of genes essential for the development and function of the myelin sheath thereby maintaining proper nerve conduction and insulation.

Pathways

Oct6 interacts within the myelination process specifically the Sonic Hedgehog signaling and WNT pathways. These pathways govern the regulation of cell growth and differentiation important for neural development. Oct6 also shows interaction with other proteins like Sox10 a fellow transcription factor important for Schwann cell development enhancing its regulatory influence in neurogenesis.

Oct6 links to conditions such as Charcot-Marie-Tooth disease and Dejerine-Sottas syndrome both affecting peripheral nerves. These disorders often result from malfunction in myelination processes which Oct6 directly influences. The protein collaborates with Sox10 and EGR2 another transcription factor vital in myelination thereby implicating it in neuropathic disease mechanisms. Understanding these interactions may help develop therapeutic strategies for demyelinating diseases.

Product protocols

For this product, it's our understanding that no specific protocols are required. You can visit:

Target data

Transcription factor that binds to the octamer motif (5'-ATTTGCAT-3') (By similarity). Acts as a transcriptional activator when binding cooperatively with SOX4, SOX11, or SOX12 to gene promoters (By similarity). Acts as a transcriptional repressor of myelin-specific genes (By similarity).
See full target information POU3F1

Publications (1)

Recent publications for all applications. Explore the full list and refine your search

The Journal of biological chemistry 300:107958 PubMed39510176

2024

STAG2 promotes naive-primed transition via activating Lin28a transcription in mouse embryonic stem cells.

Applications

Unspecified application

Species

Unspecified reactive species

Bo Chen,Mingkang Jia,Gan Zhao,Yumin Liu,Yihong Song,Mengjie Sun,Wangfei Chi,Xiangyang Wang,Qing Jiang,Guangwei Xin,Chuanmao Zhang
View all publications

Product promise

We are committed to supporting your work with high-quality reagents, and we're here for you every step of the way. In the unlikely event that one of our products does not perform as expected, you're protected by our Product Promise.
For full details, please see our Terms & Conditions

Please note: All products are 'FOR RESEARCH USE ONLY. NOT FOR USE IN DIAGNOSTIC OR THERAPEUTIC PROCEDURES'.

For licensing inquiries, please contact partnerships@abcam.com