JavaScript is disabled in your browser. Please enable JavaScript to view this website.
AB188964

Anti-OGR1 antibody - Cytoplasmic domain

Be the first to review this product! Submit a review

|

(3 Publications)

Rabbit Polyclonal OGR1 antibody. Cytoplasmic domain. Suitable for IHC-P and reacts with Human samples. Cited in 3 publications. Immunogen corresponding to Synthetic Peptide within Human GPR68.

View Alternative Names

OGR1, GPR68, Ovarian cancer G-protein coupled receptor 1, OGR-1, G-protein coupled receptor 68, GPR12A, Sphingosylphosphorylcholine receptor

1 Images
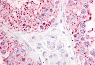
Immunohistochemistry (Formalin/PFA-fixed paraffin-embedded sections) - Anti-OGR1 antibody - Cytoplasmic domain (AB188964)
  • IHC-P

Supplier Data

Immunohistochemistry (Formalin/PFA-fixed paraffin-embedded sections) - Anti-OGR1 antibody - Cytoplasmic domain (AB188964)

Immunohistochemistry of formalin-fixed, paraffin-embedded Human testis tissue labelling OGR1 with ab188964 at 20 μg/ml.

Key facts

Host species

Rabbit

Clonality

Polyclonal

Isotype

IgG

Carrier free

No

Reacts with

Human

Applications

IHC-P

applications

Immunogen

Synthetic Peptide within Human GPR68. The exact immunogen used to generate this antibody is proprietary information.

Q15743

Specificity

BLAST analysis of the peptide immunogen showed no homology with other Human proteins.

Reactivity data

{ "title": "Reactivity Data", "filters": { "stats": ["", "Species", "Dilution Info", "Notes"], "tabs": { "all-applications": {"fullname" : "All Applications", "shortname": "All Applications"}, "IHCP" : {"fullname" : "Immunohistochemistry (Formalin/PFA-fixed paraffin-embedded sections)", "shortname":"IHC-P"} }, "product-promise": { "all": "all", "testedAndGuaranteed": "tested", "guaranteed": "expected", "predicted": "predicted", "notRecommended": "not-recommended" } }, "values": { "Human": { "IHCP-species-checked": "testedAndGuaranteed", "IHCP-species-dilution-info": "20 µg/mL", "IHCP-species-notes": "<p></p> Perform heat-mediated antigen retrieval before commencing with IHC staining protocol." }, "Mouse": { "IHCP-species-checked": "predicted", "IHCP-species-dilution-info": "", "IHCP-species-notes": "" }, "Rat": { "IHCP-species-checked": "predicted", "IHCP-species-dilution-info": "", "IHCP-species-notes": "" }, "Common marmoset": { "IHCP-species-checked": "predicted", "IHCP-species-dilution-info": "", "IHCP-species-notes": "" }, "Cow": { "IHCP-species-checked": "predicted", "IHCP-species-dilution-info": "", "IHCP-species-notes": "" }, "Dog": { "IHCP-species-checked": "predicted", "IHCP-species-dilution-info": "", "IHCP-species-notes": "" }, "Gorilla": { "IHCP-species-checked": "predicted", "IHCP-species-dilution-info": "", "IHCP-species-notes": "" }, "Hamster": { "IHCP-species-checked": "predicted", "IHCP-species-dilution-info": "", "IHCP-species-notes": "" }, "Horse": { "IHCP-species-checked": "predicted", "IHCP-species-dilution-info": "", "IHCP-species-notes": "" }, "Monkey": { "IHCP-species-checked": "predicted", "IHCP-species-dilution-info": "", "IHCP-species-notes": "" }, "Pig": { "IHCP-species-checked": "predicted", "IHCP-species-dilution-info": "", "IHCP-species-notes": "" }, "Rabbit": { "IHCP-species-checked": "predicted", "IHCP-species-dilution-info": "", "IHCP-species-notes": "" } } }

Properties and storage information

Form
Liquid
Purification technique
Affinity purification Immunogen
Storage buffer
pH: 7.4 Preservative: 0.1% Sodium azide Constituents: 99% PBS
Shipped at conditions
Blue Ice
Appropriate short-term storage duration
1-2 weeks
Appropriate short-term storage conditions
+4°C
Appropriate long-term storage conditions
-20°C
Aliquoting information
Upon delivery aliquot
Storage information
Avoid freeze / thaw cycle

Supplementary information

This supplementary information is collated from multiple sources and compiled automatically.

OGR1 also known as Ovarian Cancer G-Protein Coupled Receptor 1 is a proton-sensing G-protein coupled receptor. It has a molecular mass of approximately 41 kDa. This receptor mainly locates in tissues such as the brain heart kidney and lung. OGR1 functions by sensing extracellular changes in pH effectively detecting slight acidic conditions which then triggers intracellular signaling pathways relevant to its environment.
Biological function summary

OGR1 modulates various cellular processes through its ability to act as a proton sensor. It participates in the regulation of immune responses bone homeostasis and vascular functions. Being part of the G-protein coupled receptor (GPCR) family it interacts with a variety of intracellular effectors mediating diverse physiological functions. In addition to its role in cellular pH response OGR1 is involved in tissue-specific processes showing its importance in maintaining cellular equilibrium.

Pathways

OGR1 plays an essential role in proton-sensing pathways that activate G-protein signaling. It is notably involved in the acid-sensing pathway contributing to the regulation of immune and inflammatory responses. OGR1 interacts with related proteins such as Gαq and Gαi which are part of the G-protein complex that influences intracellular calcium levels and other second messenger systems therefore impacting cell signaling cascades.

OGR1 has a significant association with conditions like osteoporosis and cancer specifically ovarian cancer. This receptor's role in bone metabolism links it to diseases marked by bone density loss. Additionally OGR1's expression in various cancer types including ovarian cancer suggests its involvement in tumorigenesis and metastasis processes. The receptor’s connection to pathways involving proteins such as FAK and ERK highlights its relevance in cancer biology marking it as a potential target for therapeutic intervention.

Product protocols

For this product, it's our understanding that no specific protocols are required. You can visit:

Target data

Proton-sensing receptor involved in pH homeostasis. May represents an osteoblastic pH sensor regulating cell-mediated responses to acidosis in bone. Mediates its action by association with G proteins that stimulates inositol phosphate (IP) production or Ca(2+) mobilization. The receptor is almost silent at pH 7.8 but fully activated at pH 6.8. Also functions as a metastasis suppressor gene in prostate cancer (By similarity).
See full target information GPR68

Publications (3)

Recent publications for all applications. Explore the full list and refine your search

Journal of clinical medicine 12: PubMed36902589

2023

Expression of pH-Sensitive GPCRs in Peritoneal Carcinomatosis of Colorectal Cancer-First Results.

Applications

Unspecified application

Species

Unspecified reactive species

Philipp von Breitenbuch,Bernadett Kurz,Susanne Wallner,Florian Zeman,Christoph Brochhausen,Hans-Jürgen Schlitt,Stephan Schreml

Scientific reports 10:15327 PubMed32948783

2020

Expression profiles of proton-sensing G-protein coupled receptors in common skin tumors.

Applications

Unspecified application

Species

Unspecified reactive species

Wybke Klatt,Susanne Wallner,Christoph Brochhausen,Judith A Stolwijk,Stephan Schreml

Experimental dermatology 28:66-71 PubMed30339292

2018

Expression of proton-sensing G-protein-coupled receptors in selected skin tumors.

Applications

Unspecified application

Species

Unspecified reactive species

Anaïs Nassios,Susanne Wallner,Sebastian Haferkamp,Christoph Klingelhöffer,Christoph Brochhausen,Stephan Schreml
View all publications

Product promise

We are committed to supporting your work with high-quality reagents, and we're here for you every step of the way. In the unlikely event that one of our products does not perform as expected, you're protected by our Product Promise.
For full details, please see our Terms & Conditions

Associated Products

Select an associated product type
Alternative Product
Primary Antibodies

AB61420

Anti-OGR1 antibody

primary-antibodies

ogr1-antibody-ab61420

4

(1 reviews)

Please note: All products are 'FOR RESEARCH USE ONLY. NOT FOR USE IN DIAGNOSTIC OR THERAPEUTIC PROCEDURES'.

For licensing inquiries, please contact partnerships@abcam.com