JavaScript is disabled in your browser. Please enable JavaScript to view this website.
AB177941

Anti-OGT / O-Linked N-Acetylglucosamine Transferase antibody [EPR12713]

  • BOND RX™ Validated
  • RabMAb
  • Recombinant
  • 20ul selling size
  • What is this?

5

(3 Reviews)

|

(40 Publications)

Anti-OGT / O-Linked N-Acetylglucosamine Transferase antibody [EPR12713] (ab177941) is a rabbit monoclonal antibody detecting OGT / O-Linked N-Acetylglucosamine Transferase in Western Blot, Flow Cytometry, IHC-P, ICC/IF. Suitable for Human, Mouse, Rat.

- Biophysical QC for unrivalled batch-batch consistency
- Over 20 publications

View Alternative Names

UDP-N-acetylglucosamine--peptide N-acetylglucosaminyltransferase 110 kDa subunit, O-GlcNAc transferase subunit p110, O-linked N-acetylglucosamine transferase 110 kDa subunit, OGT

5 Images
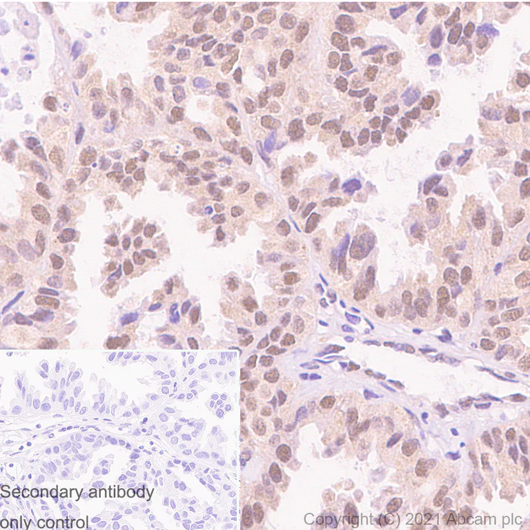
Immunohistochemistry (Formalin/PFA-fixed paraffin-embedded sections) - Anti-OGT / O-Linked N-Acetylglucosamine Transferase antibody [EPR12713] (AB177941)
  • IHC-P

Lab

Immunohistochemistry (Formalin/PFA-fixed paraffin-embedded sections) - Anti-OGT / O-Linked N-Acetylglucosamine Transferase antibody [EPR12713] (AB177941)

Immunohistochemical analysis of Paraffin-embedded sections human breast carcinoma tissue labelling OGT / O-Linked N-Acetylglucosamine Transferase with ab177941 at 1 : 2000 dilution (0.2 μg/ml), followed by a ready to use secondary Rabbit specific IHC polymer detection kit HRP/DAB (ab209101). Staining on human breast carcinoma tissue is observed. Counter stained with Haematoxylin. Secondary antibody only control : Used PBS instead of primary antibody, secondary antibody is ready to use Rabbit specific IHC polymer detection kit HRP/DAB (ab209101). Heat mediated antigen retrieval using Bond™ Epitope Retrieval Solution 2 (pH 9.0). The immunostaining was performed on a Leica Biosystems BOND® RX instrument.

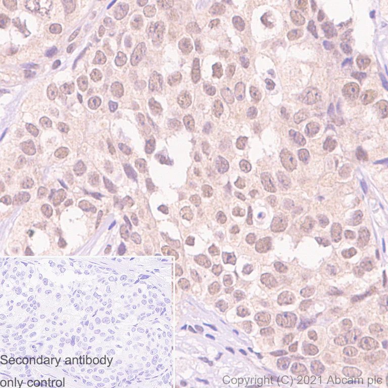
Immunohistochemistry (Formalin/PFA-fixed paraffin-embedded sections) - Anti-OGT / O-Linked N-Acetylglucosamine Transferase antibody [EPR12713] (AB177941)
  • IHC-P

Lab

Immunohistochemistry (Formalin/PFA-fixed paraffin-embedded sections) - Anti-OGT / O-Linked N-Acetylglucosamine Transferase antibody [EPR12713] (AB177941)

Immunohistochemical analysis of Paraffin-embedded sections human lung carcinoma tissue labelling OGT / O-Linked N-Acetylglucosamine Transferase with ab177941 at 1 : 2000 dilution (0.2 μg/ml), followed by a ready to use secondary Rabbit specific IHC polymer detection kit HRP/DAB (ab209101). Staining on human lung carcinoma tissue is observed. Counter stained with Haematoxylin. Secondary antibody only control : Used PBS instead of primary antibody, secondary antibody is ready to use Rabbit specific IHC polymer detection kit HRP/DAB (ab209101). Heat mediated antigen retrieval using Bond™ Epitope Retrieval Solution 2 (pH 9.0). The immunostaining was performed on a Leica Biosystems BOND® RX instrument.

Flow Cytometry (Intracellular) - Anti-OGT / O-Linked N-Acetylglucosamine Transferase antibody [EPR12713] (AB177941)
  • Flow Cyt (Intra)

Lab

Flow Cytometry (Intracellular) - Anti-OGT / O-Linked N-Acetylglucosamine Transferase antibody [EPR12713] (AB177941)

Intracellular Flow Cytometry analysis of K-562 (Human chronic myelogenous leukemia lymphoblast) cells labeling OGT / O-Linked N-Acetylglucosamine Transferase with purified ab177941 at 1 : 40 dilution (10 μg/ml) (Red). Cells were fixed with 4% Paraformaldehyde and permeabilised with 90% Methanol. A Goat anti rabbit IgG (Alexa Fluor® 488, ab150081) (1/2000 dilution) was used as the secondary antibody. Rabbit monoclonal IgG (Black) was used as a isotype control. Cell without incubation with primary antibody and secondary antibody (Blue) were used as unlabeled control.

Immunocytochemistry/ Immunofluorescence - Anti-OGT / O-Linked N-Acetylglucosamine Transferase antibody [EPR12713] (AB177941)
  • ICC/IF

Lab

Immunocytochemistry/ Immunofluorescence - Anti-OGT / O-Linked N-Acetylglucosamine Transferase antibody [EPR12713] (AB177941)

Immunocytochemistry/ Immunofluorescence analysis of A549 (Human lung carcinoma epithelial cell) cells labeling OGT / O-Linked N-Acetylglucosamine Transferase using ab177941. The cells were fixed with 4% paraformaldehyde then permeabilized with 0.1% Triton X-100. The cells were then incubated with ab177941 at 1 : 100 dilution followed by a further incubation with a Goat anti rabbit IgG (Alexa Fluor® 488, ab150077) at 2 μg/ml (shown in green). Nuclear DNA was labelled in blue with DAPI. Cells were counterstained using ab195889 Anti-alpha Tubulin antibody [DM1A] - Microtubule Marker (Alexa Fluor® 594) at 1 : 200 dilution (shown in red). Secondary antibody only control : PBS instead of the primary antibody.

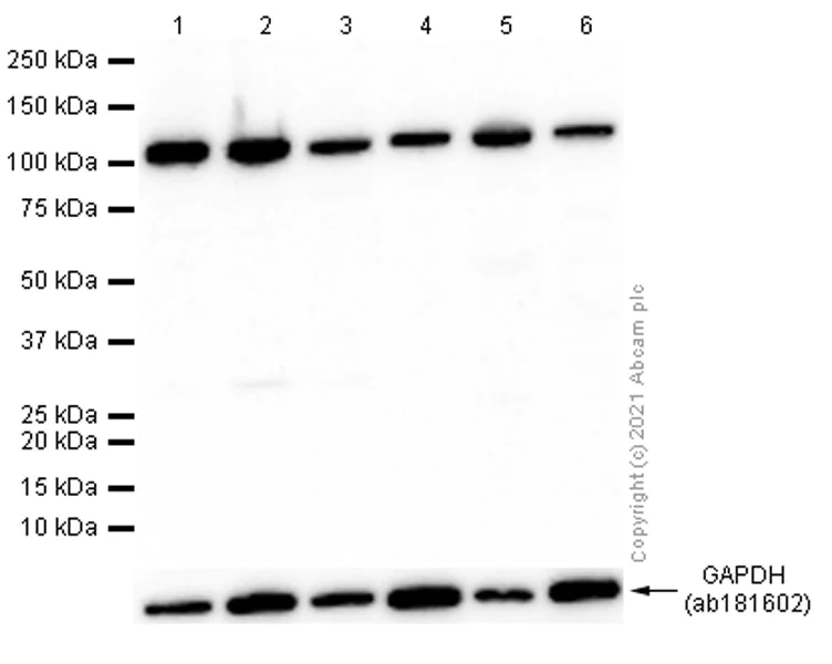
Western blot - Anti-OGT / O-Linked N-Acetylglucosamine Transferase antibody [EPR12713] (AB177941)
  • WB

Lab

Western blot - Anti-OGT / O-Linked N-Acetylglucosamine Transferase antibody [EPR12713] (AB177941)

Blocking and diluting buffer and concentration : 5% NFDM/TBST. ab181602 was used as GAPDH loading control.

All lanes:

Western blot - Anti-OGT / O-Linked N-Acetylglucosamine Transferase antibody [EPR12713] (ab177941) at 1/10000 dilution

Lane 1:

A549 (Human lung carcinoma epithelial cell) whole cell lysate at 20 µg

Lane 2:

HeLa (Human cervix adenocarcinoma epithelial cell) whole cell lysate at 20 µg

Lane 3:

293T (Human embryonic kidney epithelial cell) whole cell lysate at 20 µg

Lane 4:

Mouse heart at 20 µg

Lane 5:

Mouse pancreas at 20 µg

Lane 6:

Rat heart at 20 µg

Secondary

All lanes:

Western blot - Goat Anti-Rabbit IgG H&L (HRP) (<a href='/en-us/products/secondary-antibodies/goat-rabbit-igg-h-l-hrp-ab97051'>ab97051</a>) at 1/20000 dilution

Predicted band size: 116 kDa

Observed band size: 110 kDa

false

  • 665 Alexa Fluor® 647

    Alexa Fluor® 647 Anti-OGT / O-Linked N-Acetylglucosamine Transferase antibody [EPR12713]

  • 565 Alexa Fluor® 555

    Alexa Fluor® 555 Anti-OGT / O-Linked N-Acetylglucosamine Transferase antibody [EPR12713]

  • Carrier free

    Anti-OGT / O-Linked N-Acetylglucosamine Transferase antibody [EPR12713] - BSA and Azide free

  • 578 PE

    PE Anti-OGT / O-Linked N-Acetylglucosamine Transferase antibody [EPR12713]

  • 660 APC

    APC Anti-OGT / O-Linked N-Acetylglucosamine Transferase antibody [EPR12713]

  • 617 Alexa Fluor® 594

    Alexa Fluor® 594 Anti-OGT / O-Linked N-Acetylglucosamine Transferase antibody [EPR12713]

  • 519 Alexa Fluor® 488

    Alexa Fluor® 488 Anti-OGT / O-Linked N-Acetylglucosamine Transferase antibody [EPR12713]

  • 603 Alexa Fluor® 568

    Alexa Fluor® 568 Anti-OGT / O-Linked N-Acetylglucosamine Transferase antibody [EPR12713]

  • HRP

    HRP Anti-OGT / O-Linked N-Acetylglucosamine Transferase antibody [EPR12713]

  • 775 Alexa Fluor® 750

    Alexa Fluor® 750 Anti-OGT / O-Linked N-Acetylglucosamine Transferase antibody [EPR12713]

Key facts

Host species

Rabbit

Clonality

Monoclonal

Clone number

EPR12713

Isotype

IgG

Carrier free

No

Reacts with

Mouse, Rat, Human

Applications

ICC/IF, WB, IHC-P, Flow Cyt (Intra)

applications

Immunogen

The exact immunogen used to generate this antibody is proprietary information.

Specificity

The mouse and rat recommendation is based on the WB results. We do not guarantee IHC-P for mouse and rat.

Reactivity data

{ "title": "Reactivity Data", "filters": { "stats": ["", "Species", "Dilution Info", "Notes"], "tabs": { "all-applications": {"fullname" : "All Applications", "shortname": "All Applications"}, "IHCP" : {"fullname" : "Immunohistochemistry (Formalin/PFA-fixed paraffin-embedded sections)", "shortname":"IHC-P"}, "IP" : {"fullname" : "Immunoprecipitation", "shortname":"IP"}, "WB" : {"fullname" : "Western blot", "shortname":"WB"}, "ICCIF" : {"fullname" : "Immunocytochemistry/ Immunofluorescence", "shortname":"ICC/IF"}, "FlowCytIntra" : {"fullname" : "Flow Cytometry (Intracellular)", "shortname":"Flow Cyt (Intra)"} }, "product-promise": { "all": "all", "testedAndGuaranteed": "tested", "guaranteed": "expected", "predicted": "predicted", "notRecommended": "not-recommended" } }, "values": { "Human": { "IHCP-species-checked": "testedAndGuaranteed", "IHCP-species-dilution-info": "1/50 - 1/100", "IHCP-species-notes": "<p>The mouse and rat recommendation is based on the WB results. We do not guarantee IHC-P for mouse and rat.</p> Perform heat-mediated antigen retrieval before commencing with IHC staining protocol.", "IP-species-checked": "notRecommended", "IP-species-dilution-info": "", "IP-species-notes": "<p></p>", "WB-species-checked": "testedAndGuaranteed", "WB-species-dilution-info": "1/1000 - 1/5000", "WB-species-notes": "<p></p>", "ICCIF-species-checked": "testedAndGuaranteed", "ICCIF-species-dilution-info": "1/50 - 1/100", "ICCIF-species-notes": "<p></p>", "FlowCytIntra-species-checked": "testedAndGuaranteed", "FlowCytIntra-species-dilution-info": "1/10 - 1/100", "FlowCytIntra-species-notes": "<p><a href='/en-us/products/primary-antibodies/rabbit-igg-monoclonal-epr25a-isotype-control-ab172730'>ab172730</a> - Rabbit monoclonal IgG, is suitable for use as an isotype control with this antibody.</p>" }, "Mouse": { "IHCP-species-checked": "guaranteed", "IHCP-species-dilution-info": "", "IHCP-species-notes": "", "IP-species-checked": "notRecommended", "IP-species-dilution-info": "", "IP-species-notes": "", "WB-species-checked": "testedAndGuaranteed", "WB-species-dilution-info": "1/1000 - 1/5000", "WB-species-notes": "<p></p>", "ICCIF-species-checked": "guaranteed", "ICCIF-species-dilution-info": "", "ICCIF-species-notes": "", "FlowCytIntra-species-checked": "guaranteed", "FlowCytIntra-species-dilution-info": "", "FlowCytIntra-species-notes": "" }, "Rat": { "IHCP-species-checked": "guaranteed", "IHCP-species-dilution-info": "", "IHCP-species-notes": "", "IP-species-checked": "notRecommended", "IP-species-dilution-info": "", "IP-species-notes": "", "WB-species-checked": "testedAndGuaranteed", "WB-species-dilution-info": "1/1000 - 1/5000", "WB-species-notes": "<p></p>", "ICCIF-species-checked": "guaranteed", "ICCIF-species-dilution-info": "", "ICCIF-species-notes": "", "FlowCytIntra-species-checked": "guaranteed", "FlowCytIntra-species-dilution-info": "", "FlowCytIntra-species-notes": "" } } }

Product details

What is this antibody validated in?
Anti-OGT / O-Linked N-Acetylglucosamine Transferase antibody [EPR12713] (ab177941) is a rabbit recombinant monoclonal antibody and is validated for use in Western Blot (WB), Flow Cytometry (Intra), Flow Cytometry (Flow Cyt), Immunohistochemistry (IHC-P), Immunocytochemistry/immunofluorescence (ICC/IF) in Human, Mouse, Rat samples.

What is the molecular weight of OGT / O-Linked N-Acetylglucosamine Transferase?
Anti-OGT / O-Linked N-Acetylglucosamine Transferase [EPR12713] (ab177941) specifically detects a band for OGT / O-Linked N-Acetylglucosamine Transferase (UniProt: O15294) at a molecular weight of 116kDa.

Trusted by the scientific community
Anti-OGT / O-Linked N-Acetylglucosamine Transferase [EPR12713] (ab177941) was first used in a scientific publication in 2013 and has been cited over 20 times in peer-reviewed journals.

Trial sizes available!
Test your antibody or perform pre-screening before committing to a larger quantity. Sold in 10µl. Discover our selection of trial-size antibodies.

Other related products
We have a range of other formats of antibody clone [EPR12713] also available for your convenience: ab177941, Alexa Fluor® 647 - ab198532, Alexa Fluor® 555 - ab215809, Carrier free - ab236014, PE - ab305958, APC - ab305959, HRP - ab305960, Alkaline Phosphatase - ab308846, Alexa Fluor® 488 - ab309777, Alexa Fluor® 594 - ab310575, Alexa Fluor® 568 - ab312586, Alexa Fluor® 750 - ab321209

Patented technology
Our RabMAb® technology is a patented hybridoma-based technology for making rabbit monoclonal antibodies. For details on our patents, please refer to RabMAb® patents.

What are the advantages of a recombinant monoclonal antibody?
This product is a recombinant monoclonal antibody, which offers several advantages including:

  • - High batch-to-batch consistency and reproducibility
  • - Improved sensitivity and specificity
  • - Long-term security of supply
  • - Animal-free batch production

For more information, read more on recombinant antibodies.

Properties and storage information

Form
Liquid
Purification technique
Affinity purification Protein A
Storage buffer
pH: 7.2 - 7.4 Preservative: 0.01% Sodium azide Constituents: PBS, 40% Glycerol (glycerin, glycerine), 0.05% BSA
Shipped at conditions
Blue Ice
Appropriate short-term storage duration
1-2 weeks
Appropriate short-term storage conditions
+4°C
Appropriate long-term storage conditions
-20°C
Aliquoting information
Upon delivery aliquot
Storage information
Avoid freeze / thaw cycle

Supplementary information

This supplementary information is collated from multiple sources and compiled automatically.

OGT or O-Linked N-Acetylglucosamine Transferase also known as OGT protein mechanically catalyzes the addition of N-acetylglucosamine (O-GlcNAc) onto serine or threonine residues of nuclear and cytoplasmic proteins. OGT has a molecular weight of approximately 110 kDa. It is expressed in various tissues with higher levels in the pancreas brain and spleen. This enzyme plays an important role in cellular processes by modifying proteins with O-GlcNAc.
Biological function summary

Through its transferase activity OGT regulates a wide array of cellular functions including signal transduction transcription and metabolism. It is a component of a complex involving several other proteins that facilitate its regulatory actions. OGT manages protein function and stability by influencing interactions between proteins and other cellular components.

Pathways

OGT is critical in the insulin signaling pathway and the regulation of glucose metabolism. It interacts with multiple proteins such as IRS-1 and Akt to modulate their activity and stability. The modification by OGT impacts protein phosphorylation states affecting the downstream processing of cellular signals.

OGT has a significant link to diabetes and neurodegenerative diseases like Alzheimer's. Abnormal OGT activity relates to insulin resistance contributing to diabetes pathogenesis. In Alzheimer's disease altered O-GlcNAcylation affects proteins like tau which play a central role in disease progression. Understanding OGT's role in these conditions could aid in developing targeted therapeutic strategies.

Product protocols

For this product, it's our understanding that no specific protocols are required. You can visit:

Target data

Catalyzes the transfer of a single N-acetylglucosamine from UDP-GlcNAc to a serine or threonine residue in cytoplasmic and nuclear proteins resulting in their modification with a beta-linked N-acetylglucosamine (O-GlcNAc) (PubMed : 12150998, PubMed : 15361863, PubMed : 19451179, PubMed : 20018868, PubMed : 21240259, PubMed : 21285374, PubMed : 23103939, PubMed : 26237509, PubMed : 26369908, PubMed : 26678539, PubMed : 27713473, PubMed : 37541260, PubMed : 37962578). Glycosylates a large and diverse number of proteins including histone H2B, AKT1, AMPK, ATG4B, CAPRIN1, EZH2, FNIP1, GSDMD, KRT7, LMNA, LMNB1, LMNB2, RPTOR, HOXA1, PFKL, KMT2E/MLL5, MAPT/TAU, TET2, RBL2, RET, NOD2 and HCFC1 (PubMed : 19451179, PubMed : 20200153, PubMed : 21285374, PubMed : 22923583, PubMed : 23353889, PubMed : 24474760, PubMed : 26237509, PubMed : 26369908, PubMed : 26678539, PubMed : 27527864, PubMed : 30699359, PubMed : 34074792, PubMed : 34667079, PubMed : 37541260, PubMed : 37962578). Can regulate their cellular processes via cross-talk between glycosylation and phosphorylation or by affecting proteolytic processing (PubMed : 21285374). Involved in insulin resistance in muscle and adipocyte cells via glycosylating insulin signaling components and inhibiting the 'Thr-308' phosphorylation of AKT1, enhancing IRS1 phosphorylation and attenuating insulin signaling (By similarity). Involved in glycolysis regulation by mediating glycosylation of 6-phosphofructokinase PFKL, inhibiting its activity (PubMed : 22923583). Plays a key role in chromatin structure by mediating O-GlcNAcylation of 'Ser-112' of histone H2B : recruited to CpG-rich transcription start sites of active genes via its interaction with TET proteins (TET1, TET2 or TET3) (PubMed : 22121020, PubMed : 23353889). As part of the NSL complex indirectly involved in acetylation of nucleosomal histone H4 on several lysine residues (PubMed : 20018852). O-GlcNAcylation of 'Ser-75' of EZH2 increases its stability, and facilitating the formation of H3K27me3 by the PRC2/EED-EZH2 complex (PubMed : 24474760). Stabilizes KMT2E/MLL5 by mediating its glycosylation, thereby preventing KMT2E/MLL5 ubiquitination (PubMed : 26678539). Regulates circadian oscillation of the clock genes and glucose homeostasis in the liver (By similarity). Stabilizes clock proteins BMAL1 and CLOCK through O-glycosylation, which prevents their ubiquitination and subsequent degradation (By similarity). Promotes the CLOCK-BMAL1-mediated transcription of genes in the negative loop of the circadian clock such as PER1/2 and CRY1/2. O-glycosylates HCFC1 and regulates its proteolytic processing and transcriptional activity (PubMed : 21285374, PubMed : 28302723, PubMed : 28584052). Component of a THAP1/THAP3-HCFC1-OGT complex that is required for the regulation of the transcriptional activity of RRM1 (PubMed : 20200153). Regulates mitochondrial motility in neurons by mediating glycosylation of TRAK1 (By similarity). Promotes autophagy by mediating O-glycosylation of ATG4B (PubMed : 27527864). Acts as a regulator of mTORC1 signaling by mediating O-glycosylation of RPTOR and FNIP1 : O-GlcNAcylation of RPTOR in response to glucose sufficiency promotes activation of the mTORC1 complex (PubMed : 30699359, PubMed : 37541260).. Isoform 2. The mitochondrial isoform (mOGT) is cytotoxic and triggers apoptosis in several cell types including INS1, an insulinoma cell line.. Isoform 4. Has N-acetylglucosaminyltransferase activity : glycosylates proteins, such as HNRNPU, NEUROD1, NUP62 and PDCD6IP (PubMed : 31527085). Displays specific substrate selectivity compared to other isoforms (PubMed : 31527085).
See full target information OGT

Publications (40)

Recent publications for all applications. Explore the full list and refine your search

Cell death and differentiation : PubMed41053177

2025

O-GlcNAcylation of UGDH regulates its activity and remodels the extracellular matrix to facilitate tumor growth.

Applications

Unspecified application

Species

Unspecified reactive species

Bingyi Lin,Junjie Zhou,Didi Geng,Siyuan Chai,Xuanming Zhang,Zengle Zhang,Jiating Hu,Qin Tang,Xiaoming Chen,Wen Yi,Liming Wu

Scientific reports 15:33776 PubMed41028781

2025

OGT-mediated O-GlcNAc of FOXO1 promotes the progression of neonatal heart failure via regulating pyroptosis.

Applications

Unspecified application

Species

Unspecified reactive species

Juan Wu,Zhiliang Xu,Xiaoou Li,Bing He,Qingyan Zhao

Open medicine (Warsaw, Poland) 20:20251274 PubMed40989161

2025

Petunidin attenuates lipopolysaccharide-induced retinal microglia inflammatory response in diabetic retinopathy by targeting OGT/NF-κB/LCN2 axis.

Applications

Unspecified application

Species

Unspecified reactive species

Mengxi Yu

Proceedings of the National Academy of Sciences of the United States of America 122:e2410520122 PubMed40203037

2025

Perturbing nuclear glycosylation in the mouse preimplantation embryo slows down embryonic development.

Applications

Unspecified application

Species

Unspecified reactive species

Sara Formichetti,Joana B Serrano,Urvashi Chitnavis,Agnieszka Sadowska,Na Liu,Ana Boskovic,Matthieu Boulard

International journal of molecular sciences 26: PubMed40141354

2025

O-GlcNAcylation in Gli1 Mesenchymal Stem Cells Is Indispensable for Bone Formation and Fracture Healing.

Applications

Unspecified application

Species

Unspecified reactive species

Moyu Liu,Yujie Hu,Chengjia You,Ding Xiong,Ling Ye,Yu Shi

World journal of diabetes 16:95092 PubMed40093279

2025

O-linked β-N-acetylglucosamine transferase regulates macrophage polarization in diabetic periodontitis: and study.

Applications

Unspecified application

Species

Unspecified reactive species

Ye-Ke Wu,Min Liu,Hong-Ling Zhou,Xiang He,Jing Wei,Wei-Han Hua,Hui-Jing Li,Qiang-Hua Yuan,Yun-Fei Xie

PLoS genetics 21:e1011507 PubMed39787076

2025

Genetic gradual reduction of OGT activity unveils the essential role of O-GlcNAc in the mouse embryo.

Applications

Unspecified application

Species

Unspecified reactive species

Sara Formichetti,Agnieszka Sadowska,Michela Ascolani,Julia Hansen,Kerstin Ganter,Christophe Lancrin,Neil Humphreys,Mathieu Boulard

EMBO reports 25:4465-4487 PubMed39256595

2024

O-GlcNAcylation mediates Wnt-stimulated bone formation by rewiring aerobic glycolysis.

Applications

Unspecified application

Species

Unspecified reactive species

Chengjia You,Fangyuan Shen,Puying Yang,Jingyao Cui,Qiaoyue Ren,Moyu Liu,Yujie Hu,Boer Li,Ling Ye,Yu Shi

Pituitary 27:577-589 PubMed39066842

2024

The diverging role of O-GlcNAc transferase in corticotroph and somatotroph adenomas.

Applications

Unspecified application

Species

Unspecified reactive species

Roel Gonzalez,Logan Massman,Sophia Ho,Sarai Luna,Stephanie Cheok,Brandon Liang,Kelly Mrachek,Dylan Coss,Adriana G Ioachimescu,Nathan Zwagerman,Stephanie Olivier-Van Stichelen

ACS central science 10:1065-1083 PubMed38799671

2024

-GlcNAcylation Facilitates the Interaction between Keratin 18 and Isocitrate Dehydrogenases and Potentially Influencing Cholangiocarcinoma Progression.

Applications

Unspecified application

Species

Unspecified reactive species

Xiangfeng Meng,Yue Zhou,Lei Xu,Limu Hu,Changjiang Wang,Xiao Tian,Xiang Zhang,Yi Hao,Bo Cheng,Jing Ma,Lei Wang,Jialin Liu,Ran Xie
View all publications

Product promise

We are committed to supporting your work with high-quality reagents, and we're here for you every step of the way. In the unlikely event that one of our products does not perform as expected, you're protected by our Product Promise.
For full details, please see our Terms & Conditions

Please note: All products are 'FOR RESEARCH USE ONLY. NOT FOR USE IN DIAGNOSTIC OR THERAPEUTIC PROCEDURES'.

For licensing inquiries, please contact partnerships@abcam.com