JavaScript is disabled in your browser. Please enable JavaScript to view this website.
AB236014

Anti-OGT / O-Linked N-Acetylglucosamine Transferase antibody [EPR12713] - BSA and Azide free

Be the first to review this product! Submit a review

|

(1 Publication)

Rabbit Recombinant Monoclonal OGT / O-Linked N-Acetylglucosamine Transferase antibody. Carrier free. Suitable for IHC-P, WB, ICC/IF, Flow Cyt (Intra) and reacts with Human, Mouse, Rat samples. Cited in 1 publication.

View Alternative Names

UDP-N-acetylglucosamine--peptide N-acetylglucosaminyltransferase 110 kDa subunit, O-GlcNAc transferase subunit p110, O-linked N-acetylglucosamine transferase 110 kDa subunit, OGT

5 Images
Immunohistochemistry (Formalin/PFA-fixed paraffin-embedded sections) - Anti-OGT / O-Linked N-Acetylglucosamine Transferase antibody [EPR12713] - BSA and Azide free (AB236014)
  • IHC-P

Lab

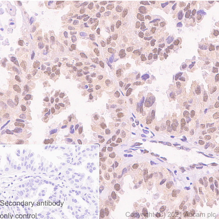
Immunohistochemistry (Formalin/PFA-fixed paraffin-embedded sections) - Anti-OGT / O-Linked N-Acetylglucosamine Transferase antibody [EPR12713] - BSA and Azide free (AB236014)

This data was developed using the same antibody clone in a different buffer formulation containing PBS, BSA, glycerol, and sodium azide (ab177941).  Immunohistochemical analysis of Paraffin-embedded sections human breast carcinoma tissue labelling OGT / O-Linked N-Acetylglucosamine Transferase with ab177941 at 1 : 2000 dilution (0.2 μg/ml), followed by a ready to use secondary Rabbit specific IHC polymer detection kit HRP/DAB (ab209101). Staining on human breast carcinoma tissue is observed. Counter stained with Haematoxylin. Secondary antibody only control : Used PBS instead of primary antibody, secondary antibody is ready to use Rabbit specific IHC polymer detection kit HRP/DAB (ab209101). Heat mediated antigen retrieval using Bond™ Epitope Retrieval Solution 2 (pH 9.0). The immunostaining was performed on a Leica Biosystems BOND® RX instrument.

Immunohistochemistry (Formalin/PFA-fixed paraffin-embedded sections) - Anti-OGT / O-Linked N-Acetylglucosamine Transferase antibody [EPR12713] - BSA and Azide free (AB236014)
  • IHC-P

Lab

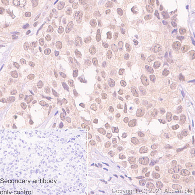
Immunohistochemistry (Formalin/PFA-fixed paraffin-embedded sections) - Anti-OGT / O-Linked N-Acetylglucosamine Transferase antibody [EPR12713] - BSA and Azide free (AB236014)

This data was developed using the same antibody clone in a different buffer formulation containing PBS, BSA, glycerol, and sodium azide (ab177941).  Immunohistochemical analysis of Paraffin-embedded sections human lung carcinoma tissue labelling OGT / O-Linked N-Acetylglucosamine Transferase with ab177941 at 1 : 2000 dilution (0.2 μg/ml), followed by a ready to use secondary Rabbit specific IHC polymer detection kit HRP/DAB (ab209101). Staining on human lung carcinoma tissue is observed. Counter stained with Haematoxylin. Secondary antibody only control : Used PBS instead of primary antibody, secondary antibody is ready to use Rabbit specific IHC polymer detection kit HRP/DAB (ab209101). Heat mediated antigen retrieval using Bond™ Epitope Retrieval Solution 2 (pH 9.0). The immunostaining was performed on a Leica Biosystems BOND® RX instrument.

Flow Cytometry (Intracellular) - Anti-OGT / O-Linked N-Acetylglucosamine Transferase antibody [EPR12713] - BSA and Azide free (AB236014)
  • Flow Cyt (Intra)

Lab

Flow Cytometry (Intracellular) - Anti-OGT / O-Linked N-Acetylglucosamine Transferase antibody [EPR12713] - BSA and Azide free (AB236014)

This data was developed using the same antibody clone in a different buffer formulation containing PBS, BSA, glycerol, and sodium azide (ab177941).  Intracellular Flow Cytometry analysis of K-562 (Human chronic myelogenous leukemia lymphoblast) cells labeling OGT / O-Linked N-Acetylglucosamine Transferase with purified ab177941 at 1 : 40 dilution (10 μg/ml) (Red). Cells were fixed with 4% Paraformaldehyde and permeabilised with 90% Methanol. A Goat anti rabbit IgG (Alexa Fluor® 488, ab150081) (1/2000 dilution) was used as the secondary antibody. Rabbit monoclonal IgG (Black) was used as a isotype control. Cell without incubation with primary antibody and secondary antibody (Blue) were used as unlabeled control.

Immunocytochemistry/ Immunofluorescence - Anti-OGT / O-Linked N-Acetylglucosamine Transferase antibody [EPR12713] - BSA and Azide free (AB236014)
  • ICC/IF

Lab

Immunocytochemistry/ Immunofluorescence - Anti-OGT / O-Linked N-Acetylglucosamine Transferase antibody [EPR12713] - BSA and Azide free (AB236014)

This data was developed using the same antibody clone in a different buffer formulation containing PBS, BSA, glycerol, and sodium azide (ab177941).  Immunocytochemistry/ Immunofluorescence analysis of A549 (Human lung carcinoma epithelial cell) cells labeling OGT / O-Linked N-Acetylglucosamine Transferase using ab177941. The cells were fixed with 4% paraformaldehyde then permeabilized with 0.1% Triton X-100. The cells were then incubated with ab177941 at 1 : 100 dilution followed by a further incubation with a Goat anti rabbit IgG (Alexa Fluor® 488, ab150077) at 2 μg/ml (shown in green). Nuclear DNA was labelled in blue with DAPI. Cells were counterstained using ab195889 Anti-alpha Tubulin antibody [DM1A] - Microtubule Marker (Alexa Fluor® 594) at 1 : 200 dilution (shown in red). Secondary antibody only control : PBS instead of the primary antibody.

Western blot - Anti-OGT / O-Linked N-Acetylglucosamine Transferase antibody [EPR12713] - BSA and Azide free (AB236014)
  • WB

Lab

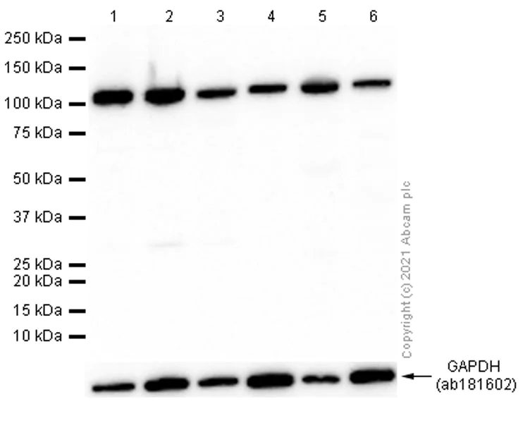
Western blot - Anti-OGT / O-Linked N-Acetylglucosamine Transferase antibody [EPR12713] - BSA and Azide free (AB236014)

This data was developed using the same antibody clone in a different buffer formulation containing PBS, BSA, glycerol, and sodium azide (ab177941).  Blocking and diluting buffer and concentration : 5% NFDM/TBST. ab181602 was used as GAPDH loading control.

All lanes:

Western blot - Anti-OGT / O-Linked N-Acetylglucosamine Transferase antibody [EPR12713] (<a href='/en-us/products/primary-antibodies/ogt-o-linked-n-acetylglucosamine-transferase-antibody-epr12713-ab177941'>ab177941</a>) at 1/10000 dilution

Lane 1:

A549 (Human lung carcinoma epithelial cell) whole cell lysate at 20 µg

Lane 2:

HeLa (Human cervix adenocarcinoma epithelial cell) whole cell lysate at 20 µg

Lane 3:

293T (Human embryonic kidney epithelial cell) whole cell lysate at 20 µg

Lane 4:

Mouse heart at 20 µg

Lane 5:

Mouse pancreas at 20 µg

Lane 6:

Rat heart at 20 µg

Secondary

All lanes:

Western blot - Goat Anti-Rabbit IgG H&L (HRP) (<a href='/en-us/products/secondary-antibodies/goat-rabbit-igg-h-l-hrp-ab97051'>ab97051</a>) at 1/20000 dilution

Predicted band size: 116 kDa

Observed band size: 110 kDa

false

Key facts

Host species

Rabbit

Clonality

Monoclonal

Clone number

EPR12713

Isotype

IgG

Carrier free

Yes

Reacts with

Mouse, Rat, Human

Applications

Flow Cyt (Intra), ICC/IF, IHC-P, WB

applications

Immunogen

The exact immunogen used to generate this antibody is proprietary information.

Specificity

The mouse and rat recommendation is based on the WB results. We do not guarantee IHC-P for mouse and rat.

Reactivity data

{ "title": "Reactivity Data", "filters": { "stats": ["", "Species", "Dilution Info", "Notes"], "tabs": { "all-applications": {"fullname" : "All Applications", "shortname": "All Applications"}, "IHCP" : {"fullname" : "Immunohistochemistry (Formalin/PFA-fixed paraffin-embedded sections)", "shortname":"IHC-P"}, "WB" : {"fullname" : "Western blot", "shortname":"WB"}, "ICCIF" : {"fullname" : "Immunocytochemistry/ Immunofluorescence", "shortname":"ICC/IF"}, "FlowCytIntra" : {"fullname" : "Flow Cytometry (Intracellular)", "shortname":"Flow Cyt (Intra)"} }, "product-promise": { "all": "all", "testedAndGuaranteed": "tested", "guaranteed": "expected", "predicted": "predicted", "notRecommended": "not-recommended" } }, "values": { "Human": { "IHCP-species-checked": "testedAndGuaranteed", "IHCP-species-dilution-info": "", "IHCP-species-notes": "<p>The mouse and rat recommendation is based on the WB results. We do not guarantee IHC-P for mouse and rat.</p>", "WB-species-checked": "testedAndGuaranteed", "WB-species-dilution-info": "", "WB-species-notes": "<p></p>", "ICCIF-species-checked": "testedAndGuaranteed", "ICCIF-species-dilution-info": "", "ICCIF-species-notes": "<p></p>", "FlowCytIntra-species-checked": "testedAndGuaranteed", "FlowCytIntra-species-dilution-info": "", "FlowCytIntra-species-notes": "<p><a href='/en-us/products/primary-antibodies/rabbit-igg-monoclonal-epr25a-isotype-control-ab172730'>ab172730</a> - Rabbit monoclonal IgG, is suitable for use as an isotype control with this antibody.</p>" }, "Mouse": { "IHCP-species-checked": "guaranteed", "IHCP-species-dilution-info": "", "IHCP-species-notes": "", "WB-species-checked": "testedAndGuaranteed", "WB-species-dilution-info": "", "WB-species-notes": "<p></p>", "ICCIF-species-checked": "guaranteed", "ICCIF-species-dilution-info": "", "ICCIF-species-notes": "", "FlowCytIntra-species-checked": "guaranteed", "FlowCytIntra-species-dilution-info": "", "FlowCytIntra-species-notes": "" }, "Rat": { "IHCP-species-checked": "guaranteed", "IHCP-species-dilution-info": "", "IHCP-species-notes": "", "WB-species-checked": "testedAndGuaranteed", "WB-species-dilution-info": "", "WB-species-notes": "<p></p>", "ICCIF-species-checked": "guaranteed", "ICCIF-species-dilution-info": "", "ICCIF-species-notes": "", "FlowCytIntra-species-checked": "guaranteed", "FlowCytIntra-species-dilution-info": "", "FlowCytIntra-species-notes": "" } } }

Product details

ab236014 is the carrier-free version of ab177941.

Patented technology
Our RabMAb® technology is a patented hybridoma-based technology for making rabbit monoclonal antibodies. For details on our patents, please refer to RabMAb® patents.

What are the advantages of a recombinant monoclonal antibody?
This product is a recombinant monoclonal antibody, which offers several advantages including:

  • - High batch-to-batch consistency and reproducibility
  • - Improved sensitivity and specificity
  • - Long-term security of supply
  • - Animal-free batch production

For more information, read more on recombinant antibodies.

Conjugation ready
Our carrier-free antibodies are typically supplied in a PBS-only formulation, purified and free of BSA, sodium azide and glycerol. This conjugation-ready format is designed for use with fluorochromes, metal isotopes, oligonucleotides, and enzymes, which makes them ideal for antibody labelling, functional and cell-based assays, flow-based assays (e.g. mass cytometry) and Multiplex Imaging applications.

Use our conjugation kits for antibody conjugates that are ready-to-use in as little as 20 minutes with 1 minute hands-on-time and 100% antibody recovery: available for fluorescent dyes, HRP, biotin and gold.

Compatibility
This product is compatible with the Maxpar® Antibody Labeling Kit from Fluidigm, without the need for antibody preparation. Maxpar® is a trademark of Fluidigm Canada Inc.

Properties and storage information

Form
Liquid
Purification technique
Affinity purification Protein A
Storage buffer
pH: 7.2 - 7.4 Constituents: PBS
Shipped at conditions
Blue Ice
Appropriate short-term storage conditions
+4°C
Appropriate long-term storage conditions
+4°C
Storage information
Do Not Freeze

Supplementary information

This supplementary information is collated from multiple sources and compiled automatically.

OGT or O-Linked N-Acetylglucosamine Transferase also known as OGT protein mechanically catalyzes the addition of N-acetylglucosamine (O-GlcNAc) onto serine or threonine residues of nuclear and cytoplasmic proteins. OGT has a molecular weight of approximately 110 kDa. It is expressed in various tissues with higher levels in the pancreas brain and spleen. This enzyme plays an important role in cellular processes by modifying proteins with O-GlcNAc.
Biological function summary

Through its transferase activity OGT regulates a wide array of cellular functions including signal transduction transcription and metabolism. It is a component of a complex involving several other proteins that facilitate its regulatory actions. OGT manages protein function and stability by influencing interactions between proteins and other cellular components.

Pathways

OGT is critical in the insulin signaling pathway and the regulation of glucose metabolism. It interacts with multiple proteins such as IRS-1 and Akt to modulate their activity and stability. The modification by OGT impacts protein phosphorylation states affecting the downstream processing of cellular signals.

OGT has a significant link to diabetes and neurodegenerative diseases like Alzheimer's. Abnormal OGT activity relates to insulin resistance contributing to diabetes pathogenesis. In Alzheimer's disease altered O-GlcNAcylation affects proteins like tau which play a central role in disease progression. Understanding OGT's role in these conditions could aid in developing targeted therapeutic strategies.

Product protocols

For this product, it's our understanding that no specific protocols are required. You can visit:

Target data

Catalyzes the transfer of a single N-acetylglucosamine from UDP-GlcNAc to a serine or threonine residue in cytoplasmic and nuclear proteins resulting in their modification with a beta-linked N-acetylglucosamine (O-GlcNAc) (PubMed : 12150998, PubMed : 15361863, PubMed : 19451179, PubMed : 20018868, PubMed : 21240259, PubMed : 21285374, PubMed : 23103939, PubMed : 26237509, PubMed : 26369908, PubMed : 26678539, PubMed : 27713473, PubMed : 37541260, PubMed : 37962578). Glycosylates a large and diverse number of proteins including histone H2B, AKT1, AMPK, ATG4B, CAPRIN1, EZH2, FNIP1, GSDMD, KRT7, LMNA, LMNB1, LMNB2, RPTOR, HOXA1, PFKL, KMT2E/MLL5, MAPT/TAU, TET2, RBL2, RET, NOD2 and HCFC1 (PubMed : 19451179, PubMed : 20200153, PubMed : 21285374, PubMed : 22923583, PubMed : 23353889, PubMed : 24474760, PubMed : 26237509, PubMed : 26369908, PubMed : 26678539, PubMed : 27527864, PubMed : 30699359, PubMed : 34074792, PubMed : 34667079, PubMed : 37541260, PubMed : 37962578). Can regulate their cellular processes via cross-talk between glycosylation and phosphorylation or by affecting proteolytic processing (PubMed : 21285374). Involved in insulin resistance in muscle and adipocyte cells via glycosylating insulin signaling components and inhibiting the 'Thr-308' phosphorylation of AKT1, enhancing IRS1 phosphorylation and attenuating insulin signaling (By similarity). Involved in glycolysis regulation by mediating glycosylation of 6-phosphofructokinase PFKL, inhibiting its activity (PubMed : 22923583). Plays a key role in chromatin structure by mediating O-GlcNAcylation of 'Ser-112' of histone H2B : recruited to CpG-rich transcription start sites of active genes via its interaction with TET proteins (TET1, TET2 or TET3) (PubMed : 22121020, PubMed : 23353889). As part of the NSL complex indirectly involved in acetylation of nucleosomal histone H4 on several lysine residues (PubMed : 20018852). O-GlcNAcylation of 'Ser-75' of EZH2 increases its stability, and facilitating the formation of H3K27me3 by the PRC2/EED-EZH2 complex (PubMed : 24474760). Stabilizes KMT2E/MLL5 by mediating its glycosylation, thereby preventing KMT2E/MLL5 ubiquitination (PubMed : 26678539). Regulates circadian oscillation of the clock genes and glucose homeostasis in the liver (By similarity). Stabilizes clock proteins BMAL1 and CLOCK through O-glycosylation, which prevents their ubiquitination and subsequent degradation (By similarity). Promotes the CLOCK-BMAL1-mediated transcription of genes in the negative loop of the circadian clock such as PER1/2 and CRY1/2. O-glycosylates HCFC1 and regulates its proteolytic processing and transcriptional activity (PubMed : 21285374, PubMed : 28302723, PubMed : 28584052). Component of a THAP1/THAP3-HCFC1-OGT complex that is required for the regulation of the transcriptional activity of RRM1 (PubMed : 20200153). Regulates mitochondrial motility in neurons by mediating glycosylation of TRAK1 (By similarity). Promotes autophagy by mediating O-glycosylation of ATG4B (PubMed : 27527864). Acts as a regulator of mTORC1 signaling by mediating O-glycosylation of RPTOR and FNIP1 : O-GlcNAcylation of RPTOR in response to glucose sufficiency promotes activation of the mTORC1 complex (PubMed : 30699359, PubMed : 37541260).. Isoform 2. The mitochondrial isoform (mOGT) is cytotoxic and triggers apoptosis in several cell types including INS1, an insulinoma cell line.. Isoform 4. Has N-acetylglucosaminyltransferase activity : glycosylates proteins, such as HNRNPU, NEUROD1, NUP62 and PDCD6IP (PubMed : 31527085). Displays specific substrate selectivity compared to other isoforms (PubMed : 31527085).
See full target information OGT

Publications (1)

Recent publications for all applications. Explore the full list and refine your search

Open medicine (Warsaw, Poland) 20:20251206 PubMed40918165

2025

Peptide CCAT1-70aa promotes hepatocellular carcinoma proliferation and invasion via the MAPK/ERK pathway.

Applications

Unspecified application

Species

Unspecified reactive species

Xianjian Wu,Ruifeng Liang,Guoman Liu,Quan Fang,Zuoming Xu,Wenchuan Li,Chuan Tan,Jian Pu
View all publications

Product promise

We are committed to supporting your work with high-quality reagents, and we're here for you every step of the way. In the unlikely event that one of our products does not perform as expected, you're protected by our Product Promise.
For full details, please see our Terms & Conditions

Please note: All products are 'FOR RESEARCH USE ONLY. NOT FOR USE IN DIAGNOSTIC OR THERAPEUTIC PROCEDURES'.

For licensing inquiries, please contact partnerships@abcam.com