JavaScript is disabled in your browser. Please enable JavaScript to view this website.
AB211456

Anti-OIF antibody - C-terminal

Be the first to review this product! Submit a review

|

(3 Publications)

Rabbit Polyclonal OIF antibody. C-terminal. Suitable for IHC-P, WB, Flow Cyt (Intra) and reacts with Human samples. Cited in 3 publications. Immunogen corresponding to Synthetic Peptide within Human OGN aa 200 to C-terminus conjugated to Keyhole Limpet Haemocyanin.

View Alternative Names

OIF, SLRR3A, OGN, Mimecan, Osteoglycin, Osteoinductive factor

4 Images
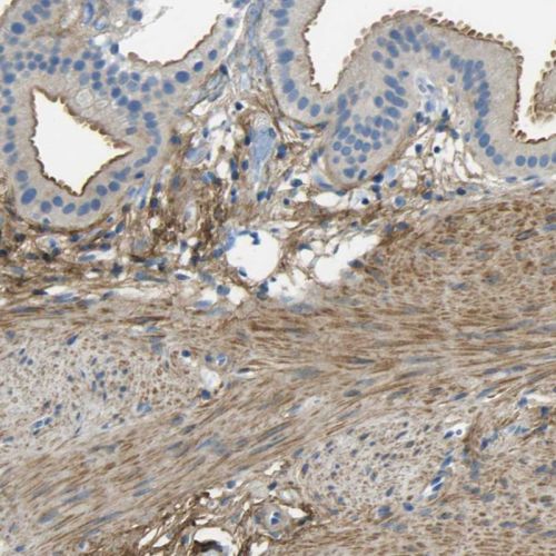
Immunohistochemistry (Formalin/PFA-fixed paraffin-embedded sections) - Anti-OIF antibody - C-terminal (AB211456)
  • IHC-P

Supplier Data

Immunohistochemistry (Formalin/PFA-fixed paraffin-embedded sections) - Anti-OIF antibody - C-terminal (AB211456)

Immunohistochemical analysis of formalin-fixed paraffin-embedded Human lung pleura tissue labeling OIF with ab211456 at 1/100 dilution.

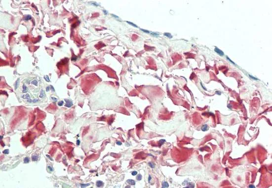
Flow Cytometry (Intracellular) - Anti-OIF antibody - C-terminal (AB211456)
  • Flow Cyt (Intra)

Supplier Data

Flow Cytometry (Intracellular) - Anti-OIF antibody - C-terminal (AB211456)

Intracellular flow cytometrical analysis of 293 cells labeling OIF with ab211456 at 1/10 dilution (right histogram) compared to a negative control cell (left histogram). FITC-conjugated goat-anti-rabbit secondary antibodies were used for the analysis.

Western blot - Anti-OIF antibody - C-terminal (AB211456)
  • WB

Supplier Data

Western blot - Anti-OIF antibody - C-terminal (AB211456)

All lanes:

Western blot - Anti-OIF antibody - C-terminal (ab211456) at 1/1000 dilution

All lanes:

CEM cell line lysate at 35 µg

Predicted band size: 34 kDa

false

Western blot - Anti-OIF antibody - C-terminal (AB211456)
  • WB

Supplier Data

Western blot - Anti-OIF antibody - C-terminal (AB211456)

All lanes:

Western blot - Anti-OIF antibody - C-terminal (ab211456) at 1/1000 dilution

Lane 1:

293 cell lysate non-transfected at 2 µg

Lane 2:

293 cell lysate transiently transfected with OIF at 2 µg

Predicted band size: 34 kDa

false

Key facts

Host species

Rabbit

Clonality

Polyclonal

Isotype

IgG

Carrier free

No

Reacts with

Human

Applications

WB, Flow Cyt (Intra), IHC-P

applications

Immunogen

Synthetic Peptide within Human OGN aa 200 to C-terminus conjugated to Keyhole Limpet Haemocyanin. The exact immunogen used to generate this antibody is proprietary information.

P20774

Reactivity data

{ "title": "Reactivity Data", "filters": { "stats": ["", "Species", "Dilution Info", "Notes"], "tabs": { "all-applications": {"fullname" : "All Applications", "shortname": "All Applications"}, "IHCP" : {"fullname" : "Immunohistochemistry (Formalin/PFA-fixed paraffin-embedded sections)", "shortname":"IHC-P"}, "WB" : {"fullname" : "Western blot", "shortname":"WB"}, "FlowCytIntra" : {"fullname" : "Flow Cytometry (Intracellular)", "shortname":"Flow Cyt (Intra)"} }, "product-promise": { "all": "all", "testedAndGuaranteed": "tested", "guaranteed": "expected", "predicted": "predicted", "notRecommended": "not-recommended" } }, "values": { "Human": { "IHCP-species-checked": "testedAndGuaranteed", "IHCP-species-dilution-info": "1/100", "IHCP-species-notes": "<p></p> Perform heat-mediated antigen retrieval before commencing with IHC staining protocol.", "WB-species-checked": "testedAndGuaranteed", "WB-species-dilution-info": "1/100", "WB-species-notes": "<p></p>", "FlowCytIntra-species-checked": "testedAndGuaranteed", "FlowCytIntra-species-dilution-info": "", "FlowCytIntra-species-notes": "<p></p>" } } }

Properties and storage information

Form
Liquid
Purification technique
Affinity purification Immunogen
Storage buffer
pH: 7.4 Preservative: 0.09% Sodium azide Constituents: PBS
Shipped at conditions
Blue Ice
Appropriate short-term storage duration
1-2 weeks
Appropriate short-term storage conditions
+4°C
Appropriate long-term storage conditions
-20°C
Aliquoting information
Upon delivery aliquot
Storage information
Avoid freeze / thaw cycle

Supplementary information

This supplementary information is collated from multiple sources and compiled automatically.

OIF also known as Ovulation Inducing Factor has a mass of about 14 kDa. It plays an important role in inducing ovulation in certain mammalian species. OIF is expressed in seminal plasma where it serves as a signaling molecule influencing the reproductive cycle. Researchers recognize the impact of OIF on the ovarian follicle where it initiates a cascade of events that lead to ovulation. Its discovery is significant for reproductive biology as it highlights the influence of male factors on female reproductive physiology.
Biological function summary

Ovulation Inducing Factor acts as a signaling molecule that interacts with the female reproductive system to trigger ovulation. It functions as part of a larger biochemical complex that affects the hypothalamus and pituitary gland axis stimulating the secretion of hormones necessary for the release of the egg. The exact interactions and pathways remain an active area of research but the ability of OIF to prompt ovulation positions it as a unique factor among reproductive proteins.

Pathways

There is evidence that Ovulation Inducing Factor is involved in the neuroendocrine pathway for ovulation. OIF interacts with the hypothalamus-pituitary-gonadal axis to initiate ovulation. The presence of other proteins like GnRH and its release is closely tied to the activity of OIF in stimulating the necessary hormonal environment. Furthermore the interplay between OIF and luteinizing hormone (LH) is also explored showing how these elements integrate into the broader signaling cascade essential for ovulation.

Researchers have associated Ovulation Inducing Factor with fertility issues. Disruptions or alterations in the pathway involving OIF can lead to ovulatory disorders impacting fertility in both females and indirectly males. Studies explore its relationship with proteins like FSH and LH which are critical in ovulatory processes. Understanding the role of OIF may advance treatment options for certain infertility problems offering insights into novel therapeutic strategies.

Product protocols

For this product, it's our understanding that no specific protocols are required. You can visit:

Target data

Induces bone formation in conjunction with TGF-beta-1 or TGF-beta-2.
See full target information OGN

Publications (3)

Recent publications for all applications. Explore the full list and refine your search

The Journal of biological chemistry 297:101190 PubMed34517008

2021

African swine fever virus protein MGF-505-7R promotes virulence and pathogenesis by inhibiting JAK1- and JAK2-mediated signaling.

Applications

Unspecified application

Species

Unspecified reactive species

Dan Li,Jing Zhang,Wenping Yang,Pan Li,Yi Ru,Weifang Kang,LuLu Li,Yong Ran,Haixue Zheng

Molecular medicine reports 23: PubMed33215216

2020

Osteoglycin knockdown promotes vascular smooth muscle cell proliferation and migration in aortic dissection via the VEGF/VEGFR2 axis.

Applications

Unspecified application

Species

Unspecified reactive species

Zanxin Wang,Xianmian Zhuang,Bailang Chen,Minxin Wei

International journal of clinical and experimental 12:584-589 PubMed31933863

2019

Elevated OGN expression correlates with the EMT signature and poor prognosis in ovarian carcinoma.

Applications

Unspecified application

Species

Unspecified reactive species

Hong Chen,Lei Yang,Weina Sun
View all publications

Product promise

We are committed to supporting your work with high-quality reagents, and we're here for you every step of the way. In the unlikely event that one of our products does not perform as expected, you're protected by our Product Promise.
For full details, please see our Terms & Conditions

Please note: All products are 'FOR RESEARCH USE ONLY. NOT FOR USE IN DIAGNOSTIC OR THERAPEUTIC PROCEDURES'.

For licensing inquiries, please contact partnerships@abcam.com