JavaScript is disabled in your browser. Please enable JavaScript to view this website.
AB183948

Anti-Olfactory Marker Protein/OMP antibody [EPR19157]

5

(1 Review)

|

(1 Publication)

Rabbit Recombinant Monoclonal Olfactory Marker Protein/OMP antibody. Suitable for WB, IHC-P and reacts with Rat, Mouse samples. Cited in 1 publication.

View Alternative Names

Olfactory marker protein, Omp

6 Images
Immunohistochemistry (Formalin/PFA-fixed paraffin-embedded sections) - Anti-Olfactory Marker Protein/OMP antibody [EPR19157] (AB183948)
  • IHC-P

Supplier Data

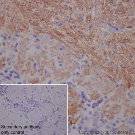
Immunohistochemistry (Formalin/PFA-fixed paraffin-embedded sections) - Anti-Olfactory Marker Protein/OMP antibody [EPR19157] (AB183948)

Immunohistochemical analysis of paraffin-embedded rat olfactory bulb tissue labeling Olfactory Marker Protein/OMP with ab183948 at 1/500 dilution followed by Goat Anti-Rabbit IgG H&L (HRP) (ab97051) at 1/500 dilution. Cytoplasm staining on neurons of rat olfactory bulb is observed. Counter stained with Hematoxylin.

Secondary antibody only control : Used PBS instead of primary antibody secondary antibody is Goat Anti-Rabbit IgG H&L (HRP) (ab97051) at 1/500 dilution.

Perform heat mediated antigen retrieval with Tris/EDTA buffer pH 9.0 before commencing with IHC staining protocol.

Immunohistochemistry (Formalin/PFA-fixed paraffin-embedded sections) - Anti-Olfactory Marker Protein/OMP antibody [EPR19157] (AB183948)
  • IHC-P

Supplier Data

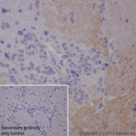
Immunohistochemistry (Formalin/PFA-fixed paraffin-embedded sections) - Anti-Olfactory Marker Protein/OMP antibody [EPR19157] (AB183948)

Immunohistochemical analysis of paraffin-embedded mouse olfactory bulb tissue labeling Olfactory Marker Protein/OMP with ab183948 at 1/500 dilution followed by Goat Anti-Rabbit IgG H&L (HRP) (ab97051) at 1/500 dilution. Cytoplasm staining on neurons of mouse olfactory bulb is observed.

Counter stained with Hematoxylin.

Secondary antibody only control : Used PBS instead of primary antibody secondary antibody is Goat Anti-Rabbit IgG H&L (HRP) (ab97051) at 1/500 dilution.

Perform heat mediated antigen retrieval with Tris/EDTA buffer pH 9.0 before commencing with IHC staining protocol.

Immunohistochemistry (Formalin/PFA-fixed paraffin-embedded sections) - Anti-Olfactory Marker Protein/OMP antibody [EPR19157] (AB183948)
  • IHC-P

Supplier Data

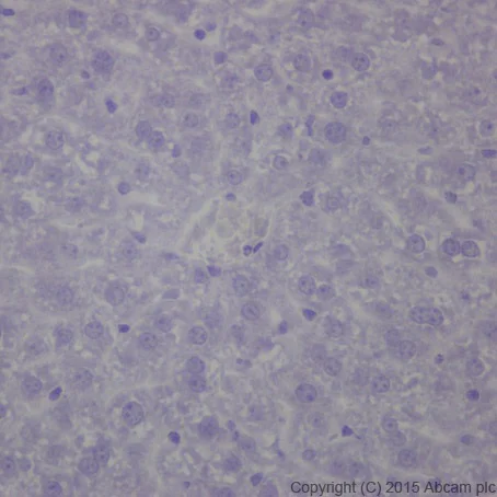
Immunohistochemistry (Formalin/PFA-fixed paraffin-embedded sections) - Anti-Olfactory Marker Protein/OMP antibody [EPR19157] (AB183948)

Immunohistochemical analysis of paraffin-embedded mouse liver tissue labeling Olfactory Marker Protein/OMP with ab183948 at 1/500 dilution followed by Goat Anti-Rabbit IgG H&L (HRP) (ab97051) at 1/500 dilution. Negative staining on mouse liver. Counter stained with Hematoxylin.

Secondary antibody only control : Used PBS instead of primary antibody secondary antibody is ab97051 at 1/500 dilution.

Perform heat mediated antigen retrieval with Tris/EDTA buffer pH 9.0 before commencing with IHC staining protocol.

Immunohistochemistry (Formalin/PFA-fixed paraffin-embedded sections) - Anti-Olfactory Marker Protein/OMP antibody [EPR19157] (AB183948)
  • IHC-P

Supplier Data

Immunohistochemistry (Formalin/PFA-fixed paraffin-embedded sections) - Anti-Olfactory Marker Protein/OMP antibody [EPR19157] (AB183948)

Immunohistochemical analysis of paraffin-embedded rat muscle tissue labeling Olfactory Marker Protein/OMP with ab183948 at 1/500 dilution followed by Goat Anti-Rabbit IgG H&L (HRP) (ab97051) at 1/500 dilution. Negative staining on rat muscle. Counter stained with Hematoxylin.

Secondary antibody only control : Used PBS instead of primary antibody secondary antibody is ab97051 at 1/500 dilution.

Perform heat mediated antigen retrieval with Tris/EDTA buffer pH 9.0 before commencing with IHC staining protocol.

Western blot - Anti-Olfactory Marker Protein/OMP antibody [EPR19157] (AB183948)
  • WB

Supplier Data

Western blot - Anti-Olfactory Marker Protein/OMP antibody [EPR19157] (AB183948)

Blocking/dilution buffer : 5% NFDM/TBST.

Uniquely associated with mature olfactory receptor neurons.
Mouse OMP full length recombinant protein contains aa 2-163 with a His-Tag®. The recombinant mouse full length protein was made in-house.

All lanes:

Western blot - Anti-Olfactory Marker Protein/OMP antibody [EPR19157] (ab183948) at 1/1000 dilution

Lane 1:

Rat kidney lysate at 20 µg

Lane 2:

Rat spleen lysate at 20 µg

Lane 3:

Mouse brain lysate at 20 µg

Lane 4:

Mouse heart lysate at 20 µg

Lane 5:

Mouse kidney lysate at 20 µg

Lane 6:

Neuro-2a (Mouse neuroblastoma cell line) whole cell lysate at 20 µg

Lane 7:

Mouse OMP full length recombinant protein at 0.02 µg

Secondary

All lanes:

Western blot - Goat Anti-Rabbit IgG H&L (HRP) (<a href='/en-us/products/secondary-antibodies/goat-rabbit-igg-h-l-hrp-ab97051'>ab97051</a>) at 1/100000 dilution

Predicted band size: 19 kDa

Observed band size: 19 kDa

false

Exposure time: 3min

Western blot - Anti-Olfactory Marker Protein/OMP antibody [EPR19157] (AB183948)
  • WB

Supplier Data

Western blot - Anti-Olfactory Marker Protein/OMP antibody [EPR19157] (AB183948)

Blocking/dilution buffer : 5% NFDM/TBST.

Uniquely associated with mature olfactory receptor neurons.

Lane 1:

Western blot - Anti-Olfactory Marker Protein/OMP antibody [EPR19157] (ab183948) at 1/200 dilution

Lane 2:

Western blot - Anti-Olfactory Marker Protein/OMP antibody [EPR19157] (ab183948) at 1/1000 dilution

Lane 1:

Mouse olfactory bulb lysate at 20 µg

Lane 2:

Rat olfactory bulb tissue lysate at 20 µg

Secondary

All lanes:

Western blot - Goat Anti-Rabbit IgG H&L (HRP) (<a href='/en-us/products/secondary-antibodies/goat-rabbit-igg-h-l-hrp-ab97051'>ab97051</a>) at 1/100000 dilution

Predicted band size: 19 kDa

Observed band size: 19 kDa

false

Exposure time: 3min

  • Carrier free

    Anti-Olfactory Marker Protein/OMP antibody [EPR19157] - BSA and Azide free

Key facts

Host species

Rabbit

Clonality

Monoclonal

Clone number

EPR19157

Isotype

IgG

Carrier free

No

Reacts with

Mouse, Rat

Applications

WB, IHC-P

applications

Immunogen

The exact immunogen used to generate this antibody is proprietary information.

Reactivity data

{ "title": "Reactivity Data", "filters": { "stats": ["", "Species", "Dilution Info", "Notes"], "tabs": { "all-applications": {"fullname" : "All Applications", "shortname": "All Applications"}, "WB" : {"fullname" : "Western blot", "shortname":"WB"}, "IHCP" : {"fullname" : "Immunohistochemistry (Formalin/PFA-fixed paraffin-embedded sections)", "shortname":"IHC-P"} }, "product-promise": { "all": "all", "testedAndGuaranteed": "tested", "guaranteed": "expected", "predicted": "predicted", "notRecommended": "not-recommended" } }, "values": { "Mouse": { "WB-species-checked": "testedAndGuaranteed", "WB-species-dilution-info": "1/1000", "WB-species-notes": "<p></p> Perform heat-mediated antigen retrieval with Tris/EDTA buffer pH 9.0 before commencing with IHC staining protocol.", "IHCP-species-checked": "testedAndGuaranteed", "IHCP-species-dilution-info": "1/500", "IHCP-species-notes": "<p></p> Perform heat-mediated antigen retrieval with Tris/EDTA buffer pH 9.0 before commencing with IHC staining protocol." }, "Rat": { "WB-species-checked": "testedAndGuaranteed", "WB-species-dilution-info": "1/1000", "WB-species-notes": "<p></p>", "IHCP-species-checked": "testedAndGuaranteed", "IHCP-species-dilution-info": "1/500", "IHCP-species-notes": "<p></p> Perform heat-mediated antigen retrieval with Tris/EDTA buffer pH 9.0 before commencing with IHC staining protocol." } } }

Product details

Patented technology
Our RabMAb® technology is a patented hybridoma-based technology for making rabbit monoclonal antibodies. For details on our patents, please refer to RabMAb® patents.

What are the advantages of a recombinant monoclonal antibody?
This product is a recombinant monoclonal antibody, which offers several advantages including:

  • - High batch-to-batch consistency and reproducibility
  • - Improved sensitivity and specificity
  • - Long-term security of supply
  • - Animal-free batch production

For more information, read more on recombinant antibodies.

Properties and storage information

Form
Liquid
Purification technique
Affinity purification Protein A
Storage buffer
pH: 7.2 Preservative: 0.01% Sodium azide Constituents: 59% PBS, 40% Glycerol (glycerin, glycerine), 0.05% BSA
Shipped at conditions
Blue Ice
Appropriate short-term storage duration
1-2 weeks
Appropriate short-term storage conditions
+4°C
Appropriate long-term storage conditions
-20°C
Aliquoting information
Upon delivery aliquot
Storage information
Avoid freeze / thaw cycle

Supplementary information

This supplementary information is collated from multiple sources and compiled automatically.

Olfactory Marker Protein (OMP) sometimes referred to as OMP protein or marker protein plays a significant role in the olfactory system. With a molecular mass of approximately 19 kDa OMP is primarily expressed in mature olfactory sensory neurons within the olfactory epithelium. These neurons play an important role in detecting and transmitting odorant signals to the brain. The expression of OMP is often used as an indicator of functional olfactory neurons.
Biological function summary

OMP participates in enhancing the signal transduction process of olfactory sensory neurons. It acts as a modulator in the cascade that follows the initial odorant detection ensuring the proper response and adaptation of the neurons to smells. OMP is not part of any major protein complex but it influences the activity of other signaling molecules within the neuron affecting how signals are shaped and perceived.

Pathways

Studies show that OMP is involved in the olfactory signal transduction pathway. This pathway includes interactions with other proteins like cyclic nucleotide-gated channels which are critical for converting chemical signals from odorants into electrical signals in neurons. By modulating these pathways OMP contributes to the accurate representation of olfactory information ultimately affecting the brain's sensory perception.

Changes in OMP expression can relate to conditions impacting the sense of smell such as anosmia which is the loss of olfactory function. Connections exist between OMP and other proteins involved in neurodegenerative diseases like Alzheimer's where olfactory dysfunction is an early symptom. Although not the sole factor OMP's presence in these conditions offers a biomarker potential for early diagnosis or understanding progression.

Product protocols

For this product, it's our understanding that no specific protocols are required. You can visit:

Target data

May act as a modulator of the olfactory signal-transduction cascade.
See full target information Olfactory marker protein

Publications (1)

Recent publications for all applications. Explore the full list and refine your search

The Journal of neuroscience : the official journal of the Society for Neuroscience 41:1317-1330 PubMed33310752

2020

Social Transmission and Buffering of Hippocampal Metaplasticity after Stress in Mice.

Applications

Unspecified application

Species

Unspecified reactive species

I-Chen Lee,Ting-Hsuan Yu,Wen-Hsin Liu,Kuei-Sen Hsu
View all publications

Product promise

We are committed to supporting your work with high-quality reagents, and we're here for you every step of the way. In the unlikely event that one of our products does not perform as expected, you're protected by our Product Promise.
For full details, please see our Terms & Conditions

Please note: All products are 'FOR RESEARCH USE ONLY. NOT FOR USE IN DIAGNOSTIC OR THERAPEUTIC PROCEDURES'.

For licensing inquiries, please contact partnerships@abcam.com