JavaScript is disabled in your browser. Please enable JavaScript to view this website.
AB250712

Anti-Olfactory Marker Protein/OMP antibody [EPR19190] - BSA and Azide free

Be the first to review this product! Submit a review

|

(0 Publication)

Rabbit Recombinant Monoclonal Olfactory Marker Protein/OMP antibody. Carrier free. Suitable for IP, WB, IHC-Fr, IHC-P and reacts with Mouse, Rat samples.

View Alternative Names

Olfactory marker protein, Omp

6 Images
Immunohistochemistry (Formalin/PFA-fixed paraffin-embedded sections) - Anti-Olfactory Marker Protein/OMP antibody [EPR19190] - BSA and Azide free (AB250712)
  • IHC-P

Supplier Data

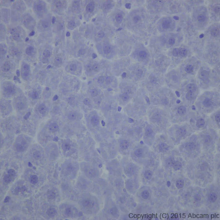
Immunohistochemistry (Formalin/PFA-fixed paraffin-embedded sections) - Anti-Olfactory Marker Protein/OMP antibody [EPR19190] - BSA and Azide free (AB250712)

This data was developed using ab183947, the same antibody clone in a different buffer formulation.

Immunohistochemical analysis of paraffin-embedded Mouse liver tissue labeling Olfactory Marker Protein/OMP with ab183947 at 1/2000 dilution, followed by Goat Anti-Rabbit IgG H&L (HRP) (ab97051) secondary antibody at 1/500 dilution. Negative staining on mouse liver is observed.

Perform heat mediated antigen retrieval with Tris/EDTA buffer pH 9.0 before commencing with IHC staining protocol.

Immunohistochemistry (Formalin/PFA-fixed paraffin-embedded sections) - Anti-Olfactory Marker Protein/OMP antibody [EPR19190] - BSA and Azide free (AB250712)
  • IHC-P

Supplier Data

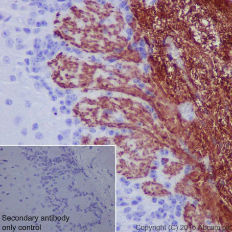
Immunohistochemistry (Formalin/PFA-fixed paraffin-embedded sections) - Anti-Olfactory Marker Protein/OMP antibody [EPR19190] - BSA and Azide free (AB250712)

This data was developed using ab183947, the same antibody clone in a different buffer formulation.

Immunohistochemical analysis of paraffin-embedded Mouse olfactory bulb tissue labeling Olfactory Marker Protein/OMP with ab183947 at 1/2000 dilution, followed by Goat Anti-Rabbit IgG H&L (HRP) (ab97051) secondary antibody at 1/500 dilution. Cytoplasm staining on neurons of mouse olfactory bulb is observed. Counter stained with Hematoxylin.

Secondary antibody only control : Used PBS instead of primary antibody, secondary antibody is Goat Anti-Rabbit IgG H&L (HRP) (ab97051) at 1/500 dilution.

Perform heat mediated antigen retrieval with Tris/EDTA buffer pH 9.0 before commencing with IHC staining protocol.

Immunohistochemistry (Frozen sections) - Anti-Olfactory Marker Protein/OMP antibody [EPR19190] - BSA and Azide free (AB250712)
  • IHC-Fr

Lab

Immunohistochemistry (Frozen sections) - Anti-Olfactory Marker Protein/OMP antibody [EPR19190] - BSA and Azide free (AB250712)

This data was developed using ab183947, the same antibody clone in a different buffer formulation.

Immunohistochemistry (Frozen sections) analysis of rat olfactory bulb tissue labelling Olfactory Marker Protein/OMP with ab183947 at a dilution of 1/500. ab150077, an Alexa Fluor® 488-conjugated goat anti-rabbit IgG was used as the secondary antibody (1/1000). Staining is visible in the cytoplasm of neurons of the rat olfactory bulb.

Immunohistochemistry (Frozen sections) - Anti-Olfactory Marker Protein/OMP antibody [EPR19190] - BSA and Azide free (AB250712)
  • IHC-Fr

Lab

Immunohistochemistry (Frozen sections) - Anti-Olfactory Marker Protein/OMP antibody [EPR19190] - BSA and Azide free (AB250712)

This data was developed using ab183947, the same antibody clone in a different buffer formulation.

Immunohistochemistry (Frozen sections) analysis of mouse olfactory bulb tissue labelling Olfactory Marker Protein/OMP with ab183947 at a dilution of 1/500. ab150077, an Alexa Fluor® 488-conjugated goat anti-rabbit IgG was used as the secondary antibody (1/1000). Staining is visible in the cytoplasm of neurons of the mouse olfactory bulb.

Immunoprecipitation - Anti-Olfactory Marker Protein/OMP antibody [EPR19190] - BSA and Azide free (AB250712)
  • IP

Lab

Immunoprecipitation - Anti-Olfactory Marker Protein/OMP antibody [EPR19190] - BSA and Azide free (AB250712)

This data was developed using ab183947, the same antibody clone in a different buffer formulation.

Olfactory Marker Protein/OMP was immunoprecipitated from 1mg of Mouse olfactory bulb whole cell lysate with ab183947 at 1/40 dilution. Western blot was performed using ab183947 at 1/1000 dilution. VeriBlot for IP Detection Reagent (HRP) (ab131366), was used for detection at 1/10,000 dilution.

Lane 1 (input) : Mouse olfactory bulb whole cell lysate 10Âμg.

Lane 2 : Mouse olfactory bulb whole cell lysate.

Lane 3 : Rabbit monoclonal IgG (ab172730) instead of ab183947 in Mouse olfactory bulb whole cell lysate.

Blocking and dilution buffer : 5% NFDM/TBST.

All lanes:

Immunoprecipitation - Anti-Olfactory Marker Protein/OMP antibody [EPR19190] (<a href='/en-us/products/primary-antibodies/olfactory-marker-protein-omp-antibody-epr19190-ab183947'>ab183947</a>)

Predicted band size: 19 kDa

Observed band size: 19 kDa

false

Western blot - Anti-Olfactory Marker Protein/OMP antibody [EPR19190] - BSA and Azide free (AB250712)
  • WB

Supplier Data

Western blot - Anti-Olfactory Marker Protein/OMP antibody [EPR19190] - BSA and Azide free (AB250712)

This data was developed using ab183947, the same antibody clone in a different buffer formulation.

Blocking and dilution buffer : 5% NFDM/TBST.

All lanes:

Western blot - Anti-Olfactory Marker Protein/OMP antibody [EPR19190] (<a href='/en-us/products/primary-antibodies/olfactory-marker-protein-omp-antibody-epr19190-ab183947'>ab183947</a>) at 1/2000 dilution

Lane 1:

Mouse olfactory bulb lysate at 10 µg

Lane 2:

Mouse brain lysate at 10 µg

Lane 3:

Mouse heart lysate at 10 µg

Lane 4:

Mouse kidney lysate at 10 µg

Lane 5:

Mouse spleen lysate at 10 µg

Lane 6:

Neuro-2a (Mouse neuroblastoma cell line) lysate at 10 µg

Lane 7:

Rat olfactory bulb lysate at 10 µg

Lane 8:

Rat kidney lysate at 10 µg

Lane 9:

C6 (Rat glial tumor cell line) lysate at 10 µg

Lane 10:

RAW 264.7 (Mouse macrophage cell line transformed with Abelson murine leukemia virus) lysate at 10 µg

Lane 11:

PC-12 (Rat adrenal gland pheochromocytoma cell line) lysate at 10 µg

Lane 12:

NIH/3T3 (Mouse embryo fibroblast cell line) lysate at 10 µg

Secondary

All lanes:

Western blot - Goat Anti-Rabbit IgG H&L (HRP) (<a href='/en-us/products/secondary-antibodies/goat-rabbit-igg-h-l-hrp-ab97051'>ab97051</a>) at 1/100000 dilution

Predicted band size: 19 kDa

Observed band size: 19 kDa

false

Exposure time: 3min

  • Unconjugated

    Anti-Olfactory Marker Protein/OMP antibody [EPR19190]

Key facts

Host species

Rabbit

Clonality

Monoclonal

Clone number

EPR19190

Isotype

IgG

Carrier free

Yes

Reacts with

Mouse, Rat

Applications

IP, IHC-Fr, IHC-P, WB

applications

Immunogen

The exact immunogen used to generate this antibody is proprietary information.

Reactivity data

{ "title": "Reactivity Data", "filters": { "stats": ["", "Species", "Dilution Info", "Notes"], "tabs": { "all-applications": {"fullname" : "All Applications", "shortname": "All Applications"}, "IP" : {"fullname" : "Immunoprecipitation", "shortname":"IP"}, "WB" : {"fullname" : "Western blot", "shortname":"WB"}, "IHCFr" : {"fullname" : "Immunohistochemistry (Frozen sections)", "shortname":"IHC-Fr"}, "IHCP" : {"fullname" : "Immunohistochemistry (Formalin/PFA-fixed paraffin-embedded sections)", "shortname":"IHC-P"} }, "product-promise": { "all": "all", "testedAndGuaranteed": "tested", "guaranteed": "expected", "predicted": "predicted", "notRecommended": "not-recommended" } }, "values": { "Mouse": { "IP-species-checked": "testedAndGuaranteed", "IP-species-dilution-info": "", "IP-species-notes": "<p></p>", "WB-species-checked": "testedAndGuaranteed", "WB-species-dilution-info": "", "WB-species-notes": "<p></p>", "IHCFr-species-checked": "testedAndGuaranteed", "IHCFr-species-dilution-info": "", "IHCFr-species-notes": "<p></p>", "IHCP-species-checked": "testedAndGuaranteed", "IHCP-species-dilution-info": "", "IHCP-species-notes": "<p>Suitable for use in mouse tissue only.</p>" }, "Rat": { "IP-species-checked": "guaranteed", "IP-species-dilution-info": "", "IP-species-notes": "<p></p>", "WB-species-checked": "testedAndGuaranteed", "WB-species-dilution-info": "", "WB-species-notes": "<p></p>", "IHCFr-species-checked": "testedAndGuaranteed", "IHCFr-species-dilution-info": "", "IHCFr-species-notes": "<p></p>", "IHCP-species-checked": "testedAndGuaranteed", "IHCP-species-dilution-info": "", "IHCP-species-notes": "<p>Suitable for use in mouse tissue only.</p>" } } }

Product details

ab250712 is the carrier-free version of ab183947.

Patented technology
Our RabMAb® technology is a patented hybridoma-based technology for making rabbit monoclonal antibodies. For details on our patents, please refer to RabMAb® patents.

What are the advantages of a recombinant monoclonal antibody?
This product is a recombinant monoclonal antibody, which offers several advantages including:

  • - High batch-to-batch consistency and reproducibility
  • - Improved sensitivity and specificity
  • - Long-term security of supply
  • - Animal-free batch production

For more information, read more on recombinant antibodies.

Conjugation ready
Our carrier-free antibodies are typically supplied in a PBS-only formulation, purified and free of BSA, sodium azide and glycerol. This conjugation-ready format is designed for use with fluorochromes, metal isotopes, oligonucleotides, and enzymes, which makes them ideal for antibody labelling, functional and cell-based assays, flow-based assays (e.g. mass cytometry) and Multiplex Imaging applications.

Use our conjugation kits for antibody conjugates that are ready-to-use in as little as 20 minutes with 1 minute hands-on-time and 100% antibody recovery: available for fluorescent dyes, HRP, biotin and gold.

Compatibility
This product is compatible with the Maxpar® Antibody Labeling Kit from Fluidigm, without the need for antibody preparation. Maxpar® is a trademark of Fluidigm Canada Inc.

Properties and storage information

Form
Liquid
Purification technique
Affinity purification Protein A
Storage buffer
pH: 7.2 - 7.4 Constituents: PBS
Shipped at conditions
Blue Ice
Appropriate short-term storage conditions
+4°C
Appropriate long-term storage conditions
+4°C
Storage information
Do Not Freeze

Supplementary information

This supplementary information is collated from multiple sources and compiled automatically.

Olfactory Marker Protein (OMP) sometimes referred to as OMP protein or marker protein plays a significant role in the olfactory system. With a molecular mass of approximately 19 kDa OMP is primarily expressed in mature olfactory sensory neurons within the olfactory epithelium. These neurons play an important role in detecting and transmitting odorant signals to the brain. The expression of OMP is often used as an indicator of functional olfactory neurons.
Biological function summary

OMP participates in enhancing the signal transduction process of olfactory sensory neurons. It acts as a modulator in the cascade that follows the initial odorant detection ensuring the proper response and adaptation of the neurons to smells. OMP is not part of any major protein complex but it influences the activity of other signaling molecules within the neuron affecting how signals are shaped and perceived.

Pathways

Studies show that OMP is involved in the olfactory signal transduction pathway. This pathway includes interactions with other proteins like cyclic nucleotide-gated channels which are critical for converting chemical signals from odorants into electrical signals in neurons. By modulating these pathways OMP contributes to the accurate representation of olfactory information ultimately affecting the brain's sensory perception.

Changes in OMP expression can relate to conditions impacting the sense of smell such as anosmia which is the loss of olfactory function. Connections exist between OMP and other proteins involved in neurodegenerative diseases like Alzheimer's where olfactory dysfunction is an early symptom. Although not the sole factor OMP's presence in these conditions offers a biomarker potential for early diagnosis or understanding progression.

Product protocols

For this product, it's our understanding that no specific protocols are required. You can visit:

Target data

May act as a modulator of the olfactory signal-transduction cascade.
See full target information Olfactory marker protein

Product promise

We are committed to supporting your work with high-quality reagents, and we're here for you every step of the way. In the unlikely event that one of our products does not perform as expected, you're protected by our Product Promise.
For full details, please see our Terms & Conditions

Please note: All products are 'FOR RESEARCH USE ONLY. NOT FOR USE IN DIAGNOSTIC OR THERAPEUTIC PROCEDURES'.

For licensing inquiries, please contact partnerships@abcam.com