JavaScript is disabled in your browser. Please enable JavaScript to view this website.
AB188822

Anti-OLFM4 antibody

Be the first to review this product! Submit a review

|

(2 Publications)

Rabbit Polyclonal OLFM4 antibody. Suitable for IHC-P and reacts with Human samples. Cited in 2 publications. Immunogen corresponding to Synthetic Peptide within Human OLFM4.

View Alternative Names

GW112, UNQ362/PRO698, OLFM4, Olfactomedin-4, OLM4, Antiapoptotic protein GW112, G-CSF-stimulated clone 1 protein, hOLfD, hGC-1

2 Images
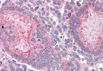
Immunohistochemistry (Formalin/PFA-fixed paraffin-embedded sections) - Anti-OLFM4 antibody (AB188822)
  • IHC-P

Supplier Data

Immunohistochemistry (Formalin/PFA-fixed paraffin-embedded sections) - Anti-OLFM4 antibody (AB188822)

Immunohistochemical analysis of formalin-fixed, paraffin-embedded Human prostate tissue labeling OLFM4 with ab188822 at 20 μg/ml.

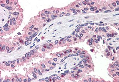
Immunohistochemistry (Formalin/PFA-fixed paraffin-embedded sections) - Anti-OLFM4 antibody (AB188822)
  • IHC-P

Supplier Data

Immunohistochemistry (Formalin/PFA-fixed paraffin-embedded sections) - Anti-OLFM4 antibody (AB188822)

Immunohistochemical analysis of formalin-fixed, paraffin-embedded Human uterus tissue labeling OLFM4 with ab188822 at 20 μg/ml.

Key facts

Host species

Rabbit

Clonality

Polyclonal

Isotype

IgG

Carrier free

No

Reacts with

Human

Applications

IHC-P

applications

Immunogen

Synthetic Peptide within Human OLFM4. The exact immunogen used to generate this antibody is proprietary information.

Q6UX06

Specificity

BLAST analysis of the peptide immunogen showed no homology with other Human proteins.

Reactivity data

{ "title": "Reactivity Data", "filters": { "stats": ["", "Species", "Dilution Info", "Notes"], "tabs": { "all-applications": {"fullname" : "All Applications", "shortname": "All Applications"}, "IHCP" : {"fullname" : "Immunohistochemistry (Formalin/PFA-fixed paraffin-embedded sections)", "shortname":"IHC-P"} }, "product-promise": { "all": "all", "testedAndGuaranteed": "tested", "guaranteed": "expected", "predicted": "predicted", "notRecommended": "not-recommended" } }, "values": { "Human": { "IHCP-species-checked": "testedAndGuaranteed", "IHCP-species-dilution-info": "15-20 µg/mL", "IHCP-species-notes": "<p></p> Perform heat-mediated antigen retrieval before commencing with IHC staining protocol." }, "Chimpanzee": { "IHCP-species-checked": "predicted", "IHCP-species-dilution-info": "", "IHCP-species-notes": "" }, "Dog": { "IHCP-species-checked": "predicted", "IHCP-species-dilution-info": "", "IHCP-species-notes": "" }, "Gorilla": { "IHCP-species-checked": "predicted", "IHCP-species-dilution-info": "", "IHCP-species-notes": "" }, "Monkey": { "IHCP-species-checked": "predicted", "IHCP-species-dilution-info": "", "IHCP-species-notes": "" }, "Orangutan": { "IHCP-species-checked": "predicted", "IHCP-species-dilution-info": "", "IHCP-species-notes": "" } } }

Properties and storage information

Form
Liquid
Purification technique
Affinity purification Immunogen
Storage buffer
pH: 7.4 Preservative: 0.1% Sodium azide Constituents: PBS
Shipped at conditions
Blue Ice
Appropriate short-term storage duration
1-2 weeks
Appropriate short-term storage conditions
+4°C
Appropriate long-term storage conditions
-20°C
Aliquoting information
Upon delivery aliquot
Storage information
Avoid freeze / thaw cycle

Supplementary information

This supplementary information is collated from multiple sources and compiled automatically.

The OLFM4 protein also known as Olfactomedin 4 or GW112 has a molecular weight of around 57 kDa. It is a glycoprotein expressed mainly in human and some non-human primate tissues including the prostate and gastrointestinal tract. OLFM4 is a secreted protein found in various cells including those of the bone marrow and esophagus. It plays a role in innate immunity and is a part of the olfactomedin family which is involved in cell adhesion and migration processes.
Biological function summary

OLFM4 functions in inhibiting bacterial growth by interfering with bacterial adhesion and survival. It is not part of a larger protein complex but interacts with cell surface proteins to exert its effects. OLFM4 acts in the regulation of cell differentiation and growth playing a significant part in maintaining the stem cell milieu in the intestine.

Pathways

OLFM4 participates in cellular defense mechanisms primarily against microbial pathogens by involving in the activation of immune response pathways. It is associated with pathways such as the NF-kB signaling and Janus kinase (JAK) pathways. Through these pathways OLFM4 might interact with cytokines and other inflammatory mediators or modulators.

OLFM4 relates to cancer particularly gastric and colorectal cancer where its expression levels serve as potential biomarkers for disease progression. Additionally it associates with inflammatory bowel diseases impacting the mucosal immune response. In cancer OLFM4's interaction with proteins like MMP isoforms (matrix metalloproteinases) can influence tumor metastasis and invasiveness.

Product protocols

For this product, it's our understanding that no specific protocols are required. You can visit:

Target data

May promote proliferation of pancreatic cancer cells by favoring the transition from the S to G2/M phase. In myeloid leukemic cell lines, inhibits cell growth and induces cell differentiation and apoptosis. May play a role in the inhibition of EIF4EBP1 phosphorylation/deactivation. Facilitates cell adhesion, most probably through interaction with cell surface lectins and cadherin.
See full target information OLFM4

Publications (2)

Recent publications for all applications. Explore the full list and refine your search

Inflammation 48:935-949 PubMed39014159

2024

Melatonin via MTNR1B regulates METTL3 to protect ileum cell differentiation.

Applications

Unspecified application

Species

Unspecified reactive species

Yuanyuan Li,Yan Sun,Yaoxing Chen,Yulan Dong

Oncotarget 8:66796-66814 PubMed28977997

2017

Expression of hypothalamic neurohormones and their receptors in the human eye.

Applications

Unspecified application

Species

Unspecified reactive species

Sander R Dubovy,Maria P Fernandez,Jose J Echegaray,Norman L Block,Noriyuki Unoki,Roberto Perez,Irving Vidaurre,Richard K Lee,Mehrdad Nadji,Andrew V Schally
View all publications

Product promise

We are committed to supporting your work with high-quality reagents, and we're here for you every step of the way. In the unlikely event that one of our products does not perform as expected, you're protected by our Product Promise.
For full details, please see our Terms & Conditions

Please note: All products are 'FOR RESEARCH USE ONLY. NOT FOR USE IN DIAGNOSTIC OR THERAPEUTIC PROCEDURES'.

For licensing inquiries, please contact partnerships@abcam.com