JavaScript is disabled in your browser. Please enable JavaScript to view this website.
AB325492

Anti-Olig1 antibody [EPR30098-92]

  • RabMAb
  • Recombinant
  • 20ul selling size
  • Advanced Validation
  • What is this?

Be the first to review this product! Submit a review

|

(0 Publication)

Rabbit Recombinant Monoclonal antibody. Suitable for IHC-P, ICC/IF, IHC-Fr, WB, mIHC and reacts with Transfected cell line - Mouse, Mouse, Rat samples.
22 Images
Immunocytochemistry/ Immunofluorescence - Anti-Olig1 antibody [EPR30098-92] (AB325492)
  • ICC/IF

Lab

Immunocytochemistry/ Immunofluorescence - Anti-Olig1 antibody [EPR30098-92] (AB325492)

Immunofluorescent analysis of 4% Paraformaldehyde-fixed, 0.1% TritonX-100 permeabilized mouse primary neural/glia cell cells labelling Olig1 with ab325492 at 1/200 (2.59 µg/ml) dilution, followed by ab150081 Goat Anti-Rabbit IgG H&L (Alexa Fluor® 488) preadsorbed antibody at 1/1000 dilution (Green).

Confocal image showing nuclear staining in mouse primary neural/glia cells (shown in green). The counterstain was observed in magenta. Nuclear DNA was labelled with DAPI (shown in blue). Image was taken with a confocal microscope (Leica-Microsystems, TCS SP8). Confocal scanning Z step was set as 0.3 µm followed by image processing with maximum Z projection.

Anti-O4 Mouse Monoclonal antibody-Oligodendrocyte Marker was used to counterstain tubulin at 1/200 dilution (Magenta). The Nuclear counterstain was DAPI (Blue).

-ve control 1 : ab325492 at 1 : 200 dilution, followed by ab150120 at 1 : 1000 dilution
-ve control 2 : Anti-O4 Mouse Monoclonal antibody-Oligodendrocyte Marker at 1 : 200 dilution, followed by ab150081 at 1 : 1000 dilution

Immunohistochemistry (Frozen sections) - Anti-Olig1 antibody [EPR30098-92] (AB325492)
  • IHC-Fr

Lab

Immunohistochemistry (Frozen sections) - Anti-Olig1 antibody [EPR30098-92] (AB325492)

Immunohistochemical analysis of 4% PFA-fixed, 0.2% Triton X-100 permeabilized frozen Rat cerebellum (fresh frozen) tissue labeling Olig1 with ab325492 at 1/50 (10.36 µg/ml) dilution followed by ab150081 Goat Anti-Rabbit IgG H&L (Alexa Fluor® 488) preadsorbed at 1/1000 2 µg/mL dilution (Green).

Panel A : merged staining of anti-OLIG1 (ab325492, green), anti-NeuN (ab190565, magenta) on rat cerebellum.
Panel B : anti-OLIG1 stained on rat cerebellum.
Panel C : anti-NeuN stained in neurons of rat cerebellum.

The section was incubated in two rounds of staining : in the order of ab325492 and ab190565, for 1 hr at room temperature. The nuclear counterstain was DAPI (Blue). The section was then mounted using Fluoromount®.The immunostaining was performed on a Leica Biosystems BOND® RX instrument. Image was taken with a confocal microscope (Leica-Microsystems, TCS SP8).

Immunohistochemistry (Formalin/PFA-fixed paraffin-embedded sections) - Anti-Olig1 antibody [EPR30098-92] (AB325492)
  • IHC-P

Lab

Immunohistochemistry (Formalin/PFA-fixed paraffin-embedded sections) - Anti-Olig1 antibody [EPR30098-92] (AB325492)

Immunohistochemical analysis of paraffin-embedded Mouse cerebellum tissue labeling Olig1 with ab325492 at 1/500 (1.036 µg/ml) dilution, followed by a ready to use LeicaDS9800 (Bond™ Polymer Refine Detection).

Positive staining on mouse cerebellum. The primary antibody was incubated for 30 mins at room temperature.

The immunostaining was performed on a Leica Biosystems BOND® RX instrument

Counterstained with Hematoxylin.

Secondary antibody only control : Secondary antibody is a ready to use LeicaDS9800 (Bond™ Polymer Refine Detection).

Heat mediated antigen retrieval was performed with Tris-EDTA buffer (pH 9.0, Epitope Retrieval Solution2) for 20 mins

Immunocytochemistry/ Immunofluorescence - Anti-Olig1 antibody [EPR30098-92] (AB325492)
  • ICC/IF

Lab

Immunocytochemistry/ Immunofluorescence - Anti-Olig1 antibody [EPR30098-92] (AB325492)

Immunofluorescent analysis of 4% Paraformaldehyde-fixed, 0.1% TritonX-100 permeabilized rat primary neural/glia cell cells labelling Olig1 with ab325492 at 1/200 (2.59 µg/ml) dilution, followed by ab150081 Goat Anti-Rabbit IgG H&L (Alexa Fluor® 488) preadsorbed antibody at 1/1000 dilution (Green).

Confocal image showing nuclear staining in rat primary neural/glia cells (shown in green). The counterstain was observed in magenta. Nuclear DNA was labelled with DAPI (shown in blue). Image was taken with a confocal microscope (Leica-Microsystems, TCS SP8). Confocal scanning Z step was set as 0.3 µm followed by image processing with maximum Z projection.

Anti-O4 Mouse Monoclonal antibody-Oligodendrocyte Marker was used to counterstain tubulin at 1/200 dilution (Magenta). The Nuclear counterstain was DAPI (Blue).

-ve control 1 : ab325492 at 1 : 200 dilution, followed by ab150120 at 1 : 1000 dilution
-ve control 2 : Anti-O4 Mouse Monoclonal antibody-Oligodendrocyte Marker at 1 : 200 dilution, followed by ab150081 at 1 : 1000 dilution

Immunohistochemistry (Formalin/PFA-fixed paraffin-embedded sections) - Anti-Olig1 antibody [EPR30098-92] (AB325492)
  • IHC-P

Lab

Immunohistochemistry (Formalin/PFA-fixed paraffin-embedded sections) - Anti-Olig1 antibody [EPR30098-92] (AB325492)

Immunohistochemical analysis of paraffin-embedded Rat cerebrum tissue labeling Olig1 with ab325492 at 1/500 (1.036 µg/ml) dilution, followed by a ready to use LeicaDS9800 (Bond™ Polymer Refine Detection).

Positive staining on rat cerebrum. The primary antibody was incubated for 30 mins at room temperature.

The immunostaining was performed on a Leica Biosystems BOND® RX instrument

Counterstained with Hematoxylin.

Secondary antibody only control : Secondary antibody is a ready to use LeicaDS9800 (Bond™ Polymer Refine Detection).

Heat mediated antigen retrieval was performed with Tris-EDTA buffer (pH 9.0, Epitope Retrieval Solution2) for 20 mins

Immunohistochemistry (Formalin/PFA-fixed paraffin-embedded sections) - Anti-Olig1 antibody [EPR30098-92] (AB325492)
  • IHC-P

Lab

Immunohistochemistry (Formalin/PFA-fixed paraffin-embedded sections) - Anti-Olig1 antibody [EPR30098-92] (AB325492)

Immunohistochemical analysis of paraffin-embedded Rat cerebellum tissue labeling Olig1 with ab325492 at 1/500 (1.036 µg/ml) dilution, followed by a ready to use LeicaDS9800 (Bond™ Polymer Refine Detection).

Positive staining on rat cerebellum. The primary antibody was incubated for 30 mins at room temperature.

The immunostaining was performed on a Leica Biosystems BOND® RX instrument

Counterstained with Hematoxylin.

Secondary antibody only control : Secondary antibody is a ready to use LeicaDS9800 (Bond™ Polymer Refine Detection).

Heat mediated antigen retrieval was performed with Tris-EDTA buffer (pH 9.0, Epitope Retrieval Solution2) for 20 mins

Immunohistochemistry (Formalin/PFA-fixed paraffin-embedded sections) - Anti-Olig1 antibody [EPR30098-92] (AB325492)
  • IHC-P

Lab

Immunohistochemistry (Formalin/PFA-fixed paraffin-embedded sections) - Anti-Olig1 antibody [EPR30098-92] (AB325492)

Immunohistochemical analysis of paraffin-embedded Mouse cerebrum tissue labeling Olig1 with ab325492 at 1/500 (1.036 µg/ml) dilution, followed by a ready to use LeicaDS9800 (Bond™ Polymer Refine Detection).

Positive staining on mouse cerebrum. The primary antibody was incubated for 30 mins at room temperature.

The immunostaining was performed on a Leica Biosystems BOND® RX instrument

Counterstained with Hematoxylin.

Secondary antibody only control : Secondary antibody is a ready to use LeicaDS9800 (Bond™ Polymer Refine Detection).

Heat mediated antigen retrieval was performed with Tris-EDTA buffer (pH 9.0, Epitope Retrieval Solution2) for 20 mins

Immunohistochemistry (Frozen sections) - Anti-Olig1 antibody [EPR30098-92] (AB325492)
  • IHC-Fr

Lab

Immunohistochemistry (Frozen sections) - Anti-Olig1 antibody [EPR30098-92] (AB325492)

Immunohistochemical analysis of 4% PFA-fixed, 0.2% Triton X-100 permeabilized frozen Mouse cerebellum (fresh frozen) tissue labeling Olig1 with ab325492 at 1/50 (10.36 µg/ml) dilution followed by ab150081 Goat Anti-Rabbit IgG H&L (Alexa Fluor® 488) preadsorbed at 1/1000 2 µg/mL dilution (Green).

Panel A : merged staining of anti-OLIG1 (ab325492, green), anti-NeuN (ab190565, magenta) on mouse cerebellum.
Panel B : anti-OLIG1 stained on mouse cerebellum.
Panel C : anti-NeuN stained in neurons of mouse cerebellum.

The section was incubated in two rounds of staining : in the order of ab325492 and ab190565, for 1 hr at room temperature. The nuclear counterstain was DAPI (Blue). The section was then mounted using Fluoromount®.The immunostaining was performed on a Leica Biosystems BOND® RX instrument. Image was taken with a confocal microscope (Leica-Microsystems, TCS SP8).

Multiplex immunohistochemistry - Anti-Olig1 antibody [EPR30098-92] (AB325492)
  • mIHC

Lab

Multiplex immunohistochemistry - Anti-Olig1 antibody [EPR30098-92] (AB325492)

Multiplex immunohistochemistry analysis of formalin/PFA-fixed paraffin-embedded mouse cerebrum tissue staining Olig1 with ab325492 at a 1 : 500 (1.036 µg/ml) dilution, ab68428 anti-GFAP used at 1 : 500 (0.104 µg/ml) dilution and ab300140 anti-P2Y12 used at a 1 : 40000 (0.013 µg/ml) dilution.

Panel A : anti-Olig1 (green; Opal™520), anti-GFAP (magenta; Opal™690) and anti-P2Y12 (yellow; Opal™570) on mouse cerebrum.
Panel B : anti-Olig1 staining oligodendrocytes in mouse cerebrum.
Panel C : anti-GFAP staining astrocytes in mouse cerebrum.
Panel D : anti-P2Y12 staining microglia in mouse cerebrum.
Nuclear DNA was labeled with DAPI (shown in blue).

The section was incubated in three rounds of staining : in the order of ab325492, ab68428 and ab300140 for 30 mins at room temperature. Each round was followed by a separate fluorescent tyramide signal amplification system.

The immunostaining was performed on a Leica Biosystems BOND® RX instrument with an Opal™ 4-color kit. Image acquisition was performed with Leica SP8 confocal microscope.

Nuclear counter stain with DAPI.

Heat mediated antigen retrieval was performed with Tris-EDTA buffer (pH 9.0, Epitope Retrieval Solution2) for 20 mins.

Multiplex immunohistochemistry - Anti-Olig1 antibody [EPR30098-92] (AB325492)
  • mIHC

Lab

Multiplex immunohistochemistry - Anti-Olig1 antibody [EPR30098-92] (AB325492)

Multiplex immunohistochemistry analysis of formalin/PFA-fixed paraffin-embedded rat cerebellum tissue staining Olig1 with ab325492 at a 1 : 500 (1.036 µg/ml) dilution, ab68428 anti-GFAP used at 1 : 500 (0.104 µg/ml) dilution and ab300140 anti-P2Y12 used at a 1 : 40000 (0.013 µg/ml) dilution.

Panel A : anti-Olig1 (green; Opal™520), anti-GFAP (magenta; Opal™690) and anti-P2Y12 (yellow; Opal™570) on rat cerebellum.
Panel B : anti-Olig1 staining oligodendrocytes in rat cerebellum.
Panel C : anti-GFAP staining astrocytes in rat cerebellum.
Panel D : anti-P2Y12 staining microglia in rat cerebellum.
Nuclear DNA was labeled with DAPI (shown in blue).

The section was incubated in three rounds of staining : in the order of ab325492, ab68428 and ab300140 for 30 mins at room temperature. Each round was followed by a separate fluorescent tyramide signal amplification system.

The immunostaining was performed on a Leica Biosystems BOND® RX instrument with an Opal™ 4-color kit. Image acquisition was performed with Leica SP8 confocal microscope.

Nuclear counter stain with DAPI.

Heat mediated antigen retrieval was performed with Tris-EDTA buffer (pH 9.0, Epitope Retrieval Solution2) for 20 mins.

Multiplex immunohistochemistry - Anti-Olig1 antibody [EPR30098-92] (AB325492)
  • mIHC

Lab

Multiplex immunohistochemistry - Anti-Olig1 antibody [EPR30098-92] (AB325492)

Multiplex immunohistochemistry analysis of formalin/PFA-fixed paraffin-embedded mouse cerebellum tissue staining Olig1 with ab325492 at a 1 : 500 (1.036 µg/ml) dilution, ab68428 anti-GFAP used at 1 : 500 (0.104 µg/ml) dilution and ab300140 anti-P2Y12 used at a 1 : 40000 (0.013 µg/ml) dilution.

Panel A : anti-Olig1 (green; Opal™520), anti-GFAP (magenta; Opal™690) and anti-P2Y12 (yellow; Opal™570) on mouse cerebellum.
Panel B : anti-Olig1 staining oligodendrocytes in mouse cerebellum.
Panel C : anti-GFAP staining astrocytes in mouse cerebellum.
Panel D : anti-P2Y12 staining microglia in mouse cerebellum.
Nuclear DNA was labeled with DAPI (shown in blue).

The section was incubated in three rounds of staining : in the order of ab325492, ab68428 and ab300140 for 30 mins at room temperature. Each round was followed by a separate fluorescent tyramide signal amplification system.

The immunostaining was performed on a Leica Biosystems BOND® RX instrument with an Opal™ 4-color kit. Image acquisition was performed with Leica SP8 confocal microscope.

Nuclear counter stain with DAPI.

Heat mediated antigen retrieval was performed with Tris-EDTA buffer (pH 9.0, Epitope Retrieval Solution2) for 20 mins.

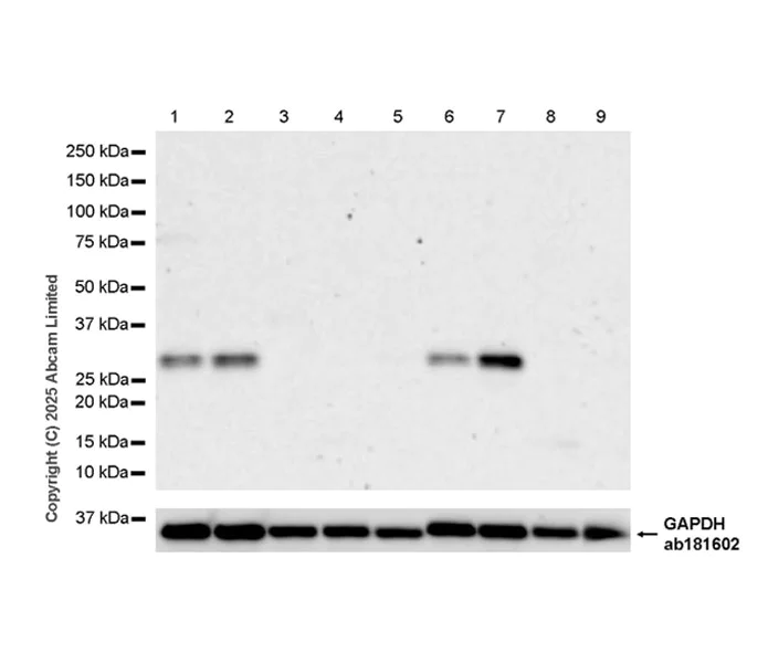
Western blot - Anti-Olig1 antibody [EPR30098-92] (AB325492)
  • WB

Lab

Western blot - Anti-Olig1 antibody [EPR30098-92] (AB325492)

Blocking and diluting buffer and concentration : 5% NFDM/TBST.

Negative control : liver, spleen, kidney (PMID : 11091082).

In Western blot, Anti-GAPDH antibody [EPR16891] - Loading Control (ab181602) (1 : 200000) (36KDa).

All lanes:

Western blot - Anti-Olig1 antibody [EPR30098-92] (ab325492) at 1/1000 dilution

Lane 1:

Mouse cerebral cortex tissue lysate at 30 µg

Lane 2:

Mouse brain tissue lysate at 30 µg

Lane 3:

Mouse liver tissue lysate at 30 µg

Lane 4:

Mouse spleen tissue lysate at 30 µg

Lane 5:

Mouse kidney tissue lysate at 30 µg

Lane 6:

Rat cerebral cortex tissue lysate at 30 µg

Lane 7:

Rat brain tissue lysate at 30 µg

Lane 8:

Rat spleen tissue lysate at 30 µg

Lane 9:

Rat liver tissue lysate at 30 µg

Secondary

All lanes:

Western blot - Goat Anti-Rabbit IgG H&L (HRP) (<a href='/en-us/products/secondary-antibodies/goat-rabbit-igg-h-l-hrp-ab97051'>ab97051</a>) at 1/20000 dilution

Observed band size: 27 kDa,36 kDa

false

Exposure time: 180s

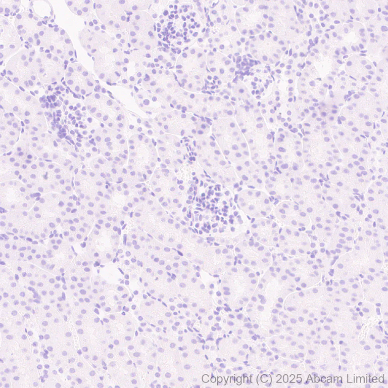
Immunohistochemistry (Formalin/PFA-fixed paraffin-embedded sections) - Anti-Olig1 antibody [EPR30098-92] (AB325492)
  • IHC-P

Lab

Immunohistochemistry (Formalin/PFA-fixed paraffin-embedded sections) - Anti-Olig1 antibody [EPR30098-92] (AB325492)

Immunohistochemical analysis of paraffin-embedded Rat kidney tissue labeling Olig1 with ab325492 at 1/500 (1.036 µg/ml) dilution, followed by a ready to use LeicaDS9800 (Bond™ Polymer Refine Detection).

Negative control : no staining on rat kidney (PMID : 10719888). The primary antibody was incubated for 30 mins at room temperature.

The immunostaining was performed on a Leica Biosystems BOND® RX instrument

Counterstained with Hematoxylin.

Heat mediated antigen retrieval was performed with Tris-EDTA buffer (pH 9.0, Epitope Retrieval Solution2) for 20 mins

Immunocytochemistry/ Immunofluorescence - Anti-Olig1 antibody [EPR30098-92] (AB325492)
  • ICC/IF

Lab

Immunocytochemistry/ Immunofluorescence - Anti-Olig1 antibody [EPR30098-92] (AB325492)

Immunofluorescent analysis of 4% Paraformaldehyde-fixed, 0.1% TritonX-100 permeabilized rat splenocyte cells labelling Olig1 with ab325492 at 1/200 (2.59 µg/ml) dilution, followed by ab150081 Goat Anti-Rabbit IgG H&L (Alexa Fluor® 488) preadsorbed antibody at 1/1000 dilution (Green).

Low expression : Confocal image showing no staining in rat splenocytes (shown in green). The counterstain was observed in magenta. Nuclear DNA was labelled with DAPI (shown in blue). Image was taken with a confocal microscope (Leica-Microsystems, TCS SP8).

ab7291 Anti-alpha Tubulin mouse monoclonal antibody was used to counterstain tubulin at 1/1000 dilution (Magenta). The Nuclear counterstain was DAPI (Blue).

-ve control 1 : ab325492 at 1 : 200 dilution, followed by ab150120 at 1 : 1000 dilution
-ve control 2 : ab7291 at 1 : 1000 dilution, followed by ab150081 at 1 : 1000 dilution

Immunohistochemistry (Formalin/PFA-fixed paraffin-embedded sections) - Anti-Olig1 antibody [EPR30098-92] (AB325492)
  • IHC-P

Lab

Immunohistochemistry (Formalin/PFA-fixed paraffin-embedded sections) - Anti-Olig1 antibody [EPR30098-92] (AB325492)

Immunohistochemical analysis of paraffin-embedded Mouse liver tissue labeling Olig1 with ab325492 at 1/500 (1.036 µg/ml) dilution, followed by a ready to use LeicaDS9800 (Bond™ Polymer Refine Detection).

Negative control : no staining on mouse liver (PMID : 11091082). The primary antibody was incubated for 30 mins at room temperature.

The immunostaining was performed on a Leica Biosystems BOND® RX instrument

Counterstained with Hematoxylin.

Heat mediated antigen retrieval was performed with Tris-EDTA buffer (pH 9.0, Epitope Retrieval Solution2) for 20 mins

Immunohistochemistry (Formalin/PFA-fixed paraffin-embedded sections) - Anti-Olig1 antibody [EPR30098-92] (AB325492)
  • IHC-P

Lab

Immunohistochemistry (Formalin/PFA-fixed paraffin-embedded sections) - Anti-Olig1 antibody [EPR30098-92] (AB325492)

Immunohistochemical analysis of paraffin-embedded Rat liver tissue labeling Olig1 with ab325492 at 1/500 (1.036 µg/ml) dilution, followed by a ready to use LeicaDS9800 (Bond™ Polymer Refine Detection).

Negative control : no staining on rat liver (PMID : 10719888). The primary antibody was incubated for 30 mins at room temperature.

The immunostaining was performed on a Leica Biosystems BOND® RX instrument

Counterstained with Hematoxylin.

Heat mediated antigen retrieval was performed with Tris-EDTA buffer (pH 9.0, Epitope Retrieval Solution2) for 20 mins

Immunocytochemistry/ Immunofluorescence - Anti-Olig1 antibody [EPR30098-92] (AB325492)
  • ICC/IF

Lab

Immunocytochemistry/ Immunofluorescence - Anti-Olig1 antibody [EPR30098-92] (AB325492)

Immunofluorescent analysis of 4% Paraformaldehyde-fixed, 0.1% TritonX-100 permeabilized mouse splenocyte cells labelling Olig1 with ab325492 at 1/200 (2.59 µg/ml) dilution, followed by ab150081 Goat Anti-Rabbit IgG H&L (Alexa Fluor® 488) preadsorbed antibody at 1/1000 dilution (Green).

Low expression : Confocal image showing no staining in mouse splenocytes(shown in green). The counterstain was observed in magenta. Nuclear DNA was labelled with DAPI (shown in blue). Image was taken with a confocal microscope (Leica-Microsystems, TCS SP8).

ab7291 Anti-alpha Tubulin mouse monoclonal antibody was used to counterstain tubulin at 1/1000 dilution (Magenta). The Nuclear counterstain was DAPI (Blue).

-ve control 1 : ab325492 at 1 : 200 dilution, followed by ab150120 at 1 : 1000 dilution
-ve control 2 : ab7291 at 1 : 1000 dilution, followed by ab150081 at 1 : 1000 dilution

Immunohistochemistry (Formalin/PFA-fixed paraffin-embedded sections) - Anti-Olig1 antibody [EPR30098-92] (AB325492)
  • IHC-P

Lab

Immunohistochemistry (Formalin/PFA-fixed paraffin-embedded sections) - Anti-Olig1 antibody [EPR30098-92] (AB325492)

Immunohistochemical analysis of paraffin-embedded (A) HEK-293T (human embryonic kidney epithelial cell) transfected with a mouse Olig1 expression vector containing a His tag (B) HEK-293T transfected with a mouse Olig2 expression vector containing a His tag (C) HEK-293T transfected with a mouse Olig3 expression vector containing a His tag (D) HEK-293T transfected with empty vector containing a His tag tissue labeling Olig1 with ab325492 at 1/5000 (0.104 µg/ml) dilution, followed by a ready to use LeicaDS9800 (Bond™ Polymer Refine Detection).

Positive staining on (A) HEK-293T transfected with a Mouse Olig1 expression vector containing a His tag, no staining on (B) HEK-293T transfected with a Mouse Olig2 expression vector containing a His tag, (C) HEK-293T transfected with a Mouse Olig3 expression vector containing a His tag and (D) HEK-293T transfected with empty vector containing a His tag. The primary antibody was incubated for 30 mins at room temperature.

The immunostaining was performed on a Leica Biosystems BOND® RX instrument. Slides were incubated with 3% Hydrogen Peroxide for 10 mins at room temperature after secondary antibody incubation to reduce the background

Counterstained with Hematoxylin.

Secondary antibody only control : Secondary antibody is a ready to use LeicaDS9800 (Bond™ Polymer Refine Detection).

Heat mediated antigen retrieval was performed with Tris-EDTA buffer (pH 9.0, Epitope Retrieval Solution2) for 20 mins

Immunocytochemistry/ Immunofluorescence - Anti-Olig1 antibody [EPR30098-92] (AB325492)
  • ICC/IF

Lab

Immunocytochemistry/ Immunofluorescence - Anti-Olig1 antibody [EPR30098-92] (AB325492)

Immunofluorescent analysis of 4% Paraformaldehyde-fixed, 0.1% TritonX-100 permeabilized HEK-293T(human embryonic kidney epithelial cell)cells transfected with a mouse Olig1 expression vector containing a myc-His-tag® labelling Olig1 with ab325492 at 1/200 (2.59 µg/ml) dilution, followed by ab150081 Goat Anti-Rabbit IgG H&L (Alexa Fluor® 488) preadsorbed antibody at 1/1000 dilution (Green).

Confocal image showing positive staining in 293T cells (shown in green) transfected a mouse Olig1 expression vector containing a myc-His-tag®, showing no staining in 293T cells transfected a mouse Olig2/3 expression vector containing a myc-His-tag®. The counterstain was observed in magenta. Nuclear DNA was labelled with DAPI (shown in blue). Image was taken with a confocal microscope (Leica-Microsystems, TCS SP8).
Panel A : HEK-293T cells transfected with an empty expression vector containing a myc-His-tag®;
Panel B : HEK-293T cells transfected with a mouse Olig1 expression vector containing a myc-His-tag®;
Panel C : HEK-293T cells transfected with a mouse Olig2 expression vector containing a myc-His-tag®;
Panel D : HEK-293T cells transfected with a mouse Olig3 expression vector containing a myc-His-tag®

ab223894 Anti-Myc tag mouse monoclonal antibody (Alexa Fluor® 594) was used to counterstain tubulin at 1/100 dilution (Magenta). The Nuclear counterstain was DAPI (Blue).

Immunohistochemistry (Frozen sections) - Anti-Olig1 antibody [EPR30098-92] (AB325492)
  • IHC-Fr

Lab

Immunohistochemistry (Frozen sections) - Anti-Olig1 antibody [EPR30098-92] (AB325492)

Immunohistochemical analysis of 4% PFA-fixed, 0.2% Triton X-100 permeabilized frozen Mouse liver (fresh frozen) tissue labeling Olig1 with ab325492 at 1/50 (10.36 µg/ml) dilution followed by ab150081 Goat Anti-Rabbit IgG H&L (Alexa Fluor® 488) preadsorbed at 1/1000 2 µg/mL dilution (Green).

Negative control : confocal image showing no staining on mouse liver. The nuclear counterstain was DAPI (Blue). The section was incubated with ab325492 for 60 mins at room temperature. The section was then mounted using Fluoromount®.The immunostaining was performed on a Leica Biosystems BOND® RX instrument. Image was taken with a confocal microscope (Leica-Microsystems, TCS SP8).

Secondary antibody control : Secondary antibody is ab150081 Goat Anti-Rabbit IgG H&L (Alexa Fluor® 488) preadsorbed at 1/1000 2 µg/mL dilution.

Immunohistochemistry (Frozen sections) - Anti-Olig1 antibody [EPR30098-92] (AB325492)
  • IHC-Fr

Lab

Immunohistochemistry (Frozen sections) - Anti-Olig1 antibody [EPR30098-92] (AB325492)

Immunohistochemical analysis of 4% PFA-fixed, 0.2% Triton X-100 permeabilized frozen Rat liver (fresh frozen) tissue labeling Olig1 with ab325492 at 1/50 (10.36 µg/ml) dilution followed by ab150081 Goat Anti-Rabbit IgG H&L (Alexa Fluor® 488) preadsorbed at 1/1000 2 µg/mL dilution (Green).

Negative control : confocal image showing no staining on rat liver. The nuclear counterstain was DAPI (Blue). The section was incubated with ab325492 for 60 mins at room temperature. The section was then mounted using Fluoromount®.The immunostaining was performed on a Leica Biosystems BOND® RX instrument. Image was taken with a confocal microscope (Leica-Microsystems, TCS SP8).

Secondary antibody control : Secondary antibody is ab150081 Goat Anti-Rabbit IgG H&L (Alexa Fluor® 488) preadsorbed at 1/1000 2 µg/mL dilution.

Immunohistochemistry (Formalin/PFA-fixed paraffin-embedded sections) - Anti-Olig1 antibody [EPR30098-92] (AB325492)
  • IHC-P

Lab

Immunohistochemistry (Formalin/PFA-fixed paraffin-embedded sections) - Anti-Olig1 antibody [EPR30098-92] (AB325492)

Immunohistochemical analysis of paraffin-embedded Mouse kidney tissue labeling Olig1 with ab325492 at 1/500 (1.036 µg/ml) dilution, followed by a ready to use LeicaDS9800 (Bond™ Polymer Refine Detection).

Negative control : no staining on mouse kidney (PMID : 11091082). The primary antibody was incubated for 30 mins at room temperature.

The immunostaining was performed on a Leica Biosystems BOND® RX instrument

Counterstained with Hematoxylin.

Heat mediated antigen retrieval was performed with Tris-EDTA buffer (pH 9.0, Epitope Retrieval Solution2) for 20 mins

Key facts

Host species

Rabbit

Clonality

Monoclonal

Clone number

EPR30098-92

Isotype

IgG

Carrier free

No

Reacts with

Mouse, Rat

Applications

WB, mIHC, IHC-Fr, IHC-P, ICC/IF

applications

Immunogen

The exact immunogen used to generate this antibody is proprietary information.

Reactivity data

{ "title": "Reactivity Data", "filters": { "stats": ["", "Species", "Dilution Info", "Notes"], "tabs": { "all-applications": {"fullname" : "All Applications", "shortname": "All Applications"}, "IHCP" : {"fullname" : "Immunohistochemistry (Formalin/PFA-fixed paraffin-embedded sections)", "shortname":"IHC-P"}, "ICCIF" : {"fullname" : "Immunocytochemistry/ Immunofluorescence", "shortname":"ICC/IF"}, "IHCFr" : {"fullname" : "Immunohistochemistry (Frozen sections)", "shortname":"IHC-Fr"}, "WB" : {"fullname" : "Western blot", "shortname":"WB"}, "mIHC" : {"fullname" : "Multiplex immunohistochemistry", "shortname":"mIHC"} }, "product-promise": { "all": "all", "testedAndGuaranteed": "tested", "guaranteed": "expected", "predicted": "predicted", "notRecommended": "not-recommended" } }, "values": { "Human": { "IHCP-species-checked": "notRecommended", "IHCP-species-dilution-info": "", "IHCP-species-notes": "<p></p>", "ICCIF-species-checked": "notRecommended", "ICCIF-species-dilution-info": "", "ICCIF-species-notes": "<p></p>", "IHCFr-species-checked": "notRecommended", "IHCFr-species-dilution-info": "", "IHCFr-species-notes": "", "WB-species-checked": "notRecommended", "WB-species-dilution-info": "", "WB-species-notes": "<p></p>", "mIHC-species-checked": "notRecommended", "mIHC-species-dilution-info": "", "mIHC-species-notes": "" }, "Mouse": { "IHCP-species-checked": "testedAndGuaranteed", "IHCP-species-dilution-info": "1/500", "IHCP-species-notes": "<p></p> Perform heat-mediated antigen retrieval with Tris/EDTA buffer pH 9.0 before commencing with IHC staining protocol.", "ICCIF-species-checked": "testedAndGuaranteed", "ICCIF-species-dilution-info": "1/200", "ICCIF-species-notes": "<p></p>", "IHCFr-species-checked": "testedAndGuaranteed", "IHCFr-species-dilution-info": "1/50", "IHCFr-species-notes": "<p></p>", "WB-species-checked": "testedAndGuaranteed", "WB-species-dilution-info": "1/1000", "WB-species-notes": "<p></p>", "mIHC-species-checked": "testedAndGuaranteed", "mIHC-species-dilution-info": "1/500", "mIHC-species-notes": "<p></p> Perform heat-mediated antigen retrieval with Tris/EDTA buffer pH 9.0 before commencing with IHC staining protocol." }, "Rat": { "IHCP-species-checked": "testedAndGuaranteed", "IHCP-species-dilution-info": "1/500", "IHCP-species-notes": "<p></p> Perform heat-mediated antigen retrieval with Tris/EDTA buffer pH 9.0 before commencing with IHC staining protocol.", "ICCIF-species-checked": "testedAndGuaranteed", "ICCIF-species-dilution-info": "1/200", "ICCIF-species-notes": "<p></p>", "IHCFr-species-checked": "testedAndGuaranteed", "IHCFr-species-dilution-info": "1/50", "IHCFr-species-notes": "<p></p>", "WB-species-checked": "testedAndGuaranteed", "WB-species-dilution-info": "1/1000", "WB-species-notes": "<p></p>", "mIHC-species-checked": "testedAndGuaranteed", "mIHC-species-dilution-info": "1/500", "mIHC-species-notes": "<p></p> Perform heat-mediated antigen retrieval with Tris/EDTA buffer pH 9.0 before commencing with IHC staining protocol." }, "Transfected cell line - Mouse": { "IHCP-species-checked": "testedAndGuaranteed", "IHCP-species-dilution-info": "1/5000", "IHCP-species-notes": "<p></p> Perform heat-mediated antigen retrieval with Tris/EDTA buffer pH 9.0 before commencing with IHC staining protocol.", "ICCIF-species-checked": "testedAndGuaranteed", "ICCIF-species-dilution-info": "1/200", "ICCIF-species-notes": "<p></p>", "IHCFr-species-checked": "notRecommended", "IHCFr-species-dilution-info": "", "IHCFr-species-notes": "", "WB-species-checked": "notRecommended", "WB-species-dilution-info": "", "WB-species-notes": "", "mIHC-species-checked": "notRecommended", "mIHC-species-dilution-info": "", "mIHC-species-notes": "" } } }

Product details

Patented technology
Our RabMAb® technology is a patented hybridoma-based technology for making rabbit monoclonal antibodies. For details on our patents, please refer to RabMAb® patents.

What are the advantages of a recombinant monoclonal antibody?
This product is a recombinant monoclonal antibody, which offers several advantages including:

  • - High batch-to-batch consistency and reproducibility
  • - Improved sensitivity and specificity
  • - Long-term security of supply
  • - Animal-free batch production

For more information, read more on recombinant antibodies.

Properties and storage information

Form
Liquid
Purification technique
Affinity purification Protein A
Storage buffer
pH: 7.2 - 7.4 Preservative: 0.01% Sodium azide Constituents: PBS, 40% Glycerol (glycerin, glycerine), 0.05% BSA
Shipped at conditions
Blue Ice
Appropriate short-term storage duration
1-2 weeks
Appropriate short-term storage conditions
+4°C
Appropriate long-term storage conditions
-20°C
Aliquoting information
Upon delivery aliquot
Storage information
Avoid freeze / thaw cycle

Product protocols

For this product, it's our understanding that no specific protocols are required. You can visit:

Target data

Promotes formation and maturation of oligodendrocytes, especially within the brain. Cooperates with OLIG2 to establish the pMN domain of the embryonic neural tube.

Product promise

We are committed to supporting your work with high-quality reagents, and we're here for you every step of the way. In the unlikely event that one of our products does not perform as expected, you're protected by our Product Promise.
For full details, please see our Terms & Conditions

Please note: All products are 'FOR RESEARCH USE ONLY. NOT FOR USE IN DIAGNOSTIC OR THERAPEUTIC PROCEDURES'.

For licensing inquiries, please contact partnerships@abcam.com