JavaScript is disabled in your browser. Please enable JavaScript to view this website.
AB308009

Anti Olig1 Antibody [RP 23040252]

Be the first to review this product! Submit a review

|

(0 Publication)

Rabbit Recombinant Multiclonal OLIG1 antibody. Suitable for WB and reacts with Human, Mouse, Rat samples. Immunogen corresponding to Synthetic Peptide within Human OLIG1.

View Alternative Names

BHLHB6, BHLHE21, OLIG1, Oligodendrocyte transcription factor 1, Oligo1, Class B basic helix-loop-helix protein 6, Class E basic helix-loop-helix protein 21, bHLHb6, bHLHe21

1 Images
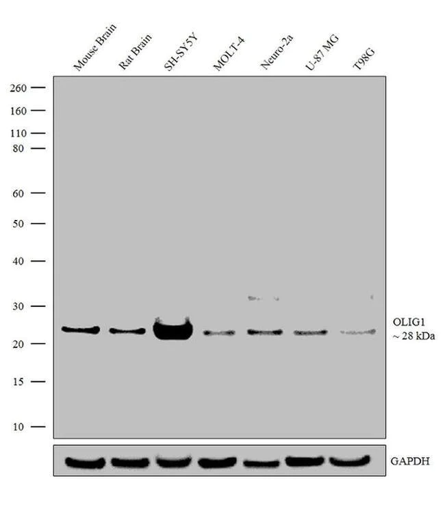
Western blot - Anti Olig1 Antibody [RP 23040252] (AB308009)
  • WB

Supplier Data

Western blot - Anti Olig1 Antibody [RP 23040252] (AB308009)

Western blot analysis was performed on tissue extracts (30 µg lysate) of Mouse Brain (Lane 1), Rat Brain (Lane 2) and modified whole cell extracts (1% SDS) of SH-SY5Y (Lane 3), MOLT-4 (Lane 4), Neuro-2a (Lane 5), U-87 MG (Lane 6) and T98G (Lane 7). The blot was probed with ab308009 at 1 : 500 dilution and detected by chemiluminescence using a Goat anti-Rabbit IgG (H+L) Secondary Antibody, HRP conjugate at 1 : 4000 dilution. An ~28 kDa band corresponding to OLIG1 was observed across the cell lines tested.

All lanes:

Western blot - Anti Olig1 Antibody [RP 23040252] (ab308009) at 1/500 dilution

Lane 1:

Mouse brain tissue lysate at 30 µg

Lane 2:

Rat brain tissue lysate at 30 µg

Lane 3:

SH-SY5Y whole cell lysate at 30 µg

Lane 4:

MOLT-4 whole cell lysate at 30 µg

Lane 5:

Neuro-2a whole cell lysate at 30 µg

Lane 6:

U-87 MG whole cell lysate at 30 µg

Lane 7:

T98G whole cell lysate at 30 µg

Secondary

All lanes:

HRP-conjugated Goat anti-Rabbit IgG (H+L) Secondary Antibody at 1/4000 dilution

Observed band size: 28 kDa

true

Key facts

Host species

Rabbit

Clonality

Multiclonal

Clone number

RP 23040252

Isotype

IgG

Carrier free

No

Reacts with

Human, Mouse, Rat

Applications

WB

applications

Immunogen

Synthetic Peptide within Human OLIG1. Database link Q8TAK6

Reactivity data

{ "title": "Reactivity Data", "filters": { "stats": ["", "Species", "Dilution Info", "Notes"], "tabs": { "all-applications": {"fullname" : "All Applications", "shortname": "All Applications"}, "WB" : {"fullname" : "Western blot", "shortname":"WB"} }, "product-promise": { "all": "all", "testedAndGuaranteed": "tested", "guaranteed": "expected", "predicted": "predicted", "notRecommended": "not-recommended" } }, "values": { "Human": { "WB-species-checked": "testedAndGuaranteed", "WB-species-dilution-info": "1/500", "WB-species-notes": "<p></p>" }, "Mouse": { "WB-species-checked": "testedAndGuaranteed", "WB-species-dilution-info": "1/500", "WB-species-notes": "<p></p>" }, "Rat": { "WB-species-checked": "testedAndGuaranteed", "WB-species-dilution-info": "1/500", "WB-species-notes": "<p></p>" } } }

Product details

What are recombinant multiclonals?
Recombinant multiclonals are a mixture of recombinant antibodies co-expressed from a library of heavy and light chains. They offer several advantages including:

  • - The sensitivity of polyclonal antibodies by recognising multiple epitopes
  • - High batch-to-batch consistency and reproducibility
  • - Improved sensitivity and specificity
  • - Long-term security of supply
  • - Animal-free batch production

View our range of recombinant multiclonal antibodies.

Properties and storage information

Form
Liquid
Storage buffer
pH: 7.4 Preservative: 0.09% Sodium azide Constituents: 99.91% PBS
Shipped at conditions
Blue Ice
Appropriate short-term storage duration
1-2 weeks
Appropriate short-term storage conditions
+4°C
Appropriate long-term storage conditions
-20°C
Aliquoting information
Upon delivery aliquot
Storage information
Avoid freeze / thaw cycle

Supplementary information

This supplementary information is collated from multiple sources and compiled automatically.

Olig1 also known as oligodendrocyte lineage transcription factor 1 is a protein involved in the development and function of oligodendrocytes cells that form the myelin sheath in the central nervous system. It weighs approximately 30 kDa and is expressed primarily in the brain and spinal cord. The protein plays a fundamental role in the maturation process of oligodendrocyte progenitor cells by regulating the transcription of genes necessary for myelination.
Biological function summary

Olig1 is important in the differentiation of progenitor cells into mature oligodendrocytes. It interacts with other proteins like Olig2 often forming heterodimer complexes that enhance transcriptional regulation. Olig1's regulatory actions influence cellular processes pivotal for maintaining neural integrity and function aiding in the production of myelin which is essential for fast and efficient nerve signal transmission in the central nervous system.

Pathways

Olig1 contributes significantly to the oligodendrocyte differentiation and development pathway as well as the myelination process. It works closely with Olig2 with both proteins being regulated within the Sonic Hedgehog signaling pathway. This pathway is vital for neural cell fate determination and contributes to the development of the nervous system ensuring proper function and communication within central nervous system.

Olig1 plays a role in multiple sclerosis and leukodystrophies where myelination is impaired. Abnormal regulation or expression of Olig1 can lead to demyelination a characteristic feature of these diseases. It is also associated with Olig2 which is similarly implicated in these neurological disorders. Understanding Olig1's involvement opens potential targets for therapeutic approaches in treating diseases affecting myelin and oligodendrocyte function.

Product protocols

For this product, it's our understanding that no specific protocols are required. You can visit:

Target data

Promotes formation and maturation of oligodendrocytes, especially within the brain. Cooperates with OLIG2 to establish the pMN domain of the embryonic neural tube (By similarity).
See full target information OLIG1

Product promise

We are committed to supporting your work with high-quality reagents, and we're here for you every step of the way. In the unlikely event that one of our products does not perform as expected, you're protected by our Product Promise.
For full details, please see our Terms & Conditions

Please note: All products are 'FOR RESEARCH USE ONLY. NOT FOR USE IN DIAGNOSTIC OR THERAPEUTIC PROCEDURES'.

For licensing inquiries, please contact partnerships@abcam.com