JavaScript is disabled in your browser. Please enable JavaScript to view this website.
AB109186

Anti-Olig2 antibody [EPR2673] - Oligodendrocyte Marker

  • BOND RX™ Validated
  • 20ul selling size
  • Recombinant
  • RabMAb
  • What is this?

5

(22 Reviews)

|

(182 Publications)

Anti-Olig2 antibody [EPR2673] (ab109186) is a rabbit monoclonal antibody detecting Olig2 in Western Blot, IHC-P, ICC/IF. Suitable for Human, Mouse, Rat.

- Biophysical QC for unrivalled batch-batch consistency
- Over 160 publications

View Alternative Names

BHLHB1, BHLHE19, PRKCBP2, RACK17, OLIG2, Oligodendrocyte transcription factor 2, Oligo2, Class B basic helix-loop-helix protein 1, Class E basic helix-loop-helix protein 19, Protein kinase C-binding protein 2, Protein kinase C-binding protein RACK17, bHLHb1, bHLHe19

18 Images
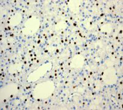
Immunohistochemistry (Formalin/PFA-fixed paraffin-embedded sections) - Anti-Olig2 antibody [EPR2673] - Oligodendrocyte Marker (AB109186)
  • IHC-P

Lab

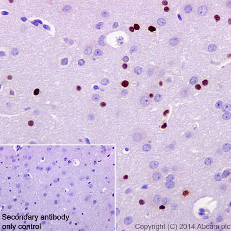
Immunohistochemistry (Formalin/PFA-fixed paraffin-embedded sections) - Anti-Olig2 antibody [EPR2673] - Oligodendrocyte Marker (AB109186)

Immunohistochemical analysis of formalin fixed paraffin embedded human brain (cerebrum) labelling Olig2 with ab109186 at a concentration of 0.96 µg/ml. The immunostaining was performed on a Leica Biosystems BOND® RX instrument with a Bond™ Polymer Refine Detection kit. Heat mediated antigen retrieval was performed with Tris-EDTA buffer (pH 9.0, Epitope Retrieval Solution 2) for 20 mins. ab109186 Anti-Olig2 antibody [EPR2673] was incubated for 30 mins at room temperature. Sections were counterstained with Hematoxylin. Image inset shows absence of staining in secondary antibody only control.

Immunohistochemistry (Formalin/PFA-fixed paraffin-embedded sections) - Anti-Olig2 antibody [EPR2673] - Oligodendrocyte Marker (AB109186)
  • IHC-P

Lab

Immunohistochemistry (Formalin/PFA-fixed paraffin-embedded sections) - Anti-Olig2 antibody [EPR2673] - Oligodendrocyte Marker (AB109186)

Immunohistochemical analysis of formalin fixed paraffin embedded human brain (cerebrum) labelling Olig2 with ab109186 at a concentration of 0.96 µg/ml. The immunostaining was performed on a Ventana DISCOVERY ULTRA (Roche Tissue Diagnostics) instrument with an OptiView DAB IHC Detection Kit. Heat mediated antigen retrieval was conducted for 32 mins at 100°C with ULTRA cell conditioning solution (CC1, pH 8.5). ab109186 Anti-Olig2 antibody [EPR2673] was incubated at 37°C for 16 mins. Sections were counterstained with Hematoxylin II. Image inset shows absence of staining in secondary antibody only control.

Immunocytochemistry/ Immunofluorescence - Anti-Olig2 antibody [EPR2673] - Oligodendrocyte Marker (AB109186)
  • ICC/IF

Lab

Immunocytochemistry/ Immunofluorescence - Anti-Olig2 antibody [EPR2673] - Oligodendrocyte Marker (AB109186)

ab109186 staining Olig2 in primary mouse neurons/glia, DIV14 (prepared from E18 mouse hippocampal brain area, obtained from Transnetyx Tissue by BrainBits, LLC, cat.no. C57EHP) cells. The cells were fixed with 100% methanol (5 min), permeabilized with 0.1% PBS-Tween for 5 minutes and then blocked with 1% BSA/10% normal goat serum/0.3M glycine in 0.1%PBS-Tween for 1h. The cells were then incubated overnight at 4°C with ab109186 at 5µg/ml and ab7291, Mouse monoclonal [DM1A] to alpha Tubulin - Loading Control. Cells were then incubated with ab150081, Goat polyclonal Secondary Antibody to Rabbit IgG - H&L (Alexa Fluor® 488), pre-adsorbed at 1/1000 dilution (shown in green) and ab150120, Goat polyclonal Secondary Antibody to Mouse IgG - H&L (Alexa Fluor® 594), pre-adsorbed at 1/1000 dilution (shown in pseudocolour red). Nuclear DNA was labelled with DAPI (shown in blue). Image was acquired with a confocal microscope (Leica-Microsystems TCS SP8) and a single confocal section is shown.

Immunohistochemistry (Frozen sections) - Anti-Olig2 antibody [EPR2673] - Oligodendrocyte Marker (AB109186)
  • IHC-Fr

Lab

Immunohistochemistry (Frozen sections) - Anti-Olig2 antibody [EPR2673] - Oligodendrocyte Marker (AB109186)

Immunohistochemical analysis of 4% PFA-fixed, 0.2% Triton X-100 permeabilized frozen Mouse cortex (fresh frozen) tissue labeling Olig2 with ab109186 at 1/100 (10 μg/mL) dilution followed by ab150081 Goat Anti-Rabbit IgG H&L (Alexa Fluor® 488) preadsorbed at 1/1000 (2 ug/mL) dilution (Green).

Confocal image showing positive staining on mouse cortex. The section was incubated with the primary antibody for 60 mins at room temperature. The nuclear counterstain was DAPI (Blue). The section was then mounted using Fluoromount®.The immunostaining was performed on a Leica Biosystems BOND® RX instrument. Image was taken with a confocal microscope (Leica-Microsystems, TCS SP8).

Secondary antibody control : Secondary antibody is ab150081 Goat Anti-Rabbit IgG H&L (Alexa Fluor® 488) preadsorbed at 1/1000 (2 ug/mL) dilution.

Immunohistochemistry (Frozen sections) - Anti-Olig2 antibody [EPR2673] - Oligodendrocyte Marker (AB109186)
  • IHC-Fr

Lab

Immunohistochemistry (Frozen sections) - Anti-Olig2 antibody [EPR2673] - Oligodendrocyte Marker (AB109186)

Immunohistochemical analysis of 4% PFA-fixed, 0.2% Triton X-100 permeabilized frozen Rat cortex (fresh frozen) tissue labeling Olig2 with ab109186 at 1/100 (10 μg/mL) dilution followed by ab150081 Goat Anti-Rabbit IgG H&L (Alexa Fluor® 488) preadsorbed at 1/1000 (2 ug/mL) dilution (Green).

Confocal image showing positive staining on rat cortex. The section was incubated with the primary antibody for 60 mins at room temperature. The nuclear counterstain was DAPI (Blue). The section was then mounted using Fluoromount®.The immunostaining was performed on a Leica Biosystems BOND® RX instrument. Image was taken with a confocal microscope (Leica-Microsystems, TCS SP8).

Secondary antibody control : Secondary antibody is ab150081 Goat Anti-Rabbit IgG H&L (Alexa Fluor® 488) preadsorbed at 1/1000 (2 ug/mL) dilution.

Immunohistochemistry (Formalin/PFA-fixed paraffin-embedded sections) - Anti-Olig2 antibody [EPR2673] - Oligodendrocyte Marker (AB109186)
  • IHC-P

Unknown

Immunohistochemistry (Formalin/PFA-fixed paraffin-embedded sections) - Anti-Olig2 antibody [EPR2673] - Oligodendrocyte Marker (AB109186)

Immunohistochemistry (Formalin/PFA-fixed paraffin-embedded sections) analysis of Mouse cerebrum tissue labelling NeuN with ab177487 at 1/100 dilution (B), SOX1 with ab242125 at 1/100 dilution (C) and Olig2 with ab109186 at 1/100 dilution (D). Anti-Rabbit and Mouse Polymer HRP was used as a secondary antibody, and DAPI was used for a nuclear counter stain. Heat mediated antigen retrieval with Tris-EDTA buffer (pH 9.0, epitope retrieval solution 2) for 20mins. Heat mediated antigen retrieval (Leica ER2, PH9.0, 20 minutes) was used in between rounds of tyramide signal amplification to remove the antibodies from the previous round, to avoid any cross-reactivity.

Panel A : merged staining of anti- NeuN (green, Opal™520), anti-SOX1 (red, Opal™570) and anti- Olig2 (yellow, Opal™690).

Panel B : anti-NeuN stained for neurons.

Panel C : anti-SOX1 stained on neural progenitors.

Panel D : anti-Olig2 stained on oligodendrocyte.

The section was incubated in three rounds of staining : in the order of ab177487, ab242125 and ab109186 for 30 mins at room temperature. Each round was followed by a separate fluorescent tyramide signal amplification system.

The immunostaining was performed on a Leica Biosystems BOND® RX instrument with an Opal™ 4-color kit. Image acquisition was performed with Leica SP8 confocal microscope

Western blot - Anti-Olig2 antibody [EPR2673] - Oligodendrocyte Marker (AB109186)
  • WB

Unknown

Western blot - Anti-Olig2 antibody [EPR2673] - Oligodendrocyte Marker (AB109186)

Blocking buffer : 5% NFDM/TBST

Dilution buffer : 5% NFDM/TBST

All lanes:

Western blot - Anti-Olig2 antibody [EPR2673] - Oligodendrocyte Marker (ab109186) at 1/2000 dilution

All lanes:

Human fetal brain tissue lysate at 20 µg

Secondary

All lanes:

HRP goat anti-rabbit (H+L) at 1/1000 dilution

Predicted band size: 19 kDa,32 kDa,34 kDa,36 kDa,41 kDa,55 kDa

Observed band size: 32 kDa,53 kDa,55 kDa

false

Western blot - Anti-Olig2 antibody [EPR2673] - Oligodendrocyte Marker (AB109186)
  • WB

Unknown

Western blot - Anti-Olig2 antibody [EPR2673] - Oligodendrocyte Marker (AB109186)

Blocking buffer : 5% NFDM/TBST

Dilution buffer : 5% NFDM/TBST

All lanes:

Western blot - Anti-Olig2 antibody [EPR2673] - Oligodendrocyte Marker (ab109186) at 1/10000 dilution

All lanes:

Human oligodendroglioma lysate at 10 µg

Secondary

All lanes:

HRP goat anti-rabbit (H+L) at 1/1000 dilution

Predicted band size: 32 kDa

Observed band size: 32 kDa

false

Western blot - Anti-Olig2 antibody [EPR2673] - Oligodendrocyte Marker (AB109186)
  • WB

Unknown

Western blot - Anti-Olig2 antibody [EPR2673] - Oligodendrocyte Marker (AB109186)

Blocking buffer : 5% NFDM/TBST

Dilution buffer : 5% NFDM/TBST

All lanes:

Western blot - Anti-Olig2 antibody [EPR2673] - Oligodendrocyte Marker (ab109186) at 1/2000 dilution

Lane 1:

Mouse brain lysate at 20 µg

Lane 2:

Rat brain lysate at 20 µg

Secondary

All lanes:

HRP goat anti-rabbit (H+L) at 1/1000 dilution

Predicted band size: 11 kDa,16 kDa,25 kDa,27 kDa,28 kDa,32 kDa,41 kDa,52 kDa,59 kDa,83 kDa

Observed band size: 25 kDa,30 kDa,32 kDa

false

Immunohistochemistry (Formalin/PFA-fixed paraffin-embedded sections) - Anti-Olig2 antibody [EPR2673] - Oligodendrocyte Marker (AB109186)
  • IHC-P

Unknown

Immunohistochemistry (Formalin/PFA-fixed paraffin-embedded sections) - Anti-Olig2 antibody [EPR2673] - Oligodendrocyte Marker (AB109186)

Immunohistochemical staining of Olig2 in human glioma tissue with ab109186 at a dilution of 1/100.

Perform heat mediated antigen retrieval with citrate buffer pH 6 before commencing with IHC staining protocol.

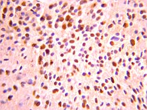
Immunohistochemistry (Formalin/PFA-fixed paraffin-embedded sections) - Anti-Olig2 antibody [EPR2673] - Oligodendrocyte Marker (AB109186)
  • IHC-P

Unknown

Immunohistochemistry (Formalin/PFA-fixed paraffin-embedded sections) - Anti-Olig2 antibody [EPR2673] - Oligodendrocyte Marker (AB109186)

Immunohistochemical staining of paraffin embedded rat cerebral cortex with purified ab109186 at a working dilution of 1/100. The secondary antibody used is ab97051, a HRP-conjugated goat anti-rabbit IgG (H+L), at a dilution of 1/500. The sample is counter-stained with hematoxylin. Antigen retrieval was perfomed using Tris-EDTA buffer, pH 9.0. PBS was used instead of the primary antibody as the negative control, and is shown in the inset.

Immunocytochemistry/ Immunofluorescence - Anti-Olig2 antibody [EPR2673] - Oligodendrocyte Marker (AB109186)
  • ICC/IF

Lab

Immunocytochemistry/ Immunofluorescence - Anti-Olig2 antibody [EPR2673] - Oligodendrocyte Marker (AB109186)

ab109186 staining Olig2 in primary hippocampal rat neurons/glia, (obtained from Neuromics, cat. no. PC35101), DIV14. The cells were fixed with 4% paraformaldehyde (10 min), permeabilized with 0.1% PBS-Triton X-100 for 5 minutes and then blocked with 1% BSA/10% normal goat serum/0.3M glycine in 0.1%PBS-Tween for 1h. The cells were then incubated overnight at 4°C with ab109186 at 1μg/ml and ab7291, Mouse monoclonal [DM1A] to alpha Tubulin - Loading Control. Cells were then incubated with ab150081, Goat polyclonal Secondary Antibody to Rabbit IgG - H&L (Alexa Fluor® 488), pre-adsorbed at 1/1000 dilution (shown in green) and ab150120, Goat polyclonal Secondary Antibody to Mouse IgG - H&L (Alexa Fluor® 594), pre-adsorbed at 1/1000 dilution (shown in pseudocolour red). Nuclear DNA was labelled with DAPI (shown in blue).

Also suitable in cells fixed with 100% methanol (5 min).

Image was acquired with a high-content analyser (Operetta CLS, Perkin Elmer) and a maximum intensity projection of confocal sections is shown.

Imaging Mass Cytometry - Anti-Olig2 antibody [EPR2673] - Oligodendrocyte Marker (AB109186)
  • IMC

Collaborator

Imaging Mass Cytometry - Anti-Olig2 antibody [EPR2673] - Oligodendrocyte Marker (AB109186)

Imaging Mass Cytometry™ (IMC™) image of human glioblastoma brain cancer tissue stained with Anti-Olig2 antibody [EPR2673]. ab220796 (carrier-free antibody, purified) was metal-conjugated using a Maxpar® Antibody Labeling Kit from Fluidigm. Immunostaining was performed according to Fluidigm's protocols. Briefly, slides were subject to deparaffinization and heat-induced epitope retrieval, followed by overnight incubation at 4°C with an antibody cocktail containing metal-tagged antibodies in blocking buffer. Slides were subsequently washed with 0.2% Triton-X and 1x PBS, counterstained with Cell-ID™ Intercalator-Ir diluted at 1/400 in 1x PBS for 30 min at room temperature, rinsed for 5 min with distilled H2O, and air-dried prior to IMC™ acquisition. IMC™ acquisition was performed using the Fluidigm Hyperion™ Imaging System.

Imaging Mass Cytometry™, IMC™, Cell-ID™, Hyperion™ and Maxpar® are trademarks of Fluidigm Canada.

This image is courtesy of the Single Cell & Imaging Mass Cytometry Analysis Platform, Goodman Cancer Research Centre, McGill University

Immunocytochemistry/ Immunofluorescence - Anti-Olig2 antibody [EPR2673] - Oligodendrocyte Marker (AB109186)
  • ICC/IF

Lab

Immunocytochemistry/ Immunofluorescence - Anti-Olig2 antibody [EPR2673] - Oligodendrocyte Marker (AB109186)

Immunofluorescent analysis of 4% Paraformaldehyde-fixed, 0.1% TritonX-100 permeabilized rat primary glia cell cells labelling Olig2 with ab109186 at 1/100 (1.23 μg/mL) dilution, followed by ab150077 Goat Anti-Rabbit IgG H&L (Alexa Fluor® 488) antibody at 1/1000 dilution (2 μg/mL) (Green). Confocal image showing nuclear staining in rat primary glia cell. Confocal scanning Z step was set as 0.3 μm followed by image processing with maximum Z projection. ab195889 Anti-alpha Tubulin mouse monoclonal antibody - Microtubule Marker (Alexa Fluor® 594) was used to counterstain tubulin at 1/200 dilution (2.5 μg/mL) (Red). The Nuclear counterstain was DAPI (Blue).

Secondary antibody only control : Secondary antibody is ab150077 Goat Anti-Rabbit IgG H&L (Alexa Fluor® 488) at 1/1000 dilution (2 μg/mL).

Immunohistochemistry (Formalin/PFA-fixed paraffin-embedded sections) - Anti-Olig2 antibody [EPR2673] - Oligodendrocyte Marker (AB109186)
  • IHC-P

AbReview62322****

Immunohistochemistry (Formalin/PFA-fixed paraffin-embedded sections) - Anti-Olig2 antibody [EPR2673] - Oligodendrocyte Marker (AB109186)

Formaldehyde-fixed mouse brain tissue stained for Olig2 using ab109186 at 1/100 dilution in immunohistochemical analysis. The secondary antibody was a Horse Radish Peroxidase conjugated Dako Envision Rabbit antibody.

Antigen retrieval : Heat mediated - Buffer/Enzyme Used : pH 9.0 EDTA

This image was courtesy of an annoymous Abreview

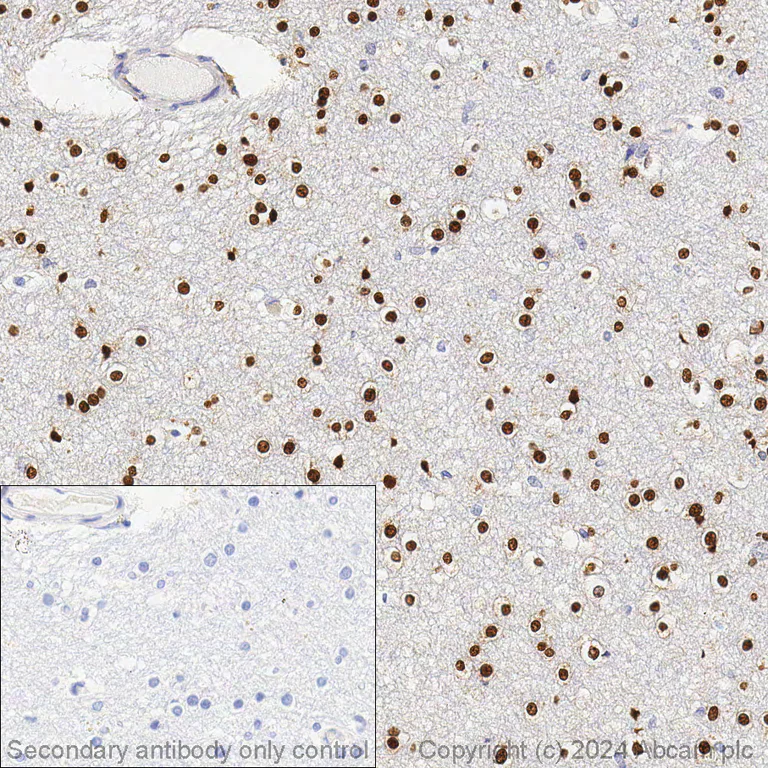
Immunohistochemistry (Formalin/PFA-fixed paraffin-embedded sections) - Anti-Olig2 antibody [EPR2673] - Oligodendrocyte Marker (AB109186)
  • IHC-P

Unknown

Immunohistochemistry (Formalin/PFA-fixed paraffin-embedded sections) - Anti-Olig2 antibody [EPR2673] - Oligodendrocyte Marker (AB109186)

Immunohistochemical staining of paraffin embedded human cerebral cortex with purified ab109186 at a working dilution of 1/100. The secondary antibody used is ab97051, a HRP-conjugated goat anti-rabbit IgG (H+L), at a dilution of 1/500. The sample is counter-stained with hematoxylin. Antigen retrieval was perfomed using Tris-EDTA buffer, pH 9.0. PBS was used instead of the primary antibody as the negative control, and is shown in the inset.

Western blot - Anti-Olig2 antibody [EPR2673] - Oligodendrocyte Marker (AB109186)
  • WB

Lab

Western blot - Anti-Olig2 antibody [EPR2673] - Oligodendrocyte Marker (AB109186)

Different batches of ab109186 were tested on Mouse brain lysate at 0.1 µg/ml. 15 µg of lysate was loaded in each lane. Bands observed at 32 kDa.

All lanes:

Western blot - Anti-Olig2 antibody [EPR2673] - Oligodendrocyte Marker (ab109186)

Predicted band size: 32 kDa

false

OI-RD Scanning - Anti-Olig2 antibody [EPR2673] - Oligodendrocyte Marker (AB109186)
  • OI-RD Scanning

Unknown

OI-RD Scanning - Anti-Olig2 antibody [EPR2673] - Oligodendrocyte Marker (AB109186)

We have systematically measured KD (the equilibrium dissociation constant between the antibody and its antigen), of more than 840 recombinant antibodies to assess not only their individual KD values but also to see the average affinity of antibody. Based on the comparison with published literature values for mouse monoclonal antibodies, Recombinant antibodies appear to be on average 1-2 order of magnitude higher affinity.

  • Carrier free

    Anti-Olig2 antibody [EPR2673] - BSA and Azide free

  • 519 Alexa Fluor® 488

    Alexa Fluor® 488 Anti-Olig2 antibody [EPR2673] - Oligodendrocyte Marker

  • 617 Alexa Fluor® 594

    Alexa Fluor® 594 Anti-Olig2 antibody [EPR2673]

  • 603 Alexa Fluor® 568

    Alexa Fluor® 568 Anti-Olig2 antibody [EPR2673] - Oligodendrocyte Marker

  • 665 Alexa Fluor® 647

    Alexa Fluor® 647 Anti-Olig2 antibody [EPR2673] - Oligodendrocyte Marker

  • 565 Alexa Fluor® 555

    Alexa Fluor® 555 Anti-Olig2 antibody [EPR2673]

Key facts

Host species

Rabbit

Clonality

Monoclonal

Clone number

EPR2673

Isotype

IgG

Carrier free

No

Reacts with

Mouse, Rat, Human

Applications

IHC-P, IHC-Fr, ICC/IF, IMC™, WB

applications

Immunogen

The exact immunogen used to generate this antibody is proprietary information.

Reactivity data

{ "title": "Reactivity Data", "filters": { "stats": ["", "Species", "Dilution Info", "Notes"], "tabs": { "all-applications": {"fullname" : "All Applications", "shortname": "All Applications"}, "IMC" : {"fullname" : "Imaging Mass Cytometry™", "shortname":"IMC™"}, "IHCP" : {"fullname" : "Immunohistochemistry (Formalin/PFA-fixed paraffin-embedded sections)", "shortname":"IHC-P"}, "ICCIF" : {"fullname" : "Immunocytochemistry/ Immunofluorescence", "shortname":"ICC/IF"}, "WB" : {"fullname" : "Western blot", "shortname":"WB"}, "IHCFr" : {"fullname" : "Immunohistochemistry (Frozen sections)", "shortname":"IHC-Fr"} }, "product-promise": { "all": "all", "testedAndGuaranteed": "tested", "guaranteed": "expected", "predicted": "predicted", "notRecommended": "not-recommended" } }, "values": { "Human": { "IMC-species-checked": "testedAndGuaranteed", "IMC-species-dilution-info": "", "IMC-species-notes": "<p></p>", "IHCP-species-checked": "testedAndGuaranteed", "IHCP-species-dilution-info": "1/100", "IHCP-species-notes": "<p></p> Perform heat-mediated antigen retrieval before commencing with IHC staining protocol.", "ICCIF-species-checked": "guaranteed", "ICCIF-species-dilution-info": "1-5 µg/mL", "ICCIF-species-notes": "<p></p>", "WB-species-checked": "testedAndGuaranteed", "WB-species-dilution-info": "1/2000", "WB-species-notes": "<p></p>", "IHCFr-species-checked": "guaranteed", "IHCFr-species-dilution-info": "", "IHCFr-species-notes": "" }, "Mouse": { "IMC-species-checked": "guaranteed", "IMC-species-dilution-info": "", "IMC-species-notes": "", "IHCP-species-checked": "guaranteed", "IHCP-species-dilution-info": "1/100", "IHCP-species-notes": "<p></p> Perform heat-mediated antigen retrieval before commencing with IHC staining protocol.", "ICCIF-species-checked": "testedAndGuaranteed", "ICCIF-species-dilution-info": "1-5 µg/mL", "ICCIF-species-notes": "<p></p>", "WB-species-checked": "testedAndGuaranteed", "WB-species-dilution-info": "1/2000", "WB-species-notes": "<p></p>", "IHCFr-species-checked": "testedAndGuaranteed", "IHCFr-species-dilution-info": "1/100", "IHCFr-species-notes": "<p></p>" }, "Rat": { "IMC-species-checked": "guaranteed", "IMC-species-dilution-info": "", "IMC-species-notes": "", "IHCP-species-checked": "testedAndGuaranteed", "IHCP-species-dilution-info": "1/100", "IHCP-species-notes": "<p></p> Perform heat-mediated antigen retrieval before commencing with IHC staining protocol.", "ICCIF-species-checked": "testedAndGuaranteed", "ICCIF-species-dilution-info": "1-5 µg/mL", "ICCIF-species-notes": "<p></p>", "WB-species-checked": "testedAndGuaranteed", "WB-species-dilution-info": "1/2000", "WB-species-notes": "<p></p>", "IHCFr-species-checked": "testedAndGuaranteed", "IHCFr-species-dilution-info": "1/100", "IHCFr-species-notes": "<p></p>" } } }

Product details

Anti-Olig2 antibody [EPR2673] (ab109186) was developed by Abcam using patented rabbit monoclonal antibody technology and is validated for use in ICC/IF, IHC-P, Mass Cytometry and WB.

Anti-Olig2 antibody [EPR2673] (ab109186) was first used in a scientific publication in 2012 and has been cited over 161 times in peer reviewed journals. It's performance in IHC in mouse samples is trusted by the scientific community.

Abcam's high quality manufacturing and validation processes ensure Anti-Olig2 antibody [EPR2673] (ab109186) has high sensitivity and specificity alongside high lot-to-lot consistency and reproducibility.

Anti-Olig2 antibody [EPR2673] (ab109186) has 21 independent reviews from customers.

Anti-Olig2 antibody [EPR2673] (ab109186) specifically detects Olig2 (UniProt ID: Q13516; Molecular weight: 33kDa) and is sold in a convenient trial size to enable initial testing (20 µL) and larger sizes for subsequent scaling up experiments (100 µL and 1 mL).

Conjugation-ready, carrier free format available for antibody clone EPR2673 - ab220796.

Antibody clone EPR2673 is also available pre-conjugated to a variety of labels for your convenience - Alexa Fluor® 488, Alexa Fluor® 647, Alexa Fluor® 594, Alexa Fluor® 555, Alexa Fluor® 568 (ab225099, ab225100, ab300729, ab300730, ab302808).

OLIG2 is a transcription factor crucial in neuro research for its role in the development and differentiation of neural cells. It is particularly important for the formation of oligodendrocytes and motor neurons. Altered OLIG2 expression is linked to various neurological conditions, including gliomas and neurodevelopmental disorders. Researchers use OLIG2 to study neural cell fate and specification, making it essential for understanding the cellular mechanisms underlying brain development and disease.

Patented technology
Our RabMAb® technology is a patented hybridoma-based technology for making rabbit monoclonal antibodies. For details on our patents, please refer to RabMAb® patents.

What are the advantages of a recombinant monoclonal antibody?
This product is a recombinant monoclonal antibody, which offers several advantages including:

  • - High batch-to-batch consistency and reproducibility
  • - Improved sensitivity and specificity
  • - Long-term security of supply
  • - Animal-free batch production

For more information, read more on recombinant antibodies.

Shipping conditions update: ambient shipping

This product will be delivered at ambient temperature instead of chilled – this is by design. Extensive stability testing confirmed that our products are suitable for shipment under ambient conditions and maintain expected quality.

Why the change?

It’s part of our commitment to more sustainable packaging solutions, with ambient deliveries using eco-friendly materials such as recyclable cardboard instead of polystyrene.

What you need to know

  • Ambient shipments come with a flyer explaining the below.
  • No ice will be included in ambient shipments, but mixed orders (ambient and cold-chain items) will still arrive with ice packs to protect temperature-sensitive products.
  • Warranty coverage remains fully valid, aligned with our validated shipping method.
  • Please store the product as per the datasheet instructions upon receipt.

Find out more - https://www.abcam.com/en-us/support/shipping-storage-support/ambient-shipping

Properties and storage information

Form
Liquid
Purification technique
Affinity purification Protein A
Storage buffer
pH: 7.2 - 7.4 Preservative: 0.01% Sodium azide Constituents: 59% PBS, 40% Glycerol (glycerin, glycerine), 0.05% BSA
Shipped at conditions
Conditional Ambient
Appropriate short-term storage duration
1-2 weeks
Appropriate short-term storage conditions
+4°C
Appropriate long-term storage conditions
-20°C
Aliquoting information
Upon delivery aliquot
Storage information
Stable for 12 months at -20°C

Supplementary information

This supplementary information is collated from multiple sources and compiled automatically.

Olig2 also known as Oligo2 or OLIG2 is a protein with a molecular mass of around 32 kDa. It belongs to the basic helix-loop-helix (bHLH) family of transcription factors which play roles in neurodevelopment. Olig2 is expressed mainly in the central nervous system particularly in oligodendrocyte progenitor cells and motor neuron progenitors. As an important marker Olig2 staining is often used in studies involving these cell types to understand differentiation processes.
Biological function summary

Olig2 regulates gene expression important for the proper development of the central nervous system. It functions both independently and as a part of transcriptional complexes to influence the fate of neural progenitors. In particular its presence decides whether these progenitors will differentiate into neurons astrocytes or oligodendrocytes. Among the proteins it interacts with are factors that modulate neurogenesis and myelination highlighting its importance in maintaining normal brain homeostasis.

Pathways

Olig2 plays an important role in the oligodendrocyte differentiation and motor neuron generation pathways. It works closely with proteins such as SOX10 and NKX2.2 to regulate oligodendrocyte maturation. In the motor neuron pathway Olig2 interacts with proteins like NKX6.1 and LHX3 coordinating the development of motor neurons. These pathways demonstrate Olig2's function as a critical transcription factor influencing neural development and plasticity.

Abnormalities in Olig2 expression or function relate to conditions such as gliomas and Multiple Sclerosis (MS). Elevated levels of Olig2 are often seen in gliomas where it might cooperate with proteins like IDH1 to drive tumor growth. In MS the impairment of oligodendrocyte function can link back to disruptions in normal Olig2 activity or expression. These associations make Olig2 a significant target for potential therapeutic interventions in neurological conditions.

Product protocols

For this product, it's our understanding that no specific protocols are required. You can visit:

Target data

Required for oligodendrocyte and motor neuron specification in the spinal cord, as well as for the development of somatic motor neurons in the hindbrain. Functions together with ZNF488 to promote oligodendrocyte differentiation. Cooperates with OLIG1 to establish the pMN domain of the embryonic neural tube. Antagonist of V2 interneuron and of NKX2-2-induced V3 interneuron development.
See full target information OLIG2

Publications (182)

Recent publications for all applications. Explore the full list and refine your search

Nature communications 16:5344 PubMed40537468

2025

TGFα controls checkpoints in CNS resident and infiltrating immune cells to promote resolution of inflammation.

Applications

Unspecified application

Species

Unspecified reactive species

Lena Lößlein,Mathias Linnerbauer,Finnja Zuber,Thanos Tsaktanis,Oliver Vandrey,Anne Peter,Franziska Panier,Julia Zissler,Vivienne Riekher,Tobias Bäuerle,Jannis Hanspach,Frederik B Laun,Lisa Nagel,Lisa Mészáros,Friederike Zunke,Jürgen Winkler,Ulrike J Naumann,Nora Schwingen,Emely Neumaier,Arthur Liesz,Francisco Quintana,Veit Rothhammer

International journal of molecular sciences 26: PubMed39859289

2025

Mice with 16p11.2 Deletion and Duplication Show Alterations in Biological Processes Associated with White Matter.

Applications

Unspecified application

Species

Unspecified reactive species

Tianqi Wang,Megan Sharp,Ilaria Morella,Francesco Bedogni,Vladimir Trajkovski,Riccardo Brambilla,Yasir Ahmed Syed

Communications biology 7:1393 PubMed39455851

2024

miR-124 coordinates metabolic regulators acting at early stages of human neurogenesis.

Applications

Unspecified application

Species

Unspecified reactive species

Geurim Son,Yongwoo Na,Yongsung Kim,Ji-Hoon Son,Gregory D Clemenson,Simon T Schafer,Jong-Yeon Yoo,Sarah L Parylak,Apua Paquola,Hyunsu Do,Dayeon Kim,Insook Ahn,Mingyu Ju,Chanhee S Kang,Younghee Ju,Eunji Jung,Aidan H McDonald,Youngjin Park,Gilhyun Kim,Se-Bum Paik,Junho Hur,Joon Kim,Yong-Mahn Han,Seung-Hee Lee,Fred H Gage,Jong-Seo Kim,Jinju Han

Acta neuropathologica communications 12:148 PubMed39256867

2024

A patient-derived cell model for malignant transformation in IDH-mutant glioma.

Applications

Unspecified application

Species

Unspecified reactive species

Olga Kim,Zach Sergi,Guangyang Yu,Kazutoshi Yamamoto,Martha Quezado,Zied Abdullaev,Danel R Crooks,Shun Kishimoto,Qi Li,Peng Lu,Burchelle Blackman,Thorkell Andresson,Xiaolin Wu,Bao Tran,Jun S Wei,Wei Zhang,Meili Zhang,Hua Song,Javed Khan,Murali C Krishna,Jeffrey R Brender,Jing Wu

Antioxidants (Basel, Switzerland) 12: PubMed38136199

2023

DHA and EPA Alleviate Epileptic Depression in PTZ-Treated Young Mice Model by Inhibiting Neuroinflammation through Regulating Microglial M2 Polarization and Improving Mitochondrial Metabolism.

Applications

Unspecified application

Species

Unspecified reactive species

Yueqi Yang,Lu Chen,Ning Zhang,Yingcai Zhao,Hongxia Che,Yuming Wang,Tiantian Zhang,Min Wen

eLife 12: PubMed38099646

2023

Trabid patient mutations impede the axonal trafficking of adenomatous polyposis coli to disrupt neurite growth.

Applications

Unspecified application

Species

Unspecified reactive species

Daniel Frank,Maria Bergamasco,Michael J Mlodzianoski,Andrew Kueh,Ellen Tsui,Cathrine Hall,Georgios Kastrappis,Anne Kathrin Voss,Catriona McLean,Maree Faux,Kelly L Rogers,Bang Tran,Elizabeth Vincan,David Komander,Grant Dewson,Hoanh Tran

Science advances 9:eadj6187 PubMed38064562

2023

Small-molecule targeting AMPA-mediated excitotoxicity has therapeutic effects in mouse models for multiple sclerosis.

Applications

Unspecified application

Species

Unspecified reactive species

Dongxu Zhai,Shuxin Yan,James Samsom,Le Wang,Ping Su,Anlong Jiang,Haorui Zhang,Zhengping Jia,Izhar Wallach,Abraham Heifets,Chiara Zanato,Chih-Chung Tseng,Albert H C Wong,Iain R Greig,Fang Liu

Scientific reports 13:20966 PubMed38017239

2023

Long-term pulmonary and neurodevelopmental impairment in a fetal growth restriction rabbit model.

Applications

Unspecified application

Species

Unspecified reactive species

Ignacio Valenzuela,Yannick Regin,Andre Gie,David Basurto,Doaa Emam,Marianna Scuglia,Katerina Zapletalova,Marnel Greyling,Jan Deprest,Johannes van der Merwe

Frontiers in cell and developmental biology 11:1258993 PubMed37928905

2023

Combined 3D bioprinting and tissue-specific ECM system reveals the influence of brain matrix on stem cell differentiation.

Applications

Unspecified application

Species

Unspecified reactive species

Martina Zamponi,Peter A Mollica,Yara Khodour,Julie S Bjerring,Robert D Bruno,Patrick C Sachs

Nature 621:373-380 PubMed37704762

2023

Single-cell brain organoid screening identifies developmental defects in autism.

Applications

Unspecified application

Species

Unspecified reactive species

Chong Li,Jonas Simon Fleck,Catarina Martins-Costa,Thomas R Burkard,Jan Themann,Marlene Stuempflen,Angela Maria Peer,Ábel Vertesy,Jamie B Littleboy,Christopher Esk,Ulrich Elling,Gregor Kasprian,Nina S Corsini,Barbara Treutlein,Juergen A Knoblich
View all publications

Product promise

We are committed to supporting your work with high-quality reagents, and we're here for you every step of the way. In the unlikely event that one of our products does not perform as expected, you're protected by our Product Promise.
For full details, please see our Terms & Conditions

Please note: All products are 'FOR RESEARCH USE ONLY. NOT FOR USE IN DIAGNOSTIC OR THERAPEUTIC PROCEDURES'.

For licensing inquiries, please contact partnerships@abcam.com