JavaScript is disabled in your browser. Please enable JavaScript to view this website.
AB203223

Anti-ompF antibody

1

(1 Review)

|

(2 Publications)

Rabbit Polyclonal ompF antibody. Suitable for WB, IHC-P and reacts with Bacteria samples. Cited in 2 publications.

View Alternative Names

Putative outer membrane porin F protein, YE1563, orpF

2 Images
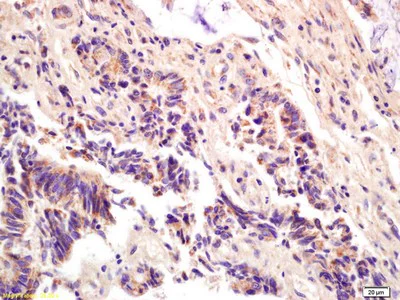
Immunohistochemistry (Formalin/PFA-fixed paraffin-embedded sections) - Anti-ompF antibody (AB203223)
  • IHC-P

Supplier Data

Immunohistochemistry (Formalin/PFA-fixed paraffin-embedded sections) - Anti-ompF antibody (AB203223)

Immunohistochemical analysis of formalin-fixed and paraffin embedded Human colon carcinoma labeling ompF with ab203223 at 1/200 dilution with DAB staining.

Immunohistochemistry (Formalin/PFA-fixed paraffin-embedded sections) - Anti-ompF antibody (AB203223)
  • IHC-P

Supplier Data

Immunohistochemistry (Formalin/PFA-fixed paraffin-embedded sections) - Anti-ompF antibody (AB203223)

Immunohistochemical analysis of formalin-fixed and paraffin embedded Human colon carcinoma labeling ompF with ab203223 at 1/200 dilution, followed by Goat Anti-Rabbit IgG, Cy3 conjugated secondary antibody at 1/200 dilution.

Key facts

Host species

Rabbit

Clonality

Polyclonal

Isotype

IgG

Carrier free

No

Reacts with

Bacteria

Applications

WB, IHC-P

applications

Reactivity data

{ "title": "Reactivity Data", "filters": { "stats": ["", "Species", "Dilution Info", "Notes"], "tabs": { "all-applications": {"fullname" : "All Applications", "shortname": "All Applications"}, "WB" : {"fullname" : "Western blot", "shortname":"WB"}, "IHCP" : {"fullname" : "Immunohistochemistry (Formalin/PFA-fixed paraffin-embedded sections)", "shortname":"IHC-P"} }, "product-promise": { "all": "all", "testedAndGuaranteed": "tested", "guaranteed": "expected", "predicted": "predicted", "notRecommended": "not-recommended" } }, "values": { "Bacteria": { "WB-species-checked": "guaranteed", "WB-species-dilution-info": "1/100 - 1/1000", "WB-species-notes": "<p></p>", "IHCP-species-checked": "testedAndGuaranteed", "IHCP-species-dilution-info": "1/100 - 1/500", "IHCP-species-notes": "<p>When using a fluorescent probe the recommended dilution is 1/50 – 1/200</p>" } } }

Properties and storage information

Form
Liquid
Purification technique
Affinity purification Protein A
Storage buffer
pH: 7.4 Preservative: 0.02% Proclin 300 Constituents: 50% Glycerol (glycerin, glycerine), 48.98% TBS, 1X, 1% BSA
Shipped at conditions
Blue Ice
Appropriate short-term storage duration
1-2 weeks
Appropriate short-term storage conditions
+4°C
Appropriate long-term storage conditions
-20°C
Aliquoting information
Upon delivery aliquot
Storage information
Avoid freeze / thaw cycle

Supplementary information

This supplementary information is collated from multiple sources and compiled automatically.

The ompF protein known as Outer membrane protein F serves as a porin in the outer membrane of Escherichia coli. It facilitates the passive diffusion of small molecules across the cell membrane. This protein has a trimeric structure where each monomer forms a beta-barrel. Each of the monomers has a mass of about 38 kDa. The ompF protein is typically expressed in response to varying environmental factors like osmolarity and is important for regulating molecule entry into the bacterial cell.
Biological function summary

OmpF plays a significant role in maintaining homeostasis and nutrient uptake in bacteria. It forms part of the beta-barrel assembly machinery complex which handles the insertion and folding of beta-barrel proteins into the outer membrane. This protein adjusts bacteria's permeability properties ensuring necessary ions and small nutrients reach the cell’s interior while controlling the access of harmful substances.

Pathways

OmpF participates in nutrient uptake and ion transport pathways significantly affecting bacterial survival and adaptation processes. OmpF interacts with other proteins in the porin family such as ompC which collectively regulate ion passage and osmotic balance within the bacterial cell envelope. These actions occur in pathways related to membrane permeability which are vital for bacteria responding to environmental stress.

OmpF has a linkage to antibiotic resistance mechanisms in pathogenic bacteria. Alterations in the ompF protein or expression can reduce antibiotic susceptibility complicating treatment of infections caused by Escherichia coli. This protein has connections with various resistance proteins where modulating such pathways may enhance antibiotic effectiveness. Understanding its role and interactions can guide strategies to counteract antimicrobial resistance in clinical settings.

Product protocols

For this product, it's our understanding that no specific protocols are required. You can visit:

Publications (2)

Recent publications for all applications. Explore the full list and refine your search

Journal of clinical medicine 13: PubMed38930150

2024

Prognostic Role of OX40, LAG-3, TIM-3 and PD-L1 Expression in Bone and Soft Tissue Sarcomas.

Applications

Unspecified application

Species

Unspecified reactive species

Bediz Kurt İnci,Elif Acar,Fatih Gürler,Ayşegül İlhan,Fatih Yıldız,Fisun Ardıç,Berna Öksüzoğlu,Nuriye Özdemir,Ahmet Özet,Güldal Esendağlı,Ozan Yazıcı

Science signaling 14: PubMed33500334

2021

Reduced ATP-dependent proteolysis of functional proteins during nutrient limitation speeds the return of microbes to a growth state.

Applications

Unspecified application

Species

Unspecified reactive species

Jinki Yeom,Eduardo A Groisman
View all publications

Product promise

We are committed to supporting your work with high-quality reagents, and we're here for you every step of the way. In the unlikely event that one of our products does not perform as expected, you're protected by our Product Promise.
For full details, please see our Terms & Conditions

Please note: All products are 'FOR RESEARCH USE ONLY. NOT FOR USE IN DIAGNOSTIC OR THERAPEUTIC PROCEDURES'.

For licensing inquiries, please contact partnerships@abcam.com